Điều trị ung thư tuyến tiền liệt bằng phương pháp cấy hạt phóng xạ (Radioactive Seed Implantation Therapy) I-125

Ngày đăng: 23/03/2016 Lượt xem 3541
Điều trị ung thư tuyến tiền liệt bằng phương pháp cấy hạt phóng xạ (Radioactive Seed Implantation Therapy) I-125

GS.TS. Mai Trọng Khoa, ThS. Vũ Hữu Khiêm, BSNT. Đặng Tài Vóc
Trung tâm Y học hạt nhân và Ung bướu, bệnh viện Bạch Mai

Ung thư tuyến tiền liệt (UTTTL) là khối u ác tính xuất phát từ tế bào biểu mô của tuyến tiền liệt. UTTTL phát triển chậm, tuy nhiên, bệnh tiến triển có thể di căn sang các bộ phận khác của cơ thể, đặc biệt là vào xương, các hạch bạch huyết, phổi... UTTTL có thể gây tiểu máu, tiểu khó, quan hệ tình dục gặp vấn đề, hoặc rối loạn chức năng cương dương. Các triệu chứng khác có khả năng phát triển trong giai đoạn sau của bệnh tùy thuộc vị trí cơ quan bị di căn.

Tỷ lệ phát hiện UTTTL khác nhau đối với các vùng trên toàn thế giới, ở miền Nam Á và Đông Nam Á ít hơn ở Châu Âu, Mỹ. Theo dữ liệu của Mạng lưới ung thư quốc gia Hoa Kỳ (National Comprehensive Cancer Network, NCCN) năm 2012 tại Mỹ có 233.159 trường hợp mới mắc, chiếm 28,3% tổng số bệnh nhân (BN) ung thư mới mắc và 30.383 BN tử vong, chiếm 9,4% ca tử vong do ung thư ở nam giới. Tại Việt Nam, tỷ lệ mắc bệnh UTTTL ngày càng tăng. Theo dữ liệu Globocan 2012, UTTTL đứng thứ 8 về tỉ lệ mắc và ước tính có 1275 ca mới mắc, 872 ca tử vong. Khoảng 2/3 các trường hợp ung thư tiến tiền liệt là phát triển chậm, 1/3 còn lại phát triển nhanh chóng và di căn.

Các phương pháp điều trị bệnh UTTTL bao gồm: Phẫu thuật (phẫu thuật mở, nội soi, robot), cắt lạnh; Xạ trị (xạ chiếu ngoài, xạ áp sát); Nội tiết (cắt bỏ tinh hoàn bằng phẫu thuật hoặc thuốc, thuốc kháng androgen); Hóa chất, điều trị đích… Điều trị bệnh UTTTL tùy thuộc vào phân độ nguy cơ tái phát (5 mức độ: nguy cơ rất thấp, nguy cơ thấp, nguy cơ trung bình, nguy cơ cao và nguy cơ rất cao) và tình trạng bệnh nhân cụ thể mà áp dụng đơn thuần hay phối hợp các phương pháp trên. Phân độ nguy cơ tái phát dựa vào các yếu tố như tình trạng u (T), tình trạng hạch (N), độ ác tính của tế bào (điểm Gleason) và nồng độ PSA.

Đối với bệnh nhân UTTTL giai đoạn sớm, khu trú, phẫu thuật (cắt bỏ tuyến tiền liệt +/- vét hạch chậu) và xạ trị chiếu ngoài có thể được chỉ định đạt tỷ lệ kiểm soát bệnh cao. Tuy nhiên, với phẫu thuật nguy cơ tiểu tiện không tự chủ và rối loạn cương dương rất cao lên tới gần 80% bệnh nhân sau điều trị. Điều này ảnh hưởng rất lớn đến tâm sinh lý cũng như chất lượng cuộc sống của bệnh nhân.

Xạ trị chiếu ngoài mặc dù có nhiều kỹ thuật tiến bộ từ xạ trị trong không gian 3 chiều 3D (Three Dimensions) hay hiện đại hơn là xạ trị điều biến liều IMRT (Intensity Modulated Radiation Therapy) và xạ trị điều biến thể tích VMAT (Volumetric Modulated Arc Therapy) đã làm giảm đáng kể biến chứng do xạ trị như viêm bàng quang, viêm trực tràng chảy máu. Tuy vậy, tỷ lệ biến chứng nhất là viêm trực tràng chảy máu vẫn còn cao bởi hai lý do. Một là, thành trước trực tràng rất gần với tuyến tiền liệt (khoảng 0,5 cm) nên rất khó khăn cho việc giảm liều tại trực tràng. Hai là, xạ trị UTTL triệt căn đòi hỏi liều xạ rất cao lên tới 74 Gy, nên cơ quan xung quanh cũng phải chịu liều xạ khá lớn.

