Xạ trị chọn lọc - Cơ hội cuối cùng cho người ung thư gan

Ngày đăng: 01/07/2015 Lượt xem 2685
Một phương pháp điều trị mới đã được ứng dụng, với thành công của 50 ca bệnh đầu tiên mở ra cánh cửa hi vọng với bệnh nhân mắc căn bệnh ung thư gan nguy hiểm.

Sáng 30/6, BV Bạch Mai, BV Trung ương quân đội 108 đã phối hợp tổ chức hội thảo công bố thành công của phương pháp điều trị ung thư gan bằng hạt vi cầu phóng xạ Yttrium - 90 (còn gọi là xạ trị trong chọn lọc).

“Vũ khí” cuối cùng!

Theo TS Nguyễn Tiến Thịnh, Phó Chủ nhiệm khoa Nội tiêu hóa (BV Trung ương quân đội 108) cho biết, tại Việt Nam, ung thư gan đứng hàng thứ 2 ở nam giới và thứ 3 ở nữ giới. Cũng như bệnh nhân ung thư gan ở nhiều nước, thời gian sống trung bình không quá một năm. Nguyên nhân là do chẩn đoán sớm còn là một thách thức, phát hiện muộn nên điều trị vô cùng khó khăn.
 
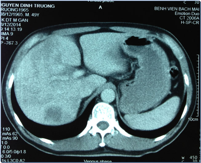
Hình ảnh khối u gan (sẫm màu bên trái) với kích thước 8,5 x 7,2cm trước khi điều trị của bệnh nhân.

Có nhiều phương pháp điều trị ung thư gan như phẫu thuật (cắt phần gan mang khối u; ghép gan); Phá huỷ khối u tại chỗ bằng sóng cao tần (RFA), vi sóng (Microwave), đông lạnh (CRYO); tiêm cồn, tiêm hoá chất; liệu pháp điều trị can thiệp tại vùng: nút mạch hoá dầu (TACE); xạ trị: xạ trị chiếu ngoài, xạ trị bằng ion nặng, xạ trị trong chọn lọc bằng hạt vi cầu phóng xạ (SIRT); điều trị toàn thân: điều trị nhắm trúng đích (sorafenib...), hoá trị, điều trị nội khoa. 

Tùy theo giai đoạn bệnh và tình trạng bệnh nhân cụ thể mà áp dụng một hoặc phối hợp các phương pháp điều trị trên. Tuy nhiên do việc phát hiện muộn (65% bệnh nhân ung thư gan ở Việt Nam phát hiện ở giai đoạn trung gian) nên hiệu quả của việc điều trị còn hạn chế. Phương pháp điều trị ung thư gan bằng hạt vi cầu phóng xạ Yttrium - 90 (còn gọi là xạ trị trong chọn lọc) là biện pháp cuối cùng mang lại cơ hội khi người bệnh thất bại với các phương pháp điều trị trên.

 GS.TS Mai Trọng Khoa, Giám đốc Trung tâm Y học hạt nhân - ung bướu, Phó Giám đốc BV Bạch Mai, cho biết, đến nay cả nước đã chữa trị thành công 50 ca ung thư gan với kỹ thuật mới này. Trong đó tại BV Bạch Mai thực hiện được 24 ca, BV Trung ương quân đội 108 thực hiện 18 ca và BV Chợ Rẫy là 8 ca. Trong các ca bệnh này, người ít tuổi nhất là 30 tuổi, nhiều nhất là 78 và tất cả bệnh nhân sau điều trị kích thước khối u đều giảm, các chỉ số ung thư giảm và được duy trì. Tuy nhiên, vì chi phí điều trị tốn kém (do là kỹ thuật mới vừa ứng dụng thành công, BHYT chưa chi trả) nên phương pháp này thường được chỉ định sau cùng, khi tất cả các phương pháp thông thường khác thất bại. Còn với những người bệnh ung thư gan có nhu cầu, trên khám bác sĩ vẫn có thể chỉ định thực hiện ngay phương pháp này.

Hình ảnh khối u thu nhỏ còn 3,0 x 3.5cm sau điều trị bằng hạt vi cầu phóng xạ.

Bác sĩ Mai Hồng Sơn, khoa Y học Hạt nhân (BV Trung ương quân đội 108) lấy dẫn chứng về ca bệnh ung thư gan nguyên phát được điều trị thành công tại BV. Đó là  bệnh nhân là Vũ Công T (nam, 38 tuổi) bị đau hạ sườn phải đã đi khám và tình cờ phát hiện u gan phải trên hình ảnh siêu âm với kích thước lên tới 130 x110x90mm. Bệnh nhân có tiền sử viêm gan B.

Với bệnh nhân với khối u gan to như thế này thì khả năng phẫu thuật hay nút mạch đều rất khó khăn. Vì thế, các bác sĩ đã quyết định ứng dụng bằng hạt vi cầu phóng xạ Yttrium - 90 (còn gọi là xạ trị trong chọn lọc). Sau quá trình điều trị, khối u giảm, các chỉ số về ung thư giảm và vẫn được duy trì đến nay, sau 21 tháng điều trị.

