Giá trị của PET/CT trong chẩn đoán bệnh u lymphoma ác tính không hodgkin

Ngày đăng: 09/09/2011 Lượt xem 11198
U lymphô ác tính không Hodgkin (Non Hodgkin Lymohoma) là một trong mười bệnh ung thư phổ biến ở nhiều nước trên thế giới. Chụp PET/CT toàn thân với 18F-FDG cho khả năng phát hiện chính xác vị trí các hạch bệnh lý cũng như mức độ lan tràn của bệnh. Trong chẩn đoán giai đoạn bệnh, PET/CT có độ nhạy và độ đặc hiệu đạt 95-100%.

U lymphô ác tính không Hodgkin (Non Hodgkin Lymohoma) là một trong mười bệnh ung thư phổ biến ở nhiều nước trên thế giới. Chụp PET/CT toàn thân với 18F-FDG cho khả năng phát hiện chính xác vị trí các hạch bệnh lý cũng như mức độ lan tràn của bệnh. Trong chẩn đoán giai đoạn bệnh, PET/CT có độ nhạy và độ đặc hiệu đạt 95-100%. Tại Việt nam, PET/CT mới được triển khai trong vài năm trở lại đây nhưng cho đến nay chưa có nghiên cứu nào đánh giá về giá trị của PET/CT trong chẩn đoán, xác định giai đoạn trong bệnh lý u lympho ác tính không Hodgkin. Đề tài được thực hiện nhằm Mục tiêu: 1.Đánh giá đặc điểm hình ảnh PET/CT của u lympho ác tính không Hodgkin. 2.Đánh giá giá trị của PET/CT trong xác định giai đoạn bệnh u lympho ác tính không Hodgkin.Đối tượng nghiên cứu: 21 bệnh nhân đã được chẩn đoán xác định là u lympho ác tính không Hodgkin bằng giải phẫu bệnh được chụp PET/CT từ 6-2010 đến 6-2011 tại TT YHHN và UB BV Bạch Mai. Kết quả nghiên cứu:1.Đặc điểm hình ảnh PET/CT của bệnh nhân u lympho ác tính không Hodgkin: PET/CT xác định tổn thương tại 16 vị trí, trong đó hay gặp nhất là hạch cổ (33,3%), hạch trung thất (28,6%), hạch ổ bụng (23,8%), hạch nách (14,3%), các vị trí còn lại có tỉ lệ gặp thấp hơn.Giá trị hấp thu FDG: cao nhất ở não (15,24), hậu nhãn cầu (11,35), tuyến thượng thận (11,34), da, các vị trí khác có giá trị thấp hơn.Giá trị hấp thu FDG trung bình của nhóm có độ ác tính trung bình: là 9,92-15,33 cao hơn so vớinhóm có độ ác tính thấp (WF2-3): 6,23-7,18. 2. Giá trị của PET/CT trong xác định giai đoạn bệnh u lympho ác tính không Hodgkin. Trước chụp PET/CT: bệnh nhân ở giai đoạn II: 38,1% và III: 33,3%, I: 23,8% và IV: 4,8%. Sau chụp PET/CT: tăng tỷ lệ bệnh nhân ở giai đoạn III lên 47,6% và IV lên 9,6%, giảm số bệnh nhân giai đoạn II còn 28,5% và I còn 14,3%. Kết quả PET/CT đã làm thay đổi giai đoạn ở 5/21(23,8%) bệnh nhân. Kết luận: PET/CT đặc biệt có giá trị để chẩn đoán giai đoạn bệnh trước điều trị trong u lympho ác tính không Hodgkin, giúp cho việc lựa chọn phương thức điều trị hợp lý nhất và đem lại hiệu quả điều trị cao nhất cho bệnh nhân.

