BIẾN CHỨNG SAU NÚT MẠCH HÓA CHẤT ĐIỀU TRỊ UNG THƯ BIỂU MÔ TẾ BÀO GAN

Ngày đăng: 23/01/2025 Lượt xem 1526
BIẾN CHỨNG SAU NÚT MẠCH HÓA CHẤT ĐIỀU TRỊ UNG THƯ BIỂU MÔ TẾ BÀO GAN
BSNT. Đỗ Thị Thu Trang, GS.TS Mai Trọng Khoa, PGS.TS. Phạm Cẩm Phương
Trung tâm Y học hạt nhân và Ung bướu Bệnh viện Bạch Mai
(Tổng hợp)

1. ĐẠI CƯƠNG
Nút mạch hóa chất (TACE- Transarterial Chemoembolization) là kĩ thuật đưa hoá chất điều trị và vật liệu gây tắc mạch vào khối u qua đường động mạch gan, khiến u hoại tử do thiếu nguồn cấp máu, đồng thời giúp hoá chất điều trị được giữ lại trong khối u lâu hơn. TACE là phương pháp điều trị phổ biến nhất và là điều trị tiêu chuẩn cho nhóm bệnh nhân HCC giai đoạn trung gian 
 
Hình 1: Hình ảnh khối u gan sau can thiệp nút mạch hóa chất (TACE)
Cơ sở khoa học của phương pháp 
Nhu mô gan lành được cấp máu chủ yếu (80%) từ hệ tĩnh mạch cửa và 20% được cấp bởi động mạch gan. Ngược lại, tổ chức khối Ung thư biểu mô tế bào gan (HCC-Hepatocellular Carcinoma) được cấp máu chủ yếu từ hệ thống động mạch (80%) bao gồm hệ động mạch gan và hệ động mạch ngoài gan.     
   


Hình 2: Nguồn cấp máu nuôi gan bình thường (a) và khối ung thư gan (b)
Hoá chất bơm qua đường động mạch gan sẽ vào trực tiếp khối u, trong khi phần gan lành được nuôi dưỡng bởi nguồn tĩnh mạch vẫn phát triển bình thường. Điều này cũng cho phép đưa được nhiều hoá chất tiêu diệt tế bào u hơn vào trong khối u. 
Phương pháp nút mạch gan có nhiều ưu điểm như: Ít xâm lấn, can thiệp tiêu diệt những khối u nhỏ ở những vị trí khó phẫu thuật hoặc những khối u lớn qua giai đoạn phẫu thuật. Bên cạnh đó, phương pháp này ít gây tai biến, thời gian thực hiện thủ thuật ngắn, bệnh nhân nhanh chóng phục hồi sức khỏe sau can thiệp.
Nút mạch gan tuy có nhiều ưu điểm nhưng cũng tiềm ẩn nguy cơ xảy ra một số biến chứng khó lường. Để giảm thiểu rủi ro liên quan đến liệu pháp TACE, cần phải nhận biết và xử trí đúng các biến chứng liên quan đến việc sử dụng các tác nhân hóa học và các can thiệp nội mạch với khối u gan.
2. BIẾN CHỨNG
2.1. Biến chứng sớm
Các biến chứng sớm có thể xảy ra trong 24 giờ sau thủ thuật

