Điều trị ung thư phổi không tế bào nhỏ giai đoạn tiến triển tại bệnh viện Bạch Mai

Ngày đăng: 22/01/2020 Lượt xem 3884
GS.TS. Mai Trọng Khoa, BSNT. Lê Viết Nam,
PGS.TS. Phạm Cẩm Phương, BS. Tống Thị Huyền
Trung tâm Y học hạt nhân và Ung bướu – Bệnh viện Bạch Mai

 
Ung thư phổi là một trong các loại ung thư hay gặp nhất đồng thời cũng là nguyên nhân gây tử vong hàng đầu do ung thư trên thế giới cũng như ở Việt Nam. Theo GLOBOCAN 2018, trên thế giới số ca mới mắc của ung thư phổi đứng hàng đầu với hơn 2 triệu người/năm, tỉ lệ tử vong cũng cao nhất trong số các bệnh ung thư với 1,76 triệu người/năm (18,4%). Tại Việt Nam, tính chung cả 2 giới, tỉ lệ mới mắc cũng như tử vong của ung thư phổi đứng hàng thứ nhất với tỉ lệ lần lượt là 14% và 19,5%.

Bên cạnh cách phân loại giai đoạn bệnh theo TNM thì phân loại theo mô bệnh học cũng có ý nghĩa thiết yếu trong thực hành lâm sàng. Theo mô bệnh học, ung thư phổi chia thành 2 nhóm, ung thư phổi tế bào nhỏ (khoảng 15%) và ung thư phổi không tế bào nhỏ (khoảng 85%). Hiện nay, phần lớn bệnh nhân ung thư phổi được phát hiện khi bệnh ở giai đoạn tiến triển, nên hóa trị có vai trò quan trọng kéo dài thời gian sống cho bệnh nhân. Đồng thời nhờ những tiến bộ trong lĩnh vực sinh học phân tử và miễn dịch đã mở ra nhiều lựa chọn cho bệnh nhân trong điều trị ung thư phổi không tế bào nhỏ giai đoạn tiến triển. Các phương pháp điều trị mới có thể đề cập đến là điều trị miễn dịch, điều trị đích bằng các thuốc ức chế Tyrokinase và các thuốc kháng thể đơn dòng.

Sau đây, là ca lâm sàng bệnh nhân ung thư phổi không tế bào nhỏ giai đoạn tiến triển được điều trị kết hợp hóa chất tại Trung tâm Y học hạt nhân và ung bướu - Bệnh viện Bạch Mai:

Họ tên bệnh nhân: H.V.T, nam, 58 tuổi

Ngày vào viện: 15/05/2019

Lý do vào viện:       Đau ngực phải

Tiền sử:                   Khỏe mạnh

Bệnh sử: Cách vào viện 1 tháng, bệnh nhân xuất hiện đau ngực phải, đau liên tục, kèm theo bệnh nhân có ho khạc đờm trắng, không khó thở. Bệnh nhân đi khám chụp phim cắt lớp vi tính lồng ngực phát hiện u phổi phải. Sau đó bệnh nhân được nhập viện Trung tâm Y học hạt nhân và Ung bướu, Bệnh viện Bạch Mai để chẩn đoán và điều trị tiếp.

Khám lúc vào viện:

- Bệnh nhân tỉnh, Glasgow: 15 điểm.

- Thể trạng trung bình, cao: 165cm, nặng: 58kg.

- Đau ngực phải, đau âm ỉ liên tục.

- Hạch ngoại vi không sờ thấy.

- Mạch: 85 lần/phút; Huyết áp: 120/70mmHg.

- Tim đều, phổi rì rào phế nang rõ, không có rale.

- Các bộ phận khác: chưa phát hiện bất thường.

Cận lâm sàng:

-   Xét nghiệm máu: Huyết học, đông máu cơ bản, sinh hóa máu bình thường.

-   Xét nghiệm chất chỉ điểm u: tăng.

CEA: 12,4ng/ml; Cyfra 21-1: 69,73ng/ml.

-   Siêu âm hạch cổ: Hạch thượng đòn phải kích thước 1cm, mất cấu trúc rốn hạch.

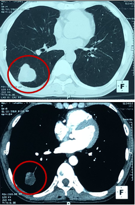
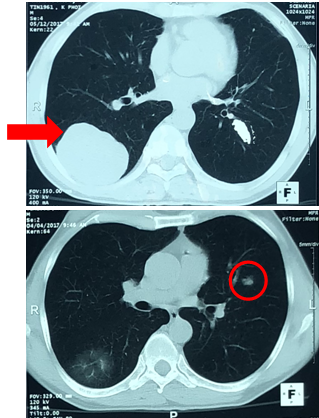
-   Cắt lớp vi tính lồng ngực: U thùy dưới phổi phải kích thước 56x81mm, ngấm thuốc sau tiêm. Khối mờ đỉnh phổi trái kích thước 28mm, nốt mờ nhỏ phân thùy lưỡi phổi trái.


