CẬP NHẬT VỀ CHỈ ĐỊNH ĐIỀU TRỊ I-131 TRONG UNG THƯ TUYẾN GIÁP THỂ BIỆT HÓA

Ngày đăng: 18/10/2024 Lượt xem 3224
CẬP NHẬT VỀ CHỈ ĐỊNH ĐIỀU TRỊ I-131 TRONG UNG THƯ TUYẾN GIÁP THỂ BIỆT HÓA
GS.TS Mai Trọng Khoa1,2, BSNT. Châu Quỳnh Anh2, PGS.TS. Phạm Cẩm Phương1,2,
 TS. Phạm Văn Thái1,2
1. Trung tâm Y học hạt nhân và Ung bướu - Bệnh viện Bạch Mai
2. Trường Đại học Y Hà Nội
(Tổng hợp)

1. TỔNG QUAN
Ung thư tuyến giáp là loại ung thư khá phổ biến với tỉ lệ mắc mới ngày càng tăng. Theo Globocan 2020, ung thư tuyến giáp chỉ đứng hàng 11 đến năm 2022 tỉ lệ mắc mới của ung thư tuyến giáp đã tăng lên hàng thứ 7 với tổng hơn 800.000 ca. Tuy nhiên tỉ lệ tử vong của ung thư tuyến giáp lại chỉ đứng thứ 24 với hơn 47.000 ca tử vong. Từ dữ liệu trên cho thấy ung thư tuyến giáp là bệnh có tiên lượng khá tốt và thường tiến triển chậm. Ung thư tuyến giáp gặp chủ yếu ở nữ giới với tỉ lệ bệnh gặp ở nữa xấp xỉ 3 lần so với nam giới, bệnh chủ yếu gặp ở tuổi từ 30 -50 tuổi và với thể mô bệnh học chủ yếu là ung thư tuyến giáp thể biệt hóa với thể nhú chiếm đa số. 
Điều trị ung thư tuyến giáp thể biệt hóa thường cần phối hợp nhiều phương pháp với nhau như phẫu thuật, điều trị bằng Iod phóng xạ (131I), liệu pháp hormone, điều trị đích và theo dõi định kì. Trong đó, phẫu thuật đóng vai trò quan trọng, sau đó sử dụng phương pháp điều trị bằng 131I giúp tăng hiệu quả điều trị triệt căn và giảm tỉ lệ tái phát bệnh đáng kể. Tuy nhiên có nhiều quan điểm khác nhau về các chỉ định và hiệu quả điều trị bằng 131I. Bài viết này sẽ bàn luận sâu hơn về những cập nhật mới về chỉ định và cũng như những yếu tố ảnh hưởng đến chỉ định điều trị 131I  trong ung thư tuyến giáp thể biệt hóa.

2. PHÂN LOẠI MÔ BỆNH HỌC CỦA CÁC KHỐI U TUYẾN GIÁP
2.1. Nguồn gốc mô bệnh học của ung thư tuyến giáp
Chúng ta đều biết rằng tuyến giáp là tuyến nội tiết nằm ở vùng cổ trước, phía trước khí quản và dưới sụn thanh quản. Về cấu trúc mô học, mô giáp bình thường bao gồm các tế bào nang tuyến xếp thành nang giáp chứa đầy keo và các tế bào C – hay các tế bào cận nang. Trong đó, nang giáp là nơi tổng hợp và dự trữ hormone tuyến giáp để đảm bảo chức năng chuyển hóa và các chức năng khác của cơ thể, các tế bào cận nang tiết ra calcitonin điều hòa nồng độ canxi trong cơ thể. Các tế bào tuyến giáp được nuôi dưỡng bởi các mao mạch xung quanh rất phong phú.
 