Các biến chứng do can thiệp nội mạch
+ Dị ứng thuốc cản quang: Cần khai thác kĩ tiền sử dị ứng và tiền sử chụp cắt lớp vi tính có sử dụng thuốc cản quang trước đó của bệnh nhân. Các triệu chứng của dị ứng thuốc cản quan giống như các triệu chứng của phản vệ, có thể từ độ 1 đến độ 3. Xử trí các triệu chứng phản vệ này theo các hướng dẫn về xử trí phản vệ của Bộ y tế + Chảy máu do cầm máu không tốt: Chảy máu tại vị trí can thiệp qua da vào động mạch, trong TACE thường là động mạch đùi. Sau thủ thuật cần băng ép chặt vị trí can thiệp và dặn dò bệnh nhân nghỉ ngơi, bất động từ 6-8 tiếng sau thủ thuật, tránh đi lại vận động gây chảy máu. Khi phát hiện có tình trạng chảy máu cần đánh giá các chỉ số về huyết động và mức độ mất máu để có các xử trí kịp thời với từng mức độ mất máu, có thể bổ sung dịch hoặc truyền máu nếu cần thiết.
+ Tụ máu vùng đùi + Giả phình, lóc tách động mạch đùi
+ Suy thận: do liên quan đến thuốc cản quang sử dụng trong chụp và nút mạch + Nhiễm khuẩn: Có thể nhiễm khuẩn tại vị trí chọc kim qua da hoặc nhiễm khuẩn sâu trong gan, áp xe gan, viêm đường mật. Nên điều trị kháng sinh dự phòng trước và sau thủ thuật để giảm tỉ lệ biến chứng này 
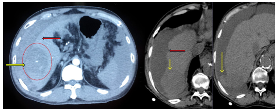
HCC vỡ  Đây là một biến chứng hiếm gặp nhưng đe dọa tính mạng với tỷ lệ tử vong cao (25%–75%). Cơ chế gây vỡ HCC vẫn chưa được làm sáng tỏ hoàn toàn. Tuy nhiên, sự kết hợp của nhiều yếu tố, bao gồm tăng áp lực trong khối u và bệnh lý mạch máu tại chỗ liên quan đến khối u ác tính, có thể liên quan đến nguy cơ vỡ
Triệu chứng của HCC vỡ bao gồm đau bụng đột ngột dữ dội tại vị trí u gan và các triệu chứng của hội chứng mất máu cấp, nặng hơn có thể có sốc mất máu. Siêu âm hoặc chụp cắt lớp vi tính có giá trị quan trọng trong chẩn đoán HCC vỡ
Xử trí HCC vỡ cần phụ thuộc vào tình trạng chảy máu và mức độ mất máu. Các phương pháp điều trị có thể bao gồm điều trị bảo tồn, TACE/TAE (Transarterial embolization) cầm máu hoặc phẫu thuật cắt gan. Bệnh nhân đang chảy máu nhưng không ổn định về mặt huyết động cần can thiệp cầm máu. TAE/TACE là một lựa chọn điều trị an toàn và hiệu quả để đạt được cầm máu ngay lập tức. Điều trị bảo tồn chỉ được khuyến cáo cho những bệnh nhân có huyết động ổn định và chức năng gan kém. So với chỉ can thiệp hoặc chăm sóc hỗ trợ, một phương pháp điều trị đa phương thức dưới dạng nút mạch và cắt gan theo giai đoạn có thể góp phần cải thiện khả năng sống sót 

  
Hình 3: Khối u gan (mũi tên vàng) và tụ dịch bao gan do vỡ u (mũi tên đỏ) trên hình ảnh cắt lớp vi tính