I. ĐẶT VẤN ĐỀ

Bệnh u lymphô ác tính không Hodgkin (Non Hodgkin Lymohoma) là một trong hai nhóm bệnh ác tính của tế bào lymphô (bệnh Hodgkin và u lymphô ác tính không Hodgkin), một trong mười bệnh ung thư phổ biến ở nhiều nước trên thế giới. Tại Mỹ bệnh đứng hàng thứ năm trong các loại ung thư, trong năm 2005 có khoảng 56.390 trường hợp mới mắc và 19.200 trường hợp tử vong vì căn bệnh này. Ở Việt Nam bệnh có tỷ lệ mắc chuẩn theo tuổi là 5,2/100.000 dân và đứng hàng thứ 7 trong các loại ung thư thường gặp. Nhiều nghiên cứu cho thấy bệnh có tỷ lệ cao ở các nhóm tuổi 35-40 và 50-55 tuổi. Nếu bệnh được phát hiện sớm và điều trị đúng phương pháp ngay từ đầu thì khả năng chữa khỏi rất cao hoặc thời gian bệnh ổn định cũng kéo dài trong nhiều năm.

U lympho ác tính không Hodgkin có thể khởi phát ở bất kỳ vị trí nào trong cơ thể. Các triệu chứng hay gặp của bệnh là nổi hạch lớn không đau ở cổ, nách, bẹn. Bệnh có thể lan tràn đến mọi bộ phận của cơ thể trong đó có gan, lách, tuỷ xương... Các biểu hiện khác có thể gặp bao gồm: sốt không rõ nguyên nhân, vã mồ hôi về đêm, gày sút cân, mệt mỏi thường xuyên, ngứa. Đôi khi có biểu hiện đau xương, rối loạn tiêu hóa ngay từ đầu. Nhiễm khuẩn thường gặp ở giai đoạn muộn. Nhìn chung bệnh u lympho ác tính không Hodgkin có biểu hiện lâm sàng rất đa dạng và khó đánh giá về tiên lượng.

Chẩn đoán u lympho ác tính không Hodgkin gồm thăm khám lâm sàng, các xét nghiệm cận lâm sàng như siêu âm, chụp cắt lớp vi tính, chụp cộng hưởng từ, sinh thiết hạch chẩn đoán mô bệnh học.Chẩn đoán mô bệnh học đư­ợc coi là tiêu chuẩn vàng để chẩn đoán xác định bệnh. Trong những năm gần đây nhờ những hiểu biết về hoá mô miễn dịch, sinh học tế bào, sinh học phân tử, bệnh u lympho ác tính không Hodgkin đã được phân loại chính xác hơn theo các dòng tế bào T, B theo phân loại mới của Tổ chức Y tế thế giới năm 2001.

Đánh giá chính xác giai đoạn bệnh có ý nghĩa quyết định đến việc lựa chọn phương thức điều trị và kết quả điều trị. Hiện nay việc đánh giá giai đoạn bệnh u lympho ác tính không Hodgkin chủ yếu dựa vào chụp cắt lớp vi tính, cộng hưởng từ nhưng các phương pháp này chỉ phát hiện những hạch lớn hơn 1cm và không đánh giá được tính chất của hạch. Xạ hình xương toàn thân với Tc-99m- MDP để phát hiện di căn xương có độ nhạy cao nhưng độ đặc hiệu khá thấp. Trong những năm gần đây kỹ thuật PET/CT được ứng dụng ở Việt Nam đã đem lại rất nhiều lợi ích trong chẩn đoán bệnh, đặc biệt là các bệnh lý ung thư. Chụp PET/CT toàn thân với 18F-FDG kết hợp hình ảnh chuyển hoá, chức năng ở mức độ phân tử, tế bào của PET với hình ảnh về giải phẫu, cấu trúc của CT cho khả năng phát hiện chính xác vị trí các hạch bệnh lý cũng như mức độ lan rộng của bệnh với độ nhạy và độ đặc hiệu cao hơn hẳn các phương pháp chẩn đoán hình ảnh thông thường. Theo kết quả nghiên cứu của nhiều tác giả nước ngoài độ nhạy và độ đặc hiệu của PET/CT trong chẩn đoán giai đoạn bệnh u lympho ác tính không Hodgkin đạt tới 95-100%. PET/CT đã làm thay đổi giai đoạn bệnh ban đầu ở khoảng 30-45% các bệnh nhân.

