Ca lâm sàng: Ung thư tuyến giáp thể nang di căn màng não tại Trung tâm Y học hạt nhân và Ung bướu Bệnh viện Bạch Mai

Ngày đăng: 08/05/2024 Lượt xem 984
Ca lâm sàng: Ung thư tuyến giáp thể nang di căn màng não  tại Trung tâm Y học hạt nhân và Ung bướu Bệnh viện Bạch Mai

GS.TS. Mai Trọng Khoa, PGS.TS. Phạm Cẩm Phương, TS. Phạm Văn Thái, 
BSNT. Hoàng Đăng Huy
Trung tâm Y học hạt nhân và Ung bướu- Bệnh viện Bạch Mai

Ung thư tuyến giáp là loại ung thư phổ biến trong các bệnh ung thư của hệ nội tiết. Theo GLOBOCAN 2022, Việt Nam có hơn 6000 ca mới mắc ung thư tuyến giáp, đứng vị trí thứ 6 trong các loại ung thư. 
Ung thư tuyến giáp có thể gặp ở mọi lứa tuổi, tỷ lệ mắc cao ở nhóm tuổi từ 40-65. Nữ giới mắc ung thư tuyến giáp cao hơn nam giới 2 đến 3 lần. 
Phân loại mô bệnh học ung thư tuyến giáp bao gồm: ung thư tuyến giáp thể biệt hóa, ung thư tuyến giáp thể không biệt hóa, ung thư tuyến giáp thể tủy và ung thư tuyến giáp loại khác. Ung thư tuyến giáp thể biệt hóa gồm: ung thư biểu mô tuyến giáp thể nhú, ung thư biểu mô tuyến giáp thể nang, ung thư tuyến giáp thể kết hợp nhú- nang. Trong đó ung thư tuyến giáp thể nhú thường gặp nhất, chiếm 60-80%, tiến triển chậm, tiên lượng tốt. Còn ung thư tuyến giáp thể nang ít gặp hơn, chiếm khoảng 10-20%, tiến triển chậm, tiên lượng kém hơn so với ung thư tuyến giáp thể nhú, di căn theo đường bạch huyết, giai đoạn cuối di căn theo đường máu đến xương, phổi, hệ thần kinh trung ương tuy nhiên khá hiếm gặp.
Sau đây chúng tôi xin trình bày case lâm sàng hiếm gặp Ung thư tuyến giáp thể nang di căn màng não.
Họ và tên: Vũ T. S. Giới: Nữ Tuổi: 79
Lí do vào viện: khối phồng vùng trán đỉnh bên phải.
Bệnh sử: 
Cách 01 tuần vào viện, bệnh nhân tự phát hiện khối vùng trán đỉnh bên phải tăng dần kích thước kèm theo tức nhẹ, đau đầu âm ỉ, không yếu liệt, ăn uống bình thường. Đi khám phát hiện u não vùng trán đỉnh phải, đã được phẫu thuật mở sọ lấy u hồi tháng 03/2024 tại Khoa Phẫu thuật thần kinh- Bệnh viện Bạch Mai, kết quả giải phẫu bệnh sau mổ là ung thư biểu mô tuyến giáp di căn. Sau mổ tình trạng bệnh nhân ổn định, bệnh nhân được chuyển Trung tâm Y học hạt nhân và Ung bướu điều trị tiếp.
Tiền sử: 
Bản thân: Tăng huyết áp 05 năm đang sử dụng thuốc thường xuyên
Gia đình: Không phát hiện các bệnh lí liên quan
Tình trạng lúc vào khoa:
Tỉnh, tiếp xúc tốt
Thể trạng trung bình
Da niêm mạc bình thường
Không sốt, nhiệt độ 36.5 độ C
Mạch: 80 lần/phút, Huyết áp: 130/80 mmHg ( đã sử dụng thuốc huyết áp)
Đau đầu âm ỉ
Tuyến giáp không to, không u cục
Không sờ thấy hạch ngoại vi
Tim đều, tiếng tim T1 T2 rõ
Rì rào phế nang 2 phổi rõ, không ran
Vết mổ sọ não vùng trán đỉnh phải chưa cắt chỉ, khô, không dịch thấm băng, còn đau nhẹ
Không yếu liệt, hội chứng màng não (-)
Cơ quan khác chưa phát hiện bất thường
Cận lâm sàng:
Công thức máu: (11/04/2024)
 Hồng cầu 3.35 T/l, Huyết sắc tố 101 g/l ( có thiếu máu nhẹ)
 Bạch cầu 5.5 G/l, bạch cầu đa nhân trung tính 2.9 G/l ( trong giới hạn bình thường)
 Tiểu cầu 479 G/l ( tăng nhẹ)
Sinh hóa máu: (11/04/2024)
 Creatinin 48 µmol/l (chức năng thận bình thường)
 GOT/GPT 57/52 U/L (men gan tăng nhẹ)
 Chức năng tuyến giáp: FT4 13.4 pmol/L, TSH 2.4 µU/mL (trong giới hạn bình thường)
 Chất chỉ điểm u trong tuyến giáp: Tg (thyroglobulin): 500 ng/mL (tăng rất cao) 
                                                       Anti-Tg: 19.31 U/ml (trong giới hạn bình thường)
Chẩn đoán hình ảnh

Trước phẫu thuật:

 
Hình 1: Hình ảnh MRI sọ não có tiêm thuốc đối quang từ: Ngoài trục vùng trán đỉnh phải và trong xương trán, đỉnh phải có khối tổn thương kích thước 68x36 mm, bờ đều, ranh giới rõ, sau tiêm ngấm thuốc mạnh đồng nhất, đẩy lồi da và phần mềm dưới da, đè đẩy nhu mô não nhưng không gây phù não.
Sau phẫu thuật mở sọ lấy u:
    

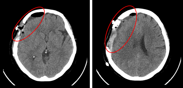
Hình 2: Hình ảnh chụp cắt lớp vi tính sọ não không tiêm thuốc cản quang: Khối u đã được phẫu thuật, hình ảnh tụ dịch-máu-khí dưới màng cứng vùng trán phải.
Mô tả trong quá trình phẫu thuật: Khối u màng não trán đỉnh phải 6x3 cm, mật độ mềm, ranh giới rõ, khối u xâm lấn màng cứng, xoang tĩnh mạch, ăn khuyết xương sọ một diện 3x5 cm.
Giải phẫu bệnh (bệnh phẩm u não): Ung thư biểu mô di căn nghĩ nhiều đến nguồn gốc tuyến giáp.
Nhuộm hóa mô miễn dịch: Ung thư biểu mô di căn phù hợp nguồn gốc tuyến giáp.
Siêu âm tuyến giáp: thùy phải có nhiều nốt hỗn hợp âm kích thước lớn nhất 1.8x1.4 cm (TIRADS 3), thùy trái có nhiều nốt hỗn hợp âm kích thước lớn nhất 3.9x3.2 cm ( TIRADS 3).
Chọc hút tế bào tuyến giáp làm xét nghiệm tế bào học 02 lần đều ra kết quả lành tính ( bướu giáp nhân lành tính).
Sinh thiết tuyến giáp làm giải phẫu bệnh: Carcinoma tuyến giáp thể nang.
Chẩn đoán xác định: Ung thư tuyến giáp thể nang di căn màng não
Hướng xử trí:
Phẫu thuật cắt toàn bộ tuyến giáp, vét hạch. Sau đó xét điều trị 131-I ( thuốc Iod phóng xạ).


Tin liên quan