Còn tại BV Bạch Mai, TS.BS Phạm Văn Thái (Trung tâm Y học Hạt nhân và Ưng bướu) đã trình bày về ca bệnh ung thư gan thứ phát (ung thư gan do di căn từ một loại ung thư khác) điều trị thành công.

Đây là một bệnh nhân nam (59 tuổi, Hà Nội) vào viện vì đau tức hạ sườn phải. 2 tháng trước khi vào viện, bệnh nhân có đau tức hạ sườn phải, người mệt mỏi, ăn kém, sụt 2kg/tháng. Sau khi phát hiện u gan tại một phòng khám tư, bệnh nhân đã vào BV Bạch Mai để khám. Tại đây bệnh nhân được phát hiện khối u rất to ở gan phải, với kích thước 8,5x7,2cm. Gan trái cũng được phát hiện khối u kích thước 3,1 x2,1cm.

Tuy nhiên chỉ số chỉ điểm ung thư lại cho thấy bệnh nhân bị di căn từ một loại ung thư khác trong cơ thể. Nghĩ đến nguy cơ ung thư trực tràng, các bác sĩ đã nội soi và lấy mẫu sinh thiết phát hiện  bệnh nhân bị ung thư đại tràng xích ma loại biểu mô tuyến di căn gan. 

“Với khối u lớn như vậy sẽ không thể phẫu thuật. Vì thế, chúng tôi đã quyết định sử dụng phương pháp hạt vi cầu phóng xạ để giảm kích thước khối u cho người bệnh. Kết quả sau điều trị kích thước khối u giảm xuống còn 3,0x3,5cm. Lúc này bác sĩ mới có thể can thiệp phẫu thuật cắt bỏ đoạn TT lấy u gan di căn”, TS Thái cho biết.

Giảm biến chứng, kéo dài thời gian sống

Đánh giá về ca bệnh này, TS Mai Trọng Khoa cho biết, việc điều trị kết hợp hóa chất với hạt phóng xạ mang lại hiệu quả điều trị cao, tạo điều kiện cho phẫu thuật. Nếu không có phương pháp này rất khó điều trị khối u di căn gan cho người bệnh bởi kích thước khối u lớn.

TS Khoa cho biết, kỹ thuật xạ trị trong chọn lọc điều trị ung thư gan bằng hạt vi cầu phóng xạ không chỉ mang lại lợi ích cho các bệnh nhân ung thư gan nguyên phát không còn khả năng phẫu thuật, hoặc đã thất bại với các phương pháp điều trị trước đó (như nút mạch...) mà còn cho cả các bệnh nhân ung thư gan thứ phát như ung thư đại trực tràng di căn vào gan. 

Lợi ích của việc kết hợp xạ trị trong chọn lọc u gan bằng hạt vi cầu phóng xạ và hoá trị cho bệnh nhân ung thư đại trực tràng di căn vào gan đã giúp kéo dài thời gian kiểm soát bệnh trung bình lên đến 20,5 tháng (cao hơn nhiều so với hóa trị đơn thuần) và giảm 31% nguy cơ phát triển khối u ở gan, tăng 3 lần khả năng khỏi bệnh trong gan. Kết luận này được rút ra từ kết quả nghiên cứu trên hơn 500 bệnh nhân ung thư đại trực tràng di căn gan (nghiên cứu SIRFLOX) đã được báo cáo và công bố tại hội nghị quốc tế về ung thư của Hiệp hội Ung bướu lâm sàng Hoa Kỳ (ASCO) tại Chicago vào tháng 5/2015.

“Với việc đưa trực tiếp hạt vi cầu Yttrium 90 qua động mạch nuôi vào trong khối u đã có tác dụng kép vừa gây tắc mạch cắt nguồn dinh dưỡng nuôi u và phát ra bức xạ bêta tiêu diệt tế bào ung thư tại chỗ, ảnh hưởng rất ít đến mô lành xung quanh. Kỹ thuật này có ưu điểm là tạo ra liều chiếu xạ tập trung cao tại khối u trong khi các tổ chức lành xung quanh chỉ chịu liều chiếu xạ thấp, vì thế ít gây ra các tác dụng phụ, giảm biến chứng điều trị. Người bệnh sau khi điều trị có thể ra viện ngay ngày hôm sau”, TS Khoa nói.

Tuy nhiên, phương pháp này chỉ được áp dụng tại các bệnh viện lớn có đầy đủ trang thiết bị (như máy chụp mạch, máy CT đa dãy, máy SPECT, máy PET/CT)  và đặc biệt là sự phối hợp của các chuyên khoa sâu như  ung bướu, y học hạt nhân, chẩn đoán hình ảnh…

Một khó khăn nữa khiến người bệnh ít cơ hội tiếp cận với phương pháp mới này đó là chi phí điều trị vì chưa được BHYT chi trả. “Chi phí cả quá trình điều trị bằng hạt vi cầu phóng xạ tương đương với xạ trị (tuy nhiên xạ trị đã được BHYT đồng chi trả) nhưng vì là kỹ thuật mới nên số tiền mà người bệnh phải bỏ ra rất lớn. Vì thế, trong thời gian sớm nhất, chúng tôi sẽ đề nghị sự hỗ trợ của BHYT với bệnh nhân phải chỉ định kỹ thuật cao này”, TS Khoa cho biết.

Bài và ảnh: Hồng Hải

Tin liên quan