Trên thế giới đã có những nghiên cứu về giá trị của PET/CT trong chẩn đoán bệnh lý u lympho ác tính không Hodgkin. Tại Việt nam, chụp PET/CT mới được triển khai trong vài năm trở lại đây tại một số cơ sở y tế lớn nhưng cho đến nay chưa có nghiên cứu nào đánh giá về giá trị của PET/CT trong chẩn đoán, xác định giai đoạn trong bệnh lý u lympho ác tính không Hodgkin. Vì vậy chúng tôi tiến hành đề tài này nhằm mục tiêu:

1. Đánh giá đặc điểm hình ảnh PET/CT của u lympho ác tính không Hodgkin.

2. Đánh giá giá trị của PET/CT trong xác định giai đoạn bệnh u lympho ác tính không Hodgkin.

II. ĐỐI TƯỢNG VÀ PHƯƠNG PHÁP NGHIÊN CỨU

1. Đối tượng nghiên cứu: 21 bệnh nhân (BN) đã được chẩn đoán xác định là u lympho ác tính không Hodgkin bằng kết quả giải phẫu bệnh, được chụp PET/CT để chẩn đoán giai đoạn trước điều trị.

2. Phương pháp nghiên cứu.

2.1.Thiết kế nghiên cứu: nghiên cứu dịch tễ học mô tả hồi cứu và tiến cứu.

2.2. Qui trình kỹ thuật.

+ Dược chất phóng xạ: Dung dịch F-18 FDG (2-fluoro-2-deoxy-D-glucose), liều dùng 0,15 – 0,20 mCi/Kg cân nặng (7 -12 mCi).

+ Chuẩn bị bệnh nhân: 

- Nhịn ăn trước 4 giờ

- Được khám lâm sàng xác định tình trạng chung, tiền sử bệnh.

- Đo cân nặng, chiều cao, mạch, huyết áp, nhiệt độ.

- Đo đường máu mao mạch.

- Sau tiêm thuốc phóng xạ bệnh nhân nằm nghỉ ngơi yên tĩnh trong buồng cách ly, tránh ánh sáng và tiếng ồn mạnh, uống nhiều nước.

+ Chụp hình PET/CT : tiến hành sau tiêm F-18 FDG 45 - 60 phút.

+ Xử lý hình ảnh và nhận định kết quả: Kết quả được phân tích, đánh giá và đưa ra nhận định cuối cùng sau khi khảo sát hình ảnh CT, hình ảnh PET, hình lồng ghép PET/CT về tính chất hấp thu, phân bố hoạt chất phóng xạ F-18 FDG. Các chỉ số định tính như kích thước, thể tích của tổn thương, tỷ trọng và định lượng qua chỉ số hấp thu hoạt chất phóng xạ chuẩn (Standard uptake value : SUV) được đo - tính cho mỗi tổn thương để kết hợp đánh giá kết quả cuối cùng.

2.3. Xếp loại giải phẫu bệnh và phân loại giai đoạn bệnh trước và sau chụp PET/CT

a. Trước chụp PET/CT tất cả các bệnh nhân trong nghiên cứu được xếp loại giải phẫu bệnh và chẩn đoán giai đoạn bệnh
 
+ Xếp loại giải phẫu bệnh theo Hướng dẫn thực hành lâm sàng (WF-working formulation) từ WF1 đến WF10 với độ ác tính thấp (WF1, WF2, WF3), độ ác tính trung bình (WF4, WF5, WF6, WF7), độ ác tính cao (WF8, WF9, WF10).

+ Phân loại giai đoạn bệnh theo hệ thống Ann Bornor:

Giai đoạn 1: tổn thương một vùng hạch hoặc tổn thương khu trú ở một vị trí hoặc một cơ quan ngoài hạch.

Giai đoại 2: tổn thương hai vùng hạch trở lên ở cùng một phía với cơ hoành hoặc tổn thương khu trú ở một vị trí hoặc một cơ quan ngoài hạch và hạch lympho vùng của nó, kèm theo hoặc không tổn thương vùng lympho khác ở một phía của cơ hoành.