Với những khó khăn nêu trên của hai phương pháp chính điều trị UTTTL giai đoạn khu trú là phẫu thuật và xạ trị chiếu ngoài, có một kỹ thuật mới được nghiên cứu ứng dụng ra đời – kỹ thuật cấy hạt phóng xạ (Radioactive Seed Implantation Therapy). Kỹ thuật cấy hạt phóng xạ là phương pháp đưa trực tiếp một đồng vị phóng xạ (I-125, Pd-103…) vào trong tổ chức khối u, nên đã làm tăng liều bức xạ rất lớn lên tới 145 Gy tại khối u (so với xạ ngoài 74 Gy), đồng thời bức xạ này có quãng chạy rất ngắn (3 – 5 mm) nên liều xạ được giảm rất nhanh khi tới tổ chức lành xung quanh. Do vậy, sự tiêu diệt tổ chức ung thư là rất cao đồng thời biến chứng cho cơ quan lành xung quanh là rất ít. Kỹ thuật này đã trở thành một trong những tiến bộ mới của xạ trị hiện nay.

Tuy nhiên, kỹ thuật này rất phức tạp đòi hỏi phải có hệ thống trang thiết bị chuyên dụng và sự phối hợp chặt chẽ đa chuyên khoa. Hệ thống trang thiết bị hiện đại bao gồm máy siêu âm chuyên dụng, phần mềm lập kế hoạch chuyên biệt, các thiết bị kiểm tra đo rà phóng xạ… Về con người, cần sự phối hợp chặt chẽ giữa nhiều chuyên khoa sâu như Y học hạt nhân, Ung bướu, Chẩn đoán hình ảnh, nội thận tiết niệu, ngoại thận tiết niệu, gây mê hồi sức…

Kỹ thuật này đã được thực hiện rộng rãi tại Mỹ, châu Âu, Nhật Bản… do tính kiểm soát bệnh cao cũng như sự bảo tồn tốt được chức năng cũng như các cơ quan xung quanh. Lần đầu tiên tại Việt Nam, Trung tâm Y học hạt nhân và Ung bướu Bệnh viện Bạch Mai đã chuẩn được quy trình phương pháp cấy hạt phóng xạ I-125 và bước đầu điều trị an toàn, thành công 2 bệnh nhân UTTTL.

Nguyên lý của phương pháp cấy hạt phóng xạ

Cấy hạt phóng xạ là phương pháp kết hợp giữa kỹ thuật xạ trị áp sát suất liều thấp và kỹ thuật xạ trị chiếu trong (kỹ thuật Y học hạt nhân). Đối với ung thư tuyến tiền liệt, người ta thường sử dụng các hạt phóng xạ I-125 với kích thước nhỏ 4,5x0,8 mm (Hình 1), phát tia gamma năng lượng 35 keV, thời gian bán rã vật lý khoảng 60 ngày để cấy vào trong tổ chức khối u, có tác dụng tiêu diệt tế bào ung thư tại chỗ mà ít ảnh hưởng tới mô lành xung quanh. Bức xạ gamma mềm chỉ gây nên hiệu quả sinh học trong phạm vi vài mm của các mô bệnh xung quanh và ít tổn thương các mô lành. Ưu điểm nổi bật của kỹ thuật này là tạo ra liều hấp thụ khá cao cho mô bệnh, trong khi các mô lành chỉ phải chụi một liều bức xạ thấp. Các đồng vị phóng xạ(ĐVPX) có thời gian bán rã không quá ngắn và không quá dài (60 ngày đối với I-125) nên có thể để lại các hạt phóng xạ mà không cần lấy ra sau khi cấy hạt phóng xạ vào. Các đo đạc chi tiết cho thấy thời gian chiếu xạ tại mô bệnh kéo dài khoảng 6 tháng vừa đủ cho hiệu quả điều trị.



