ĐIỀU TRỊ BỆNH NHÂN UNG THƯ PHỔI KHÔNG TẾ BÀO NHỎ, GIAI ĐOẠN MUỘN TẠI TRUNG TÂM Y HỌC HẠT NHÂN VÀ UNG BƯỚU - BỆNH VIỆN BẠCH MAI

Ngày đăng: 23/06/2017 Lượt xem 5794

GS.TS. Mai Trọng Khoa, BS. Trần Ngọc Hải

Trung tâm Y học hạt nhân và Ung bướu – Bệnh viện Bạch Mai

Bệnh cảnh: Bệnh nhân nam 72 tuổi, vào viện vì khó thở.

Bệnh sử: Khởi bệnh hơn một tháng nay, bệnh nhân khó thở, tức ngực, cổ to càng ngày càng tăng. Vào viện trong tình trạng suy hô hấp nặng, SpO2 80% và phải thở  oxy liên tục.

Tiền sử:  bệnh nhân có hút thuốc lá nhiều năm (> 20 năm liên tục), cao huyết áp > 5 năm điều trị thường xuyên, bệnh phổi tắc nghẽn mãn tính 5 năm nay.

            Khám lúc vào viện: Bệnh nhân có thể trạng gày, da niêm mạc bình thường, hạch thượng đòn phải, 1,5 cm chắc.

Khám phổi: Thông khí kém, rales rít, rales ngáy, phù áo khoác. Tim nhịp đều, các bộ phận khác không có gì đặc biệt. Các xét nghiệm nằm trong giới hạn bình thường, Chỉ số CEA: 420 ng/ml. Bệnh nhân được nội soi phế quản và làm sinh thiết, kết quả giải phẫu bệnh: ung thư biểu mô tuyến, không có đột biến EGFR.

Các xét nghiệm đánh giá di căn xa: Siêu âm, xạ hình xương, cộng hưởng từ não… Chưa phát hiện di căn xa).

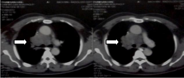
Hình 1: Chụp cắt lớp lồng ngực: có khối  u vùng trung thất, bao quanh khí quản và phế quản gốc

Bệnh nhân được tiến hành điều trị nội khoa: Kháng sinh, chống viêm, chống phù nề, bổ xung dinh dưỡng nâng cao thể trạng,duy trì điều trị cao huyết áp, chống khó thở. Điều trị đặc hiệu cân nhắc và lựa chọn: Bệnh nhân già  (72 tuổi), yếu ( PS = 3, 4 ), giai đoạn IV (T3N3M0) vì thế chúng tôi chọn Navelbine (Vinorelbine)  đường uống.

  • •Vinorelbine uống:
  • •60 mg/m2 hàng tuần trong chu kỳ đầu, sau đó 80mg/m2 hàng tuần.
  • •Sau 6 tuần bệnh nhân được chụp cắt lớp để đánh giá lại.

 

Hình 2: Chụp cắt lớp sau 6 tuần điều trị Navelbine: u tan một phần lớn

 So sánh hình ảnh chụp CT ngực trước và sau điều trị

 

Hình 3: Chụp cắt lớp lồng ngực trước điều trị

 

Hình 4: Chụp cắt lớp lồng ngực sau điều trị

Kết quả: Cho thấy bệnh nhân sau 6 tuần điều trị đáp ứng tốt, u tan gần hoàn toàn, không phải thở oxy, đi lại sinh hoạt được. Hiện tại bệnh nhân ổn định, sau phác đò hóa chất Navalbine bệnh nhân được chuyển qua phác đồ hóa chất khác để có được đáp ứng triệt để hơn.

Như vậy: Việc đánh giá toàn trạng bệnh nhân trước điều trị là một việc rất quan trọng. Qua đó chúng ta xác định được phương pháp và thuốc điều trị cho phù hợp với tình trạng người bệnh, đảm bảo tính hiệu quả và an toàn.

Tin liên quan