Ca lâm sàng: Ung thư biểu mô tế bào gan thể Sarcomatoid

Ngày đăng: 08/05/2024 Lượt xem 1041
CA LÂM SÀNG: UNG THƯ BIỂU MÔ TẾ BÀO GAN THỂ SARCOMATOID
GS.TS Mai Trọng Khoa, PGS.TS Phạm Cẩm Phương, Ths Lê Quang Hiển, BSNT Nguyễn Bình Dương
Trung tâm Y học hạt nhân và Ung bướu, bệnh viện Bạch Mai


Ung thư biểu mô thể sarcomatoid (sarcomatoid carcinoma) là một dạng u ác tính tương đối hiếm gặp, đặc trưng bởi sự xuất hiện đồng thời của các tế bào ung thư biểu mô và trung mô. Dạng u này có thể xuất hiện ở nhiều cơ quan nhưng phổi là thường gặp nhất1,2,3. Ung thư biểu mô tế bào gan thể sarcomatoid (sarcomatoid hepatocellular carcinoma - SHC) là một u tân sản hiếm gặp ở gan. Chẩn đoán SHC dựa vào bằng chứng trên giải phẫu bệnh sau phẫu thuật, phương pháp điều trị ưu tiên là phẫu thuật loại bỏ u. Bệnh có tiên lượng xấu vì tỉ lệ tái phát và di căn xa cao.
Nhiều thử nghiệm lâm sàng đã cho thấy các phương pháp điều trị khi bệnh tái phát như nút mạch hóa chất (TACE), đốt sóng cao tần (RFA), và tiêm cồn qua da là những nguyên nhân chính dẫn tới sự chuyển dạng từ ung thư biểu mô tế bào gan (HCC) sang thể sarcomatoid (SHC)4,5,6; chỉ một số ít những trường hợp bệnh nhân SHC được báo cáo không được điều trị bằng những phương pháp trên. Nguyên nhân và cơ chế bệnh sinh cụ thể của SHC vẫn chưa được biết rõ ràng. 
Sau đây chúng tôi xin trình bày một case lâm sàng bệnh nhân được chẩn đoán ung thư biểu mô tế bào gan thể sarcomatoid tái phát nhiều lần sau nút mạch hóa chất và phẫu thuật.

Bệnh nhân nam, 57 tuổi, tiền sử được chẩn đoán ung thư biểu mô tế bào gan năm 2013 đã được nút mạch hóa chất (TACE) 5 lần tại bệnh viện Bạch Mai.
Tháng 4/2023 bệnh nhân được chẩn đoán ung thư gan tái phát, đã được TACE lần thứ sáu tại bệnh viện Đa khoa Đức Giang. Sau điều trị bệnh nhân ổn định và được ra viện để theo dõi tiếp. 
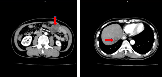
Tháng 5/2023 bệnh nhân vào viện vì đau bụng âm ỉ, ăn kém, buồn nôn nhiều, sút 5 kg/tháng, vào viện được chụp CT ổ bụng thấy có hình ảnh khối u gan phải kích thước 25x35mm, giảm tỷ trọng, không ngấm thuốc sau tiêm, khối u lớn kích thước 97x145mm chiếm gần toàn bộ gan trái có tính chất của HCC. 
Chụp MRI ổ bụng thấy hình ảnh khối khu trú ở hạ phân thùy VI kích thước 40x39x24mm không ngấm thuốc, cạnh phân thùy bên gan trái có khối lớn kích thước 94x153mm không đồng nhất bao gồm phần hoại tử trung tâm và ngoại vi ngấm thuốc thì động mạch, thải thuốc thì tĩnh mạch. Nhu mô hạ phân thùy II có nốt 28x18x20mm với tính chất tương tự, liên tục với khối ở gan trái.
 


