Kết quả điều trị u tế bào mầm hệ thần kinh trung ương bằng phương pháp xạ trị gia tốc

Ngày đăng: 12/01/2010 Lượt xem 6041
U tế bào mầm của hệ thần kinh trung ương là loại u nguyên phát trong sọ hiếm gặp ở người trẻ tuổi. Vị trí u thường gặp chủ yếu ở tuyến tùng và vùng trên hố yên.

Theo phân loại u não mới nhất của tổ chức y tế thế giới ( Bảng phân loại 2007). U tế bào mầm hệ thần kinh trung ương được phân loại như sau:

U tế bào mầm hệ thần kinh trung ương:
+ U nguyên bào thần kinh
+ Không phải tế bào nguyên bào thần kinh
- U tế bào quái thành thục

- U tế bào quái chưa thành thục

- U tế bào quái chuyển dạng ác tính

- U nội bì tế bào xoang

- Ung thư biểu mô tế bào phôi

- Ung thư tế bào nhau

- Tế bào mầm hỗn hợp

Triệu chứng và chẩn đoán

Triệu chứng lâm sàng
Triệu chứng lâm sàng phong phú phụ thuộc vào vị trí và kích thước của khối u. Những dấu hiệu lâm sàng thường gặp là: rối loạn nội tiết, thay đổi thị giác: nhìn mờ, mất thị lực, mất chức năng liếc dọc của nhãn cầu. Bệnh nặng hơn có biểu hiện của hội chứng tăng áp lực nội sọ do ứ dịch não tuỷ: đau đầu, buồn nôn, nôn, động kinh, mất hoặc giảm thị lực, giảm tri giác.

Triệu chứng cận lâm sàng

Chẩn đoán hình ảnh:

Hình ảnh học cho phép nhận định khối u vùng tuyến tùng và vùng trên hố yên  nhưng khó khăn trong chẩn đoán phân biệt với các loại u khác ở những vị trí đó.

Hình ảnh CT Scanner: biểu hiện khối u tăng tỉ trọng nhẹ hoặc cao, tổ chức u tăng tỉ trọng đồng nhất sau tiêm thuốc cản quang.

Hình ảnh cộng hưởng từ sọ não (MRI)
Hiện nay, MRI là phương pháp chẩn đoán hình ảnh cho phép chẩn đoán rõ nhất về hình ảnh học với u tế bào mầm hệ thần kinh trung ương.

Trên xung T1- weighted: u có hình ảnh giảm hoặc đồng tín hiệu so với nhu mô não, trên xung T2- weighted u có hình ảnh tăng hoặc đồng tín hiệu với nhu mô não. Sau tiêm thuốc đối quang từ, khối u tăng tín hiệu tương đối đồng nhất.

Ngoài ra trên hình ảnh CT và MRI sọ não còn cho phép đánh giá kích thước, vị trí, đặc biệt là hình ảnh biến chứng của u gây ra như là ứ dịch não tuỷ.

Giải phẫu bệnh:
Chẩn đoán xác định thể loại tế bào u phải dựa vào giải phẫu bệnh học. Kết quả giải phẫu bệnh học tế bào u được chẩn đoán bằng các cách thức: phẫu thuật lấy u hoặc kỹ thuật sinh thiết kim dưới hướng dẫn của chẩn đoán hình ảnh. Tuy nhiên các kỹ thuật sinh thiết mô não có nhiều rủi ro: chảy máu, di chứng thần kinh nên ít được áp dụng tại các cơ sở lâm sàng.

Xét nghiệm sinh hoá:

Ngày nay, nhờ sự tiến bộ của xét nghiệm sinh hoá, đã có một số chất chỉ điểm khối u cho phép chẩn đoán, gợi ý phân loại tế bào u. Các chất chỉ điểm khối u có  trong huyết  thanh hoặc  dịch  não  tuỷ hiện nay đang được các Labo sinh hoá hiện đại định lượng là: alpha-fetoprotein (AFP), human chorionic gonadotropin (HCG), Placental alkaline phosphatase (PLAP), Human Placental Cytokeratins (CAM 5.2, AE 1/3), c-kit (CD 117), OCT4 CD30.