Giai đoạn 3: tổn thương nhiều vùng hạch lympho ở cả hai phía của cơ hoành, có thể kèm theo tổn thương khu trú ở một vị trí hoặc cơ quan ngoài hạch hoặc kèm theo tổn thương lách.

Giai đoạn 4: tổn thương lan toả nhiều ổ ở một hay nhiều cơ quan ngoài hạch kèm theo hoặc không tổn thương hạch lympho phối hợp, hoặc tổn thương một cơ quan ngoài hạch kèm theo tổn thương hạch ở xa.

b. Sau chụp PET/CT: Bệnh nhân được phân lại giai đoạn bệnh theo số lượng và vị trí các tổn thương được xác định trên hình ảnh PET/CT.

2.4. Thời gian và địa điểm nghiên cứu : từ tháng 6 năm 2010 đến tháng 6 năm 2011 tại Trung tâm Y học hạt nhân và Ung bướu Bệnh viện Bạch Mai.

2.5. Xử lý số liệu: bằng phần mềm Stata 10.0.

III. KẾT QUẢ NGHIÊN CỨU

1. Tuổi và giới của đối tượng nghiên cứu (ĐTNC)

Bảng 1. Tuổi và giới của ĐTNC



Nhận xét: Tuổi trung bình của đối tượng nghiên cứu là 55,1. Tỷ lệ nam/nữ là 4/3, Bệnh nhân nhỏ tuổi nhất là 13, bệnh nhân lớn tuổi nhất là 86.

 
Biểu đồ 1: Phân bố bệnh nhân theo nhóm tuổi

Nhận xét: Nhóm bệnh nhân ở nhóm tuổi >60 chiếm tỷ lệ cao nhất: 39,7%; nhóm tuổi từ 50-60 chiếm tỷ lệ 30,2%; các nhóm tuổi <50 có tỷ lệ thấp hơn.

2. Xếp loại giải phẫu bệnh

Các bệnh nhân trong nghiên cứu xếp loại giải phẫu bệnh theo Hướng dẫn thực hành lâm sàng (WF-working formulation) từ WF1 đến WF10 với độ ác tính thấp (WF1, WF2, WF3), độ ác tính trung bình (WF4, WF5, WF6, WF7), độ ác tính cao (WF8, WF9, WF10).

Bảng 2: Loại giải phẫu bệnh của đối tượng nghiên cứu



Nhận xét: Kết quả cho thấy 21 bệnh nhân có các loại giải phẫu bệnh từ WF2 đến WF7 trong đó nhóm bệnh nhân có độ ác tính trung bình gặp nhiều nhất (85,7%), số còn lại là nhóm có độ ác tính thấp, không gặp bệnh nhân nào thuộc nhóm có độ ác tính cao.

3. Đặc điểm các tổn thương phát hiện trên PET/CT

Bảng 3. Số lượng và vị trí các tổn thương

  

Nhận xét: Trên hình chụp PET/CT xác định được tổn thương tại 16 vị trí, trong đó gặp nhiều nhất là hạch cổ (33,3%), hạch trung thất (28,6%), hạch ổ bụng (23,8%), hạch nách (14,3%), tổn thương thâm nhiễm xương (14,3%), các vị trí còn lại với tỉ lệ gặp thấp hơn.

4. Giá trị hấp thu FDG (max SUV) theo vị trí tổn thương

Bảng 4: Giá trị max SUV theo vị trí tổn thương


 
 
Nhận xét: Giá trị hấp thu max SUV trung bình của các vị trí tổn thương: cao nhất ở não (15,24), vùng hậu nhãn cầu (11,35), tuyến thượng thận (11,35), da (11,04), tiếp theo là hạch ổ bụng (10,45), hạch cổ (9,01), hạch trung thất (7,47), tổn thương ở các vị trí còn lại có mức hấp thu FDG thấp hơn.

5. Giá trị max SUV của tổn thương theo loại giải phẫu bệnh

Bảng 5: Giá trị max SUV của tổn thương theo loại giải phẫu bệnh



Nhận xét: Giá trị hấp thu max SUV trung bình của còn nhóm bệnh nhân có độ ác tính trung bình: WF5: 10,21; WF6: 15,33; WF7: 11,83, cao hơn hẳn so với nhóm có độ ác tính thấp: WF2: 7,18; WF3: 6,23; WF4: 9,92.

