Trong các bệnh ung thư thường gặp thì ung thư phổi chiếm tỉ lệ mắc cũng như tỉ lệ tử vong cao nhất trên thế giới. Tại Mỹ mỗi năm có khoảng 174.000 người mới mắc và 160.000 người tử vong. Tại Việt Nam tỉ lệ mắc khoảng 34/100.000 người đứng hàng đầu trong ung thư ở nam giới và xếp một trong bốn loại ung thư thường gặp nhất ở nữ giới
Ung thư phổi là nguyên nhân hàng đầu gây tử vong ở cả hai giới. Về nguyên nhân có tới 90% ung thư phổi do hút thuốc lá, trong đó phải kể đến việc hút thuốc lá thụ động ở phụ nữ và trẻ em ngày càng nghiêm trọng. Hút thuốc lá vừa là yếu tố khơi mào vừa là yếu tố thúc đẩy quá trình sinh bệnh ung thư này. Về mặt mô bệnh học bao gồm hai nhóm chính: ung thư tế bào nhỏ và ung thư không tế bào nhỏ (ung thư biểu mô vẩy, ung thư biểu mô tuyến, ung thư biểu mô tế bào lớn và ung thư tiểu phế quản - phế nang). Bệnh thưòng tiến triển âm thầm, triệu chứng mơ hồ, không đặc hiệu, do vậy bệnh thường phát hiện ở giai đoạn muộn, điều trị khó khăn, tiên lượng xấu.
1. Nguyên tắc điều trị bệnh ung thư phổi: dựa vào mô bệnh học, giai đoạn bệnh và từng tình trạng bệnh nhân cụ thể. Việc điều trị thường kết hợp đa mô thức: Phẫu thuật, xạ trị, hoá chất và gần đây là các tác nhân nhắm trúng đích.
1.1. Đối với ung thư phổi không tế bào nhỏ (KPKTBN)
- Giai đoạn I đến IIIA: Phẫu thuật +/- tia xạ +/- toàn thân. Phẫu thuật có thể bao gồm: cắt phân thuỳ phổi, cắt thuỳ phổi, cắt lá phổi kết hợp vét hạch vùng.
- Giai đoạn IIIB – IV : Không mổ được, phối hợp giữa tia xạ và điều trị toàn thân. Một số trường hợp sau khi điều trị tia xạ và hoá chất, bệnh giảm giai đoạn có thể cân nhắc phẫu thuật.
1.2. Đối với Ung thư phổi tế bào nhỏ: phối hợp giữa tia xạ và điều trị toàn thân, không phẫu thuật.
2. Xạ trị ung thư phổi bằng kỹ thuật xạ trị điều biến liều (IMRT: Intensity modulated radiation therapy)
Trung tâm Y học Hạt nhân và Ung Bướu - Bệnh viện Bạch Mai là nơi đầu tiên trong cả nước tiến hành kỹ thuật xạ trị IMRT cho hàng trăm bệnh nhân ung thư trong đó có ung thư phổi, đạt hiệu quả cao và giảm các biến chứng do tia xạ.
Trong thời gian gần đây, lần đầu tiên ở Việt Nam chúng tôi đã ứng dụng thành công việc sử dụng máy PET/CT để lập kế hoạch xạ trị cho bệnh nhân ung thư. Đây là một kỹ thuật tiên tiến nhất trong xạ trị ung thư hiện nay với độ nhạy và độ đặc hiệu rất cao so với mô phỏng CT thường dùng. Độ nhạy: 76 – 92% cho PET/CT, 56 – 75% cho CT; độ đặc hiệu: 81 – 100% cho PET/CT, 73 – 87% cho CT; độ chính xác: 80 – 100% cho PET/CT, 77 – 82% cho CT
Mô phỏng bằng máy CT hoặc PET/CT với độ dày 3 mm, lấy từ thanh quản đến cột sống L2 và tốt hơn có hệ thống RG (respiratory gated) hoặc EPID (electronic portal imaging systems).