Hình 1: Giải phẫu, mô học bình thường của tuyến giáp
Phân loại mô bệnh học của ung thư tuyến giáp dựa trên nguồn gốc của tế bào, gồm tế bào nang giáp và tế bào cận nang. Nhóm tế nào ung thư có nguồn gốc từ tế bào nang giáp chiếm đa số (khoảng 90%), nhóm tế bào này có thể tiến triển thành ung thư, thường được chia thành ba nhóm mô bệnh học chính gồm: Ung thư biểu mô tuyến giáp thể biệt hóa (UTBMTG thể biệt hoá), ung thư tuyến giáp thể kém biệt hóa (UTBMTG kém biệt hoá) và ung thư tuyến giáp thể không biệt hóa (UTBMTG không biệt hoá). Trong đó thể biệt hóa chiếm đa số (hơn 85%), còn lại thể kém biệt hóa và không biệt hóa chiếm tỉ lệ rất thấp (chỉ khoảng 5%). Đối với nhóm tế bào có nguồn gốc từ tế bào cận nang giáp, khi chuyển dạng thành ung thư thì thể mô bệnh học hay gặp nhất là ung thư tuyến giáp thể tủy (UTBMTG thể tuỷ), thể này chiếm 5-10% và có tiên lượng xấu.
Như đã đề cập ở phía trên, các tế bào nang giáp là các tế bào có vai trò chính trong quá trình tổng hợp hormon tuyến giáp. Ở trạng thái bình thường, các tế bào này sẽ hấp thụ và bắt giữ Iodur trong máu, sau đó vận chuyển vào chất keo của tuyến giáp dưới dạng vận chuyển chủ động bởi bơm Iod (kênh NIS), bơm Iod hoạt động phụ thuộc vào Na+, K+ ATPase và bị kích thích bởi TSH. Khi Iodur vào trong chất keo của tuyến giáp thì sẽ được Oxy hóa trở lại thành Iod vô cơ. Từ đó, iod vô cơ sẽ tham gia quá trình tổng hợp hormon tuyến giáp T3, T4. Như vậy, Các tế bào UTBMTG thể biệt hóa thường có chức năng và tính chất tương tự các tế bào tuyến giáp bình thường, vì vậy chúng cũng có khả năng bắt giữ và tập trung Iod như các tế bào tuyến giáp bình thường. Nhờ đặc tính này, phương pháp sử dụng 131I được sử dụng để điều trị ung thư tuyến giáp nhằm huỷ nốt mô tuyến giáp còn lại sau phẫu thuật, diệt các ổ ung thư nhỏ (microcarcinoma) và diệt các tế bào ung thư di căn xa từ đó sẽ hạn chế tái phát ung thư cũng như điều trị ung thư tuyến giáp đã di căn xa. Đối với UTBMTG thể kém biệt hoá, nhóm tế bào này vẫn còn một phần đặc tính của các tế bào nang giáp, vì vậy vẫn có thể điều trị phóng xạ 131I cho nhóm này, tuy nhiên mức độ hấp thụ và bắt giữ Iod thường kém dẫn đến đáp ứng điều trị cũng kém hơn so với thể biệt hoá. 
Hai thể mô bệnh học của ung thư tuyến giáp không có chỉ định điều trị 131I là UTBMTG không biệt hoá và UTBMTG thể tuỷ. Đối với UTBMTG không biệt hoá, nhóm tế bào này không còn đặc tính của các tế bào giáp, như vậy chúng cũng không còn khả năng hấp thụ Iod, nên đối nhóm này 131I không có tác dụng. Nhóm UTBMTG thể tuỷ có nguồn góc từ nhóm tế bào cận nang. Như đã nói phía trên, nhóm tế bào này chủ yếu có vai trò tiết ra calcitonin điều hòa nồng độ canxi trong cơ thể và không có khả năng hấp thu Iod, vì vậy phương pháp điều trị bằng 131I cũng không có tác dụng ở nhóm này. 
2.2. Phân loại mô bệnh học của khối u tuyến giáp theo WHO 2022
Phiên bản phân loại mô bệnh học của khối u tuyến giáp theo WHO 2022 (the 2022 WHO classification of thyroid tumors) đã có nhiều điểm mới, từ đó ảnh hướng đáng kể với quyết định điều trị của các nhà lâm sàng. Trong khuôn khổ bài này, chúng tôi chủ yếu đề cập đến những điểm mới trong phân loại mô bệnh học của UTBMTG thể biệt hoá.
Trong phân loại này, mô bệnh học của các tổn thương tân sản tại tuyến giáp chia các tổn thương thành ba nhóm chính gồm: tổn thương lành tính, tân sản nguy cơ thấp và u tuyến giáp ác tính. 