Hình 1: Hình ảnh chụp cắt lớp vi tình lồng ngực

- Sau đó bệnh nhân được sinh thiết phổi xuyên thành ngực dưới hướng dẫn cắt lớp vi tính.

- Giải phẫu bệnh: Ung thư biểu mô tuyến. Không có đột biến gen EGFR, PD–L1: âm tính.

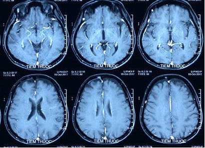
- Chụp cộng hưởng từ sọ não: không có tổn thương bất thường.

 
Hình 2: Hình ảnh chụp cộng hưởng từ sọ não có tiêm thuốc đối quang từ

- Chụp cắt lớp vi tính ổ bụng: không thấy tổn thương bất thường

 
Hình 3: Hình ảnh chụp cắt lớp vi tính ổ bụng

- Xạ hình xương: Không thấy tổn thương di căn xương.

 
Hình 4: Hình ảnh xạ hình xương toàn thân

Chẩn đoán xác định: Ung thư biểu mô tuyến phổi phải di căn hạch, di căn phổi

T3N3M1 – Giai đoạn IV

Giải phẫu bệnh: Ung thư biểu mô tuyến, EGFR (-), PD–L1 (-)

Điều trị: Hóa chất phác đồ Paclitacel + Carboplatin + Bevacizumab

1.Paclitacel: 175mg/m2 da truyền tĩnh mạch ngày 1.
2.Carboplatin: 300mg/m2 da truyền tĩnh mạch ngày 1.
3.Bevacizumab: 15mg/kg truyền tĩnh mạch ngày 1.
                     Chu kỳ 21 ngày.

Đánh giá sau điều trị 4 chu kỳ hóa chất:

-   Lâm sàng: Bệnh nhân ổn định, không khó thở, hết đau ngực, không ho.


-   Xét nghiệm chất chỉ điểm u:
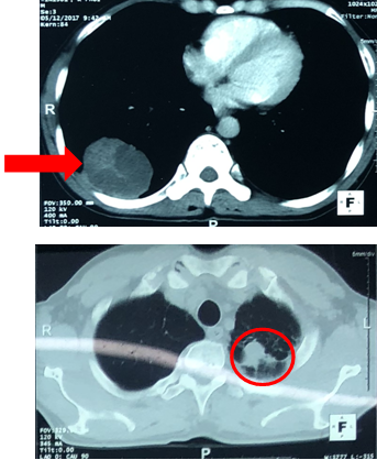
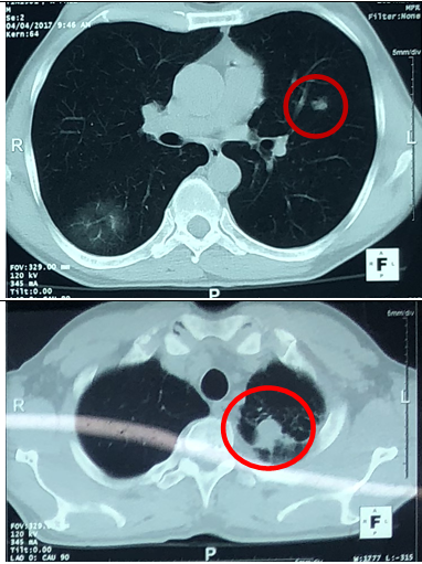
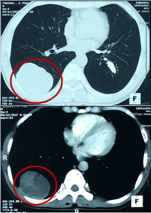
-   Chụp cắt lớp vi tính lồng ngực:

 
Trước điều trị: U phổi phải kích thước 56x81mm

  
Sau điều trị: U phổi phải kích thước 35x40mm

 
Trước điều trị: Khối mờ đỉnh phổi trái kích thước 28mm, nốt mờ thùy dưới phổi trái.

 
Sau điều trị: Khối mờ đỉnh phổi trái là dải xơ hóa, nốt mờ nhỏ thùy dưới phổi trái không còn.

Đánh giá kết quả điều trị: Đánh giá sau điều trị phác đồ Paclitacel + Carboplatin + Bevacizumab, bệnh đáp ứng một phần. Bệnh nhân tiếp tục được hội chẩn và điều trị tiếp đủ 6 chu kỳ hóa chất sau đó xét điều trị duy trì.
ungthubachmai.vn

Tin liên quan