Ca lâm sàng: Phát hiện, chẩn đoán giai đoạn sớm một bệnh nhân mắc đồng thời ung thư phổi và ung thư tuyến giáp tại Trung tâm Y học hạt nhân và Ung bướu, bệnh viện Bạch Mai

Ngày đăng: 10/01/2026 Lượt xem 608

Ca lâm sàng: Phát hiện, chẩn đoán giai đoạn sớm một bệnh nhân mắc đồng thời ung thư phổi và ung thư tuyến giáp tại Trung tâm Y học hạt nhân và Ung bướu, bệnh viện Bạch Mai

GS. TS Mai Trọng Khoa, PGS. TS Phạm Cẩm Phương, PGS. TS. Phạm Văn Thái

BSCKII. Lê Viết Nam, BSNT. Nguyễn Văn Sơn,

Trung tâm Y học hạt nhân và Ung bướu, Bệnh viện Bạch Mai

Trong thực tế, nhiều loại ung thư hoàn toàn có thể điều trị triệt căn và người bệnh vẫn sống khỏe mạnh như bình thường, nếu ung thư được phát hiện ở giai đoạn sớm và giúp người bệnh thoát khỏi “án tử”.

Trong lĩnh vực ung thư, thì chẩn đoán, đánh giá chính xác giai đoạn bệnh là một trong những yếu tố quyết định hiệu quả điều trị,  tiên lượng sống còn trong hầu hết các loại ung thư. Tuy nhiên, phần lớn bệnh nhân đến khám khi đã xuất hiện triệu chứng rõ ràng, tức là bệnh đã ở giai đoạn tiến triển, giai đoạn muộn. Trong khi đó, những trường hợp phát hiện sớm thường là do người bệnh chủ động kiểm tra sức khỏe, tầm soát định kỳ – chính sự chủ động này đã giúp người bệnh có được kết quả điều trị tốt, nhiều bệnh ung thư được chữa khỏi, bệnh nhân được trở lại cuộc sống sinh hoạt, lao động học tập như người bình thường.

Dưới đây là một ca lâm sàng đặc biệt: một bệnh nhân được chẩn đoán đồng thời hai ung thư nguyên phát – ung thư tuyến giáp và ung thư phổi – nhưng đều ở giai đoạn rất sớm, nhờ thói quen khám tổng quát định kỳ.

Họ và tên: H.T.B.T;              Giới: Nữ               Tuổi: 51

Lý do vào viện: Khám sức khỏe định kỳ

Tiền sử: Tăng huyết áp: 13 năm,đang dùng Exforge 5/80 x ½  viên/ngày. Viêm gan B: 30 năm theo dõi ổn định. Rối loạn nhịp tim đang dùng concor 5mg.

Bệnh sử: Bệnh nhân có thói quen đi khám sức khỏe định kỳ mỗi 3-6 tháng/lần trong nhiều năm nay. Tháng 5/2025, bệnh nhân ở nhà xuất hiện ho khan, không đau ngực, không khó thở và đi khám tại bệnh viện Bạch Mai, bệnh nhân đã được đánh giá toàn thân phát hiện thùy trên phổi phải có nốt bán đặc bờ không đều đường kính 10mm và nhân giảm âm tại eo tuyến giáp khoảng 5mm; sau đó bệnh nhân được hội chẩn đa chuyên khoa lên kế hoạch điều trị.

Khám lúc vào viện:

Bệnh nhân tỉnh, tiếp xúc tốt

Chiều cao: 165cm     Cân nặng: 61,5kg    BMI: 22.59kg/m2 da

Thỉnh thoảng ho khan

Không đau ngực

Rì rào phế nang hai đáy phổi rõ, không rale

Đại tiểu tiện bình thường

Bụng mềm,không chướng

Tim đều,T1, T2 rõ, không tiếng thổi bất thường

Xét nghiệm cận lâm sàng:

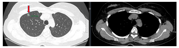
-    Chụp cắt lớp vi tính lồng ngực (trước mổ), kết quả cho thấy: Nhu mô thùy trên phổi phải có nốt bán đặc bờ không đều đường kính 10mm (có tính chất ác tính), nốt kính mờ đường kính 7mm. Không thấy hạch to hay khối choán chỗ trong trung thất.