 
Hình 2: Phân loại của WHO 2022 về các tổn thương tân sản của tuyến giáp
Tân sản nguy cơ thấp
Đối với nhóm tân sản nguy cơ thấp, việc đặt tên cho nhóm u tuyến giáp là 'nguy cơ thấp' đã được giới thiệu trong ấn bản thứ tư (2017) của phân loại u tuyến giáp của WHO. Trong phiên bản mới này, thuật ngữ “ tân sản- neoplasms” đã được sử dụng để thay cho thuật ngữ“ u -tumor”, điều này làm giảm thiểu nguy cơ điều trị quá mức đối với những dạng tổn thương này. Nhóm tân sản nguy cơ thấp dùng để chỉ các khối u nguy cơ thấp, là trung gian giữa lành tính và ác tính. Nhóm này bao gồm: khối u tuyến giáp nang không xâm lấn có các đặc điểm nhân giống thể nhú (NIFTP: Noninvasive follicular neoplasm with papillary-like nuclear features), khối u tuyến giáp có khả năng ác tính chưa rõ (UMPs: Thyroid tumors of uncertain malignant potential), khối u xốp hyalin hóa (HTT: hyalinizing trabecular tumors). 
Trên lâm sàng, nhóm tân sản nguy cơ thấp này ít gặp (khoảng 0,5-5%), đặc điểm trên mô bệnh học thường được phân định rõ ràng hoặc được bao bọc bởi vỏ xơ và đặc biệt là không có tính chất xâm lấn. Nguy cơ tái phát và di căn của nhóm này thường rất thấp, vì vậy được điều trị chủ yếu bằng phẫu thuật cắt thuỳ tuyến giáp và theo dõi (không có chỉ định liệu pháp iod phóng xạ). Cách phân loại này nhằm giúp các bác sĩ đưa ra chỉ định chính xác và nâng cao chất lượng cuộc sống cho bệnh nhân.
U tuyến giáp ác tính
Điểm mới đầu tiên trong phân loại mô bệnh học của WHO 2022 là ung thư biểu mô tuyến giáp thể nhú biến thể nang có xâm nhập vỏ được tách thành một phân nhóm riêng và không còn được coi là biến thể của nhóm ung thư biểu mô tuyến giáp thể nhú như trước. UTBMTG thể nang thường có tính chất xâm lấn mạch máu do gen RAS thức đẩy, ngược lại nhóm UBMTG thể nhú thường có xu hướng xâm lấn vào mô tuyến giáp xung quanh và mạch bạch huyết thường do gen BRAF thúc đẩy. Ung thư biểu mô tuyến giáp thể nhú biến thể nang thường mang đột biến gen RAS và có đặc điểm mô bệnh học với kiểu xâm lấn tương tự như UTBMTG thể nang (có nang và/hoặc có xu hướng xâm lấn mạch máu hơn là bạch huyết). Để phản ánh tốt hơn điều này, do đó, phân loại WHO năm 2022 chia nhỏ UTBMTG thể nhú biến thể nang thành thể xâm lấn tối thiểu, thể xâm lấn mạch máu có nang hoặc thể xâm lấn rộng.
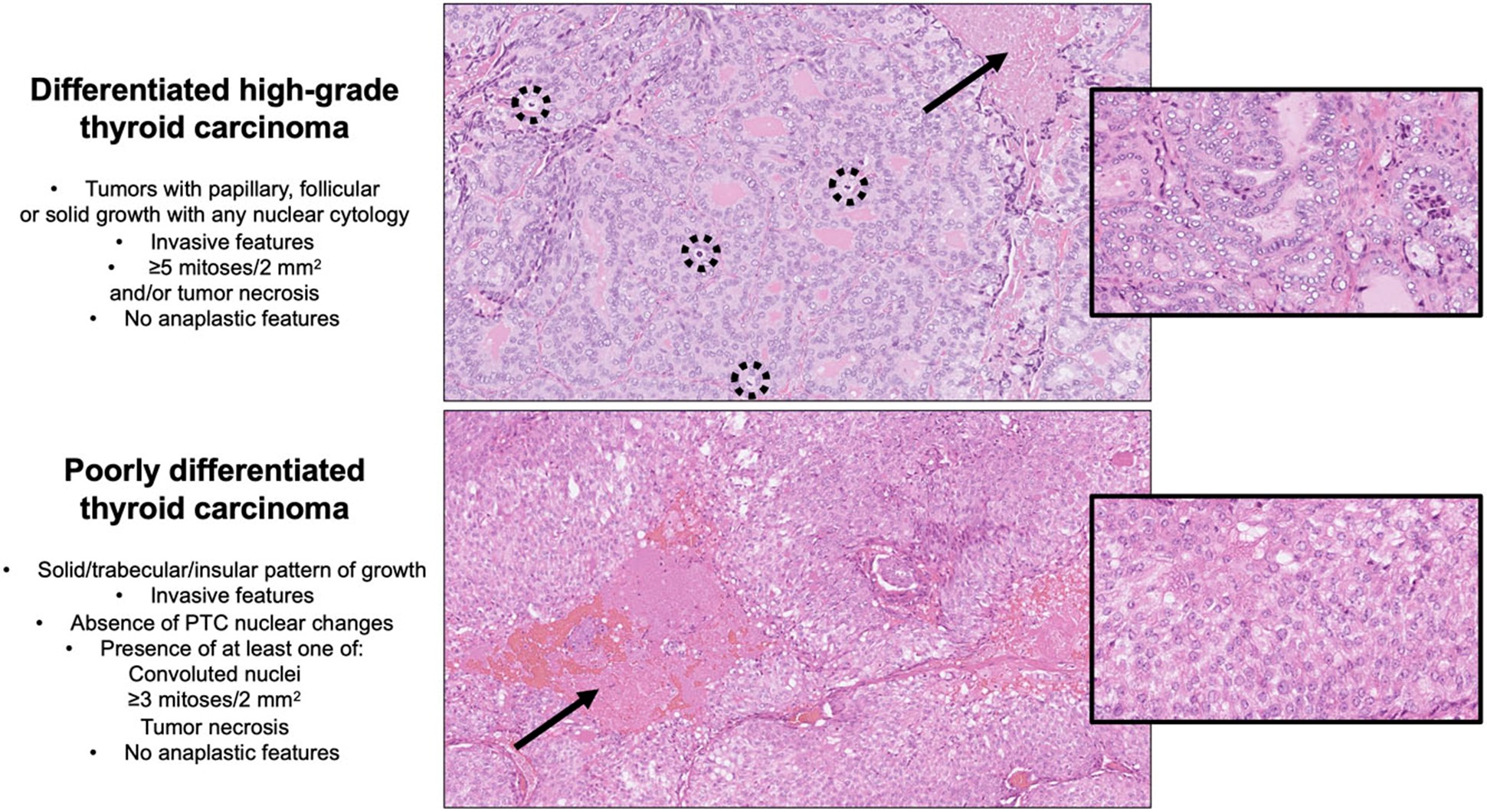
Điểm mới thứ hai trong ấn bản thứ năm của phân loại WHO, xuất hiện thêm một phân nhóm mới - ung thư biểu mô tuyến giáp thể biệt hoá độ ác tính cao (DHGTC: Differentiated high-grade thyroid carcinoma). Nhóm này có những đặc tính nổi bật như chỉ số phân chia tăng và có sự xuất hiện của hoại tử khối u, điều này khiến phân nhóm này có đặc điểm lâm sàng ác tính và tiến triển nhanh tương tự thể UTBMTG kém biệt hoá. UTBMTG thể biệt hóa độ ác tính cao là các khối u mang đặc tính giống thể nhú, thể nang hoặc khối u đặc có đặc tính xâm lấn, số tế bào phân chia ≥ 5 mm2 và/hoặc  kèm hoại tử u và không có đặc điểm của thể không biệt hóa. 