Hình 1. Hình ảnh chup CT ổ bụng có khối  u gan (sau điều trị TACE): khối lớn tái phát gan trái có tính chất động học của ung thư biểu mô tế bào gan (HCC). Khối gan phải không ngấm thuốc  (mũi tên đỏ).
Bệnh nhân được chẩn đoán ung thư gan tái phát sau TACE 6 lần. Bệnh nhân được hội đồng hội chẩn đa chuyên khoa  và được quyết định phẫu thuật. 
Sau đó bệnh nhân được phẫu thuật cắt thùy gan trái, cắt một phần hạ phân thùy VI và cắt túi mật. Giải phẫu bệnh sau mổ: Ung thư biểu mô tế bào gan biến thể sarcomatoid/xơ gan.
Hậu phẫu ổn định, bệnh nhân ra viện.
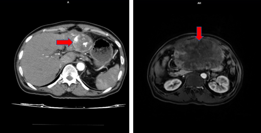
Tháng 9/2023 bệnh nhân đi khám định kỳ, được chụp CT ổ bụng thấy hình ảnh mạc nối lớn sát thành bụng trước bên trái có vài khối, nốt tỷ trọng không đồng nhất, ngấm thuốc không đồng nhất sau tiêm, lớn nhất kích thước 47x34mm, nốt ngấm thuốc kém nhu mô gan hạ phân thùy VIII kích thước 25x18mm, ranh giới rõ.
Bệnh nhân được chẩn đoán: Ung thư biểu mô tế bào gan biến thể sarcomatoid tái phát sau TACE, sau phẫu thuật. 
 
 

Hình 2. Hình ảnh vài nốt ngấm thuốc nhu mô gan phải, vài khối, nốt ngấm thuốc vị trí mạc nối lớn

Sau khi hội chẩn Hội đồng đa chuyên khoa, bệnh nhân được phẫu thuật cắt đoạn đại tràng và đoạn ruột non đồng thời tiêm cồn khối u gan tái phát ở gan phải. Giải phẫu bệnh sau mổ (đã nhuộm hóa mô miễn dịch): Ung thư biểu mô tế bào gan di căn.
Hậu phẫu ổn định, bệnh nhân ra viện và tiếp tục theo dõi.
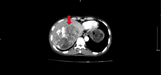
Tháng 11/2023, bệnh nhân đi khám được chụp CT bụng có hình ảnh nhu mô gan hạ phân thùy VIII kích thước 84x70mm ranh giới rõ, ngấm thuốc mạnh không đồng nhất thì tĩnh mạch, thải thuốc thì tĩnh mạch
 
Hình 3. Khối ngấm thuốc nhu mô gan phải tính chất HCC tăng kích thước nhiều so với phim chụp tháng 9/2023
Bệnh nhân được chẩn đoán ung thư biểu mô tế bào gan tái phát sau điều trị, đã được TACE lần thứ bảy tại bệnh viện Bạch Mai. Sau điều trị bệnh nhân ổn định, ra viện và tiếp tục theo dõi.
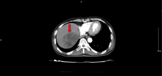
Tháng 1/2024 bệnh nhân đau bụng nhiều, vào viện được chụp CT ổ bụng có hình ảnh nhu mô gan phải có khối lớn kích thước 130x94x108 mm, ranh giới khá rõ, trong có các đám tăng tỉ trọng dạng vật liệu can thiệp và giảm tỷ trọng dạng hoại tử, ngấm thuốc mạnh không đồng nhất thì động mạch, thải thuốc thì tĩnh mạch.

 
Hình 4. Hình ảnh khối ngấm thuốc nhu mô gan phải, tăng kích thước nhiều so với phim chụp tháng 11/2023
Bệnh nhân được chuyển điều trị liệu pháp toàn thân, lựa chọn hóa chất phác đồ AI:
Doxorubicin 30 mg/m2 truyền tĩnh mạch ngày 1,2.
Ifosfamide 3,75 g/m2, truyền tĩnh mạch trong 4 giờ, ngày 1,2.
Mesna 750 g/m2 truyền tĩnh mạch, trước mỗi đợt ifosfamide sau đó 4 giờ và 8 giờ sau truyền ifosfamide.
Chu kỳ mỗi đợt 21 ngày. 

