Vai trò của xạ trị trong điều trị các khối u ở trẻ em

Ngày đăng: 13/01/2010 Lượt xem 6373
Ung thư ở trẻ em bao gồm nhiều loại ung thư khác nhau, các khối u phát triển ở hầu hết các cơ quan trong cơ thể trẻ.

Các khối u não có nhiều loại khác nhau, chiếm tỷ lệ khoảng 50%, hay gặp nhất là các khối u thân não và u vùng tiểu não (chủ yếu là u nguyên bào tủy - medulloblastoma). 

Các loaị khối u khác bao gồm u Willm’s, Sarcome cơ vân (rhabdomyosarcoma), u nguyên bào thần kinh (neuroblastoma) và u nguyên bào võng mạc (retinoblastoma). Các loại u này ít gặp hơn so với u não và bệnh bạch cầu.

Vai trò của xạ trị

Xạ trị giữ vai trò quan trọng trong điều trị ung thư ở trẻ em. Trong những năm trước đây quan điểm điều trị xạ trị ở trẻ em là xạ trị trường chiếu rộng do vậy các biến chứng nhiều hơn. Các biến chứng cấp tính (biến chứng sớm) có thể gặp là nôn, buồn nôn, sạm da vùng xạ trị, loét da vùng xạ trị…. Nguy cơ của biến chứng tăng lên theo liều xạ trị và tỷ lệ nghịch theo tuổi lúc xạ trị (xạ trị liều càng cao, tuổi càng nhỏ thì tỷ lệ các biến chứng nhiều hơn); nhiều biến chứng thể hiện rõ nhất sau tuổi dậy thì có thể nhiều năm sau xạ trị. Sau một thời gian điều trị người ta thấy rằng có nhiều tác dụng phụ cho trẻ khi xạ trị liều cao, đặc biệt là làm giảm phát triển các tổ chức xương và phần mềm vùng được chiếu xạ khiến cho trẻ chậm phát triển và hoặc phát triển không cân đối.

         Trong những năm gần đây với sự ra đời của nhiều loại hoá chất mới đã cho thấy hiệu quả cải thiện chất lượng sống và thời gian sống thêm cho trẻ. Do vậy, quan điểm xạ trị cho trẻ em hiện nay là xạ trị trường chiếu nhỏ với liều xạ trị vừa phải nên các biến chứng của xạ trị cũng ít hơn.

Xạ trị được chỉ định trong điều trị các khối u não: u thần kinh đệm (gliome), u nguyên bào tuỷ (medulloblastome), u tế bào sao( astrocytoma), u màng não thất (ependymoma). Xạ trị được chỉ định sau mổ hoặc xạ trị kết hợp với hoá trị (có thể dùng đồng thời, trước hoặc sau hoá trị).

Xạ trị được chỉ định trong một số loại ung thư ở trẻ em như U Willm’s, sarcome phần mềm và sarcome cơ vân. Xạ trị được chỉ định nhằm mục đích điều trị bổ trợ sau phẫu thuật, hoặc điều trị khi bệnh tái phát, có di căn hạch.

Xạ trị cũng được sử dụng trong điều trị bệnh bạch cầu cấp để giảm nguy cơ tái phát, thâm nhiễm thần kinh trung ương.

Xạ trị còn được chỉ định trong xạ trị toàn thân (total body irradiation (TBI)) sau khi điều trị hoá chất liều cao nhằm mục đích ghép tủy tự thân hoặc ghép tủy đồng loại.

Kỹ thuật xạ trị

Có một số kỹ thuật xạ trị khác nhau hiện được áp dụng trong điều trị ung thư ở trẻ em. Kỹ thuật được sử dụng nhiều nhất hiện nay là xạ trị theo không gian 3 chiều (3D conformal radiotherapy (3DCRT)), kỹ thuật này có thể sử dụng nhiều trường chiếu khác nhau để tập trung liều xạ trị vào u tối đa mà có thể bảo vệ được cơ quan lành nhiều nhất.

 
Xạ trị theo phương pháp 3DCRT trong điều trị U Wilm’s

Trong một số loại ung thư trường chiếu xạ trị cần phải rộng, ví dụ như trong u nguyên bào tuỷ (medulloblastoma) trường chiếu xạ phải bao gồm cả não và toàn bộ tuỷ sống (xạ trị não tuỷ).

