Phối hợp hóa chất, xạ trị gia tốc chiếu ngoài và xạ trị áp sát suất liều cao trong điều trị ung thư thực quản tại Trung tâm Y học hạt nhân và Ung bướu, bệnh viện Bạch Mai

Ngày đăng: 18/04/2016 Lượt xem 4665

Phối hợp hóa chất, xạ trị gia tốc chiếu ngoài và xạ trị áp sát suất liều cao trong điều trị ung thư thực quản tại Trung tâm Y học hạt nhân và Ung bướu, bệnh viện Bạch Mai

GS. TS. Mai Trọng Khoa, TS. BS. Phạm Cẩm Phương, BSNT Nguyễn Thị Hoa Mai

Trung tâm Y học hạt nhân và Ung bướu, bệnh viện Bạch Mai

Bệnh cảnh: Bệnh nhân Bùi Văn N., nam, 46 tuổi. Nhập viện vào Trung tâm Y học hạt nhân và Ung bướu-Bệnh viện Bạch Mai,  ngày5 tháng 9 năm 2015vì lý do nuốt nghẹn.

Bệnh sử: Bệnh diễn biến khoảng 1 tháng trước khi vào viện, bệnh nhân xuất hiện đau sau xương ức kèm nuốt vướng, nuốt nghẹn tăng dần, trước khi đi khám bệnh 1 tuần bệnh nhân chỉ ăn được cháo loãng số lượng ít, gầy sút 6 kg trong vòng 1 tháng. Bệnh nhân đi khám tại bệnh viện Bạch Mai, nội soi thực quản dạ dày có hình ảnh khối u sùi loét ở thực quản nghi ngờ ung thư do vậy được tiến hành nhập viện vào Trung tâm Y học hạt nhân và Ung bướu-Bệnh viện Bạch Maiđể chẩn đoán và điều trị.

Tiền sử:

Bản thân: Hút thuốc lá 1 bao/ ngày. Không có bệnh nội, ngoại khoa khác kèm theo.

Gia đình: không có ai mắc bệnh liên quan.

Khám lúc vào viện:

  • Bệnh nhân tỉnh, tiếp xúc tốt
  • Thể trạng gầy, chiều cao 173 cm. cân nặng 60 kg.
  • Mạch: 76 chu kì/ phút, Huyết áp: 120/70 mmHg
  • Da niêm mạc nhợt nhẹ
  • Hạch ngoại vi không sờ thấy
  • Nhịp tim đều, tần số 76 lần/phút, không thấy tiếng bệnh lý
  • Phổi 2 bên rì rào phế nang rõ, không rales
  • Các cơ quan khác chưa phát hiện gì đặc biệt.
            Kết quả nội soi thực quản- dạ dày trước vào viện cho thấy loét sùi, chắc, chiếm gần hết lòng thực quản đoạn 1/3 giữa, ống soi không qua được. Bệnh nhân đã được tiến hành sinh thiết khối u qua nội soi, kết quả mô bệnh học là ung thư biểu mô vảy.

 

Hình 1: Hình ảnh nội soi dạ dày: khối u sùi loét chiếm gần hết chu vi đoạn 1/3 giữa thực quản.

Các xét nghiệm cơ bản lúc vào viện:

Xét nghiệm công thức máu (thiếu máu nhẹ)
  • Hồng cầu:4,4 T/l; Hb: 115g/l
  • Bạch cầu: 8,54G/l; Bạch cầu trung tính:60,6 %         
  • Tiểu cầu: 325 G/l
Xét nghiệm sinh hóa máu:
  •  Chức năng gan, thận trong giới hạn bình thường:
  •  Ure: 3,4 mmol/l; Creatinin:  76 µmol/l; GOT: 30 U/l; GPT:26 U/l
  • Chất chỉ điểm ung thư (trong giới hạn bình thường) CEA: 2,56 ng/ml
  • Đông máu cơ bản: bình thường
Xét nghiệm vi sinh: HBsAg (-), HIV (-)

Xét nghiệm nước tiểu: bình thường

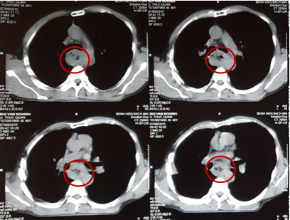
Kết quả chụp cắt lớp vi tính lồng ngực cho thấy: Thực quản đoạn 1/3 giữa dày thành quanh chu vi, không đều, chỗ dày nhất 13 mm, gây hẹp lòng thực quản đoạn dài 50 mm, thâm nhiễm mỡ xung quanh, ôm quanh > ½ chu vi động mạch chủ xuống đoạn ngang mức. Không thấy hình ảnh di căn hạch xung quanh và các cơ quan lân cận.

