CA LÂM SÀNG HIỆU QUẢ ĐIỀU TRỊ HOÁ TRỊ CHO BỆNH NHÂN UNG THƯ BIỂU MÔ TUYẾN KÉM BIỆT HOÁ DI CĂN HẠCH CHƯA RÕ NGUYÊN PHÁT

Ngày đăng: 16/01/2026 Lượt xem 303

CA LÂM SÀNG HIỆU QUẢ ĐIỀU TRỊ HOÁ TRỊ CHO BỆNH NHÂN

UNG THƯ BIỂU MÔ TUYẾN KÉM BIỆT HOÁ DI CĂN HẠCH CHƯA RÕ NGUYÊN PHÁT

GS. Mai Trọng Khoa – Ths. Nguyễn Xuân Thanh – SV. Khương Vũ Phương Anh

Ung thư nguyên phát không rõ nguồn gốc (Cancer of Unknown Primary - CUP) được định nghĩa là bệnh lý ác tính được xác định bằng mô bệnh học tại vị trí di căn nhưng không tìm được khối u nguyên phát mặc dù đã được thăm khám lâm sàng và thực hiện đầy đủ các phương tiện chẩn đoán hình ảnh và cận lâm sàng cần thiết [1]. CUP chiếm khoảng 2% tổng số các ung thư đã đưc chẩn đoán, trong đó ung thư biểu mô tuyến kém biệt hóa di căn hạch là một thể bệnh gây nhiều khó khăn trong chẩn đoán và lựa chọn chiến lược điều trị [2].

Do không xác định được nguồn gốc khối u nên hiện nay không có phác đồ điều trị chuẩn cho CUP. Phác đồ hoá trị Paclitaxel – Carboplatin (PC) hiện được xem là phương pháp điều trị chính cho bệnh nhân ung thư chưa rõ nguồn gốc (CUP) khi bệnh đã có di căn hạch. Phác đồ này đã được sử dụng rộng rãi cho bệnh nhân CUP do mang lại tỷ lệ đáp ứng khách quan khoảng 20 – 40% và thời gian sống còn trung vị 9 – 11 tháng trong các thử nghiệm lâm sàng pha II [3].

Chúng tôi ghi nhận và báo cáo một trường hợp lâm sàng bệnh nhân ung thư biểu mô tuyến kém biệt hóa di căn hạch bẹn, hạch ổ bụng, hạch thượng đòn được điều trị bằng phác đồ Paclitaxel – Carboplatin (PC) và đem lại hiệu quả điều trị thuận lợi sau 6 chu kỳ tại Trung tâm Ung bướu - Y học hạt nhân, Bệnh viện Bạch Mai.

Họ và tên: Đ.V.C, Giới tính: Nam, Tuổi: 57

Lý do vào viện: Nổi hạch bẹn phải kèm sưng đau cẳng chân phải

Tiền sử: 

  • Bản thân: Khỏe mạnh
  • Gia đình: Chưa ghi nhận bệnh lý liên quan

Bệnh sử: Tháng 4/2025, bệnh nhân tự sờ được 1 khối nhỏ kích thước khoảng 1x1cm ở bẹn phải, cứng, bề mặt gồ ghề, không di động, không sưng nóng đỏ đau, khối tăng kích thước từ từ. Sau 1 tháng, bệnh nhân thấy khối to lên khoảng 2x2cm với tính chất như trên, hạch sưng nóng, ấn đau kèm tê bì, phù toàn bộ cẳng chân phải => Bệnh nhân đến khám tại Bệnh viện Bạch Mai:

Khám lúc vào viện:

Bệnh nhân tỉnh, tiếp xúc tốt

Toàn trạng: PS 1

Chiều cao: 165cm               Cân nặng: 58kg                    BMI: 21.3kg/m2 (trung bình)

Da niêm mạc kém hồng

Hạch bẹn phải kích thước 1x3cm, mật độ cứng, bề mặt gồ ghề, di động kém, không sưng nóng đỏ đau.

Cẳng chân phải sưng nề, tê bì, phù mềm, ấn lõm

Không có hội chứng nhiễm trùng

Không có triệu chứng của các cơ quan khác

Xét nghiệm cận lâm sàng trước điều trị

- Siêu âm

  • Vùng hố thượng đòn trái có nhiều hạch giảm âm, hạch lớn nhất kích thước 9x10mm, một số hạch không rõ cấu trúc hạch
  • Vùng hố nách 2 bên có vài hạch, hạch lớn nhất kích thước 14x7mm, còn cấu trúc rốn hạch
  • Vùng hố bẹn 2 bên có vài hạch, hạch lớn nhất kích thước, 17x10mm, còn cấu trúc rốn hạch

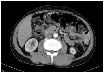
- CT ổ bụng: Hình ảnh vài nốt ngấm thuốc nhu mô gan. Vài hạch dọc động mạch chủ, kích thước lớn nhất 17x10mm