       Hình 1: Hình ảnh cắt lớp vi tính lồng ngực trước mổ có nhu mô thùy trên phổi phải có nốt bán đặc bờ không đều đường kính 10mm (mũi tên đỏ)

-    Siêu âm tuyến giáp (trước mổ): Hình ảnh nhân giảm âm thùy phải và eo tuyến giáp khoảng 5mm (TIRADS 4). Nhân hỗn hợp âm thùy phải tuyến giáp (TIRADS 3). Dưới cằm lệch phải có vài hạch, kích thước lớn nhất 7mm, cấu trúc bình thường.

              Hình 2: Hình ảnh siêu âm tuyến giáp và vùng cổ có nhân giảm âm thùy phải và eo tuyến giáp khoảng 5mm (TIRADS 4), (mũi tên đỏ)



-     Chọc tế bào nhân eo tuyến giáp: Nghi ngờ ung thư biểu mô tuyến giáp thể nhú
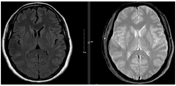
-     Cộng hưởng từ sọ não (trước mổ): Hiện không phát hiện tổn thương nghi ngờ thứ phát.  



Hình 3: Hình ảnh chụp cộng hưởng từ sọ não không phát hiện di căn

-      CEA: 1.71 ng/mL (bình thường: Không hút thuốc: <= 5.0 Đang hút thuốc: <=6.5)              ­­Cyfra 21-1: 2.06 ng/mL (bình thường: <= 2.37)

-      Viêm gan B (+), HIV (-)

-      Các xét nghiệm khác trong giới hạn bình thường

Chẩn đoán trước mổ: Theo dõi ung thư phổi phải cT1N0M0/ Theo dõi ung thư tuyến giáp thể nhú cT1N0M0/Tăng huyết áp – Rối loạn nhịp tim/ Viêm gan B

Phương pháp điều trị:

-      Phẫu thuật nội soi cắt một phần thùy phổi trên, kén – nang phổi.

-      Cắt toàn bộ tuyến giáp kèm nạo vét hạch chọn lọc.

Kết quả sau mổ:

-      Giải phẫu bệnh u phổi phải sau mổ: Ung thư biểu mô tuyến của phổi trội thành phần nhú (pT1a). 16/16 hạch viêm, không phát hiện đột biến gen EGFR

-      Giải phẫu bệnh u giáp sau mổ: Thùy trái và phải là ung thư biểu mô nhú của tuyến giáp, 7/7 hạch viêm; phát hiện đột biến trên codon 600 tại exon 15 gen BRAF.

-      Cắt lớp vi tính lồng ngực (sau mổ): Hình ảnh xơ vôi hóa dạng tổn thương cũ thùy trên phổi phải. Không thấy hạch to hay khối choán chỗ trong trung thất.

-      Cắt lớp vi tính lồng bụng (sau mổ): Hiện không phát hiện tổn thương nghi ngờ thứ phát.

-      NGS (Xét nghiệm giải trình tự gen bằng kỹ thuật giải trình tự gen thế hệ 2) u phổi phải: không phát hiện biến thể trên các gen khảo sát

-      TSH:  27.769 uU/mL (bình thường: 0.38 - 5.33 uU/mL);FT4: 4.1 pmol/L (bình thường: 12.0 - 22.0 pmol/L. Trong giới hạn bình thường

-      Tg: 0.33ng/L (bình thường: 3.5 - 77.0 ng/L); Anti –Tg: 22.2 U/mL (bình thường: < 115U/mL). Trong giới hạn bình thường

-      CEA: 2.02ng/Ml; Cyfra 21-1: 2.87 ng/mL. Trong giới hạn bình thường

Chẩn đoán sau phẫu thuật: Ung thư biểu mô tuyến phổi phải pT1aN0M0 - ung thư tuyến giáp thể nhú pT1aN0M0/ Tăng huyết áp – Rối loạn nhịp tim/Viêm gan B

Điều trị sau phẫu thuật:

-      Ung thư phổi phải: Theo dõi mỗi 2 tháng/1 lần trong năm đầu, mỗi 3 tháng/1 lần trong 2 năm sau, mỗi 6 tháng/lần từ năm thứ tư.