Lập kế hoạch Xạ trị IMRT
1. Xác định các thể tích cần tia xạ
- GTV: Đối với mô phỏng CT, GTV bao gồm khối u, hạch vùng nếu kích thước lớn hơn 1,5 cm với kích thước này hạch do ung thư di căn tới 90%, lưu ý phải vẽ khối u trên cửa sổ nhu mô phổi mới xác định đúng mức xâm lấn của khối u.
Đối với mô phỏng PET/CT: Xác định chính xác được GTV (còn gọi là BTV: biological target volume (xem thêm phần mô phỏng PET/CT)) đồng thời tránh được phần nhu mô phổi bị viêm, xẹp phổi (hình ảnh)
- CTV: được xác định cách rìa GTV là 6 mm đối với Adenocarcinoma, và 8 mm đối với Squamous cell carcinoma + hạch rốn phổi và trung thất chọn lọc
- PTV: bao gồm CTV có tính đến sự di động của khối u và sự sai lệch khi đặt bệnh nhân trong quá trình xạ trị. Thông thường sự di động của khối u ở thuỳ trên và thuỳ dưới của phổi tương ứng là 7,8 và 12,5mm. Sự sai lệch khi đặt bệnh nhân trong quá trình xạ trị được tính trung bình là 7mm.
2. Xác định các thể tích cần bảo vệ bao gồm phổi lành, tuỷ sống, thực quản, tim và các mạch máu lớn. Liều tối đa cho nhu mô phổi không quá 20Gy, tốt nhất không quá 15Gy, cho tuỷ sống không quá 45Gy, cho thực quản không quá 50Gy đối với xạ trị riêng rẽ và không quá 40Gy đối với hoá xạ trị đồng thời. Cần lưu ý rằng hoá xạ trị đồng thời thì không dùng phác đồ có Doxorubicin và Methotrexate vì làm tăng nhiều độc tính nguy hại.
3. Xác định năng lượng và các hướng của chùm tia.
Thường sử dụng mức năng lượng 15MV. Tuỳ theo vị trí và thể tích khối u so với các cơ quan lành mà lựa chọn các hướng thích hợp. Không nên chọn các chùm tia đối xứng
4. Tiến hành tối ưu hoá với phần mềm Prowess Panther 4.6 tìm ra kế hoạch tối ưu nhất và so sánh với kỹ thuật 3D thông thường
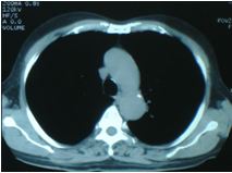
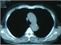
Sau đây là một trường hợp ung thư phổi đã được điều trị thành công bằng phương pháp IMRT tại Trung tâm Y học Hạt nhân và Ung Bướu - Bệnh viện Bạch Mai:
- BN nam, 60 tuổi
- Vào viện do đau ngực và ho ra máu
- Chẩn đoán K phổi trái, T3N1M0
- Giải phẫu bệnh lý: Ung thư biểu mô vảy
- Tiến hành JO-IMRT 5beams / 33 segments
So sánh 2 đường đồng liều giữa hai kế hoạch xạ trị JO-IMRT (trái) và kế hoạch xạ trị 3D thông thường : Ở kỹ thuật JO-IMRT, đường đồng liều 95% bao sát thể tích cần tia (khối u và hạch), đồng thời tránh được các mạch máu lớn, tuỷ sống và phần phổi lành.
Biểu đồ phân bố liều - thể tích (DVH) so sánh giữa hai kế hoạch: Khối u nhận liều bức xạ 100% giữa 2 kỹ thuật, nhưng ở kỹ thuật JO-IMRT liều bức xạ tại các cơ quan lành thấp hơn rất nhiều so với kế hoạch 3D thông thường.
Nhận xét: BN hết các triệu chứng đau ngực, ho máu, khối u tan hết sau điều trị

Trước điều trị Sau điều trị
PGS. TS. Mai Trọng Khoa, ThS. Vũ Hữu Khiêm, ThS. Trần Ngọc Hải và CS
Trung tâm Y học hạt nhân và Ung bướu, Bệnh viện Bạch Mai