Hình 1. Hình ảnh cắt lớp vi tính ổ bụng trước điều trị (hạch dọc động mạch chủ)

- MRI gan mật: Hình ảnh vài nốt ngấm thuốc nhu mô gan kích thước 14x16mm/ Gan to. Các ổ tổn thương ngấm thuốc thân đốt sống D11, L2, L4, hạch động mạch chủ bụng – chưa loại trừ thứ phát

- CT ngực: Hình ảnh vài nốt đặc thùy trên phổi phải kèm nốt vôi hóa thùy dưới phổi phải

- CT sọ não: Hiện không thấy bất thường

- Mô bệnh học: Ung thư biểu mô tuyến kém biệt hoá di căn hạch

=> Chẩn đoán xác định: Ung thư biểu mô tuyến kém biệt hoá di căn hạch

Bệnh nhân đã được chỉ định điều trị hoá chất: Phác đồ Paclitaxel – Carboplatin (PC) được sử dụng, chu kỳ 21 ngày.

Đánh giá kết quả sau điều trị: Sau 6 đợt điều trị (19/12/2025)

  • Lâm sàng: Bệnh nhân ổn định, hạch ở bẹn phải kích thước khoảng 1x0.5cm, bề mặt nhẵn, mật độ cứng, không sưng nóng đỏ đau, không di động. Cẳng chân phải đỡ sưng nề và tê bì, phù mềm, ấn lõm.
  • Huyết học: RBC 3.63T/L, HGB 119g/L, HCT 0.366L/L, MCV 100.8fL, MCH 32.8g/L, PLT 255G/L, WBC 3.21 G/L, NEUT% 43.3%, NEUT# 1.39 G/L

Bệnh nhân có thiếu máu hồng cầu to mức độ nhẹ và hạ bạch cầu trung tính độ 2

  • Siêu âm phần mềm vùng cổ: Hình ảnh hạch nhỏ vùng cổ hai bên, kích thước lớn nhất 12x5mm, còn cấu trúc rốn hạch.
  • Siêu âm vùng bẹn: Hình ảnh hạch nhỏ vùng bẹn hai bên, kích thước lớn nhất 12x5mm, còn cấu trúc rốn hạch.
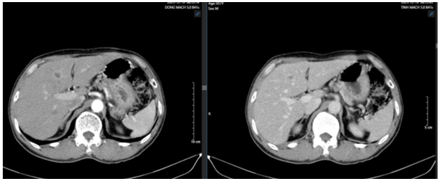
  • CT bụng tiêm thuốc cản quang: Hình ảnh nốt ngấm thuốc gan trái. Sỏi nhỏ thận phải. Nang thận hai bên.

Hình 2. Hình ảnh nốt ngấm thuốc gan trái, không còn thấy hạch dọc động mạch chủ bụng (sau điều trị)

  • CT ngực: Hình ảnh vài nốt đặc nhỏ phổi phải. Dày tổ chức kẽ dưới màng phổi thùy trên hai bên 
  • Chất chỉ điểm u CEA: 20.1 ng/mL

=> Đánh giá đáp ứng: Đáp ứng một phần PR theo RECIST 1.1

Nhận xét 

Sau điều trị 6 đợt hóa chất, bệnh nhân cải thiện rõ về mặt lâm sàng với giảm kích thước hạch ngoại vi và không còn đau vùng hạch bẹn phải,cẳng chân phải đỡ sưng nề và tê bì. Trên hình ảnh học, kích thước hạch cổ, bẹn và ổ bụng giảm rõ, không còn ghi nhận hạch động mạch chủ bụng, tổn thương nhu mô gan không tiến triển. Phác đồ được dung nạp tương đối tốt, độc tính chủ yếu ở mức độ nhẹ đến trung bình. Bệnh nhân được tiếp tục theo dõi.

Kết luận

Qua ca lâm sàng trên, chúng tôi nhận thấy phác đồ Paclitaxel – Carboplatin sau 6 chu kỳ có thể mang lại đáp ứng điều trị tốt và dung nạp chấp nhận được ở bệnh nhân ung thư biểu mô tuyến kém biệt hóa di căn hạch chưa rõ nguyên phát. Việc cá thể hóa điều trị và đánh giá đáp ứng định kỳ đóng vai trò quan trọng trong quản lý nhóm bệnh CUP trong thực hành lâm sàng.

Tài liệu tham khảo

[1] NIH - National CancerInstitute. Cancer of Unknown Primary (CUP) Treatment (PDQ )–Health ProfessionalVersion

[2] American Cancer Society. Key statisticsfor cancers of unknown primary 2025

[3] G Huebner. Paclitaxel andcarboplatin vs gemcitabine and vinorelbine in patients with adeno- orundifferentiated carcinoma of unknown primary: a randomised prospective phaseII trial. 2009 Jan 13;100(1):44-9. doi:10.1038/sj.bjc.6604818


Tin liên quan