CÁC TIÊU CHÍ ĐÁNH GIÁ THƯỜNG GẶP TRONG CÁC THỬ NGHIỆM LÂM SÀNG BỆNH UNG THƯ Ngày đăng: 29/12/2025 Lựa chọn kết quả đầura cho các nghiên cứu lâm sàng là bước rất quan trọng để trả lời các câu hỏinghiên cứu. Định nghĩa về các tiêu chí đánh giá kết quả đầu ra phải nhất quán,để có thể được sử dụng...
TP.HCM: Hội nghị Miễn dịch trị liệu ung thư quốc tế lần 2 Ngày đăng: 11/08/2025 Vừa qua, Hội Miễn dịch trị liệu ung thư Việt Nam phối hợp với Viện Nghiên cứu Tâm Anh (TAMRI) tổ chức Hội nghị khoa học thường niên lần thứ 2 năm 2025.
Tỷ lệ mắc và tử vong do ung thư tại Việt Nam gia tăng Ngày đăng: 04/08/2025 Sáng 2/8 tại TP.HCM, Hội miễn dịch trị liệu ung thư ViệtNam phối hợp với Viện Nghiên cứu Tâm Anh (TAMRI) tổ chức Hội nghị khoa học thườngniên năm 2025.
Cơ chế của ung thư tuyến giáp thể biệt hóa kháng với điều trị I-131 Ngày đăng: 26/02/2024 Với ung thư tuyến giáp thể biệt hóa ở giai đoạn tiến triển có di căn xa, 131I là phương pháp điều trị bước một được khuyến cáo. Tuy nhiên, có khoảng 60% trường hợp ung thư thể biệt hóa di căn biểu...
Xạ trị kích hoạt Boron bằng Neutron (Boron Neutron Capture Therapy: BNCT) và vai trò của PET/CT ứng dụng trong điều trị u nguyên bào thần kinh Ngày đăng: 19/02/2024 Xạ trị là một trong các phương pháp điều trị ung thư chính hiện nay. Xạ trị kích hoạt Boron bằng Neutron, hay Xạ trị boron kích hoạt bằng neutron hay Xạ trị bắt neutron bởi Boron (Boron Neutron...
Ca lâm sàng: Điều trị u lympho không Hodgkin tế bào B lớn lan tỏa CD 20(+) tái phát tại Trung tâm Y học hạt nhân và Ung bướu Bệnh viện Bạch Mai. Ngày đăng: 15/02/2024 U lympho không Hodgkin(ULPKH) là bệnh lý ác tính của dòng tế bào lympho. Theo GLOBOCAN năm 2020, số ca mới mắc năm 2020 của ULPKH là 3725 ca, đứng thứ 12 trong tổng số ca mắc mới các loại ung thư....
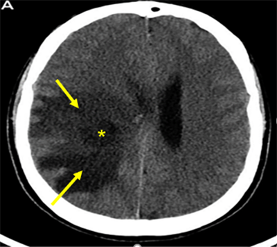
Chẩn đoán và điều trị phù não do khối u nội sọ Ngày đăng: 22/01/2024 Định nghĩa: Phù não là sự tích tụ bất thường nước và dịch trong khu vực tế bào và/hoặc khu vực ngoài tế bào não, dẫn đến sự tăng thể tích toàn bộ não. Phù não do các nguyên nhân khác nhau có cơ chế...
Điều trị U lympho không Hodgkin biểu hiện tại buồng trứng, lách, hạch Ngày đăng: 08/01/2024 U lympho không Hodgkin (ULPKH) là bệnh lý ác tính của dòng tế bào lympho. Theo GLOBOCAN năm 2020, số ca mắc mới năm 2020 của ULPKH là 3725 ca, đứng thứ 12 trong tổng số ca mắc mới các loại ung thư....
Ca lâm sàng: Chẩn đoán và điều trị u lympho không Hodgkin tế bào T của da (Mycosis fungoides) tại Trung tâm Y học hạt nhân và ung bướu, Bệnh viện... Ngày đăng: 04/01/2024 Bệnh nhân nữ, 35t được chẩn đoán viêm da cơ địa cách đây nhiều năm điều trị có đỡ ít. Đợt này bệnh nhân xuất hiện loét da, nổi các nốt sần kèm dát đỏ toàn thân, thi thoảng có ngứa => đi khám sinh...