Ca lâm sàng hiếm gặp: Schwannoma sau phúc mạc

Ngày đăng: 15/01/2020 Lượt xem 10250
GS.TS Mai Trọng Khoa, PGS.TS Phạm Cẩm Phương, BS Nguyễn Tiến Đồng
- Trung tâm Y học hạt nhân và ung bướu, Bệnh viện Bạch Mai

 

Schwannoma là những khối u hiếm phát sinh từ các tế bào Schwann trong vỏ bọc thần kinh. Chúng thường được tìm thấy trong hệ thống thần kinh trung ương, tủy sống hoặc các dây thần kinh ngoại biên của cơ thể, với loại phổ biến nhất là u thần kinh thính giác, ngoài ra chúng còn được tìm thấy ở đường tiêu hóa, trong ổ bụng và trung thất.

Tuổi mắc bệnh trung bình từ 20 đến 50 tuổi, bệnh gặp nhiều ở giới nữ. Bệnh nhân phát hiện bệnh đôi khi tình cờ qua kiểm tra sức khỏe hoặc do các triệu chứng của khối u chèn ép các cơ quan lân cận, tùy vào cơ quan tổn thương như hệ thần kinh trung ương u thường có kích thước nhỏ, tuy nhiên một số vị trí khác có thể gặp như ổ bụng, trung thất, đường tiêu hóa đôi khi gặp các khối u lớn với các đặc điểm trên hình ảnh như tổn thương u dạng nang, vôi hóa và xơ hóa.

Với tính chất tái phát thấp, việc điều trị Schwannoma tùy thuộc vào vị trí tổn thương, nếu tổn thương trên não thì phẫu thuật hoặc xạ phẫu bằng gamma quay là các lựa chọn đầu tiên. Bệnh tổn thương tại đường tiêu hóa, trung thất, ổ bụng phẫu thuật cắt bỏ u toàn bộ hoặc một phần nhằm tránh các di chứng thần kinh, chèn ép các cơ quan là lựa chọn ưu tiên.

Sau đây là một trường hợp lâm sàng bệnh nhân mắc Schwannomas được chẩn đoán tại Trung tâm Y học hạt nhân và Ung bướu, Bệnh viện Bạch mai đã được phẫu thuật thành công:

Bệnh nhân S.S, nữ, 56 tuổi. Nhập viện Trung tâm Y học hạt nhân và Ung bướu Bệnh viện Bạch Mai ngày 09/2019 vì lý do đau bụng.

Bệnh sử: Cách vào viện 4 tuần bệnh nhân xuất hiện đau bụng hạ vị, tự đi khám ở Bệnh viện tại Lào chẩn đoán theo dõi U buồng trứng, bệnh nhân được tiến hành phẫu thuật tuy nhiên không lấy được u mà chỉ thăm dò chẩn đoán à Bệnh nhân nhập viện Trung tâm Y học hạt nhân và Ung bướu Bệnh viện Bạch Mai. Tại trung tâm, bệnh nhân đã được thăm khám, làm các xét nghiệm thăm dò, đánh giá toàn thân. Trên hình ảnh chụp cắt lớp vi tính ổ bụng theo dõi khối u sau phúc mạc à sinh thiết lấy bệnh phẩm làm chẩn đoán xác định.

Tiền sử:

- Bản thân     : Khỏe mạnh

- Gia đình      : Khỏe mạnh

Khám vào viện:

-        Bệnh nhân tỉnh, tiếp xúc tốt.

-        Da niêm mạc hồng.

-        Hạch ngoại vi không sờ thấy.

-        Mạch: 80 lần/phút;

-        Huyết áp: 120/70 mmHg.

-        Thể trạng: trung bình;   Chiều cao: 155cm;  Cân nặng 58kg.

-        Phổi: Rì rào phế nang 2 bên rõ, không có rales.

-        Tim đều, T1, T2 rõ.

-        Bụng mềm, không chướng, ấn tức hạ vị, thành bụng có vết mổ vùng hạ vị đã khô và cắt chỉ.

-        Không có dấu hiện thần kinh khu trú.

-        Các cơ quan khác chưa phát hiện gì đặc biệt.

Xét nghiệm cận lâm sàng:

-    Công thức máu: Chưa phát hiện bất thường.

Hồng cầu: 4,8T/L; Hemoglobin: 120g/L.

Bạch cầu: 6,1G/L; Bạch cầu trung tính: 61,9%.

Tiểu cầu: 290G/L.

