Điều trị u màng não xoang hang bằng dao gamma quay

Ngày đăng: 01/11/2011 Lượt xem 6919

Ngày nay, với sự phát triển của các phương pháp xạ trị, và xạ phẫu trong đó có dao gamma quay (Rotating gamma knife) thì việc điều trị u màng não có nhiều tiến bộ vượt bậc.

Bệnh nhân Nguyễn. Ng. H, nữ 66 tuổi. 

Bệnh nhân có các biểu hiện đau nửa đầu trái, tê mặt trái, mờ mắt trái. Tháng 12 năm 2010 bệnh nhân vào khám và điều trị tại Trung tâm Y học hạt nhân và Ung bướu Bệnh viện Bạch Mai.

Tại đây bệnh nhân đã được khám lâm sàng và làm các xét nghiện chẩn đoán. Kết quả chụp cộng hưởng từ sọ não, cho thấy hình ảnh của u màng não vùng xương bướm, chèn ép vào động mạch cảnh trong trái và các dây thần kinh vận động nhãn cầu bên trái và thần kinh thị giác bên trái.

Qua hội chẩn tại Hội đồng hội chẩn, bệnh nhân được chỉ định điều trị khối u màng não bằng phương pháp xạ phẫu bằng dao Gamma quay. Liều xạ phẫu là 16 Gy.

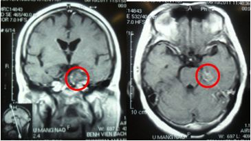
Hình 1: Hình ảnh u màng não trên phim chụp MRI, trước điều trị: U có kích thước 3x 5 cm, chèn ép động mạch cảnh trong. Bệnh nhân bị đau nửa mặt trái, giảm thị lực mắt trái.

Hình 2: Sau điều trị xạ phẫu 6 tháng: u màng não còn rất nhỏ, giảm kích thước trên 80 %, bệnh nhân thuyên giảm triệu chứng tê mặt, thị lực mắt trái tốt hơn

Hình 3: Sau điều trị 10 tháng: u màng não còn rất nhỏ, bệnh nhân thỉnh thoảng đau nửa mặt trái.

 U màng não là sự phát triển bất thường của tế bào màng nhện trong hộp sọ, với đặc điểm u phát triển dọc theo "đuôi" màng não. Vì vậy u thường phát triển và xâm lấn rộng vào những vùng khác trong não bộ. U phát triển âm thầm nên triệu chứng lâm sàng rất kín đáo. Vị trí của u màng não rất đa dạng: sát liềm đại não, lồi não, vùng xương bướm (xương đá hay vùng xoang hang), vùng hố sau (thân não, tiểu não), vùng xương sàng... Phương pháp điều trị  kinh điển của u màng não là phẫu thuật lấy u. Tuy nhiên, phẫu thuật mở hộp sọ lấy u rất khó khăn với trường hợp u ở vị trí trong sâu: vùng xoang hang, hố sau hoặc vùng có nguy cơ chảy máu nhiều như u sát liềm đại não. Hơn nữa u có thể tái phát sau phẫu thuật khi không thể phẫu thuật triệt để.

Ngày nay, với sự phát triển của các phương pháp xạ trị, và xạ phẫu trong đó có dao gamma quay (Rotating gamma knife) thì việc điều trị u màng não có nhiều tiến bộ vượt bậc.

Dao gamma quay được áp dụng để điều trị cho nhiều loại u não và bệnh lý sọ não. Đặc biệt là các trường hợp u màng não tái phát sau phẫu thuật, u còn sót lại hoặc không thể lấy hết sau phẫu thuật, u ở những vị trí đặc biệt trong sọ não không thể phẫu thuật được, những trường hợp u màng não kích thước không quá lớn (< 5 cm), hoặc những bệnh nhân từ chối phẫu thuật.

Từ năm 2007, hệ thống xạ phẫu bằng dao Gamma quay (hệ thống dao Gamma thế hệ mới ) của Hoa Kỳ lần đầu tiên được lắp đặt tại Trung tâm Y học hạt nhân và Ung bướu Bệnh viện Bạch Mai. Đến nay đã điều trị cho hơn 300 bệnh nhân u màng não và đạt kết quả kiểm soát khối u cao. Nhiều bệnh nhân khối u biến mất hoàn toàn và trở về với cuộc sống lao động bình thường.

Trên đây là một trong những ca lâm sàng có u màng não khó và đã được điều trị thành công bằng phương pháp xạ phẫu dao Gamma quay.

Dưới đây là một số hình các vị trí của u màng não

PGS. TS. Mai Trọng Khoa, ThS. Đoàn Xuân Trường và CS

Trung tâm Y học hạt nhân và Ung bướu-Bệnh viện Bạch Ma

Tin liên quan