6. Phân loại giai đoạn bệnh trước và sau chụp PET/CT

6.1 Trước chụp PET/CT:

Các đối tượng nghiên cứu được phân giai đoạn theo hệ thống Ann Arbor dựa vào kết quả chụp CT hoặc cộng hưởng từ.

Bảng 6: Phân loại giai đoạn bệnh trước chụp PET/CT



Nhận xét: Trước khi chụp PET/CT có 8 bệnh nhân (38,1%) ở giai đoạn II, 7 bệnh nhân (33,3%) ở giai đoạn III, 5 bệnh nhân ở giai đoạn I (23,8%) và 1 bệnh nhân ở giai đoạn IV (4,8%).

 

6.2. Sau chụp PET/CT:

Các bệnh nhân được phân lại giai đoạn dựa vào số lượng và vị trí các tổn thương được xác định trên hình ảnh PET/CT so với kết quả trước chụp PET/CT:

- 2 bệnh nhân ở giai đoạn I phát hiện thêm hạch và tổn thương một cơ quan khác phía cơ hoành chuyển lên giai đoạn III.

- 2 bệnh nhân ở giai đoạn II phát hiện thêm tổn thương hạch, tổn thương một cơ quan khác phía cơ hoành chuyển thành giai đoạn III.

- 1 bệnh nhân giai đoạn III phát hiện thêm tổn thương thâm nhiễm một số cơ quan ngoài hạch chuyển lên giai đoạn IV.

Bảng 7: Phân loại giai đoạn bệnh sau chụp PET/CT



Nhận xét: Sau khi chụp PET/C tăng số bệnh nhân ở giai đoạn III lên 47,6%, ở giai đoạn IV lên 9,6%, giảm số bệnh nhân ở giai đoạn II còn 28,5% và giai đoạn I còn 14,3%.
 
IV. BÀN LUẬN

Trong số 21 bệnh nhân trong nghiên cứu của chúng tôi, độ tuổi trung bình của bệnh nhân là 55,1, trong đó nhóm >40 tuổi chiếm tỷ lệ cao (69,9%); tỷ lệ mắc bệnh ở nam/nữ là 4/3 (bảng 1). Kết quả này cũng phù hợp với các nghiên cứu của các tác giả trong và ngoài nước, bệnh u lymphoma ác có tỷ lệ mắc cao ở độ tuổi >50, nam gặp nhiều hơn nữ.

Về xếp loại giải phẫu bệnh chúng tôi phân loại theo bảng thực hành lâm sàng (WF) theo độ ác tính tăng dần từ WF1 đến WF10. Kết quả nghiên cứu cho thấy, chủ yếu bệnh nhân có độ ác tính trung bình, trong đó WF7 có tỷ lệ cao nhất (42,8%), tiếp theo là WF6 (23,8%) và WF5 (14,3%); nhóm có độ ác tính thấp chiếm tỷ lệ thấp hơn, không có bệnh nhân nào thuộc nhóm có độ ác tính cao (bảng 2). Kết quả của chúng tôi cũng phù hợp với kết quả nghiên cứu của Bạch Quốc Khánh và cs, loại WF6 và WF7 chiếm tỷ lệ cao nhất (82,9%).

Một trong những điểm mạnh của PET/CT là có thể phát hiện được tất cả các tổn thương trong cơ thể chỉ trong một lần chụp. Tổn thương hạch là triệu chứng phổ biến nhất của u lympho ác tính không Hodgkin. Ngoài hạch, PET/CT còn có thể phát hiện được các tổn thương ở xương, phổi, não, gan, lách.... 21 bệnh nhân trong nghiên cứu của chúng tôi, PET/CT đã phát hiện được tổn thương ở 16 vị trí. Vị trí gặp nhiều nhất là các tổn thương hạch: hạch cổ (33,3%), hạch trung thất (28,6%), hạch ổ bụng (23,8%), hạch nách (14,3%). Ngoài vị trí kể trên PET/CT còn phát hiện các vị trí tổn thương ở xương, phổi, não, hậu nhãn cầu, hốc mũi, thành vòm, amydal, phần mềm thành ngực, thành bụng, gan, tuyến thượng thận và tủy sống nhưng với tỷ lệ thấp hơn (bảng 3). Tỷ lệ u lympho tại hạch gặp ở 18/21 bệnh nhân (chiếm 85,7%) và u lympho ngoài hạch là 3/21 (14,3%).

