Ca lâm sàng: Điều trị ung thư biểu mô tế bào gan giai đoạn sớm tại Trung tâm Y học hạt nhân và Ung bướu, Bệnh viện Bạch Mai

Ngày đăng: 23/05/2024 Lượt xem 1352
Ca lâm sàng: 
Điều trị ung thư biểu mô tế bào gan giai đoạn sớm tại Trung tâm Y học hạt nhân và Ung bướu, Bệnh viện Bạch Mai
GS.TS Mai Trọng Khoa, PGS.TS Phạm Cẩm Phương, TS. Phạm Văn Thái, TS. Nguyễn Thanh Hùng, BSNT. Mai Thị Quỳnh
                                                               Trung tâm Y học hạt nhân và Ung bướu- Bệnh viện Bạch Mai
                                                                                                                        Trường Đại học Y Hà Nội
                                                                               Trường Đại học Y Dược- Đại học Quốc Gia Hà Nội

Ung thư gan nguyên phát hay ung thư biểu mô tế bào gan (UTBMTBG) là khối u xuất phát từ tế bào nhu mô gan. Tại Việt Nam, theo cơ quan ghi nhận ung thư quốc tế được công bố trên GLOBOCAN 2020, ung thư gan đứng đầu về cả tỷ lệ mắc mới và tỷ lệ tử vong, ước tính mỗi năm có 26.418 ca mắc mới và 25.272 ca tử vong. Nguyên nhân của UTBMTBG liên quan với viêm gan virus B, C, xơ gan do rượu, nhiễm độc tố aflatoxin, …
Hiện nay, việc điều trị UTBMTBG là điều trị đa mô thức, có sự phối hợp chặt chẽ của các chuyên ngành nội, ngoại, ung thư, chẩn đoán hình ảnh can thiệp... Trong đó, bao gồm các phương pháp như phẫu thuật (cắt phần gan mang u, ghép gan…), điều trị khối u tại chỗ (đốt sóng cao tần - RFA, MW, tiêm cồn…), điều trị tại vùng (tắc mạch hóa chất TACE…), điều trị toàn thân (hóa trị, thuốc điều trị đích phân tử nhỏ- TKI, liệu pháp miễn dịch), xạ trị (xạ trị chiếu ngoài, xạ trị trong chọn lọc với hạt vi cầu phóng xạ-SIRT, xạ trị ion nặng…). Tùy giai đoạn bệnh và tình trạng bệnh nhân mà lựa chọn phương pháp thích hợp.
Đối với những bệnh nhân ở giai đoạn rất sớm (BCLC 0: Barcelona Clinic Liver Cancer 0) thì biện pháp phá hủy khối u tại chỗ là phương pháp được lựa chọn, đặc biệt là đốt sóng cao tần (RFA: RadioFrequency Ablation). RFA là sử dụng điện cực hình kim truyền dòng điện xoay chiều tần số cao từ đầu điện cực tác động vào khối u. Các ion trong mô u sẽ di chuyển theo hướng của dòng điện xoay chiều tạo ra ma sát giữa các ion gây sinh nhiệt, khi nhiệt độ trong mô tăng cao hơn 60 độ C, các tế bào bắt đầu chết, dẫn đến làm hoại tử khối u. 
Sau đây, chúng tôi xin giới thiệu một trường hợp lâm sàng bệnh nhân ung thư biểu mô tế bào gan giai đoạn sớm được điều trị bằng RFA.
Bệnh nhân: L.V.H                  Giới tính: Nam                         Tuổi: 60
Lý do vào viện:  mệt mỏi, chán ăn
Bệnh sử: Cách vào viện một tuần, bệnh nhân xuất hiện mệt mỏi, chán ăn, không gầy sút cân, không đau bụng, đi khám tại Bệnh viện Bạch Mai được siêu âm ổ bụng, chụp cộng hưởng từ gan mật phát hiện nốt ở gan phải có tính chất HCC. Bệnh nhân được nhập viện  vào Trung tâm Y học hạt nhân và Ung bướu, Bệnh viện Bạch Mai chẩn đoán và điều trị.
Tiền sử: Viêm gan B cách hai năm đang điều trị TAF 25mg/ngày
Khám vào viện:
Bệnh nhân tỉnh, tiếp xúc tốt
Không đau bụng
Thể trạng trung bình: chiều cao: 163cm, cân nặng: 58 kg 
Da niêm mạc hồng
Hạch ngoại ngoại vi không sờ thấy.
Mạch: 85l/p, Huyết áp: 110/70mmHg
Tim đều, T1T2 nghe rõ
Phổi rì rào phế nang rõ, không ran
Bụng mềm, không chướng, ấn không đau
Đại tiểu tiện bình thường
Các xét nghiệm cận lâm sàng:
- Huyết học:  Hồng cầu: 4,22 T/l, Bạch cầu: 6,04G/l, Tiểu cầu: 229 G/l (trong giới hạn bình thường)
- Hóa sinh máu: Ure: 5,8mmol/l, Creatinin 88 micromol/l, GOT: 36 U/L, GPT: 26 U/L, Bilirubin toàn phần: 7,5 micromol/l, Bilirubin trực tiếp: 3,1 micromol/l, Albumin: 35 g/l. ( trong giới hạn bình thường)
- Chất chỉ điểm khối u (Tumor marker): AFP: 4,41 ng/ml (trong giới hạn bình thường)
- Đông máu: PT (%): 91,7%, INR: 1.04 ( trong giới hạn bình thường)
- Vi sinh: HBsAg: (+), HCV (-), HIV (-)
- Siêu âm ổ bụng: 
Nhu mô gan thô, hạ phân thùy V có nốt giảm âm kích thước 1,1x0,8mm
Tĩnh mạch cửa không giãn, không có huyết khối
Đường mật trong ngoài gan không giãn
 