Điều trị u tế bào vùng tuyến tùng

Việc phát hiện sớm và điều trị kịp thời không những cho kết quả tốt hơn mà còn tránh được biến chứng nguy hiểm như ứ dịch não tuỷ.

Điều trị u tế bào mầm vùng tuyến tùng có nhiều phương pháp: phẫu thuật, xạ trị, hoá chất, nội khoa.

Điều trị phẫu thuật:

+ Phẫu thuật đặt dẫn lưu não thất- ổ bụng, não thất- bể đáy, phương pháp này được tiến hành khi có biến chứng ứ dịch não tuỷ trong nội sọ gây hội chứng tăng áp lực nội sọ.

+ Phẫu thuật cắt bỏ hoàn toàn khối u. Phương pháp này gặp nhiều khó khăn và hiện nay ít được áp dụng vì vị trí khối u ở trong sâu, biến chứng tàn tật và vẫn còn tái phát sau phẫu thuật.

+ Vi phẫu thuật nhằm mục đích sinh thiết: phương pháp này cũng bị hạn chế bởi những biến chứng của nó mặt khác có thể không cho kết quả chính xác do không sinh thiết được chính xác tổ chức tế bào u.

Phương pháp xạ trị.

Hiệu quả điều trị của liệu pháp xạ trị phụ thuộc vào loại tế bào u.

U nguyên bào thần kinh rất nhạy cảm với liệu pháp xạ trị. Hầu hết các trường hợp đều đáp ứng tốt với xạ trị đơn thuần. Tỷ lệ sống thêm trên 5 năm với u tuyến tùng sau xạ trị đơn thuần là 90%. Ngược lại, u tế bào mầm không phải nguyên bào thần kinh ít nhạy cảm với phương pháp xạ trị và có tỷ lệ tái phát cao.

Hiện nay, trên thế giới áp dụng hai phương xạ trị đối với u tế bào mầm hệ thần kinh trung ương:

+ Phương pháp xạ trị chiếu ngoài bằng máy xạ trị gia tốc tuyến tính: thường được áp dụng cho thể bệnh nhiều vị trí hoặc thể tích khối u lớn ( trên 5cm).

+ Phương pháp phẫu thuật bằng tia xạ hay còn gọi là xạ phẫu bằng dao Gamma, phương pháp này được áp dụng cho khối u có kích thước nhỏ ( ≤ 5cm) hoặc tiến hành sau khi đã xã trị gia tốc nhưng vẫn còn tổ chức u nhỏ.

Hoá trị liệu

Tương tự như phương pháp điều trị xạ trị, hiệu quả của phương pháp điều trị u tế bào mầm với hoá chất phụ thuộc vào tế bào học của u. Tuy nhiên hoá chất ngấm qua hàng rào máu- não rất hạn chế, kết quả điều trị chưa rõ ràng, áp dụng hoá trị liệu đang trong quá trình thử nghiệm.

Trung tâm Y học hạt nhân và Ung bướu Bệnh viện Bạch Mai là cơ sở đầu tiên ở Việt Nam ứng dụng thành công kỹ thuật xạ phẫu bằng dao Gamma quay (Rotating gamma knife), xạ trị điều biến liều (IMRT) và 3D với máy gia tốc để  điều trị một số trường hợp u tế bào mầm hệ thần kinh trung ương.
Sau đây là 2 trường hợp bệnh nhân được chẩn đoàn là u tế bào mầm vùng tuyến tùng được điều trị tại Trung tâm Y học hạt nhân và Ung bướu Bệnh viện Bạch Mai:

Trường hợp thứ nhất: Bệnh nhân Nguyễn Văn H, nam 22 tuổi, vào viện vì đau đầu, mờ mắt, buồn nôn đi tiểu nhiều.