Tăng sử dụng glucose là đặc tính của u lympho ác tính, mặc dù mức sử dụng glucose có sự khác nhau khá lớn giữa các loại giải phẫu bệnh. Chính tính chất tăng chuyển hoá mạnh glucose của các tổn thương trong u lympho ác tính không Hodgkin đã giúp PET/CT trở thành công cụ rất có giá trị trong chẩn đoán, đặc biệt trong phân giai đoạn bệnh, đánh giá đáp ứng điều trị và tiên lượng bệnh. Các u lympho có độ ác tính cao thường hấp thu FDG mạnh hơn loại có độ ác tính thấp. Trong nghiên cứu của chúng tôi, tất cả các tổn thương đều có mức độ hấp thu FDG (SUV) cao (bảng 4). Giá trị SUV trung bình tại hạch ở nhóm bệnh nhân có độ ác tính trung bình cao hơn nhóm có độ ác tính thấp, tương ứng là 6,23 - 7,18 và 9,92 - 15,33 (bảng 5). Theo kết quả nghiên cứu của Schoder và cs (2005) thì giá trị hấp thu FDG của các tổn thương trong u lympho ác tính dao động từ 6,3 ± 2,7 đến 18,2 ±10,0. Như vậy kết quả nghiên cứu của chúng tôi cũng phù hợp với kết quả nghiên cứu của tác giả trên.

Việc xác định chính xác giai đoạn bệnh trước điều trị trong u lympho ác tính rất quan trọng vì nó quyết định đến việc lựa chọn phương thức điều trị, tiên lượng bệnh cũng như hiệu quả điều trị. Theo kết quả nghiên cứu của các tác giả nước ngoài, PET/CT rất có giá trị trong đánh giá giai đoạn ban đầu của u lympho ác tính không Hodgkin, độ nhạy và độ đặc hiệu đạt tới 95% và 100%. PET/CT cung cấp nhiều thông tin hơn so với CT về mức độ lan rộng của bệnh. Cơ quan bị thâm nhiễm thường gặp là tuỷ xương, gan, lách. Sinh thiết tuỷ xương là cơ sở chính để xác định chẩn đoán nhưng có tỷ lệ âm tính giả do khâu lấy mẫu. Chụp cộng hưởng đặc biệt có giá trị trong đánh giá tổn thương xương tuy nhiên những trường hợp tổn thương lành tính như u máu, viêm, những thay đổi sau điều trị đã hạn chế độ đặc hiệu của phương pháp này. PET/CT có thể phát hiện sớm và chính xác các tổ chức u lympho ác tính ngoài hạch ở gan, lách, phần mềm...do mức hấp thu FDG cao của các tổn thương này.

Về giá trị của PET/CT trong chẩn đoán giai đoạn bệnh trong u lympho ác tính không Hodgkin đã có những nghiên cứu của các tác giả nước ngoài về vấn đề này. Theo nghiên cứu của Naumann và cs (2004), PET/CTcó thể phát hiện thêm 30% các tổn thương so với các tổn thương ban đầu đã được phát hiện bằng các phương pháp chẩn đoán khác như CT, MRI. Kết quả nghiên cứu của Shipp và cs (1997) cho thấy PET/CT đã phát hiện được 25-40% bệnh nhân có thâm nhiễm tuỷ xương ở bệnh nhân thể lan toả tế bào lớn. Theo Rini và cs (2002), PET/CT phát hiện thêm khoảng 25% tổn thương ở gan và lách mà CT đã không xác định được trước đó. Kết quả PET/CT làm thay đổi giai đoạn ban đầu ở 10-40% bệnh nhân (Jerusalem và cs 1999; Schoder và cs 2001), chủ yếu là nâng giai đoạn bệnh hơn là hạ giai đoạn do phát hiện thêm các tổn thương mới. Việc thay đổi giai đoạn bệnh đã làm thay đổi phương thức điều trị ở khoảng 25% số bệnh nhân NHL (Buchmann và cs, 2001).