 
Hình 3: Các đặc điểm của ung thư biểu mô tuyến giáp biệt hóa cao và ung thư biểu mô tuyến giáp kém biệt hóa
Ngoài ra, trong phiên bản này, thuật ngữ biến thể (variant) được thay thế bằng dưới típ (subtype) và thuật ngữ vi ung thư biểu mô nhú (Thyroid Papillary Microcarcinoma) là các khối u có kích thước ≤ 1cm không được sử dụng nữa, do những tổn thương kích thước nhỏ này được báo cáo là có diễn biến lâm sàng hung hăng tương tự như các tổn thương có kích thước lớn.

3. PHÂN GIAI ĐOẠN UNG THƯ TUYẾN GIÁP THEO AJCC 8TH
 

 Hình 4: Phân giai đoạn T- tumor (khối u) theo TNM
Trong phân loại TMN theo AJCC 8th, xếp loại T3 không còn được phân loại phụ thuộc vào xâm lấn tối thiểu ra ngoài tuyến giáp mà được tách ra thành T3a và T3b phụ thuộc vào kích thước u và/hoặc xâm lấn đại thể ra ngoài tuyến giáp được giới hạn bởi các cơ xung quanh tuyến giáp như cơ ức giáp, ức móng, giáp móng,… Một nghiên cứu của tác giả Nixon và cộng sự về ảnh hưởng của xâm lấn tối thiểu ra ngoài tuyến giáp đến tiên lượng của bệnh nhân UTBMTG thể biệt hóa. Nghiên cứu thực hiện trên 984 bệnh nhân có chẩn đoán trước mổ thuộc nhóm cT1/T2N0. Sau phẫu thuật có 869 bệnh nhân vẫn thuộc nhóm pT1/T2 và 115 bệnh nhân được nâng giai đoạn lên pT3 do phát hiện mô bệnh học có xâm lấn tối thiểu ra ngoài tuyến giáp. Kết quả nghiên cứu cho thấy, nhóm bệnh nhân có chẩn đoán trước mổ cT1/T2N0 có tiên lượng rất tốt và không bị ảnh hưởng bởi  mô bệnh học có xâm lấn vi thể ra ngoài tuyến giáp. Việc phẫu thuật cắt rộng và điều trị I-131 sau phẫu thuật ở bệnh nhân có xâm lấn tối thiểu ra ngoài tuyến giáp không ảnh hưởng đến thời gian sống còn và tái phát của bệnh.
 
Hình 5: Phân loại giai đoạn N (hạch bạch huyết) và M (di căn) theo TNM
Trong phiên bản này, phân nhóm N1a ngoài di căn nhóm hạch cổ trung tâm (nhóm VI) thì đã bổ sung thêm di căn hạch cổ thấp (hay trung thất trên) - nhóm VII. Điều này, giúp giảm việc chỉ định điều trị phóng xạ liều cao quá mức ở những bệnh nhân được nhận định là di căn hạch nhóm VII so với phiên bản trước.

