Bệnh U nguyên bào tủy (Medulloblastoma)

Ngày đăng: 18/12/2009 Lượt xem 9323
U nguyên bào tủy là khối u ác tính của hệ thống thần kinh trung ương, bệnh hay gặp nhất trong các khối u sọ não ở trẻ em (chiếm khoảng 15-20% các khối u sọ não ở trẻ).

U nguyên bào tủy hay gặp ở tiểu não, là vùng kiểm soát thăng bằng và một số chức năng vận động phức tạp. U nguyên bào tủy hay gặp ở vùng não thất 4 hoặc vùng giữa của tiểu não, ít khi gặp ở vùng bán cầu tiểu não.

Triệu chứng lâm sàng:

Các triệu chứng hay gặp bao gồm:
  • Triệu chứng của tăng áp lực sọ não: đau đầu (hay đau vào buổi sáng), buồn nôn, mệt mỏi, ngủ gà. Các triệu chứng này kéo dài vài tuần và tăng dần, thường trẻ hay được chẩn đoán nhầm là bị cúm hoặc sốt virus.
  • Mất thăng bằng, giảm phối hợp các động tác.
  • Cổ nghiêng về một bên, nhìn đôi.
Đôi khi trẻ biểu hiện triệu chứng thâm nhiễm thần kinh trung ương và hoặc tủy sống: trẻ thấy đau lưng và giảm trương lực, giảm vận động chi dưới.

Tuy nhiên mỗi bệnh nhi thường có các triệu chứng khác nhau. U nguyên bào tủy hay gặp ở trẻ từ 3-8 tuổi, đôi khi gặp ở trẻ sơ sinh hoặc ở trẻ trên 15 tuổi.

Chẩn đoán bệnh:

Để chẩn đoán u nguyên bào tủy phải dựa vào thăm khám lâm sàng, cận lâm sàng:

  • Thăm khám thần kinh: kiểm tra toàn than: sự tỉnh táo, sự phối hợp các động tác, trương lực cơ, kiểm tra vận động của mắt, miệng.
  • Chụp cắt lớp vi tính sọ não, chụp cộng hưởng từ sọ não và cột sống: thấy hình ảnh khối tổn thương vùng giữa của tiểu não, có kèm theo hay không tổn thương vùng tủy sống. Chụp cộng hưởng từ não và tủy sống cần được chụp trước và sau phẫu thuật, xạ trị, hoá trị và mỗi lần kiểm tra định kỳ sau điều trị.
  • Chụp cộng hưởng từ phổ (MRS): chụp cộng hưởng từ đặc biệt hơn, giúp đo được mức độ chuyển hoá của các mô, giúp phân biệt được mô lành, mô u và có thể phân biệt được nhiều loại u khác nhau cuả não .

Sinh thiết kim: dùng kim để sinh thiết u não để chẩn đoán xác định bệnh, tuy nhiên sinh thiết kim ít khi được chỉ định, thường chỉ làm khi không thể phẫu thuật mở cắt u được.

Chọc dịch não tủy được thực hiện sau phẫu thuật để đánh giá tình trạng di căn tủy sống thông qua tìm các tế bào ác tính trong dịch não tủy.

Điều trị:

Chỉ định và lựa chọn phương pháp điều trị u nguyên bào tủy tùy thuộc vào các yếu tố sau: Tuổi, tình trạng toàn thân, tiền sử bệnh, vị trí, kích thước u… 

Biện pháp điều trị cơ bản nhất là phối hợp: phẫu thuật, xạ trị, hóa trị. Đối với trẻ nhỏ dưới 5 tuổi điều trị xạ trị khó khăn vì trẻ khó nằm yên trong khi xạ trị thì phương pháp điều trị là phối hợp phẫu thuật và hóa trị. Đôi khi cần phải gây mê để điều trị xạ trị cho bệnh nhi.