Trong nghiên cứu của chúng tôi, các bệnh nhân trước chụp PET/CT được phân giai đoạn bệnh theo hệ thống Ann Arbor dựa trên kết quả chụp CT, cộng hưởng. Kết quả cho thấy có 8/21 bệnh nhân ở giai đoạn II chiếm tỷ lệ 38,1%, 7/21 bệnh nhân ở giai đoạn III (33,3%), bệnh nhân ở giai đoạn I là 28,3%, giai đoạn IV là 4,8% (bảng 6). Sau chụp PET/CT bệnh nhân được phân lại giai đoạn bệnh theo dựa vào số lượng và vị trí các tổn thương được xác định trên hình ảnh PET/CT. Kết quả sau chụp PET/CT cho thấy: có 2 bệnh nhân ở giai đoạn I phát hiện thêm hạch và tổn thương một cơ quan khác phía cơ hoành chuyển lên giai đoạn III; 2 bệnh nhân ở giai đoạn II phát hiện thêm tổn thương hạch, tổn thương một cơ quan khác phía cơ hoành chuyển thành giai đoạn III; 1 bệnh nhân giai đoạn III phát hiện thêm tổn thương thâm nhiễm một số cơ quan ngoài hạch chuyển lên giai đoạn IV (bảng 7). Như vậy trong nghiên cứu của chúng tôi, kết quả PET/CT đã thay làm đổi giai đoạn bệnh ở 5 trong số 21 bệnh nhân, chiếm tỷ lệ 23,8%. Như vậy kết quả thu được của chúng tôi không có sự khác biệt so với kết quả nghiên cứu của các tác giả nước ngoài.

Từ kết quả trên có thể thấy là PET/CT đặc biệt có giá trị trong chẩn đoán giai đoạn bệnh trước điều trị. Việc đánh giá chính xác giai đoạn bệnh giúp cho các bác sĩ điều trị lựa chọn phương thức điều trị phù hợp nhất và đem lại hiệu quả điều trị cao nhất cho bệnh nhân.

Ngoài giá trị chẩn đoán, PET/CT cũng rất có giá trị trong theo dõi, đánh giá đáp ứng điều trị và tiên lượng bệnh trong u lympho ác tính không Hodgkinn. Vấn đề này chúng tôi sẽ đề cập đến trong những nghiên cứu tiếp theo.

V. KẾT LUẬN

Từ kết quả nghiên cứu trên 21 bệnh nhân u lympho ác tính chụp PET/CT tại Trung tâm Y học hạt nhân và Ung bướu bệnh viện Bạch Mai, chúng tôi rút ra một số kết luận như sau:

1. Đặc điểm hình ảnh PET/CT của bệnh nhân u lympho ác tính không Hodgkin.

- PET/CT xác định tổn thương tại 16 vị trí, trong đó hay gặp nhất là hạch cổ (33,3%), hạch trung thất (28,6%), hạch ổ bụng (23,8%), hạch nách (14,3%), các vị trí còn lại có tỉ lệ gặp thấp hơn.

- Giá trị hấp thu FDG (max SUV) ở các tổn thương: cao nhất ở não (15,24), tiếp theo ở vùng hậu nhãn cầu (11,35), tuyến thượng thận (11,34), da (11,04), các vị trí khác có giá trị thấp hơn.

- Giá trị hấp thu FDG trung bình của nhóm có độ ác tính trung bình (WF4-7) là 9,92 - 15,33 cao hơn hẳn so với nhóm có độ ác tính thấp (WF2-3): 6,23 - 7,18.

2.Giá trị của PET/CT trong xác định giai đoạn bệnh u lympho ác tính không Hodgkin.

- Trước khi chụp PET/CT: bệnh nhân ở giai đoạn II chiếm 38,1%, giai đoạn III là 33,3%, giai đoạn I: 23,8% và giai đoạn IV: 4,8%.

