Y học hạt nhân chẩn đoán các bệnh phổi (Phần II)

Ngày đăng: 22/03/2012 Lượt xem 6787
Các bệnh phổi có thể ghi hình Y học hạt nhân (YHHN) chẩn đoán
- Tắc nghẽn động mạch phổi (Pulmonary Embolism)

- Tắc nghẽn thông khí (Air Embolism)

- Ung thư biểu bì viêm mạch bạch huyết (Lymphngitis carcinoma)

- Viêm khí quản mãn và khí thũng (Chromic Bronchitis and Emphysema)

- Nghiên cứu sau mổ (Postoperative studies)

- Phẫu thuật túi khí thũng (Surgery for Emphysematous Bullae)

- Hen khí quản (Bronchial Asthma)

- Xơ hóa nang (Cystic Fibrosis)

- Giãn khí quản (phình khí quản) (Bronchiectasis)

- Tắc khí quản (Bronchial Obstruction)

- Ung thư biểu bì khí quản (Carcinoma of the Bronchus)

- Viêm phổi (Pneumonia)

- Lao phổi (Pulmonary Tuberculosis)

- Hút thuốc lá (Smoke Inhalation)

- Nghiện thuốc (Drug Addiction)

- Gù vẹo cột sống (Kyphoscoliosis)

- Tắc nghẽn mạch phổi (Vascula obstruction)

- Áp - xe phổi (Abscesses)

- Hẹp mạch hoặc không phát triển mạch (Vascular stenosis or agenesis)

- Viêm phế nang thiếu oxy (Alveolar hypoxia (low oxygen tension))

I- Nghiên cứu thông khí phổi (Ventilation lung study):

Dùng dạng khí phóng xạ và dạng khí dung phóng xạ như Xe-133 và Kr-81m để nghiên cứu sự phân bố thông khí phổi. Aerosols là dạng thuốc phóng xạ thích hợp cho thăm dò thông khí phổi ở nhiều trường nhìn trong thì hít vào. Còn dạng khí thì rất thích hợp cho nghiên cứu động của thông khí.

1.Quy trình tiến hành thông khí phổi:

- Khí phóng xạ:

1.1. Phương pháp hít vào đơn thuần (Single breath method):

- Phương pháp hít vào đơn thuần (chỉ thì hít vào) được dùng phổ biến.

- Các khí phóng xạ được hít vào từ thể tích cặn (residual volume: RV) cho đến khi đạt mức tối đa là dung tích phổi toàn phần (total lung capacity: TLC) sau đó giữ lại 10 giây hoặc hít thở không khí bình thường.

1.2. Phương pháp hít thở bình thường:

Thay khí phóng xạ trong phương pháp hít vào bằng một bình ga trong phương pháp hít thở bình thường. Tại một thời điểm xác định, với khóa bình ga khí phóng xạ được mở để hít vào sau đó giữ lại theo thì hít vào rồi khóa vòi lại để thở khí phóng xạ ra ngoài.

1.3. Phương pháp cân bằng:

Khí phóng xạ được hít vào từ một bình chứa, bắt đầu ở mức RV hoặc dung tích cặn chức năng (FRC) cho đến mức TLC. Đến thì này lại nhịn thở để xác định sự phân bố thông khí phổi. Mục đích của thông khí phổi theo phương pháp này là làm cho khí phóng xạ hít vào đạt được cân bằng giữa hệ mạch và phổi của bệnh nhân. Và lại hít khí phóng xạ vào phải đạt mức tối đa của dung tích phổi để xác định TLC. Sau đó thở đẩy khí phóng xạ ra khỏi phổi để ghi hình pha thở ra.

Riêng khí Kr-81 không dùng trong phương pháp này vì Tp quá ngắn. Tất cả các khí phóng xạ thở ra cần phải được hấp thụ lại qua hệ thống lọc.

- Khí dung phóng xạ:

Các khí dung phóng xạ được hít thở bình thường cho đến khi hoạt tính phóng xạ đủ để ghi hình phổi, lắng đọng trong phổi. Sự lắng đọng này phải đạt tới 1 - 2 mCi. Ghi hình hít khí dung cho thấy hình ảnh phân bố khí dung phóng xạ trong phổi. Mục đích chính của phương pháp này là xem vùng phổi nào bị bệnh làm giảm lắng đọng khsi dung phóng xạ và xem các đường dẫn khí. Nếu thấy hoạt tính phóng xạ phân bố đều thì ở đó có sự thông khí tốt.