 

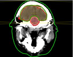
Lập kế hoạch xạ trị não và tủy bằng máy gia tốc cho bệnh nhân u nguyên bào tủy tại Trung tâm Y học hạt nhân và Ung bướu- Bệnh viện Bạch Mai 



Bệnh nhân được điều trị bằng máy xạ trị gia tốc tạiTrung tâm YHHN và UB, Bệnh viện Bạch Mai

Tại Việt Nam, cho đến nay Trung tâm Y học hạt nhân và Ung bướu Bệnh viện Bạch Mai và Bệnh viện Nhi trung ương đã cùng phối hợp để điều trị cho các bệnh nhi có u não, bước đầu cũng thu được một số kết quả khả quan đối với các trẻ được phẫu thuật lấy u sau đó điều trị xạ trị rồi hóa trị. Hy vọng trong tương lai với việc chẩn đoán sớm và kết hợp với việc điều trị tích cực sau phẫu thuật (xạ trị, hóa trị bổ trợ), tiên lượng của các bệnh nhi u não sẽ ngày càng tốt hơn.

Dưới đây là một số hình ảnh minh họa bệnh nhân u nguyên bào tủy được điều trị tai Trung tâm Y học hạt nhân và Ung bướu bệnh viện Bạch Mai và Bệnh viện Nhi Trung ương.

Trường hợp 1: Bệnh nhi Nguyễn Thúy H, nữ 8 tuổi vào viện vì lí do đau đầu, nôn, sụp mi mắt trái. Bệnh nhân đã được chụp cộng hưởng từ sọ não: cho thấy hình ảnh khối tổn thương choán chỗ tại đường giữa của tiểu não kích thước 4x3cm.

Bệnh nhi được chẩn đoán: U não, nghĩ nhiều là u nguyên bào tủy. Bệnh nhân đã được phẫu thuật lấy u tối đa sau đó xạ trị toàn não và tủy 36GY, tập trung thêm liều xạ trị vào tổn thương u đạt liều tại u là 56,8Gy.

Trên hình ảnh cộng hưởng từ sau xạ trị tổn thương u đã thu nhỏ hơn kích thước u 0,5cm.

Hiện tại bệnh nhi ăn uống và sinh hoạt bình thường. Chúng tôi đang động viên gia đình điều trị hóa chất cho cháu.


Trước điều trị: Tổn thương u kích thước u 4x3cm


Sau điều tri: tổn thương còn lại rất nhỏ đường kính 0,5c
m


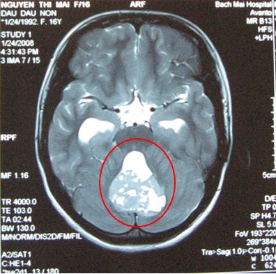
Trường hợp 2: Bệnh nhân Nguyễn Thị M. ,nữ 15 tuổi, vào viện vì lí do đau đầu, buồn nôn, nôn, thị lực 2 mắt giảm.

Trên film chụp cắt lớp vi tính sọ não và cộng hưởng từ sọ não thấy hình ảnh khối tổn thương choán chỗ vùng hố sau kích thước 3,5x3cm.

Bệnh nhi đã được chẩn đoán u não nghĩ nhiều là U nguyên bào tủy
Bệnh nhân đã được phẫu thuật lấy u tối đa, sau đó xạ trị gia tốc toàn não và tủy 36Gy, xạ trị bổ trợ thêm vào diện u để đạt liều xạ trị tại u là 56,8Gy.

Tiếp theo đó bệnh nhân được điều trị hóa chất 08 đợt

Hiện tại bệnh nhi hoàn toàn khỏe mạnh, không liệt, không đau đầu, không nôn bệnh nhi đã trở lại cuộc sống bình thường và đi học trở lại.

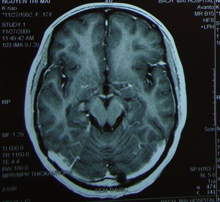
Trên phim chụp cộng hưởng từ toàn thân: không có tổn thương tái phát hoặc di căn.


Tổn thương u trước điều trị: khối u vùng hố sau kích thước 3,5x3cm


Sau điều trị, tổn thương u đã tan biến hoàn toàn

PGS.TS Mai Trọng Khoa, Ths Phạm Cẩm Phương
Trung tâm Y học hạt nhân và Ung bướu

Tin liên quan