Hình 6: Phân giai đoạn chung theo TNM
Trong phân loại này đã lấy mốc 55 tuổi thay vì 45 tuổi như trước kia để làm mốc phân chia giai đoạn. Lý do là những nhóm bệnh nhân dưới 55 tuổi thường có tiên lượng kém hơn nhóm trên 55 tuổi, phân chia giai đoạn cũng khác biệt đôi chút, khi có di căn thì sẽ thuộc giai đoạn II.
4. CHỈ ĐỊNH CỦA 131I TRONG ĐIỀU TRỊ UNG THƯ BIỂU MÔ TUYẾN GIÁP THỂ BIỆT HÓA 
Chỉ định điều trị 131I ở bệnh nhân ung thư tuyến giáp thể biệt hóa sau phẫu thuật còn nhiều vấn đề chưa được thống nhất trên toàn thế giới, các hiệp hội, quốc gia. Sự khác nhau chủ yếu là ở nhóm nguy cơ thấp, còn ở nguy cơ trung bình và nguy cơ cao đa phần đều không có sự khác biệt đáng kể. 
Chuyên đề này sẽ phân tích, so sánh và chỉ định điều trị 131I từ các khuyến cáo, hướng dẫn cập nhập của: Hiệp hội tuyến giáp Châu Âu 2022 (Europe Thyroid Association- ETA) và Mạng lưới ung thư quốc gia Mỹ 2024 (National comprehensive cancer Network- NCCN). Tuy nhiên rất cần lưu ý cân nhắc nhiều yếu tố và đặc biệt là cần cá thể hoá trên từng bệnh nhân
4.1. Chỉ định điều trị 131I trong ung thư tuyến giáp thể biệt hoá theo NCCN 2024
Bảng 1: Khuyến cáo điều trị 131I theo NCCN 2024

KHÔNG khuyến cáo điều trị 131I (nếu đủ các tiêu chí sau)

Mô bệnh học: carcinoma thể nhú, subtype là thể cổ điển

Không phát hiện anti-Tg

Khối u lớn nhất ≤ 2 cm

Tg ức chế < 1 ng/ml hoặc Tg kích thích < 2 ng/ml

Khối u giới hạn trong tuyến giáp

Siêu âm: âm tính sau phẫu thuật

Khối u đơn ổ hoặc đa ổ (các khối đều ≤ 1cm)

Khuyến cáo điều trị 131I một cách CHỌN LỌC (nếu có 1 trong các tiêu chí)

Khối u lớn nhất > 2cm

U đa ổ (có ít nhất 1 khối u có kích thước > 1 cm)

Bờ khối u dương tính vi thể

Tg ức chế từ 1-10 ng/mL

Xâm lấn hạch bạch huyết

Mô bệnh học là carcinoma thể nhú nguy cơ cao (tế bào cao, tế bào cột, thể xơ hoá lan toả, biến thể hobnail…).

Di căn hạch cổ

Khuyến cáo điều trị 131I (nếu có 1 trong các tiêu chí sau)

Di căn hạch phân loại N1b

Hạch lớn hoặc > 5 hạch di căn

Xâm lấn đại thể ra ngoài tuyến giáp

Mô bệnh học: thể ung thư biệt hoá độ ác tính cao

Tg ức chế > 10 ng/ml

PTC: Xâm lấn mạch máu

FTC, OCA: xâm lấn mạch máu rộng (≥ 4 mạch máu)


Đối với nhóm khuyến cáo điều trị 131I một cách CHỌN LỌC, việc điều trị I-131 ở nhóm này nên được cân nhắc nhiều yếu tố và cá thể hoá trên từng bệnh nhân: 
- KHÔNG khuyến cáo điều trị 131I ở những bệnh nhân
  • Khối u có kích thước từ 1-4cm (T1b/T2) không có hạch di căn (N0/Nx) hoặc hạch nhỏ N1a di căn (ít hơn 5 hạch và hạch lớn nhất có kích thước <0,2cm).
  • Tg sau phẫu thuật < 1ng/ml và không có sự ảnh hướng của antiTg
Khuyến cáo điều trị 131I khi có sự kết hơp của nhiều yếu tố lâm sàng trên từng bệnh nhân riêng biệt
  • Mức độ lan rộng của khối u
  • Mô bệnh học
  • Xâm lấn hạch bạch huyết
  • Di căn hạch
  • Tg sau phẫu thuật
  • Độ tuổi chẩn đoán
4.2. Chỉ định điều trị 131I trong ung thư tuyến giáp thể biệt hoá theo ETA 2022
KHUYẾN CÁO 1: Quyết định điều trị I-131 dựa trên các yếu tố tiên lượng tử vong, tái phát bệnh. 
Việc đánh giá chỉ định điều trị 131I dựa trên phân tầng yếu tố nguy cơ theo ATA 2015 phối hợp với theo dõi Tg huyết thanh và siêu âm vùng cổ sau phẫu thuật. 
Bảng 2: Phân tầng yếu tố nguy cơ theo ATA 2015