Hình 1: Hình ảnh siêu âm gan: có nốt giảm âm hạ phân thùy V (mũi tên đỏ)
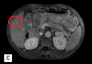
- Cộng hưởng từ gan mật có tiêm thuốc: 
Hình ảnh nhu mô gan hạ phân thùy S5 có nốt đường kính 8,5mm tăng nhẹ tín hiệu trên T2W, hạn chế khuếch tán trên DWI, ngấm thuốc mạnh thì động mạnh, có phần thải thuốc thì tĩnh mạch và thì muộn. Tĩnh mạch cửa không giãn, không thấy huyết khối. 
  
                                                                                 
Hình 2: Hình ảnh MRI ổ bụng:  nốt hạ phân thùy S5 (vòng tròn màu đỏ) (A: thì động mạch, B: thì tĩnh mạch, C: thì muộn)
- Chụp cắt lớp vi tính lồng ngực: Hình ảnh tổn thương xơ đỉnh phổi phải. Không phát hiện các khối, nốt bất thường.
  
Hình 3: Hình ảnh CT lồng ngực: nhu mô ở cả hai phổi không phát hiện các tổn thương bất thường. 
-Bệnh nhân được tiến hành sinh thiết nốt ở hạ phân thùy S5 dưới hướng dẫn của siêu âm, kết quả mô bệnh học là: Ung thư biểu mô tế bào gan.
Chẩn đoán xác định: Ung thư biểu mô tế bào gan, BCLC (0)/ Viêm gan B
- Xử trí: Bệnh nhân được hội chẩn hội đồng chuyên môn: có chỉ định đốt sóng cao tần (RFA). Bệnh nhân tiếp tục được theo dõi và điều trị tại Trung tâm y học hạt nhân và ung bướu bệnh viện Bạch Mai.
Như vậy: Đốt sóng cao tần (RFA) trong điều trị UTBMTBG là phương pháp an toàn và hiệu quả đối với những bệnh nhân Ung thư biểu mô tế bào gan giai đoạn rất sớm. Tỉ lệ tai biến, biến chứng thấp, thời gian nằm viện ngắn. Kết quả điều trị khá tốt với tỉ lệ hoại tử u và đáp ứng điều trị cao. 

Tin liên quan