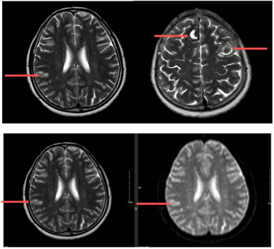
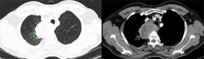
Ca lâm sàng: Điều trị đích bệnh nhân ung thư phổi không tế bào nhỏ giai đoạn muộn di căn nhiều cơ quan, tại Trung tâm Y học hạt nhân và Ung bướu –... Ngày đăng: 30/01/2026 Ung thư phổi là nguyên nhân hàng đầu gây tử vong do ung thư trên toàn thế giới. Trong đó, ung thư phổi không tế bào nhỏ (NSCLC) là thể thường gặp nhất, chiếm khoảng 85% các trường hợp [1]. Phần lớn...
Ca lâm sàng: Chẩn đoán ung thư tuyến giáp di căn não tại Trung tâm Y học hạt nhân và Ung bướu, bệnh viện Bạch Mai Ngày đăng: 30/01/2026 Ung thư tuyến giáp (UTTG) là loại ung thư phổ biến nhất trong các ung thư của hệ thống tuyến nội tiết, với tỷ lệ mắc có xu hướng gia tăng trong những năm gần đây. Theo GLOBOCAN 2022, UTTG đứng hàng...
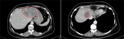
Điều trị Ung thư biểu mô tế bào gan giai đoạn tiến xa tại Trung tâm Y học hạt nhân và Ung bướu - Bệnh viện Bạch Mai Ngày đăng: 30/01/2026 Ung thư biểu mô tế bào gan (Hepatocellular carcinoma –HCC) là loại ung thư gan nguyên phát thường gặp nhất, chiếm khoảng 75–85% tổng số các trường hợp ung thư gan. Theo số liệu GLOBOCAN 2022, ung thư...
Ca lâm sàng: Điều trị ung thư biểu mô tế bào gan bằng thuốc điều trị đích Sorafenib tại Trung tâm Y học hạt nhân và Ung bướu, Bệnh viện Bạch Mai. Ngày đăng: 29/01/2026 Ung thư biểu mô tế bào gan (hepatocellular carcinoma –HCC) là loại ung thư thường gặp đứng thứ hai theo ghi nhận của Tổ chức Globocan Việt Nam năm 2022, ước tính mỗi năm có 24,502 trường hợp bệnh...
Ca lâm sàng:Hiệu quả điều trị đích bằng Osimertinib ở bệnh nhân UT biểu mô tuyến của phổi giai đoạn IV có đột biến gen EGFR L858R (Exon 21) tại Trung... Ngày đăng: 29/01/2026 Ung thư phổi là một trong những ung thư có tỷ lệ mắc và tử vong cao nhất trên toàn thế giới. Theo GLOBOCAN 2022, ung thư phổi đứng thứ hai về số ca mắc mới với khoảng 2,5 triệu trường hợp mỗi năm và...
ĐIỀU TRỊ UNG THƯ ĐẠI TRÀNG BỊ VỠ U TRÊN BỆNH NHÂN VỊ THÀNH NIÊN Ngày đăng: 29/01/2026 Ung thư đại trực tràng là một trong những bệnh lý ác tính phổ biến nhất trên toàn cầu cũng như tại Việt Nam. Theo GLOBOCAN 2022, bệnh đứng hàng thứ 4 về tỷ lệ mắc mới và thứ 5 về tỷ lệ tử vong [1]....
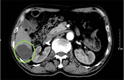
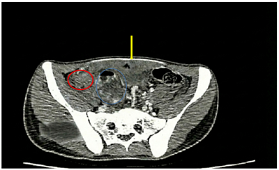
UNG THƯ BIỂU MÔ TẾ BÀO THẬN Ngày đăng: 28/01/2026 Ung thư thận là loại ung thư thường gặp đứng thứ 14 trên toàn cầu, với hơn 430.000 ca mới được chẩn đoán vào năm 2020, và 434840 ca mắc trên toàn cầu vào năm 2022. Tỷ lệ mắc thay đổi theo khu vực địa...
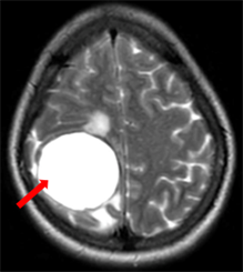
CASE LÂM SÀNG ĐIỀU TRỊ MIỄN DỊCH UNG THƯ PHỔI DI CĂN NÃO TẠI BỆNH VIỆN BẠCH MAI Ngày đăng: 28/01/2026 Ung thư phổi là một trong những bệnh ung thư thường gặp nhất. Tại Việt Nam, theo số liệu GLOBOCAN 2022, các số liệu cho thấy ung thư phổi đứng hàng thứ ba về tỉ lệ mới mắc và thứ hai về tỷ lệ tử...
Điều trị ung thư phổi di căn não tại Trung tâm Y học hạt nhân và Ung bướu - Bệnh viện Bạch Mai Ngày đăng: 28/01/2026 Theo GLOBOCAN 2022, ung thư phổi là một trong những nguyên nhân hàng đầu gây tử vong do ung thư trên toàn cầu. Tại Việt Nam, ung thư phổi có tỷ lệ tử vong cao đứng thứ 2, chỉ sau ung thư gan. Phần...
Ca lâm sàng: Điều trị hóa chất kết hợp liệu pháp miễn dịch ở bệnh nhân ung thư phổi không tế bào nhỏ giai đoạn IV tại Trung tâm Y học hạt nhân và... Ngày đăng: 27/01/2026 Ung thư phổi là loại ung thư phổ biến và là nguyên nhân gây tử vong do ung thư thường gặp nhất trên thế giới trong nhiều thập kỷ qua. Theo số liệu từ GLOBOCAN 2022, ung thư phổi đứng thứ hai về số ca...