Khí dung được sinh ra từ máy khí dung phun hoặc máy khí dung siêu âm. Máy này có sẵn trong thị trường. Các hạt khí dung có kích thước trung bình 3µm đường kính. Nó thích hợp trong ghi hình. Xem trong bảng 1 giới thiệu một số kích thước hạt khí dung sinh ra từ các nguồn sinh khác nhau. Ấn Độ có loại máy khí dung sản xuất ở BARC (Bhabha Atomic Research Centre) bằng sự lắp ráp các kim nhỏ. Loại này thích hợp trong phục vụ routin.

Bảng 1: Đường kính trung bình và biến thiên của một số khí dung trong các điều chuẩn

 

2. Ý nghĩa của nghiên cứu thông khí phổi:

Rối loạn thông khí thường gặp trong bệnh phổi tắc mãn tính hoặc bệnh nhu mô phổi khác nhau nhưng không ảnh hưởng đến các bệnh về mạch như trong tắc động mạch phổi.

Trong vùng rối loạn tiên phát về thông khí thì đồ thị của tống khí phóng xạ bị kéo dài. Sự duy trì hoạt tính phóng xạ lâu hơn phổi bình thường.

Hình ảnh phân bố khí dung không phải là hình ảnh của thông khí phổi, đặc biệt là trong các bệnh tắc đường dẫn khí đã biến chứng. Từ "ghi hình hít vào" (inhanlation imaging) thì thích hợp hơn là "ghi hình thông khí". Với ghi hình khí dung thì chỉ quan sát được sự lắng đọng của các hạt khí dung hít vào mà không quan sát được quá trình tống ra (washout) như trong trường hợp dùng các khí phóng xạ. Các phần lắng đọng khí dung chỉ giúp ta nhận biết các vùng phổi có thông khí tốt với các vùng có thông khí kém. Chúng giúp cho chẩn đoán được bản chất của các bệnh phổi. Vì vậy, một vùng có lắng đọng kiểu khí thũng do tắc đường dẫn khí thì gợi ý đó là bệnh của khí quản.

3. Các chất phóng xạ dùng trong nghiên cứu thông khí phổi:

Trừ các đồng vị phóng xạ có đời sống cực ngắn sản xuất bằng cyclotron, còn Xe-133 và Kr-81m là những khí phóng xạ độc nhất được dùng trong nghiên cứu thông khí phổi. Khí phóng xạ được trộn với ôxy hoặc với không khí.

Các chất dùng điều chế khí dung là albumin - Tc-99m, DTPA - Tc-99m và acid phytic - Tc-99m. Khí dung được sản xuất bằng máy khí dung siêu âm, hoặc máy phun. Các điều kiện về tốc độ dòng khí, đường dẫn khí phải kín và kích thước hạt khí dung đồng đều để đảm bảo cho việc xác định chính xác sự phân bố khí dung trong phổi.

4. Kết hợp ghi hình tưới máu và thông khí phổi:

Các hình ảnh phân bố khí dung hay khí phóng xạ đã cho các nhà lâm sàng đánh giá đúng trạng thái và mức độ rối loạn chức năng trong phổi. Hình ảnh tưới máu phổi so sánh với thông khí còn cho thấy rõ chức năng hô hấp của các vùng tổn thương. Nếu trên hình ảnh tưới máu phổi bị tắc động mạch phổi mà thông khí vẫn bình thường, X quang cũng bình thường thì chẩn đoán chắc chắn là bệnh do hệ mạch có liên quan đến tắc nghẽn động mạch phổi. Nếu tưới máu phổi không có hoặc giảm đồng thời làm thông khí phổi cũng không bình thường thì chứng tỏ các vùng phổi này bị bệnh đường thông khí do đó làm cho phế nang thiếu ôxy, gây ra giảm cả khả năng tưới máu, gây ra hiện tượng co mạch do thiếu ôxy máu

Bình thường, trừ trường hợp cấp cứu, ghi hình tưới máu được làm trước và sau 24 giờ làm ghi hình thông khí phổi.