 
Xạ trị não-tuỷ cho trẻ bị u nguyên bào tuỷ (Medulloblastoma)

Một kỹ thuật xạ trị mới là xạ trị điều biến liều (intensity modulated radiationtherapy :IMRT) cũng được chỉ định cho các khối u ở trẻ em nhằm mục đích bảo vệ tối đa các cơ quan lành cho trẻ mà lại đạt được liều xạ trị tới u cao nhất. Đây là tính ưu việt của xạ trị điều biến liều.Tại Trung tâm Y học hạt nhân và Ung bướu Bệnh viện Bạch Mai với hệ thống máy xạ trị gia tốc tuyến tính, phương pháp xạ trị điều biến liều đã được sử dụng trong điều trị xạ trị các khối u ở trẻ em

 

Xạ trị điều biến liều (IMRT) trong điều trị sarcome cơ vân sau phúc mạc

Xạ phẫu

Xạ phẫu được chỉ định trong các khối u sọ não và một số dị dạng mạch máu não ở trẻ như: U tuyến yên (pituitary tumor); u tuyến tùng (pineal tumor); u sọ hầu (craniopharyn tumor); u màng não (meningiome); u tế bào sao (astrocytome); u thần kinh đệm độ I, II, III (gliomas); Các dị dạng động, tĩnh mạch trong sọ kích cỡ vừa và nhỏ (intracranial arterioveinous malformations); u nguyên bào mạch (hemangioblastoma);u máu thể hang (cavernome).

Xạ phẫu cũng được chỉ định trong các khối u sọ não tái phát

Liều xạ trị được tập trung một cách chính xác nhất vào vùng tổn thương, bảo vệ tối đa các tổ chức lành xung quanh.

Trong một số trường hợp trẻ nhỏ, hiếu động, khó nằm yên trong quá trình xạ trị thì trẻ cần được gây mê hàng ngày trong thời gian chiếu xạ. Bác sỹ xạ trị cần đưa ra quyết định trẻ cần gây mê trong thời gian chiếu xạ hay không trước khi điều trị để đạt hiệu quả xạ trị cao nhất (đặc biệt quan trọng đối với trẻ nhỏ dưới 5 tuổi).

Hiện nay tại Trung Tâm Y học hạt nhân và Ung bướu Bệnh viện Bạch Mai với hệ thống máy xạ phẫu bằng dao gamma quay (Rotating gamma knife) đã được áp dụng điều trị thành công một số trường hợp u não ở trẻ em.

Một số trường hợp u não ở trẻ em được điều trị tại Trung tâm Y học hạt nhân và Ung bướu (TT YHHN&UB) Bệnh viện Bạch Mai trong thời gian qua:

1. Bệnh nhi Khổng Q. H., nam 8 tuổi; bệnh nhi đau đầu và yếu nửa người bên trái
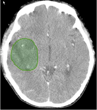
. Bệnh nhân được chẩn đoán: U não vùng thái dương bên phải; đã phẫu thuất lấy u tối đa; giải phẫu bệnh sau mổ: gliosarcome. Sau phẫu thuật cháu đỡ đau đầu nhưng vẫn yếu nửa người bên trái: cháu vẫn đi lại được. Tại TT YHHN&UB bệnh nhi đã được điều trị xạ trị gia tốc tổng liều 60Gy (1,5 Gy một ngày trong 40 ngày). Trong quá trình xạ trị thỉnh thoảng bệnh nhi có các triệu chứng tăng áp lực nội sọ như đau đầu, buồn nôn và nôn, và có sạm da vùng xạ trị mức độ nhẹ. Sau khi điều trị xạ trị gia tốc trên phim chụp cắt lớp vi tính sọ não hình ảnh khối u đã thu nhỏ kích thước hơn trước và có vùng hoại tử trong u.

 
Hình ảnh u trước điều trị: khối u vùng thái dương phải đường kính 5,5x4cm 
 
Sau khi kết thúc điều trị: khối u đã thu nhỏ, kích thước hơn 3x2,5cm, hoại tử trong u

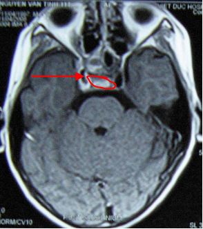
 2. Bệnh nhi Nguyễn Viết T., nam 11 tuổi.  Vào viện vì đau đầu, mờ mắt phải, sụp mi mắt phải. Cách ngày vào viện 4 tháng bệnh nhân đau đầu và mờ mắt ngày càng tăng dần, sau đó sụp mi mắt phải. Tại bệnh viện Bạch Mai bệnh nhi (BN) được chẩn đoán khối u màng não vùng nền sọ và hốc mắt phải đường kính 31x55x23mm, xâm lấn xoang bướm và bao quanh động mạch cảnh trong phải. BN được chỉ định điều trị xạ phẫu gamma knife liều 14Gy. Sau điều trị khoảng 1 tháng thị lực mắt phải của bệnh nhi được cải thiện nhiều (trước điều trị thị lực mắt phải 1/10; sau điều trị 7/10) hết đau đầu và sụp mi. Trên phim chụp cắt lớp vi tính sọ não: hình ảnh khối u đã thu nhỏ kích thước hơn trước
 
 
 Hình  ảnh u  trước  điều  trị:  khối  u  màng não vùng nền sọ và hốc mắt  phải  đường kính 31x55x23mm, xâm lấn xoang  bướm và bao quanh động mạch cảnh trong phải
 
Sau điều trị 1 tháng: khối u thu nhỏ kích  thước hơn trước, đường kính 20x15mm

PGS.TS Mai Trọng Khoa, Ths Phạm Cẩm Phương

Trung tâm Y học hạt nhân và Ung bướu Bệnh viện Bạch Mai

Tin liên quan