Điều trị u tế bào mầm nội sọ trẻ em tại Trung tâm Y học hạt nhân và ung bướu bệnh viện Bạch Mai

Ngày đăng: 20/09/2011 Lượt xem 7202

U tế bào mầm chiếm khoảng 1-3% tổn thương u nội sọ ở trẻ em.

U tế bào mầm nội sọ (Intracranial germ cell tumor) ở trẻ em thường xuất hiện ở đường giữa não thất 3 (vùng tuyến tùng, vùng trên yên) đôi khi cũng có thể ở vùng nền sọ và nhân vùng đồi thị. U tế bào mầm chiếm khoảng 1-3% tổn thương u nội sọ ở trẻ em.

U tế bào mầm nội sọ được chia làm hai loại chính:

- U tế bào mầm tinh (Germinoma hay seminoma), chiếm phần lớn, 5- 15% có tổn thương đa ổ khi được chẩn đoán lúc đầu

- U tế bào mầm không tinh (Non germinoma germ cell tumor: (NGGCT) hay non seminoma) bao gồm: ung thư biêu mô bào thai (embryonal carcinoma), u xoang nội bì (yolk sac tumors), ung thư biểu mô màng nuôi (choriocarcinoma), u quái thuần thục và chưa thuần thục (mature teratoma và immature teratoma) hoặc thể hỗn hợp (mixture) có hình ảnh mô bệnh học của các loại trên phối hợp.

Trên lâm sàng có thể phân biệt hai loại trên, dựa vào:

-  Nếu chỉ điểm u AFP và Beta -HCG tăng cả hai thì thường được chẩn đoán là u tế bào mầm không tinh (NGGCT), còn tế bào mầm tinh thì thường không tăng hoặc tăng nhẹ beta HCG(< 100iu/ml), ung thư biểu mô màng nuôi thì thường có tăng beta HCG cao > 1000.

- Khối u vùng tuyến tùng thì có thể có hội chứng Parinau( rối loạn vận nhãn và đồng tử)

- Vùng trên yên thì thường gây bất thường nội tiết: hay gặp đái tháo nhạt, chậm dậy thì.

Về  Điều trị.

a). Đối với u tế bào mầm tinh (Germinoma): Xạ trị đóng vai trò quan trọng

  • - Với những bệnh còn khu trú: có thể tia xạ với máy gia tốc toàn não 25 Gy rồi tăng liều ở vùng tổn thương lên 45-50,4 Gy.
  • - Bệnh lan tỏa: tia toàn não tủy với liều 25 Gy rồi tăng liều lên 45-50,4Gy
  • - Điều trị bổ trợ bằng phác đồ có muối platinum.

b). U tế bào mầm không tinh (NGGCT):

Phẫu thuật, tia xạ, hóa chất đều đóng vai trò quan trọng. Phẫu thuật lấy u tối đa, điều trị hóa chất có muối platinum, tia xạ toàn não tủy 36 Gy rồi tăng liều lên 50,4-54Gy, nếu còn u thì phẫu thuật lần hai lấy u.

Dưới đây chúng tôi xin giới thiệu ca lâm sàng bị u tế bào mầm thần kinh:

Bệnh nhân Trịnh A. T.,  nữ 8 tuổi

Địa chỉ: Hà nội

Vào viện: Bệnh nhân có tiền sử đái tháo nhạt 4 năm. Sau đó bệnh nhân được chuyển đến tại Bệnh viện Nhi trung ương và được  điều trị thường xuyên bằng Minizin  1/3 viên vào buổi sáng và 2/3 viên vào buổi tối,. Gần đây bệnh không đỡ và có chiều hướng nặng hơn và bệnh nhân được chụp cộng hưởng từ (MRI) sọ não kết quả là có tổn thương vùng trên yên nghĩ nhiều đến Germinoma (u tế bào mầm tinh)

Xét nghiệm: Beta- HCG: 15,8 mU/ml ( bình thường 1-5,3mU/ml)

AFP: 0,93 (bình thường < 7 ng/ml)

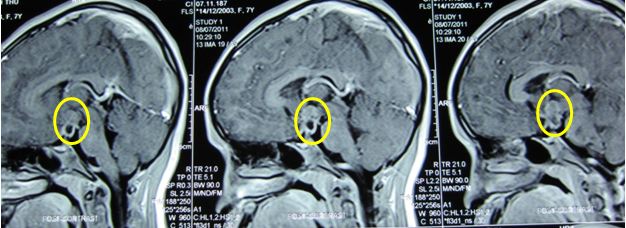
Hình ảnh Cộng hưởng từ (MRI) u vùng trên yên ngấm thuốc nhiều nghĩ tới Germinoma (u tế bào mầm tinh) (trước điểu trị)

Bệnh nhân được hội chẩn tại Trung tâm Y học hạt nhân và ung bướu-Bệnh viện Bạch Mai và được chẩn đoán là Germinoma (u tế bào mầm tinh)  trên yên thể khu trú đã gây suy yên, hướng điều trị là tia xạ gia tốc toàn não 1,8Gy/ngày x 3 buổi, sau đó đánh giá lại bằng cộng hưởng từ và xét nghiệm xét điều trị tiếp sau.

Bệnh nhân đã được tia xạ đúng kế hoạch, dung nạp tốt không có tác dụng phụ nào phải ngừng tia xạ

Đánh giá sau điều trị đáp ứng tốt cả về chẩn đoán hình ảnh và xét nghiệm

Xét nghiệm trở về gần bình thường: trước điều trị Beta-HCG : 15,8 mU/ml ,sau điều trị là 6,55 mU/ml ( bình thường 1-5,3mU/ml).

Bệnh nhân tiếp tục được chỉ định tia xạ tăng liều cao hơn vào vùng trên yên ( vị trí khối u) thêm 12 buổi x 1,8Gy  để đạt tổng liều vào khối u là 45Gy. Đánh giá sau điều trị bệnh đáp ứng rất tốt không có tác dụng phụ nhiều.

Xét nghiệm về gần bình thường trước điều trị Beta-HCG : 15,8 mU/ml sau điều trị 25 buổi  là 0,36 mU/ml ( bình thường 1-5,3mU/ml).

Như vây: bệnh nhân này đã đáp ứng điều trị hoàn toàn , bệnh nhân được ra viện hẹn sau 1 tháng khám lại và vào điều trị hóa chất bổ trợ.

PGS. TS. Mai Trọng Khoa; ThS. Nguyễn Thế Thu

Trung tâm Y học hạt nhân và ung bướu-Bệnh viện Bạch Mai.

Tin liên quan