-      Ung thư tuyến giáp:

+ Bệnh nhân chưa có chỉ định điều trị bằng I-131.

+ Điều trị hormone tuyến giáp levothyroxine 100mcg x 1 viên/ngày trước ăn sáng 30 phút.

+ Theo dõi định kỳ mỗi 3 tháng/lần trong 2 năm đầu.

-      Khám và điều trị tăng huyết áp, rối loạn nhịp tim, viêm gan B đều đặn theo chuyên khoa.

Kết luận:

Ung thư phổi hiện là nguyên nhân tử vong hàng đầu do ung thư trên toàn cầu, chiếm khoảng 12,4% tổng số ca mắc mới [1]. Trong nhóm này, ung thư biểu mô tuyến thuộc loại ung thư phổi không tế bào nhỏ (NSCLC) chiếm tới 85% [2].

Ung thư tuyến giáp thể biệt hóa chiếm khoảng 90% các ung thư tuyến giáp, trong đó phần lớn là thể nhú, có tiên lượng rất tốt với tỷ lệ sống sau 10 năm trên 95%[3]. Trường hợp bệnh nhân được chẩn đoán đồng thời ung thư phổi và ung thư tuyến giáp là tình huống hiếm gặp nhưng có thể điều trị hiệu quả nếu phát hiện sớm.

Ở giai đoạn sớm, cả hai loại ung thư này đều có tiên lượng rất khả quan nếu được chẩn đoán và điều trị đúng, kịp thời. Với ung thư tuyến giáp thể nhú, điều trị tiêu chuẩn gồm phẫu thuật cắt toàn bộ tuyến giáp hoặc thùy tổn thương, nạo hạch cổ chọn lọc, sau đó điều trị iod phóng xạ và duy trì ức chế TSH lâu dài.

Đối với ung thư biểu mô tuyến phổi giai đoạn I, phương pháp điều trị chủ yếu là phẫu thuật nội soi cắt thùy phổi và nạo hạch vùng, không cần hóa trị hay xạ trị bổ trợ nếu diện cắt sạch và chưa có di căn hạch [2].

Theo các khuyến cáo quốc tế, tầm soát ung thư phổi nên được thực hiện bằng CT ngực liều thấp (LDCT) hằng năm ở người ≥ 50 tuổi, có tiền sử hút thuốc ≥ 20 bao-năm,đang hút hoặc đã bỏ trong vòng ≤ 15 năm [4].

Đối với ung thư tuyến giáp, hiện không khuyến cáo tầm soát đại trà ở người khỏe mạnh; nếu phát hiện nhân giáp lành tính qua FNA (chọc hút tế bào) và không tăng kích thước, nên siêu âm theo dõi mỗi 12–24 tháng trong 5 năm đầu [3].

Vì vậy, phòng bệnh chủ động – phát hiện sớm – điều trị kịp thời chính là chìa khóa giúp người bệnh chiến thắng ung thư, nâng cao chất lượng và thời gian sống.         

Tài liệu tham khảo:

[1]. SungH et al. Global Cancer Statistics 2022: GLOBOCAN Estimates of Incidence andMortality Worldwide for 36 Cancers in 185 Countries. CA Cancer J Clin. 2023;73(1):17–48.

[2].Mai Trọng Khoa (2020). Hướng dẫn chẩn đoán và điều trị một số bệnh ung bướu.Nhà xuất bản y học.

[3]. CabanillasME, McFadden DG, Durante C. Thyroid cancer. Lancet. 2016 Dec3;388(10061):2783-2795. doi: 10.1016/S0140-6736(16)30172-6. Epub 2016 May 27.PMID: 27240885.

[4]. NationalComprehensive Cancer Network. Clinical Practice Guidelines in Oncology (NCCNGuidelines): Lung Cancer Screening. Version 1.2025. J Natl Compr Canc Netw.2025;23(1):…doi:10.6004/jnccn.2025.0002.


Tin liên quan