NGUY CƠ

TIÊU CHÍ

YẾU TỐ NGUY CƠ CAO (>20%)

  • Xâm lấn đại thể của khối u vào mô mềm xung quanh tuyến giáp
  • Cắt bỏ khối u không hoàn toàn
  • Di căn xa
  • Tg sau phẫu thuật gợi ý di căn xa
  • Di căn hạch lớn (ít nhất một hạch có kích thước > 3cm)
  • Mô bệnh học: Carcinoma dạng nang với xâm lấn mạch máu rộng (> 4 ổ xâm lấn mạch máu)

YẾU TỐ NGUY CƠ TRUNG BÌNH (5-10%)

  • Xâm lấn vi thể của khối u vào mô mềm xung quanh tuyến giáp
  • Carcinoma thể nhú có nguy cơ cao (tế bào cao, tế bào trụ, biến thể hobnail)
  • PTC có xâm lấn mạch máu
  • Di căn hạch > 5 hạch và kích thước hạch lớn nhất < 3cm
  • Microcarcinoma dạng nhú đa ổ với xâm lân vi thể mô mềm tuyến giáp và có đột biến BRAF V600E (nếu biết); khối u > 1cm có đột biến BRAF V600E.

YẾU TỐ NGUY CƠ THẤP (<5%)

  • PTC giới hạn trong tuyến giáp không xâm lấn mạch, có/không kèm hạch di căn (N0 hoặc N1 ≤ 5 hạch và kích thước < 0,2cm)
  • Ung thư tuyến giáp dạng nhú biến thể nang giới hạn trong tuyến giáp hoặc k giáp dạng nang biệt hoá tốt xâm lấn vỏ bao hoặc mạch máu tối thiểu (< 4 mạch máu)
  • Microcarcinoma dạng nhú trong tuyến giáp có BRAF WT hoặc BRAF (nếu biết)

KHUYẾN CÁO 2: Việc sử dụng liệu pháp I-131 như một phương pháp điều trị bổ trợ hoặc điều trị bệnh đã biết được chỉ định cho những bệnh nhân thuộc nhóm nguy cơ tái phát cao hoặc có bệnh đã biết. 
Thời gian sống thêm toàn bộ (Overall Survival - OS) và thời gian sống thêm bệnh không tiến triển (Progression Free Survival – PFS) được cải thiện với điều trị bằng 131I. Liều Iod phóng xạ > 100mCi được ưu tiên ở các trường hợp nguy cơ cao. 
Bảng 3: So sánh nhóm nguy cơ cao giữa NCCN 2024 và ETA 2022

NCCN 2024

ETA 2022

Cắt bỏ khối u không hoàn toàn

Di căn hạch phân loại N1b

Xâm lấn đại thể ra ngoài tuyến giáp

Xâm lấn đại thể của khối u vào các mô mềm quanh tuyến giáp

Tg ức chế > 10 ng/ml

Tg sau phẫu thuật gợi ý di căn xa

Hạch lớn hoặc > 5 hạch di căn

Di căn hạch lớn (tối thiểu 1 hạch ≥ 3cm)

Mô bệnh học: UTBMTG thể biệt hóa độ ác tính cao (Differentiated High Grade Thyroid Cancer)

PTC: Xâm lấn mạch máu

FTC, OCA: xâm lấn mạch máu rộng (≥ 4 ổ)

FTC: xâm lấn mạch máu rộng (≥ 4 ổ)

Di căn xa

Di căn xa


Phân loại NCCN 2024 có điểm cập nhập mới về thể mô bệnh học vào nhóm yếu tố nguy cơ cao so với ATA 2025 và ETA 2022. Ngoài ra, yếu tố nguy cơ về di căn hạch và chỉ số Tg sau phẫu thuật ở phân loại theo NCCN 2024 cũng được mô tả rõ ràng hơn.
KHUYẾN CÁO 3: Ở nhóm nguy cơ trung bình, điều trị bằng 131I có thể được chỉ định và nên được điều chỉnh theo từng trường hợp cụ thể.
Theo ETA 2022, nhóm nguy cơ trung bình nên được cân nhắc điều trị 131I một cách chọn lọc và cá thể hoá. Theo khuyến cáo của ETA 2022, việc điều trị 131I mang lại lợi ích tốt nhất ở nhóm bệnh nhân: bệnh nhân tuổi cao, mô bệnh học có độ ác tính cao, hạch tăng kích thước, mức độ lan rộng của khối u ra bên ngoài tuyến giáp, nhiều hạch di căn và di căn hạch ngoài hạch vùng trung tâm (nhóm N1b theo TNM).
Bảng 4: So sánh đặc điểm, quyết định điều trị ở nhóm nguy cơ trung bình giữa NCCN 2024 và ETA 2022

