Hình ảnh PET/ CT trong đánh giá giai đọan và lập kế hoạch xạ trị cho ung thư vùng đầu cổ

Ngày đăng: 05/06/2011 Lượt xem 4367
Các ung thư vùng đầu cổ được điều trị bằng phẫu thuật, xạ trị có thể phối hợp thêm với hóa chất. Trong đó xạ trị đóng vai trò rất quan trọng trong điều trị ung thư vùng này do vùng đầu cổ có giải phẫu phức tạp, nhiều cấu trúc giải phẫu quan trọng, nhiều vị trí u và không phải lúc nào cũng phẫu thuật được,...
 
Các ung thư vùng đầu cổ được điều trị bằng phẫu thuật, xạ trị có thể phối hợp thêm với hóa chất. Trong đó xạ trị đóng vai trò rất quan trọng trong điều trị ung thư vùng này do vùng đầu cổ có giải phẫu phức tạp, nhiều cấu trúc giải phẫu quan trọng, nhiều vị trí u và không phải lúc nào cũng phẫu thuật được, cũng như phẫu thuật có thể gây tàn phế và đem lại chất lượng sống thấp cho người bệnh, mặt khác nhiều trường hợp bệnh ung thư vùng này lại có thể điều trị triệt căn bằng xạ trị đơn thuần hoặc xạ trị phối hợp với hóa chất (tùy thuộc vào giai đoạn bệnh), gần đây việc áp dụng kỹ thuật xạ trị điều biến liều (IMRT) trong ung thư nói chung cũng như ung thư đầu cổ giúp cải thiện kết quả điều trị nâng cao chất lượng sống cho người bệnh, kỹ thuật điều trị chính xác này với mục đích tăng liều tối đa tại tổ chức bệnh và giảm liều tối thiểu tại tổ chức lành.

Do vậy việc xác định chính xác thể tích u cần điều trị là việc rất quan trọng cho việc tăng liều tối đa tại tổ chức bệnh và giảm liều tối thiểu tại tổ chức lành tránh tia liều cao không cần thiết vào tổ chức lành.

Việc áp dụng hình ảnh chức năng PET, PET/CT trong chẩn đoán và lập kế họach xạ trị ung thư vùng đầu cổ là rất quan trọng giúp bác sỹ lâm sàng xác định giai đoạn chính xác từ đó thay đổi phác đồ điều trị hợp lý và xác đinh thể tích chiếu tia phù hợp.

Nghiên cứu của Letizia Deantonio (Italia) đăng trên tạp chí Radiation Oncology ở 22 bệnh nhân ung thư vùng đầu cổ không có chỉ định phẫu thuật, không có bằng chứng di căn xa, thể trạng chung tốt, được so sánh đánh giá giai đoạn và lập kế hoạch xạ trị trên CT, PET/CT để xem sau đánh giá PET/CT làm thay đổi giai đoạn bệnh và thể tích khối u thô (GTV) như thế nào?

Kết quả cho thấy 22% (5 bệnh nhân) thay đổi giai đoạn bệnh theo bảng sau.

Bảng1 thay đổi giai đoạn bệnh sau chụp PET/CT

Bệnh nhân

Loại bệnh

Giai đoạn bệnh theo CT

Giai đoạn theo PET/CT

1

Hầu họng

T1N0M0, GĐ I

T2N0M0, GĐ II

2

Vòm họng

T3N2bM0, GĐ III

T4N2bM0, GĐ IVA

3

Hạ họng

T1N0M0, GĐ I

T1N1M0, GĐ III

4

Hạ họng

T2N0M0, GĐ II

T2N1M0, GĐ III

5

Hạ họng

T3N2bM0, GĐ IVA

T4N2bM1, GĐ IVC


Kết quả về xác định thể tích khối u thô cho thấy thể tích trung bình của PET/CT-GTV là 26,0 cm3 có thay đổi so với CT-GTV là 20 cm3 và PET-GTV là 17,2cm3 (p<0,001) cho thấy xác định thể tích u thô trên PET kết hợp cả CT có độ chính xác hơn.

 
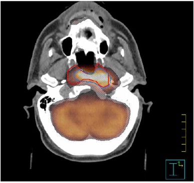
Hình ảnh PET/CT của bệnh nhân ung thư vòm, loại không biệt hóa: đường đỏ xác định bằng CT, đường xanh xác định bằng PET


Lập kế hoạch xạ trị trên hình ảnh PET/CT cho ung thư vùng đầu cổ tại trung tâm Y học hạt nhân và Ung bướu BV Bạch Mai

Mai Trọng Khoa, Vương Ngọc Dương, Trần Đình Hà, Lê Chính Đại, Ngô Thùy Trang
Trung tâm Y học hạt nhân và Ung bướu, Bệnh viện Bạch Mai

Tin liên quan