Hình 1: Kích thước hạt phóng xạ
       


Hình 2: Giường và máy siêu âm chuyên dụng tại TT YHHN-UBBạchMai


 
Hình 3: Hệ thống giá đỡ và ma trận


Hình 4: Kim cấy hạt phóng xạ



 

Hình 5: Các Bác sỹ, Kỹ sư Trung tâm YHHN-UB Bạch mai đang tiến hành cấy hạt phóng xạ cho bệnh nhân theo kế hoạch đã lập

Hiệu quả điều trị

Nghiên cứu tổng hợp đa trung tâm của Peter Grim và cộng sự trên 220.000 bệnh nhân ung thư TTL năm 2003 cho thấy sau điều trị xạ trị áp sát với Pd-103 và I-125, tỷ lệ PSA không tăng trong 9 năm là 83,5%-87%. Tỷ lệ kiểm soát tại chỗ là 97%.Tỷ lệ sống thêm không bệnh là 97%. Đặc biệt cấy hạt phóng xạ có ưu điểm vượt trội so với các phương pháp khác là bảo tồn được chức năng tình dục và sự tiểu tiện tự chủ. Như vậy, cấy hạt phóng xạ là một phương pháp an toàn, hiệu quả, tăng thời gian sống thêm, tăng chất lượng cuộc sống cho BN ung thư TTL giai đoạn sớm.

Ưu điểm của phương pháp cấy hạt phóng xạ là:

- Kiểm soát u tại chỗ cao (tỷ lệ kiểm soát bệnh 97%)
- Điều trị nhanh hơn xạ ngoài
- Nguy cơ tiểu tiện không tự chủ thấp
- Đảm bảo được chức năng sinh lý

Chỉ định điều trị của phương pháp cấy hạt phóng xạ

Ung thư tuyến tiền liệt có:

  • Mô bệnh học là ung thư biểu mô tuyến tiền liệt và có Điểm Gleason ≤ 6
  • Giai đoạn T1-T2
Sau đây là hai trường hợp được điều trị thành công tại Trung tâm Y học hạt nhân và Ung bướu - Bệnh viện Bạch Mai bằng phương pháp cấy hạt phóng xạ điều trị ung thư tiền liệt tuyến giai đoạn sớm. Đây là kỹ thuật xạ trị tiến bộ nhất hiện nay trong điều trị triệt căn ung thư tiền liệt tuyến, lần đầu tiên được tiến hành ở Việt Nam.

Ca lâm sàng 1. BN Trần T. H., nam 64 tuổi, vào viện với lý do tiểu khó

  • Siêu âm, MRI tiểu khung tiền liệt tuyến to khoảng 25 g, khối u TLT chưa xâm lấn túi tinh
  • PSA: 28,5ng/ml


Trên hình ảnh MRI, khối u tuyến tiền liệt ranh giới rõ, bắt thuốc mạnh, kích thước 15 mm, chưa xâm lấn vỏ bao và túi tinh 2 bên.

  • Bệnh nhân được sinh thiết TLT qua đường trục tràng. Mô bệnh học: Ung thư biểu mô tuyến, điểm Gleason 6
  • Xạ hình xương, CT ngực: chưa di căn
Bệnh nhân được chẩn đoán K tuyến tiền liệt, T2cNoMo, Gleason 6 điểm, có chỉ định cấy hạt phóng xạ

Tiến hành cấy hạt phóng xạ: 21 kim, 66 hạt, tổng liều I-125: 145 Gy

 Sau thủ thuật: soi bàng quang

 Soi bàng quan: Không thấy tổn thương trong lòng bàng quang

  • Rà phóng xạ nước tiểu, môi trường: không có
  • Chụp XQ khung chậu thẳng: vị trí kim được cắm tốt


Về lâm sàng: Bệnh nhân có tụ máu nhẹ tầng sinh môn; ăn ngủ, sinh hoạt tốt; không sốt, không đái buốt, không đái rắt.
Theo dõi sau điều trị 1 tháng: BN sinh hoạt bình thường, tiểu tiện tốt, chức năng sinh dục tốt, xét nghiệm PSA 3,4 ng/ml.

Sau điều trị 7 tháng (12/2015):
- Lâm sàng: bệnh nhân thể trạng tốt, đi tiểu bình thường, chức năng sinh dục không giảm so với trước điều trị, không đi ngoài ra máu
- Chụp MRI: Không thấy khối bất thường trên hình ảnh MRI tiểu khung
- Xét nghiệm PSA toàn phần tiếp tục giảm xuống còn 0,91 ng/ml, PSA tự do 0,15 ng/ml.