Hiện nay nước Úc đã sản xuất được một loại dụng cụ "Technegas" để sản xuất khí dung. Các hạt khí dung loại này có kích thước nhỏ hơn 200nm. Nguyên lý sinh ra khí dung của nó như sau:

Một lò luyện carbon đã được hấp thụ Tc-99mO4- và đã đốt nóng tới 2500 độ trong môi trường khí Ar và các hạt carbon đánh dấu Tc-99m được sinh ra. Khí dung hít vào sẽ thấm qua màng phế nang tốt hơn các loại khí dung sinh ra từ các máy khí dung phun hoặc siêu âm. Tỷ lệ lắng đọng vào phế nang khoảng 85%, trong khi đó các loại khác chỉ đạt 40 - 50%.

II. CHỨC NĂNG PHỔI KHÔNG HÔ HẤP

1. Chức năng thanh lọc chất nhày:

Thanh lọc chất nhày là chức năng hàng đầu để bảo vệ phổi chống lại nguyên vật liệu không thích hợp do không chủ động hít phải. Việc đo và đánh giá sự vận chuyển và thanh thải chất nhày như thế nào thì nó vẫn là một vấn đề còn tồn tại từ lâu nay. Một kỹ thuật mới đã phần nào giải thích được vấn đề trên là nghiệm pháp hít thở khí dung phóng xạ. Kỹ thuật YHHN đã biểu hiện được cơ chế thanh lọc chất nhày phổi. Bằng cách ghi hình sự phân bố các hạt khí dung do hít vào theo thời gian trong phế nang, phân tích và so sánh giữa các hình ảnh ghi được, ta sẽ đánh giá được tốc độ thanh thải của chất nhày trong phổi.

Dịch nhày khí quản được vận chuyển lên thanh quản bởi sự tác động của các mảng nhày và sự di động của các lông mao để tống ra ngoài theo thứ tự các chất:

- Do chính các dịch nhày của phổi

- Các xác tế bào của phổi

- Các hạt bụi do hít ở ngoài vào

- Các chất hóa học hòa tan trong chất nhày do đó mà phổi và các đường dẫn khí luôn được giữ sạch.

Trong các trường hợp bệnh lý, sự chuyển động ngược này đã tìm thấy sự rối loạn không bình thường bằng các phương pháp khác nhau.

Thanh lọc chất nhày chỉ thực hiện được trên các đường khí quản có lông mao. Còn sự phân bố của các hạt khí dung và lắng đọng cả ở đường có lông và không có lông mao và cả các phế nang. Hoạt tính phóng xạ lắng đọng trong các đường dẫn khí không có lông mao sẽ bị loại khỏi việc đánh giá chức năng thanh lọc chất nhày. Hoạt tính phóng xạ duy trì còn lại ở phổi sau 24 giờ hít vào được xác định là hoạt tính phóng xạ lắng đọng trong các đường dẫn khí không có lông mao, bao gồm các nang, hốc, phế nang.

Các hạt khí dung lắng đọng trong các đường dẫn khí không có lông mao bao gồm cả phế nang đã được làm sáng tỏ bởi các phương pháp khác hơn là thanh lọc chất nhày. Macrophages đóng một vai trò quan trọng trong làm sạch khí dung lắng đọng trong các đường khí quản không có lông mao trong phổi. Để phân biệt tỷ lệ vùng không có lông mao với vùng có lông mao, có thể dùng phần trăm hoạt tính phóng xạ trong phổi tại 24 giờ sau khi hít khí dung (trừ phông cơ thể) so với hoạt tính phóng xạ toàn phần được lập thành tỷ số lắng đọng phế nang (Alveolar deposition ratio: ALDR). Một số chỉ số khác có thể sử dụng đánh giá chức năng phổi như:

- Chỉ số cặn phổi (lung retention ratio: LRR)

- Chỉ số lắng đọng đường dẫn khí (air way deposition ratio: ADR)

- Chỉ số cặn đường dẫn khí (air way retention ratio: ARR)