-    Sinh hóa máu:

Chức năng gan thận trong giới hạn bình thường.

Điện giải đồ bình thường.

Chất chỉ điểm khối u với CEA, CA 15 3, CA 125 bình thường.

-        Xét nghiệm vi sinh: HbsAg(-); HIV(-).

-        Điện tâm đồ, siêu âm tim: Chưa phát hiện bất thường.

-        Nội soi dạ dày tá tràng, nội soi đại trực tràng: Bình thường.

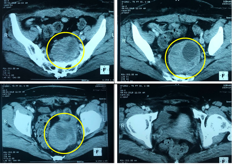
-        Chụp cắt lớp vi tính ổ bụng: Khối vùng tiểu khung kích thước 78x80mm nằm cạnh buồng trứng trái đẩy trực tràng ra sau, khối có vỏ dầy không đều, bên trong có chứa phần đặc và dịch, phần đặc có ngấm thuốc cản quang sau tiêm.

 
Hình 1. Hình ảnh khối u vùng tiểu khung trên chụp căt lớp vi tính ổ bụng (vòng tròn vàng)

-        Siêu âm ổ bụng: Khối u vùng hố chậu trái kích thước 9,3x7cm
 
Hình 2. Hình ảnh khối u vùng tiểu khung trên siêu âm ổ bụng (mũi tên)

-        Bệnh nhân được sinh thiết u tiểu khung dưới hướng dẫn của siêu âm. Kết quả giải phẫu bệnh là Schwannoma khi nhuộm hóa mô miễn dịch dương tính với các dấu ấn: S100, Ki67 (3%), âm tính với các dấu ấn: SMA, DOG1, CD117, CD34

-        Xạ hình xương, chụp cộng hưởng từ sọ não: Chưa phát hiện bất thường.

Chẩn đoán trước phẫu thuật: Schwannoma vùng tiểu khung

Điều trị: Bệnh nhân được chỉ định phẫu thuật cắt bỏ khối u, lấy bệnh phẩm làm xét nghiệm mô bệnh học: Kết quả là Schwannomas khi nhuộm hóa mô miễn dịch dương tính với các dấu ấn: S100, Ki67 (1%), âm tính với các dấu ấn: SMA, DOG1, CD117, CD34

Trong cuộc mổ: phẫu thuật viên thấy khối u lớn vùng hố chậu trái, nằm sau trong tiểu khung, sau phúc mạc, bên trái trực tràng, kích thước khoảng 6x7x8cm, mật độ chắc. Các bác sĩ đã cắt bỏ toàn bộ tổn thương.
 
Hình 3. Hình ảnh khối u sau phẫu thuật
 
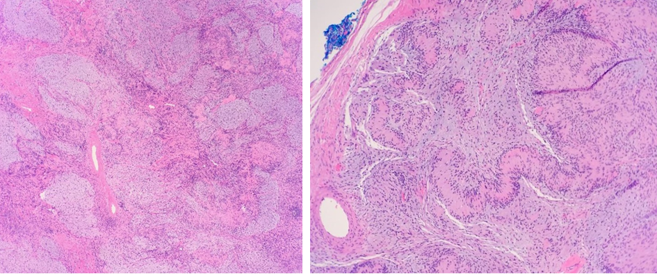
Hình 4. Hình ảnh vi thể tổn thương Schwannoma

Theo dõi điều trị hẫu phẫu tại Trung tâm Y học hạt nhân và Ung bướu Bệnh viện Bạch Mai:

Sau mổ 3 tuần: không đau bụng, không sốt. Vết mổ khô, đã rút dẫn lưu và cắt chỉ, đi lại, vận động bình thường.

Bệnh nhân được chăm sóc hậu phẫu ổn định và hẹn khám lại định kì sau 3 tháng

Kết luận: Schwannoma là những khối u hiếm phát sinh từ các tế bào Schwann trong vỏ bọc thần kinh. Chúng thường được tìm thấy trong hệ thống thần kinh trung ương, tủy sống hoặc các dây thần kinh ngoại biên của cơ thể, với loại phổ biến nhất là u thần kinh thính giác, ngoài ra chúng còn được tìm thấy ở đường tiêu hóa, trong ổ bụng và trung thất. Với các tổn thương trong ổ bụng, phương pháp điều trị đầu tiên là phẫu thuật, bệnh có tiên lượng tốt, sau phẫu thuật có thể khỏi hoàn toàn và không để lại di chứng.
ungthubachmai.vn

Tin liên quan