 So sánh trước và sau điều trị:



Trước điều trị: khối u tuyến tiền liệt ranh giới rõ, bắt thuốc mạnh, kích thước 15 mm, chưa xâm lấn vỏ bao và túi tinh 2 bên; PSA = 28,5 ng/ml

 

Sau điều trị 7 tháng: không còn u trên cộng hưởng từ, nồng độ PSA về bình thường, bệnh nhân hết đi tiểu khó, thể trạng tốt; PSA giảm xuống rất nhiều còn 0,91 ng/ml.

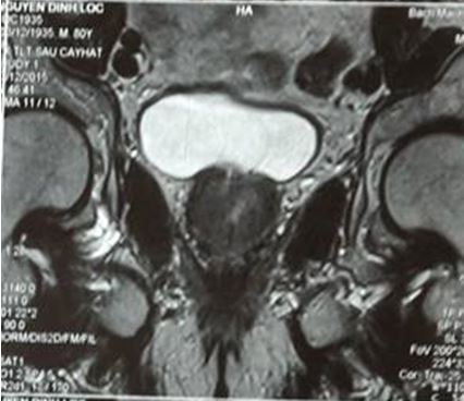
Ca lâm sàng 2: Bệnh nhân Nguyễn Đ.L, nam 80t

  • Vào viện lý do: tiểu khó, tiểu són
  • MRI tiểu khung: khối u TLT chưa xâm lấn túi tinh
 

Hình ảnh MRI: khối u tuyến tiền liệt ranh giới không rõ, ngấm thuốc sau tiêm, kích thước 12 x 15 mm, chưa xâm lấn vỏ bao và túi tinh

  • PSA: 2,4ng/ml
  • Sinh thiết TLT qua đường trục tràng. Mô bệnh học: UTBM tuyến điểm Gleason 7
  • Xạ hình xương; chưa di căn xương, CT ngực: bình thường
Chẩn đoán: Ung thư tuyến tiền liệt T2bNo Mo, có chỉ định cấy hạt phóng xạ

 Tiến hành cấy hạt phóng xạ: 24 kim, tổng liều I-125: 145 Gy

  • Sau thủ thuật:
  • Soi bàng quang: không thấy tổn thương trong lòng bàng quang
  • Rà phóng xạ: không có phóng xạ ở nước tiểu, môi trường
  • Chụp XQ khung chậu thẳng: vị trí kim được cắm tốt
  • Bệnh nhân tụ máu nhẹ tầng sinh môn
---> Sau 1 tháng khám lại: thể trạng tốt, tiểu tiện tự chủ, tiểu không khó, PSA 2,1 ng/ml
 


 Sau điều trị 7 tháng (12/2015):
  • Bệnh nhân thể trạng tốt, đi tiểu bình thường, tiểu tiện tự chủ, không đi ngoài ra máu.
  • Chụp MRI: Không thấy khối bất thường trên hình ảnh MRI tiểu khung

  • Xét nghiệm PSA toàn phần tiếp tục giảm xuống rất thấp còn 0,26 ng/ml, PSA tự do 0,01 ng/ml.
So sánh trước và sau điều trị: 

 

Trước điều trị: tiểu són, tiểu nhiều lần; trên cộng hưởng từ khối u kích thước 12 x 15 mm, ranh giới không rõ, chưa xâm lấn vỏ bao và túi tinh; PSA = 2,4 ng/ml

Sau điều trị 7 tháng: thể trạng tốt, đi tiểu bình thường; trên hình ảnh cộng hưởng từ không có khối bất thường; PSA giảm xuống còn 0,26 ng/ml 


Kết luận: Đây là kỹ thuật phức tạp đòi hỏi phải có hệ thống trang thiết bị chuyên dụng và sự phối hợp chặt chẽ đa chuyên khoa .Trung tâm YHHN & Ung Bướu – Bệnh viện Bạch Mai là đơn vị đầu tiên và duy nhất cho tới thời điểm tại Việt Nam thực hiện cấy hạt phóng xạ I-125 trong điều trị ung thư tiền liệt tuyến giai đoạn sớm. Chúng tôi tiếp tục theo dõi các bệnh nhân trên và cập nhật hiệu quả điều trị trong thời gian tới.

Tin liên quan