GS. TS. Mai Trọng Khoa, ThS. Nguyễn Thế Thu
Trung tâm Y học hạt nhân và Ung bướu - Bệnh viện Bạch Mai
Ca lâm sàng: Bệnh nhân: nam, 23 tuổi.
Vào viện tháng 6 /2013 phát hiện hạch cổ, hạch bẹn, kèm theo có gầy sút cân, ra mồ hôi trộm về đêm, ngoài ra bệnh nhân không sốt. Bệnh nhân đến khám tại Trung tâm Y học hạt nhân và Ung bướu - Bệnh viện Bạch Mai và được sinh thiết hạch thượng đòn trái.
Kết quả giải phẫu bệnh là U lympho không hodgkin tế bào B lớn lan tỏa tế bào B, CD20(+).
Khám lâm sàng: nhiều hạch cổ T, hạch bẹn kích thước 1-2 cm.
CT scan ngực, bụng 5/6/2013
Tầng ngực: Không có hạch trung thất
Tầng bụng: hạch cạnh trái động mạch chủ bụng kích thước 2-3 cm
Lách không to, không có dịch màng phổi, ổ bụng.
Các xét nghiệm cận lâm sàng bilan trước điều trị.
Hemoglobin: 138 g/l
LDH: 187 u/l
Huyết tủy đồ: Bình thường
Chức năng gan, thận bình thường

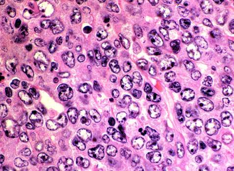
Hình ảnh giải phẫu bệnh: các tế bào u lớn, bào tương hẹp, nhân lớn có 2-4 hạt nhân, chất nhiễm sắc thô.

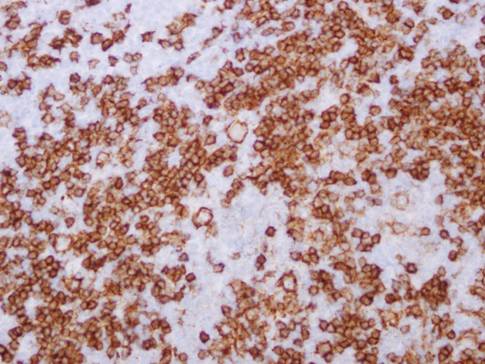
Hình ảnh nhuộm hóa mô miễn dịch dương tính với CD20.
Hình ảnh hạch cạnh động mạch chủ bụng, kích thước 2-3cm.
Hình ảnh chụp CT ngực không phát hiện hạch trung thất.
Chẩn đoán xác định: u lympho không Hodgkin lan tỏa tế bào B lớn, giai đoạn IIIb
Chỉ số tiên lượng quốc tế (FLIPI): 2 điểm thuộc nhóm nguy cơ trung bình
Điều trị : phác đồ R- CHOP x 8 chu kỳ
- Cyclophosphamide 750 mg/m²
- Doxorubicin 50 mg/m²
- Vincristine 1.4 mg/m²
- Prednisone 40 mg/m²/day x 5 days
- MabThera 375 mg/m².
Chu kỳ 21 ngày.
Đánh gía sau 4 chu kỳ lâm sàng hạch thượng đòn T, bẹn tan hoàn toàn.
- Trên PET/CT còn tổn thương hạch thượng đòn T 2 cm max SUV 4,3.
- Bn tiếp tục được điều trị tiếp 4 đợt R-CHOP bệnh ổ định.
Ra viện và khám lại sau 1 tháng BN được chụp CT ổ bụng và CT ngực.
Trên CT ổ bụng có tổn thương hạch cạnh động mạch chủ bụng 1,3cm, nghi ngờ bệnh chưa đáp ứng hoàn toàn hoặc bệnh tiến triển. Bệnh nhân được vào viện chụp PET/CT kiểm tra.
Hình ảnh hạch thượng đòn còn lại sau 4 đợt hóa chất R CHOP.
Tổn thương hạch ổ bụng còn lại trên CT sau R- CHOP x 8.
Sau khi được chụp PET/CT, có điều đặc biệt ở bệnh nhân này là tổn thương hạch ổ bụng phát hiện trên CT lại hoàn toàn không tăng hấp thu FDG, mà bệnh nhân lại được phát hiện thêm một tổn thương tăng hấp thu FDG bất thường ở đầu xương ức. Các vị trí khác trong cơ thể không có tăng hấp thu FDG bất thường.
Tổn thương hạch ổ bụng hoàn toàn không hấp thu FDG.
Tổn thương đầu xương ức tăng hấp thu FDG( tổn thương này hoàn toàn không phát hiện được trên CT thường).
Dựa trên PET/CT, bệnh nhân được mô phỏng và điều trị tia xạ bổ trợ vào vùng tổn thương xươngức, với liều. 2Gyx 18 buổi . Hiện tại bệnh nhân chưa kết thúc liệu trình điều trị.
Từ ca lâm sàng này chúng ta thấy PET/CT có vai trò quan trọng trong đánh giá chẩn đoán giai đoạn, đánh giá đáp ứng điều trị, chẩn đoán phân biệt những tổn thương hạch xơ còn lại sau điều trị hóa chất với tổn thương hạch còn tổ chức ung thư, cũng như giúp đánh giá và hỗ trợ mô phỏng để xạ trị.
Tài liệu tham khảo
1. Elstrom R, Guan L, Baker G, et al. Utility of FDG-PET scanning in lymphoma by WHO classification. Blood 2003;101:3875-6.
2. Buchmann I, Reske SN. Novel imaging techniques in NHL: clinical results with PET imaging. Ann Hematol 2001;80(Suppl 3):B54-7.
3. Weihrauch MR, Re D, Bischoff S, Dietlein M, et al.Whole-body positron emission tomography using 18 fluorodeoxyglucose for initial staging of patients with Hodgkin's disease. Ann Hematol2002;81:20-5.
4. Wirth A, Seymour JF, Hicks RJ, et al. Fluorine-18 fluorodeoxyglucose positron emission tomography, gallium-67 scintigraphy, and conventional staging for Hodgkin's disease and non-Hodgkin's lymphoma. Am J Med 2002;112:262-8.
5. Sasiki M, Kuwabara Y, Koga H, et al. Clinical impact of whole body FDG-PET on the staging and therapeutic decision making for malignant lymphoma; Ann Nucl Med 2002;16:337-45.
6. Foo SS, Mitchell PL, Berlangieri SU, et al. Positron emission tomography scanning in the assessment of patients with lymphoma. Intern Med J2004;34:388-97.
7. Schaefer NG, Hany TF, Taverna C, et al. Non-Hodgkin lymphoma and Hodgkin disease: coregistered FDG PET and CT at staging and restaging - do we need contrastenhanced CT? Radiology2004;232:823.
8. Markus Schwaiger, MD; Hinrich Wieder, MD. Role of PET in Lymphoma. Chang Gung Med J Vol. 28 No. 5 May 2005.
9. Pamela Seam, Malik E. Juweid and Bruce D. Cheson. The role of FDG-PET scans in patients with lymphoma. . by guest on December 26, 2013. bloodjournal.hematologylibrary.org.