2.2. Các biến chứng muộn hơn
Các biến chứng muộn hơn xảy ra sau 24 giờ sau thủ thuật can thiệp, bao gồm:

Hội chứng sau nút mạch PES (post-embolic syndrome)
Hội chứng sau nút mạch (PES) được đặc trưng bởi sốt dao động, thường sốt nhẹ 37.5-38 độ C, một số trường hợp có thể sốt cao hơn, rét run; đau hạ sườn phải: gặp khoảng 44% các trường hợp, do sự hoại tử tổ chức khối u và gan lân cận; buồn nôn; tăng các enzym gan transaminase, aspartate amino transferase, alanine amino transferase và gamma glutamyl transferase trong vài ngày đầu tiên của quá trình điều trị qua động mạch. Không có các triệu chứng trên chẩn đoán hình ảnh đặc hiệu cho PES vì chúng chỉ được chẩn đoán dựa trên các triệu chứng lâm sàng. 
PES là tác dụng phụ phổ biến nhất (gặp từ 15% đến 90%) sau TACE và là nguyên nhân thường gặp gây ra thời gian nằm viện kéo dài. Nguyên nhân của PES là do hoại tử khối u và thiếu máu cục bộ ở nhu mô gan lành. Tiền sử bị PES, gánh nặng khối u, số lượng nốt được điều trị, tình trạng xơ gan và liều lượng thuốc gây thuyên tắc đã được xác định là các yếu tố dự báo PES. Các triệu chứng thường tự giới hạn và thuyên giảm trong vòng vài ngày, điển hình là hồi phục hoàn toàn trong vòng 7 đến 10 ngày. Điều trị hỗ trợ, bao gồm thuốc giảm đau và thuốc chống nôn khi cần để kiểm soát các triệu chứng.

Suy gan 
Suy gan được xác định khi xảy ra bất kì một trong các triệu chứng: tăng nồng độ bilirubin huyết thanh (≥2 mg/dl), tăng hoặc mới xuất hiện cổ trướng, bệnh não gan trong vòng 2 tuần sau thủ thuật. Đây là một biến chứng nghiêm trọng có thể dẫn đến bệnh tật và tử vong đáng kể. TACE chủ yếu được thực hiện ở những bệnh nhân có chức năng gan tương đối được bảo tồn (giai đoạn Child–Pugh ≤ B7); tuy nhiên, khoảng 60% bệnh nhân bị ít nhất một đợt suy gan trong quá trình điều trị. Nguyên nhân của suy gan sau TACE chủ yếu là do tổn thương do thiếu máu cục bộ ở nhu mô gan lành 
Các yếu tố nguy cơ gây suy gan không hồi phục bao gồm bilirubin huyết thanh ≥4 mg/dL, thời gian prothrombin kéo dài, albumin huyết thanh <2 g/L, creatinine huyết thanh >2 mg/dL, cổ trướng lớn, có bệnh não gan hoặc điểm MELD ≥20.  Đáng chú ý, đây là tất cả các nhóm bệnh nhân mà TACE sẽ được coi là chống chỉ định.   Tổn thương đường mật do thiếu máu cục bộ  Trong khi gan nhận được nguồn cung cấp máu kép từ động mạch gan và tĩnh mạch cửa, đám rối mao mạch quanh mật chỉ nhận được nguồn cung cấp máu từ động mạch gan, do đó dễ gây ra thiếu máu cục bộ đường mật trong gan. Chẩn đoán dựa trên sự xuất hiện đồng thời của tình trạng viêm hệ thống và tình trang ứ mật. Đặc điểm hình ảnh của tổn thương đường mật là hình ảnh giãn hoặc hẹp ống mật trong gan, tổn thương thiếu máu cục bộ và/hoặc áp xe gan. Chụp mật tụy ngược dòng nội soi hoặc dẫn lưu mật xuyên gan qua da là cần thiết đối với tình trạng hẹp ống mật có giãn.
Điều trị bao gồm kháng sinh đường tĩnh mạch điều trị viêm đường mật cấp tính và dẫn lưu đường mật qua nội soi hoặc dẫn lưu qua da nếu cần thiết   

