Giá trị của PET/CT trong chẩn đoán u xơ tuyến vú và tổn thương viêm

Ngày đăng: 20/11/2008 Lượt xem 2337
GS.TS. Mai Trọng Khoa, BS. Nguyễn Xuân Thanh, BS. Trần Hải Bình
Trung tâm Y học hạt nhân và Ung bướu – Bệnh viện Bạch Mai
Bệnh nhân: Nguyễn Thị L., tuổi 45, quê quán Bắc Ninh.

Ngày vào viện: 10/09/2016.

Lý do vào viện: nổi u vú phải.

Bệnh sử: bệnh nhân sờ thấy nổi u vú phải cách đây 2 tháng, u lớn dần, ấn không đau, điều trị thuốc nội khoa ở nhà không đỡ. Bệnh nhân đến khám và chẩn đoán tại Trung tâm Y học hạt nhân và Ung bướu Bệnh viện Bạch Mai.

Khám lâm sàng:

Lâm sàng:

+ Cơ năng: nổi u vú phải, không đau.

+ Thực thể:

* Một khối kích thước 1,5x1,2cm chắc, di động kém, bờ nhẵn.

+ Toàn thân: Thể trạng trung bình (P=56kg), cao 157cm. Không phù, không xuất huyết.

Cận lâm sàng:

1 – Công thức máu: HC 4,3T/L; HB 128G/L; TC 204G/L; BC 8,4 G/L (N: 5,7 G/L).

2 – Sinh hóa máu: Ure, Creatinin, GOT và GPT bình thường.

Chỉ điểm ung thư vú: CA 15-3=1,3U/ml (bình thường <30U/ml).

Siêu âm tuyến vú: Vị trí 4h cách núm vú phải 3cm có khối giảm âm đồng nhất, bờ đều. Phần nhu mô còn lại không thấy nốt hay khối bất thường.

Siêu âm cổ và hố nách hai bên không thấy bất thường.

 Tiến hành chọc tế bào khối u vú phải cho kết quả: hướng tới carcinoma tuyến vú (đề nghị sinh thiết u chẩn đoán xác định).

Bệnh nhân đã được hội chẩn và được tư vấn, nên gia đình bệnh nhân quyết định chụp PET/CT kiểm tra trước khi sinh thiết u.

Kết quả chụp PET/CT:


Hình chụp PET/CT toàn thân


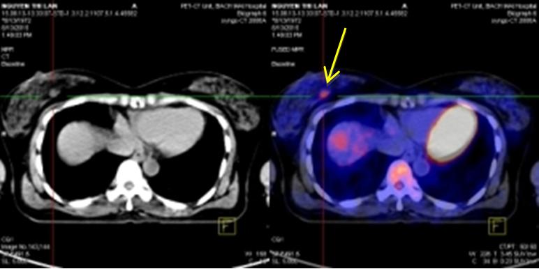
Nhân thùy phải tuyến giáp, kích thước: 1,4x1,0cm tăng hấp thu FDG, maxSUV=5,11. Nhân thùy trái tuyến giáp, kích thước: 1,9x1,6cm tăng hấp thu FDG, maxSUV=6,8.


Hình ảnh nốt kích thước: 1,6x1,2cm vị trí 1/4 dưới trong vú phải
tăng hấp thu FDG, max SUV=2,8.


Hình ảnh niêm mạc tử cung tăng hấp thu FDG sinh lý trong chu kỳ kinh nguyệt, SUV=5,4.


Hình ảnh tổ chức thành bụng trước bên phải KT (1,8x1,2)cm tăng hấp thu FDG, max SUV=4,1.

Ngay ngày hôm sau bệnh nhân được chọc tế bào tổ chức thành bụng trước bên phải cho kết quả tổn thương viêm cấp. Chọc tế bào nhân hai thùy tuyến giáp kết quả nang keo tuyến giáp lành tính.

Như vậy các kết quả chụp và xét nghiệm tế bào học cho thấy: Nhân hai thùy tuyến giáp, tổ chức thành bụng trước phải là lành tính, chỉ có khối u vú tăng hấp thu FDG (hướng tới carcinoma) là vấn đề cần chú trọng nhất.

Sau khi trao đổi, tư vấn giữa bác sĩ và gia đình, bệnh nhân được tiến hành tiểu phẫu lấy toàn bộ khối u vú, đồng thời làm xét nghiệm mô bệnh học: kết quả u xơ vú lành tính.

Hiện tại bệnh nhân vẫn đi khám sàng lọc, siêu âm định kỳ tuyến vú: không thấy kết quả bất thường.

Như vậy: PET/CT cho phép đánh giá các vị trí tổn thương viêm và u xơ tuyến vú, góp phần giúp tăng hiệu quả trong chẩn đoán và điều trị bệnh. Sở dĩ như vậy là do FDG (chất dùng để ghi hình trong kỹ thuật PET/CT) được hấp thụ bởi các bạch cầu và đại thực bào được hoạt hóa tại vị trí viêm. Một số nghiên cứu cho thấy FDG-PET có thể chẩn đoán được từ 25-69% trường hợp nhiễm trùng và viêm hoạt động. Đặc biệt trong một số trường hợp, chúng ta có thể không tìm thấy vị trí của tổn thương viêm nhiễm hay u xơ.

Vì vậy, FDG-PET giúp chẩn đoán và xác định vị trí của vùng nhiễm trùng và viêm hoạt động. Trên cơ sở đó, chúng ta có thể định vị chính xác vùng cần phải sinh thiết để chẩn đoán xác định bằng mô bệnh học.

Trường hợp một bệnh nhân được đánh giá sàng lọc phối hợp qua chụp PET/CT để chẩn đoán, sau đó điều trị bệnh hiệu quả tại Trung tâm Y học hạt nhân và Ung bướu Bệnh viện Bạch Mai.

Tin liên quan