NCCN 2024

ETA 2022

Khối u lớn nhất > 2cm

Xâm lấn vi thể của khối u vào mô mềm xung quanh tuyến giáp

Bờ khối u dương tính vi thể

Microcarcinoma dạng nhú đa ổ với xâm lấn vi thể mô mềm tuyến giáp và có đột biến BRAF V600E (nếu biết); khối u > 1 cm có đột biến BRAF V600E

Xâm lấn hạch bạch huyết

U đa ổ (có ít nhất 1 khối u có kích thước > 1 cm)

Di căn hạch cổ

Di căn hạch > 5 hạch và kích thước hạch lớn nhất < 3cm

Tg ức chế từ 1-10 ng/mL

Mô bệnh học là carcinoma thể nhú nguy cơ cao (tế bào cao, tế bào cột, thể xơ hoá lan toả, biến thể hobnail).

Carcinoma thể nhú có nguy cơ cao (tế bào cao, tế bào trụ, biến thể hobnail)

PTC có xâm lấn mạch máu


KHUYẾN CÁO 4: Ở những bệnh nhân có nguy cơ thấp, lợi ích của điều trị I-131 là vấn đề đang còn tranh luận.
Đối với ung thư biểu mô tuyến giáp thể nhú đơn hoặc đa ổ (kích thước u ≤ 1cm) thì có thể không cần thiết phải điều trị 131I
Tuy nhiên có thể cân nhắc chỉ định điều trị 131I nếu siêu âm hạch cổ bất thường hoặc Tg cao (Tg ức chế > 2 ng/ml, hoặc Tg kích thích từ 5-10 ng/ml). Vấn đề chỉ định điều trị ở nhóm này còn đang tranh luận, chưa đi đến thống nhất. Tuy nhiên, đa số quan điểm đồng thuận rằng không cần thiết phải chỉ định điều trị 131I ở nhóm nguy cơ thấp. Việc điều trị cần cân nhắc giữa lợi ích và nguy cơ cho người bệnh.

KHUYẾN CÁO 5: TSH tái tổ hợp được ưu tiên hơn để kích thích TSH trước điều trị I-131.
Việc điều trị bằng 131I yêu cầu TSH đạt ngưỡng ≥ 30 µU/mL đều tạo ra sự hấp thu mạnh mẽ 131I vào các tế bào tuyến giáp cũng như các thế bào ung thư tuyến giáp còn sót lại sau phẫu thuật. Để đạt được ngưỡng TSH kích thích này, có 2 phương pháp truyền thống thường được sử dụng: (1) Chuyển từ L -T4 sang triiodothyronine (L-T3) trong 2–3 tuần rồi ngừng L-T3 trong 2 tuần hoặc (2) Ngừng L-T4 trong 3–4 tuần mà không cần chuyển sang L-T3. Tuy nhiên 2 phương pháp này đều làm giảm chất lượng cuộc sống đáng kể do triệu chứng suy giáp.
Trong gần hai thập kỷ qua, một phương pháp mới giúp chuẩn bị bệnh nhân đạt ngưỡng TSH kích thích cho điều trị 131I một cách nhanh chóng – đó là sử dụng TSH tái tổ hợp. Bệnh nhân sẽ được tiêm bắp TSH người tái tổ hợp (rhTSH) với liều khoảng 0,9 mg trong 2 ngày liên tiếp và có thể bắt đầu điều trị 131I vào ngày hôm sau, sau mũi tiêm rhTSH thứ hai. Việc sử dụng TSH tái tổ hợp có thể áp dụng cho tất cả các nhóm nguy cơ, ngoại trừ bệnh di căn. Tuy nhiên TSH tái tổ hợp có chi phí cao và chưa được phân phối, cấp phép tại Việt Nam. Hiện nay tại Việt Nam, Đa phần các bệnh viện vẫn đang sử dụng phương pháp ngừng hormone tuyến giáp L-T4 sau 3-4 tuần nhằm đạt TSH ≥ 30 µU/mL để đủ điều kiện điều trị I-131. 

KHUYẾN CÁO 6: Liều 30mCi có hiệu quả diệt mô giáp tương đương với liều cao hơn.
  Đối với bệnh nhân nguy cơ thấp được chỉ định điều trị phóng xạ, liều 30 mCi nên được xem xét. Theo các nghiên cứu đã thực hiện trước đó, liều hủy mô giáp 30, 50, 100 mCi mang lại hiệu quả tương đương nhau. Do đó nên cân nhắc sử dụng liều hủy mô 30mCi để hạn chế tác dụng phụ của phóng xạ đối với bệnh nhân.