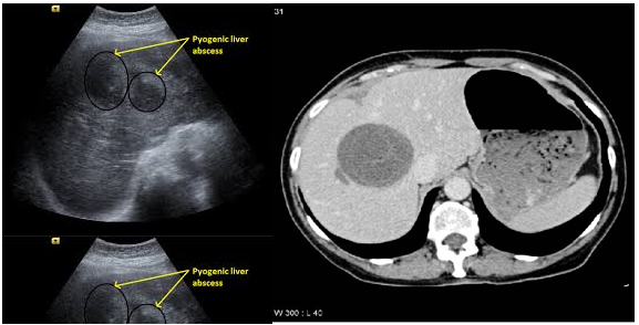
Áp xe gan 
Áp xe gan sau TACE có thể do các nguyên nhân: nhiễm khuẩn do viêm đường mật cấp tính, nhiễm khuẩn đường mật mạn tính hoặc nhiễm trùng tĩnh mạch cửa; nhiễm trùng trong quá trình thủ thuật; giảm khả năng miễn dịch do điều trị hóa trị liệu  Các triệu chứng của áp xe gan bao gồm: Hội chứng nhiễm trùng: sốt cao, có thể rét run, bạch cầu tăng, CRP tăng; đau bụng hạ sườn phải. Trên siêu âm, chúng xuất hiện dưới dạng các tổn thương giảm âm không đồng nhất được giới hạn, có thể khó phân biệt áp xe gan với hoại tử khối u hoặc nhồi máu gan ngay sau TACE. Trên hình ảnh cắt lớp vi tính có thể thấy vùng giảm tỷ trọng, giới hạn không rõ cả trước và sau tiêm thuốc cản quang, nhu mô gan xung quanh không thay đổi. 
  

Hình 4: Hình ảnh áp xe gan trên siêu âm (a) và trên cắt lớp vi tính (b)
Chọc hút qua da hoặc đặt sonde dẫn lưu áp xe và sử dụng kháng sinh vẫn là phương pháp điều trị chính. Sử dụng kháng sinh dự phòng trước và sau khi điều trị có thể làm giảm nguy cơ nhiễm trùng sau thuyên tắc 

Rò phế quản mật 
Rò phế quản-mật được đặc trưng bởi sự liên kết bất thường giữa cây phế quản và cây mật. Cơ chế gây bệnh bao gồm: 1) Thiếu máu cục bộ dẫn đến hoại tử ống mật, hẹp và u mật sau đó; 2) Tăng áp lực trong đường mật; 3) Phản ứng viêm ở khoang dưới cơ hoành và sau đó ở cây phế quản  Triệu chứng lâm sàng sớm là ho có dịch mật sau TACE. Chụp đường mật xuyên gan qua da và chụp đường mật tụy ngược dòng nội soi có thể được sử dụng để xác định giải phẫu chính xác của đường rò 
  
Hình 5: Hình ảnh rò phế quản mật trên chụp đường mật xuyên gan qua da
Xử trí, đầu tiên cần phải giải áp đường mật để giảm áp lực chênh lệch trong ống mật chủ và tá tràng. Nếu giải áp đường mật không thành công và lỗ rò vẫn còn trên chụp đường mật, có thể cân nhắc tắc mạch qua da hoặc nội phế quản của đường rò. Phẫu thuật được chỉ định khi bệnh nhân không đáp ứng với phương pháp điều trị xâm lấn tối thiểu

Thuyên tắc lipiodol ở phổi, suy hô hấp 
Đây là một biến chứng rất hiếm gặp, tỉ lệ thuyên tắc phổi lipiodol dao động chỉ từ 0,1% đến 10%, nhưng có khả năng gây tử vong. Nguyên nhân do tồn tại shunt động tĩnh mạch trong phổi (Shunt giữa động mạch dưới hoành và tĩnh mạch phổi ). Các triệu chứng hô hấp có thể biểu hiện sau nhiều giờ đến vài ngày sau TACE và bao gồm ho, khó thở, ho ra máu và thở nhanh, có thể gây tổn thương phổi nghiêm trọng và các tình trạng hô hấp đe dọa tính mạng, như hội chứng suy hô hấp cấp tính  Điều trị thuyên tắc lipiodol ở phổi bao gồm: hồi sức dịch, đảm bảo oxy, thở máy không xâm nhập hoặc xâm nhập nếu cần thiết và corticosteroid đường toàn thân tương tự như trong điều trị hội chứng thuyên tắc mỡ. 