 

Hình 2: Hình ảnh khối u thực quản thâm nhiễm mỡ xung quanh (vòng tròn đỏ)

Xạ hình xương: Không phát hiện thấy tổn thương xương trên xạ hình toàn thân

 

Hình 3: Hình ảnh xạ hình xương trước điều trị

 Chụp cắt lớp vi tính ổ bụng: Không phát hiện tổn thương

 Chụp cộng hưởng từ sọ não: không phát hiện thấy tổn thương thứ phát.

TÓM TẮT:

Bệnh nhân nam, 46 tuổi

Chẩn đoán: Ung thư biểu mô vảy thực quản, giai đoạn T4NxM0.

Hướng xử trí: Điều trị hóa xạ trị kết hợp:

Phác đồ Docetaxel + Cisplatin, chu kì 21 ngày kết hợp xạ trị gia tốc.

Cụ thể: Docetaxel 75 mg/ m2 da, truyền tĩnh mạch chậm ngày 1.

              Cisplatin 75 mg/ m2 da, truyền tĩnh mạch chậm ngày 1

Kết hợp xạ trị gia tốc đồng thời vào vị trí khối u liều 50,4 Gy, phân liều 1.8 Gy/ buổi.

KẾT QUẢ SAU 2 CHU KỲ ĐIỀU TRỊ HÓA CHẤT VÀ XẠ TRỊ ĐỒNG THỜI

LÂM SÀNG:

Bệnh nhân cải thiện tình trạng nuốt nghẹn, bệnh nhân đã có thể ăn cháo đặc, thỉnh thoảng ăn được cơm nhão, số lượng ăn nhiều hơn ban đầu, tăng thêm 2kg. Tuy nhiên trong giai đoạn cuối của quá trình xạ trị, bệnh nhân xuất hiện đau tức thượng vị âm ỉ do tác dụng phụ. Các triệu chứng này được cải thiện khi chúng tôi cho bệnh nhân sử dụng các thuốc bọc niêm mạc dạ dày, giảm tiết acid dịch vị và giãn cơ. Bước sang chu kì 2 hóa chất, bệnh nhân xuất hiện rụng tóc số lượng ít.

CẬN LÂM SÀNG

  • Công thức máu: trong quá trình điều trị không gặp biến chứng hạ bạch cầu.
  • Sinh hóa máu: chức năng gan, thận trong giới hạn bình thường.
  • Nội soi thực quản dạ dày: Hình ảnh 1/3 giữa loét có giả mạc trên đoạn dài 7- 8 cm. Niêm mạc dạ dày xung huyết, hang vị rải rác có trợt nông, ống soi qua được.

 

Hình 4: Hình ảnh nội soi thực quản- dạ dày sau xạ trị và hóa chất 2 chu kì

Chụp lại phim cắt lớp vi tính ngực: Hình ảnh khối u thực quản đoạn 1/3 giữa giảm kích thước so với trước điều trị. Thành thực quản dày không đều đoạn 1/3 giữa, chỗ dày nhất 8 mm.

 

Hình 5: Hình ảnh dày thành thực quản đoạn 1/3 giữa sau xạ trị và 2 chu kì hóa chất ( vòng tròn đỏ).

Đánh giá lại sau 2 chu kì hóa chất kết hợp xạ trị gia tốc đồng thời liều 50,4 Gy vào u, chúng tôi quyết định tiếp tục tiến hành xạ trị áp sát với mục tiêu tăng liều xạ vào khối u thực quản, giúp điều trị triệt căn cho bệnh nhân. Liều xạ trị  là: 3Gy/ buổi/ tuần x 2 buổi.

Nội soi lại thực quản- dạ dày sau xạ trị áp sát buổi 1 cho thấy: loét sau xạ trị, lòng thực quản thông thoáng, ống soi qua dễ dàng.

 

Hình 6: Hình ảnh nội soi thực quản- dạ dày sau xạ trị áp sát buổi 1.

Sau xạ trị áp sát buổi 2, bệnh nhân thỉnh thoảng nuốt vướng nhẹ, tăng cân. Nội soi dạ dày- thực quản sau xạ trị vị trí khối u cũ chỉ còn tổ chức u kích thước thu nhỏ nhiều kèm loét sần có giả mạc xung quanh, máy soi qua được. Sinh thiết vị trí tổn thương, kết quả giải phẫu bệnh: quá sản tế bào vảy của thực quản, không thấy tế bào ác tính.

 
Hình 7: Hình ảnh tổ chức loét sần có giả mạc sau xạ trị áp sát buổi 2

Hiện tại, triệu chứng lâm sàng cải thiện rõ rệt, bệnh nhân hết nuốt vướng, ăn uống tốt, tăng cân. Chúng tôi tiếp tục hóa chất theo phác đồ để điều trị cho người bệnh và hy vọng bệnh nhân sẽ tiếp tục đạt được ổn định bệnh lâu dài.

Tin liên quan