- Sau khi chụp PET/CT: tăng tỷ lệ bệnh nhân ở giai đoạn III lên 47,6% và giai đoạn IV lên 9,6%, giảm số bệnh nhân giai đoạn II xuống còn 28,5% và giai đoạn I còn 14,3%.

- Kết quả PET/CT đã thay đổi giai đoạn bệnh ở 5 trong số 21 bệnh nhân, chiếm tỷ lệ 23,8%.

TÀI LIỆU THAM KHẢO

1. Nguyễn Bá Đức. Chẩn đoán và điều trị bệnh ung thư, Nhà xuất bản Y học Hà Nội, 2009.

2. Bạch Quốc Khánh. Nhận xét và kết quả chẩn đoán và điều trị u lympho ác tính tại Viện huyết học và truyền máu Trung ương, 2008.

3. Đỗ Trung Phấn. Bệnh lý tế bào nguồn tạo máu, Nhà xuất bản Y học Hà Nội 2003, trang 364-365.

4. Hans-Jurgen Biersack, Leonard Freeman. Clinical Nuclear Medicine, 2007: 331-337.

5. La Fougere C, Hundt W, Brockel N, et al. Value of PET/CT versus PET and CT performed as separate investigations in patients with Hodgkin's disease and non-Hodgkin's lymphoma. Eur J Nucl Med Mol Imaging 2006; 33(12):1417-1425

6. Peter G Isaacson: Postgraduate Haematology, 5 edition, 2005: 714

7. Tatsumi M, Cohade C, Nakamoto Y, Fishman EK, Wahl RL. Direct comparison of FDG PET and CT findings in patients with lymphoma: initial experience. Radiology 2005; 237(3):1038-1045 51.

MỘT SỐ HÌNH ẢNH MINH HỌA



Ca lâm sàng 1: Bệnh nhân Vũ D.L., nam, 56 tuổi. Chẩn đoán: Non-Hodgkin Lymphoma , GPB: WF7.

Hình PET/CT toàn thân thấy tổn thương hạch ở nhiều vị trí: vùng cổ, trung thất, hố nách, ổ bụng, bẹn (các mũi tên)

 

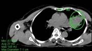
Ca lâm sàng 2: Bệnh nhân Nguyễn T.V., nữ, 72 tuổi. Chẩn đoán: U lympho ác tính không Hodgkin biểu hiện tại phổi, GPB: WF6. Hình CT và PET/CT cho thấy khối u phổi trái tăng hấp thu FDG (vòng tròn) với max SUV=7,94.

           

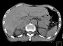
Ca lâm sàng 3: Bệnh nhân Nguyễn X.T., nam, 58 tuổi. Chẩn đoán: U lympho ác tính không Hodgkin, GPB: WF6. Hình PET cho thấy tổn thương ở phổi, hạch, xương, tuyến thượng thận hai bên (mũi tên). Hình CT và PET/CT cho thấy tổn thương tăng hấp thu FDG tại vị trí tuyến thượng thận hai bên (mũi tên).

 

Ca lâm sàng 4: Bệnh nhân Lê V.T., nam, 73 tuổi. Chẩn đoán: U lympho ác tính không Hodgkin biểu hiện ở màng cứng ống tủy sống. Hình PET/CT cho thấy tổn thương tăng hấp thu FDG tại ống tuỷ sống



Ca lâm sàng 5: Bệnh nhân Trần V. V., nam, 57 tuổi. Chẩn đoán: u lympho hốc mũi; GPB: WF5. Hình CT, PET và PET/CT cho thấy tổn thương u ở vùng hốc mũi trái (mũi tên) tăng hấp thu FDG.

Mai Trọng Khoa, Trần Đình Hà, Trần Hải Bình, Nguyễn Thị The, Nguyễn Thành Chương Nguyễn Xuân Thanh, Thiều Thị Hằng, Nguyễn Văn Thảo, Trần Văn Thống và cs. Trung tâm Y học hạt nhân và ung bướu-Bệnh viện Bạch Mai.


Tin liên quan