- Hiệu ứng thanh lọc đường dẫn khí (air way clearance efficiency: ACE) và ALDR

- Thể tích thở ra tối đa (Forced expiratory volume: FEV1,0% (trong 1 giây, chia cho dung tích sống tối đa%)

Dùnh khí phóng xạ có đường kính 1,93 µm ± 1,52, ALDR được tính theo:

ALDR (%) = - 48,08 + 0,47 x FEV1%

+ 0,59 x LRR60

Cơ chế thanh lọc chất nhày có thể được nhìn thấy qua hình ảnh ghi được liên tiếp nhau của phổi sau khi hít khí dung phóng xạ vào. Quy trình này được gọi là "Radioaerosol inhilation lung cine - scintygraphy".

Trong đối tượng bình thường, dòng chảy chất nhày là ổn định đều đều và về hướng lên trên thanh quản. Nhưng trong trường hợp bệnh lý thường có biểu hiện 4 kiểu vận chuyển:

1.. Ứ đọng lại hoặc ngừng di chuyển và bắt đầu tạo thành hình cầu trong đường dẫn khí.

2. Phun ngược trở lại hoặc vận chuyển ngược dòng của cục đờm nhày lại trở về vị trí cũ.

3. Cục nhày có thể bị lạc đường đến cùng một phía ở chỗ khác của phổi hoặc sang hẳn phía đối diện.

4. Vận chuyển kiểu díc - dắc hoặc xoắn ốc. Bệnh phổi này cũng giống như bệnh tắc đường dẫn khí, ung thư khí quản hoặc giãn phế quản.

Trong các bệnh mạch phổi, chức năng thanh lọc chất nhày lại rất tốt không giống các cách vận chuyển bình thường trừ khi cũng có kèm bệnh tắc phổi.

2. Tính thấm của biểu mô phổi (Pulmonary epithelial permeability):

Khí dung DTPA - Tc-99m là một chất phân tử chelat nhỏ, rời khỏi phổi rất nhanh sau hít vào. Cơ chế hiện nay chưa rõ sự biến mất này, nhưng hiện nay nó được dùng để đo tốc độ thanh lọc của nó ra khỏi phổi có thể đuợc coi như một test đánh giá tính thấm của biểu mô phổi. Các bệnh phổi kẽ, do hút thuốc làm nghiệm pháp này dễ hơn hít khí dung. Vì khí dung bằng DTPA dễ qua màng tế bào biểu mô và Tb của thanh lọc ngắn hơn (xem hình 25.11). Kỹ thuật này cung cấp bằng chứng có ấn tượng mạnh mẽ về sự tổn thương do hút thuốc trong vòng vài tuần, thậm chí ngay cả khi bệnh nhân chưa có một triệu chứng gì. Tb cũng ngắn hơn khi bệnh nhân bị viêm phổi kẽ do điều trị phóng xạ hoặc thuốc và kéo dài khi điều kiện này đã cải thiện.

HMPAO - Tc-99m (Hexamethyl propylene amineoxime) là một phức hợp lipophilic Tc-99m (MW380) thường dùng để đo dòng chảy của máu não, cũng có thể dùng khí dung và sự biến mất (thoát biến) hình như có liên quan đến mức độ hư hại của tế bào biểu mô.

Tính thấm của hệ mao mạch phổi hay tính thấm của tế bào biểu mô phổi được nghiên cứu bằng cách đo hoạt tính phóng xạ trong phổi sau khi tiêm dung dịch albumin đánh dấu phóng xạ.

3. Các dược chất phóng xạ khác dùng trong nghiên cứu phổi:

IMP - I-123 được dùng nghiên cứu tuần hoàn máu não. Khi nó qua phổi sau khi tiêm ven, một tỷ lệ đáng kể nằm lại ở phổi. Nó có thể chưa kịp liên kết với các "receptor amine" trong phổi, nhưng có thể nó có ái lực với các tế bào nội mô, đặc biệt là khi chúng đã bị phá hủy. Sự thanh thải hoạt tính phóng xạ bị chậm lại ở một số vùng phổi là do sự tưới máu ở đây đã bị giảm. Cơ chế của cặn phổi là chưa rõ ràng, nhưng nó gợi ý rằng một số loại chức năng của phổi không hô hấp là do ảnh hưởng của các hệ mao mạch phổi và chính đó là nguyên nhân. Điều này cần phải nghiên cứu tiếp.