KHUYẾN CÁO 7: Hạn chế chỉ định xạ hình chẩn đoán trước điều trị 131I
Lí giải cho khuyến cáo này, một số tác giả cho rằng việc sử dụng 131I liều thấp để chụp xạ hình chẩn đoán có thể gây hiệu ứng “trơ” (stunning effect) của mô giáp với 131I. Nghĩa là các tế bào giáp khi đã nhận một liều I-131 trước đó sẽ bị trơ, khó hấp thu I-131 với liều điều trị, từ đó gây giảm hiệu quả điều trị. Ngoài ra, một số báo cáo cũng cho rằng việc chụp xạ hình chẩn đoán có tác động không đáng kể đến quyết định điều trị, vì vậy không nên chỉ định xạ hình chẩn đoán một cách thường quy trên tất cả các bệnh nhân.

KHUYẾN CÁO  8: Có thể thực hiện chế độ ăn Ít Iod trước điều trị  nhưng tính hữu ích của nó chưa được chứng minh rõ ràng. Cần tránh bất kỳ loại thuốc nào có chứa Iod.
Chế độ hạn chế Iod trước điều trị được khuyến cáo sử dụng tuy nhiên tính hữu ích của nó chưa thực sự được chứng minh rõ ràng. Bệnh nhân không sử dụng thuốc và chế phẩm có iod (Thuốc cản quang tĩnh mạch, amiodarone hoặc bất kỳ loại thuốc nào khác có chứa Iod), chế độ ăn hạn chế Iod ( < 5µg/ngày) trong 1-2 tuần trước khi điều trị I-131.

5. KẾT LUẬN
Ung thư tuyến giáp là bệnh ung thư có tiên lượng khá tốt, tỉ lệ mắc mới ngày càng tăng. Phương pháp điều trị bao gồm: phẫu thuật, điều trị bằng 131I, liệu pháp hormone, theo dõi. Các khuyến cáo, hướng dẫn về đánh giá cũng như điều trị đang được cập nhật một cách thường xuyên hơn.
Về phân loại mô bệnh học của ung thư tuyến giáp theo WHO 2022 có nhiều điểm mới so với phiên bản cũ, ảnh hướng đến tiên lượng bệnh. Quyết định điều trị 131I nên dựa trên các yếu tố tiên lượng tử vong, tái phát bệnh và nên cá thể hóa ở từng bệnh nhân. Liệu pháp 131I cần chỉ định ở nhóm bệnh nhân có yếu tố nguy cơ cao hoặc bệnh lý tồn dư/di căn đã biết. Ở nhóm nguy cơ trung bình cần cân nhắc nhiều yếu tố và điều chỉnh cho từng trường hợp. Nhóm yếu tố nguy cơ thấp thì việc điều trị 131I đang còn nhiều tranh luận (theo đa số khuyến cáo, nhóm bệnh nhân này có thể không cần thiết điều trị 131I).
 Các bác sĩ lâm sàng cần cập nhật những tiến bộ mới để đưa ra chỉ định điều trị một cách chính xác, cần dựa trên thông tin và cá thể hóa của từng bệnh nhân để đưa ra quyết định điều trị nhằm mang lại hiệu quả điều trị và chất lượng cuộc sống tốt hơn cho bệnh nhân ung thư tuyến giáp.

TÀI LIỆU THAM KHẢO

GLOBOCAN 2022, https://gco.iarc.who.int/media/globocan/factsheets/populations/900-world-fact-sheet.pdf
Pubweb.Vn. (n.d.). Tình hình bệnh ung thư tại Việt Nam theo GLOBOCAN 2022. https://nci.vn/tin-tuc/tinh-hinh-benh-ung-thu-tai-viet-nam-theo-globocan-2022-58
Khoa M.T, Khuê L.N. (2020). Hướng dẫn chẩn đoán và điều trị một số bệnh Ung bướu.     Nhà xuất bản Y học.
The Impact of Microscopic Extra Thyroid Extension on Outcome in Patients with Clinical T1 and T2 Well Differentiated Thyroid Cancer; 
NCCN Guidelines Version 3.2024 Thyroid Carcinoma
Juhlin, C. C., Mete, O., & Baloch, Z. W. (2023). The 2022 WHO classification of thyroid tumors: novel concepts in nomenclature and grading. Endocrine-related Cancer, 30(2). https://doi.org/10.1530/erc-22-0293
Pacini, F., Fuhrer, D., Elisei, R., Handkiewicz-Junak, D., Leboulleux, S., Luster, M., Schlumberger, M., & Smit, J. W. (2022). 2022 ETA Consensus Statement: What are the indications for post-surgical radioiodine therapy in differentiated thyroid cancer? European Thyroid Journal, 11(1). https://doi.org/10.1530/etj-21-0046

Tin liên quan