Bàn luận:
Ung thư biểu mô tế bào gan thể sarcomatoid (SHC) bao gồm cả hai dạng mô bệnh học là carcinoma và sarcomatoid. Có sự khác biệt quan trọng giữa ung thư biểu mô tế bào gan thể thông thường (HCC) và biến thể sarcomatoid. Dạng sarcomatoid có tính chất xâm lấn mạnh hơn, sớm xuất hiện di căn xa hơn, khả năng có thể phẫu thuật thấp hơn và tỉ lệ tái phát sau phẫu thuật cũng cao hơn7,8. Những phương pháp điều trị ngoài phẫu thuật như nút mạch hóa chất, đốt sống cao tần và tiêm cồn qua da gây tổn thương và thoái hóa các tế bào gan. Tuy nhiên, điều này có thể gây chuyển dạng từ ung thư biểu mô tế bào gan thể thông thường (HCC) sang ung thư biểu mô tế bào gan biến thể sarcomatoid (SHC)9,10,11. Đến nay vẫn chưa có phương pháp điều trị hiệu quả với SHC. Phẫu thuật vẫn là điều trị cơ bản chính. Tuy nhiên do tính chất ác tính cao và dễ tái phát của u, phẫu thuật không đem lại hiệu quả như mong đợi. Xạ trị và hóa trị cũng là những phương pháp phổ biến trong điều trị HCC và SHC12,13. Hiệu quả của những phương pháp này thường hạn chế do khả năng đề kháng với điều trị của khối u và xuất hiện các tác dụng phụ không mong muốn.

TÀI LIỆU THAM KHẢO
1. Kojiro M, Sugihara S, Kakizoe S, Nakashima O, Kiyomatsu K. Hepatocellular carcinoma with sarcomatous change: a special reference to the relationship with anticancer therapy. Cancer Chemother Pharmacol. 1989;23:4–8. doi: 10.1007/BF00647229.
2. Nonnis R, Paliogiannis P, Giangrande D, Marras V, Trignano M. Low-grade fibromatosis-like spindle cell metaplastic carcinoma of the breast: a case report and literature review. Clin Breast Cancer. 2012;12:147–150. doi: 10.1016/j.clbc.2012.01.011. 
3. Chrysikos D, Zagouri F, Sergentanis TN, et al. Mucinous tubular and spindle cell carcinoma of the kidney: a case report. Case Rep Oncol. 2012;5:347–353. doi: 10.1159/000339802.
4. Marijon H, Dokmak S, Paradis V, Zappa M, Bieche I, Bouattour M, Raymond E, Faivre S. Epithelial-to-mesenchymal transition and acquired resistance to sunitinib in a patient with hepatocellular carcinoma. J Hepatol. 2011;54:1073–1078. doi: 10.1016/j.jhep.2010.11.011.
5. Kojiro M, Sugihara S, Kakizoe S, Nakashima O, Kiyomatsu K. Hepatocellular carcinoma with sarcomatous change: a special reference to the relationship with anticancer therapy. Cancer Chemothe Pharmacolo. 1989;23:s4–s8. doi: 10.1007/BF00647229.
6. Obara K, Matsumoto N, Okamoto M, Kobayashi M, Ikeda H, Takahashi H, et al. Insufficient radiofrequency ablation therapy may induce further malignant transformation of hepatocellular carcinoma. Hepatol Int. 2008;2:116–123. doi: 10.1007/s12072-007-9040-3.
7. Nagtegaal ID, Odze RD, Klimstra D, et al.. WHO Classification of Tumours Editorial Board. The 2019 WHO classification of tumours of the digestive system. Histopathology. 2020;76:182–8.
8. Seo N, Kim MJ, Rhee H. Hepatic sarcomatoid carcinoma: magnetic resonance imaging evaluation by using the liver imaging reporting and data system. Eur Radiol. 2019;29:3761–71.
9. Kojiro M, Sugihara S, Kakizoe S, et al.. Hepatocellular carcinoma with sarcomatous change: a special reference to the relationship with anticancer therapy. Cancer Chemother Pharmacol. 1989;23(Suppl):S4–8.
10. Marijon H, Dokmak S, Paradis V, et al.. Epithelial-to-mesenchymal transition and acquired resistance to sunitinib in a patient with hepatocellular carcinoma. J Hepatol. 2011;54:1073–8.
11. Obara K, Matsumoto N, Okamoto M, et al.. Insufficient radiofrequency ablation therapy may induce further malignant transformation of hepatocellular carcinoma. Hepatol Int. 2008;2:116–23.
12. Zakka K, Jiang R, Alese OB, et al.. Clinical outcomes of rare hepatocellular carcinoma variants compared to pure hepatocellular carcinoma. J Hepatocell Carcinoma. 2019;6:119–29.
13. Zhu SG, Li HB, Yuan ZN, et al.. Achievement of complete response to nivolumab in a patient with advanced sarcomatoid hepatocellular carcinoma: a case report. World J Gastrointest Oncol. 2020;12:1209–15. 


Tin liên quan