 Thuyên tắc lipiodol ở não 
 Tần suất thuyên tắc não liên quan đến TACE được báo cáo là 1,02 trên 1000 thủ thuật. Nguyên nhân do tồn tại shunt phải- trái ở tim  Các triệu chứng phổ biến nhất là rối loạn ý thức cấp tính, các triệu chứng thần kinh khu trú và suy hô hấp. Hình ảnh cắt lớp vi tính sọ não không cản quang đặc trưng bởi các lắng đọng Lipiodol rải rác liên quan đến cả tuần hoàn não trước và sau.
Xử trí bao gồm đảm bảo bù dịch, oxy, đặt nội khi quản, an thần nếu cần thiết. Liệu pháp thẩm thấu, dinh dưỡng thần kinh và thuốc giãn mạch không có bằng chứng rõ ràng về tác dụng trong điều trị thuyên tắc não do lipiodol.

Tử vong 
Tỷ lệ tử vong liên quan đến điều trị do TACE thường dưới 1%, nhưng tỷ lệ cao hơn (khoảng 2 đến 3%) cũng được báo cáo, chủ yếu ở những bệnh nhân có khối u rất lớn và hội chứng ly giải khối u phát triển sau TACE 

Tài liệu tham khảo
1. Lai EC, Lau WY. Spontaneous rupture of hepatocellular carcinoma: a systematic review. Arch Surg. 2006;141:191–198.
2. Moris D, Chakedis J, Sun SH, Spolverato G, Tsilimigras DI, Ntanasis-Stathopoulos I, et al. Management, outcomes, and prognostic factors of ruptured hepatocellular carcinoma: a systematic review. J Surg Oncol. 2018;117:341–353.
3. Rmilah AA, Qrareya MN, Fleming C, Alkurashi AK, Nyberg S, Leise M, et al. Association of cirrhosis and other patient and procedural characteristics with postembolization syndrome after bland hepatic artery embolization for hepatic malignancy. AJR Am J Roentgenol. 2022;218:1030–1039.
4. Wigmore SJ, Redhead DN, Thomson BN, Currie EJ, Parks RW, Madhavan KK, Garden OJ. Postchemoembolisation syndrome--tumour necrosis or hepatocyte injury? Br J Cancer. 2003 Oct 20;89(8):1423-7.
5. Hsin IF, Hsu CY, Huang HC, Huang YH, Lin HC, Lee RC, et al. Liver failure after transarterial chemoembolization for patients with hepatocellular carcinoma and ascites: incidence, risk factors, and prognostic prediction. J Clin Gastroenterol. 2011;45:556–562. 
6. Paye F, Farges O, Dahmane M. Cytolysis following chemoembolization for hepatocellular carcinoma. Br J Surg. 1999; 86:176–180
7. Garwood ER, Fidelman N, Hoch SE, Kerlan RK Jr, Yao FY. Morbidity and mortality following transarterial liver chemoembolization in patients with hepatocellular carcinoma and synthetic hepatic dysfunction. Liver Transpl. 2013 Feb;19(2):164-73. doi: 10.1002/lt.23552. Epub 2012 Dec 12. PMID: 23008091
8. Nakada S, Allard MA, Lewin M, Awad S, Dahbi N, Nitta H, et al. Ischemic cholangiopathy following transcatheter arterial chemoembolization for recurrent hepatocellular carcinoma after hepatectomy: an underestimated and devastating complication. J Gastrointest Surg. 2020;24:2517–2525 
9. Wang C, Yang Z, Xia J, Wang W, Chen W, Wang Q. Bronchobiliary fistula after multiple transcatheter arterial chemoembolizations for hepatocellular carcinoma: a case report. Mol Clin Oncol. 2018;8:600–602.)
10. Hyoung Nam Lee and Dongho Hyun Complications Related to Transarterial Treatment of Hepatocellular Carcinoma: A Comprehensive Review Korean J Radiol. 2023 Mar; 24(3): 204–223.

Tin liên quan