Bệnh nhân được chụp phim MRI sọ não thấy hình ảnh u não vùng tuyến tùng kích thước 4,8 x 5,2 cm. Khối u chèn ép vào cống não gây não úng thuỷ.

Bệnh nhân được phẫu thuật dẫn lưu não thất -bể đáy. Sau phẫu thuật bệnh nhân có thuyên giảm triệu chứng ít.

Bệnh nhân tiếp tục điều trị tại Trung tâm Y học hạt nhân và Ung bướu Bệnh viện Bạch Mai. Xét nghiệm sinh hóa máu cho thấy nồng độ Beta HCG (b-HCG) và aFP rất cao tương ứng là 428 mU/ml ( giá trị bình thường là < 2,0- 2,6 mU/ml ) và 306,6 ng/ ml ( giá trị bình thường là < 7 ng/ ml).

Bệnh nhân được chẩn đoán là u tế bào mầm vùng tuyến tùng ( Pineal Germcell Tumor) và được điều trị bằng phương pháp xạ trị gia tốc: xạ toàn não liều 36 Gy sau đó xạ tập trung vào khối u đạt tổng liều điều trị 54- 56 Gy.

Sau qúa trình xạ trị bệnh nhân cải thiện các triệu chứng lâm sàng rõ rệt: tỉnh hoàn toàn, đỡ đau đầu và thị lực hai mắt hồi phục .Xét nghiệm máu: nồng độ b-hCG là 3,2 mU/ ml, aFP 1,95 ng/ ml. Trên phim MRI sọ não, thể tích khối u tiếp tục giảm theo thời gian.



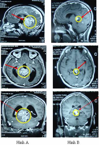
Hình A: Trước xạ trị, khối u vùng tuyến tùng kích thước 5,2x4,8cm, chèn ép não thất 3 gây giãn não thất.

Hình B: Sau điều trị xạ trị 2 tháng, đường kính khối u thu nhỏ còn khoảng 1 cm, hết giãn não thất

Trường hợp thứ 2: Hà Minh V, nam 15 tuổi, vào viện vì đau đầu, buồn nôn, nôn mờ mắt, mất chức năng phối hợp liếc dọc của nhẫn cầu.

- MRI sọ não có hình ảnh u não vùng tuyến tùng đường kính gần 5 cm, chèn ép cống não gây giãn não thất, phù não nhiều.

- Sinh hóa máu: b-hCG: 602,8mU/ ml, aFP: 305,3 ng/ ml.

Bệnh nhân được chẩn đoán u tế bào mầm vùng tuyến tùng và được phẫu thuật dẫn lưu não thất ổ bụng.

Sau đó chúng tôi tiến hành xạ trị gia tốc cho bệnh nhân: bao quanh thể tích thô của u 1cm với tổng liều chiếu 36 Gy, sau đó xạ tập trung vào u ( boost) đạt tổng liều xạ trị 54- 55 Gy. Theo dõi sau điều trị hàng tháng, kích thước khối u giảm dần, tổ chức u còn lại rất nhỏ và có tính chất xơ hoá, không còn các rối loạn về thần kinh, xét nghiệm nồng độ aFP và b-hCG về bình thường.

Trước điều trị: U có kích thước gần 5 cm, khối u chèn ép não thất 3 gây não úng thuỷ

Sau điều trị 1 tháng: U có kích thước gần 2cm, không còn não úng thuỷ.



PGS. TS. Mai Trọng Khoa, ThS. Bs. Vương Ngọc Dương,
ThS. Bs. Phạm Văn Thái, Th.S. Bs. Đoàn Xuân Trường
Trung tâm Y học hạt nhân và Ung bướu-Bệnh viện Bạch Mai

Tin liên quan