Điều trị ung thư phổi có đột biến gen egfr dương tính

Ngày đăng: 14/07/2017 Lượt xem 12383
GS.TS. Mai Trọng Khoa, ThS. Vũ Hữu Khiêm
Trung tâm Y học hạt nhân và Ung bướu – Bệnh viện Bạch Mai
CA LÂM SÀNG

* Bệnh nhân N. L. D…, nữ,77 tuổi, nhập viện vào Trung tâm Y học hạt nhân và Ung bướu-Bệnh viện Bạch Mai tháng1 năm 2013 vì lý do ho máu.

* Bệnh sử: Cách vào viện khoảng 5 tuần, bệnh nhân xuất hiện ho nhiều, ho dây máu kèm tức ngực phải nhẹ, không sốt, đã khám tại tuyến cơ sở, được điều trị theo phác đồ điều trị lao 1 tháng không đỡ. Bệnh nhân đến khám tại Trung tâm Y học hạt nhân và Ung bướu-Bệnh viện Bạch Mai, chụp cắt lớp vi tính ngực phát hiện thấy khối u thùy trên phổi phải kích thước 2x4cm, bờ tua gai. Bệnh nhân được nhập viện để chẩn đoán và điều trị tiếp.

* Tiền sử:

Bản thân: Khỏe mạnh

Gia đình: Không có ai mắc bệnh lao

- Khám lúc vào viện:

+ Bệnh nhân tỉnh, tiếp xúc tốt

+ Thể trạng trung bình: chiều cao 155cm. Cân nặng 50kg.

+ Mạch: 78 chu kỳ/ phút, Huyết áp: 100/60mmHg.

+ Da niêm mạc hồng.

+ Hạch ngoại vi: Không sờ thấy.

+ Nhịp tim đều, tần số 78 lần/phút, không thấy tiếng bệnh lý.

+ Phổi: Rì rào phế nang hai phổi rõ, không rales.

+ Bụng mềm, gan lách không sờ thấy

+ Các cơ quan khác chưa phát hiện gì đặc biệt.

* Xét nghiệm cơ bản lúc vào viện:

- Xét nghiệm công thức máu (trong giới hạn bình thường)

+ Hồng cầu:4,5T/l; Hb: 135g/l

+ Bạch cầu: 7,81G/l; BC trung tính:69%

+ Tiểu cầu: 370G/l

- Xét nghiệm sinh hóa máu:

+ Chức năng gan, thận trong giới hạn bình thường.

+ Chất chỉ điểm ung thư  tăng cao với CEA: 75,6ng/ml.

+ Đông máu cơ bản: bình thường

- Xét nghiệm vi sinh: HBsAg (-), HIV (-); anti- HCV (-)

- Xét nghiệm nước tiểu: bình thường

Sau khi giải thích về tình trạng bệnh cho bệnh nhân và gia đình bệnh nhân, chúng tôi tiến hành sinh thiết u phổi qua nội soi phế quản để làm xét nghiệm giải phẫu bệnh chẩn đoán xác định. Kết quả giải phẫu bệnh là Ung thư biểu mô tuyến của phổi. Xét nghiệm đột biến gen EGFR cho kết quả dương tính, đột biến tại vị trí exon 19.

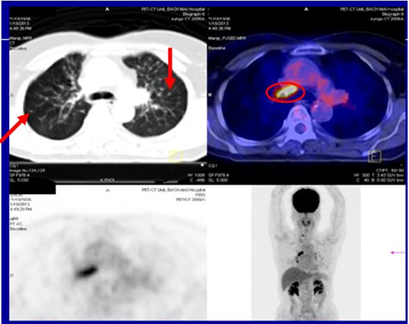
* Bệnh nhân được tiến hành chụp PET/ CT đánh giá giai đoạn bệnh:
Kết quả cho thấy: Thùy trên phổi phải có khối kích thước 2x4cm, tăng hấp thu FDG, max SUV: 12,6. Nhiều nốt tổn thương 2 phổi, tăng nhẹ hấp thu FDG, max SUV: 2,5. Không phát hiện hạch trung thất và các tổn thương tại cơ quan khác.

Hình 1: Hình ảnh khối u đỉnh phổi phải và các tổn thương thứ phát tại hai phổi trên phim chụp PET/ CT

* Chụp MRI sọ não: Không phát hiện tổn thương thứ phát.

* Tóm tắt: Bệnh nhân nữ, 77 tuổi. Chẩn đoán: Ung thư phổi phải di căn phổi. T2 N0 M1, giai đoạn IV. Ung thư biểu mô tuyến. Đột biến gen FGFR dương tính. Hướng xử trí: Điều trị toàn thân thuốc đích Erlotinib(Tarceva) 150mg x 1 viên/ngày, uống hàng ngày.

* KẾT QUẢ SAU ĐIỀU TRỊ  

- LÂM SÀNG:

+ Sau 10 ngày điều trị, bệnh nhân hết ho máu, không còn tức ngực. Tuy nhiên xuất hiện nổi mụn vùng mặt và cổ mức độ nhẹ, bệnh nhân chấp nhận được.

+ Sau 2 tháng uống Erlotinib, các triệu chứng lâm sàng cải thiện rõ rệt, xét nghiệm lại thấy chất chỉ điểm u về giới hạn bình thường: CEA: 4,5ng/ml.

+ Bệnh nhân được tiếp tục duy trì điều trị Erlotinib(Tarceva) hàng ngày, đến thời điểm sau 30 tháng điều trị, bệnh nhân ổn định, chụp PET/CT đánh giá lại: kết quả cho thấy khối U đỉnh phổi phải tan hết, các nốt tổn thương thứ phát phổi trái biến mất.

Hình 2: Hình ảnh u phổi phải tan hết, các tổn thương phổi di căn biến mất.

* SO SÁNH TRƯỚC VÀ SAU ĐIỀU TRỊ 30 THÁNG

- Lâm sàng: Bệnh nhân không còn ho ra máu, không đau tức ngực, sinh hoạt bình thường.  Khối u phổi phải và các tổn thương thứ phát tại phổi trái biến mất gần hoàn toàn sau điều trị.

Trước điều trị

- Ho, đau ngực

- U phổi phải nhỏ thùy dưới di căn hạch trung thất lớn (KT 2x4cm, max SUV 12,6), di căn 2 phổi; CEA 75,6

Sau điều trị:

- Hết ho, hết đau ngực

- Không còn rõ u

- CEA: bình thường (4,5ng/ml)
 
Hình 3. Hình ảnh PET/CT toàn thân trước và sau điều trị

KẾT LUẬN

Sau  54 tháng điều trị Tarceva cho thấy:

- Bệnh nhân ổn định, không ho, không khó thở

- Ăn uống, sinh hoạt được

- Một số tác dụng phụ gặp, không thường xuyên, kiểm soát được bằng nội khoa

+ Mẩn ngứa ngoài da, chín mé

+ Viêm dạ dày

+ Đôi khi mất ngủ.

Đây là một ca lâm sàng về ung thư phổi giai đoạn tiến xa được điều trị đích thành công khi có đột biến gen EGFR, đạt lui bệnh hoàn toàn và hiện tại đã gần 5 năm bệnh nhân vẫn khỏe mạnh và không có dấu hiệu tái phát.

Tin liên quan