Citrate - Ga-67, chất này đầu tiên là dùng ghi hình khối u. Nhưng nó còn được dùng vào một số mục đích khác nữa. Nó tập trung cao trong phổi nhiễm trùng, trong viêm phổi kẽ, trong sarcoidosis, pneumo coniosis và trong xơ phổi kẽ. Trong các bệnh phổi kẽ thì tập trung hoạt tính phóng xạ cao khi bệnh tăng, giảm khi bệnh giảm hoặc đã ổn định. Ngược lại, nó cũng không tập trung cao đặc hiệu do đó chẩn đoán khó. Mặt khác, giá hơi cao nên các nước nghèo còn ít dùng.

Các hướng trong tương lai:

Với kỹ thuật YHHN không chỉ dừng lại ở chẩn đoán chức năng hô hấp mà còn các chức năng không hô hấp của toàn bộ phổi và từng vùng phổi. Tiến tới cần nghiên cứu cả về chuyển hóa và hóa sinh của phổi về chức năng không hô hấp.

Nghiên cứu chức năng phổi bằng YHHN hầu hết đã bị lãng quên ở các nước đang phát triển, vì ghi hình phổi toàn phần đã không thể thực hiện được.

Hiện nay các dụng cụ tạo khí dung đã có đầy đủ, bán sẵn để nghiên cứu phổi.

Lao phổi hiện nay vẫn còn phổ biến ở các nước đang phát triển. Sự phá hủy do hút thuốc đang trở thành một nguy cơ lớn và sự ô nhiễm môi trường cũng đang tăng mạnh do sự tăng trưởng công nghiệp mà không có đủ kỹ thuật và kinh phí để hạn chế ô nhiễm. Do đó là cơ sở để tăng các bệnh nhiễm trùng, ung thư và các bệnh phổi do môi trường gây ra. Bởi vậy việc ghi hình phổi là rất cần và YHHN cần được phát triển mạnh để phục vụ. Rồi đây sẽ tiến tới ghi hình chẩn đoán đặc hiệu bằng các kháng thể đơn dòng đánh dấu phóng xạ.

 
Sơ đồ các loại khác nhau của chức năng phổi không hô hấp và các thuốc phóng xạ nghiên cứu tương ứng

 
4 kiểu vận chuyển thanh lọc chất nhày

III. Ghi hình phát hiện ung bướu ở phổi.

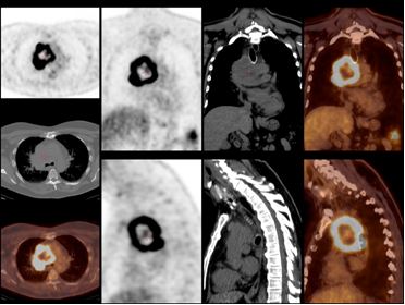
Ghi hình phát hiện các khối u trong phổi, YHHN đã và đang phát triển mạnh. Hiện nay SPECT, SPECT/CT, PET và PET/CT đã cho những hình ảnh định lượng về giải phẫu và chức năng cụ thể, nâng cao hiệu quả chẩn đoán và điều trị. Dưới đây ví dụ vài hình ảnh cụ thể:

 
PET/CT ghi hình khối u hoaị tử .
SPECT/CT ghi hình tràn dịch màng phổi (Trên cùng : Hình của SPECT, Giữa : Hình của CT, Dưới :Phối hình giữa SPECT với CT. )
 
PET/CT ghi hình u phổi

Đặc biệt hiện nay, PET/CT trên thế giới và ở Việt Nam đang phát triển và ứng dụng nhiều và có hiệu quả cao trong chẩn đoán, theo dõi đáp ứng điều trị và tiên lượng trong các bệnh về phổi .

PGS.TS. Mai Trọng Khoa, PGS.TS Trần Xuân Trường - Trung tâm Y học hạt nhân & Ung bướu, Bệnh viện Bạch Mai

Tin liên quan