GS.TS. Mai Trọng Khoa, ThS. Thiều Thị Hằng
Trung tâm Y học hạt nhân & Ung bướu, Bệnh viện Bạch Mai
I.Ca lâm sàng:
Bệnh nhân: Kim Thị P., nữ, 54 tuổi.
Địa chỉ: thành phố Việt Trì – Phú Thọ.
Nghề nghiệp: cán bộ về hưu.
Tiền sử bản thân: khỏe mạnh.
Lý do vào viện: Đau đầu, giảm trí nhớ.
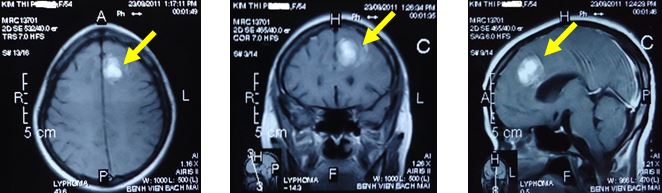
Bệnh sử: Bệnh nhân xuất hiện đau đầu dai dẳng mức độ nhẹ đến vừa nhiều tháng nay, điều trị nội khoa bằng thuốc giảm đau không khỏi. Khoảng 1 tháng trước khi vào viện bệnh nhân xuất hiện đau đầu tăng dần, kèm theo đôi lúc có buồn nôn, nôn, trí nhớ giảm dần, không liệt vận động, không sốt. Bệnh nhân đi khám và được chỉ định chụp phim cộng hưởng từ (MRI- Magnetic resonance imaging) sọ não thấy: hình ảnh tổn thương nhu mô não thuỳ trán hai bên phát triển qua thể trai là khối tín hiệu tổ chức đặc, kích thước 8,1 x 4,8 cm, giảm tín hiệu trên T1W, đồng tín hiệu trên T2W, tăng nhẹ tín hiệu trên phim Diffusion, tổn thương ngấm thuốc mạnh sau tiêm thuốc đối quang từ. Khối phát triển hai bên thuỳ trán, lan vào sừng trán não thất bên hai bên, bờ không đều, giới hạn không rõ, phù não rộng xung quanh. Kết luận: hình ảnh u não thuỳ trán hai bên nghĩ đến glioblastoma multiforme phân biệt với lymphoma.
Hình 1. Hình ảnh MRI sọ não trước điều trị: U não thùy trán 2 bên lan vào thể trai, kích thước 8,1x4,8 cm (mũi tên)
Bệnh nhân được chuyển tới bệnh viện Việt Đức làm sinh thiết định vị u não. Kết quả mô bệnh học và nhuộm hoá mô miễn dịch: U lympho không Hodgkin loại tế bào B lớn lan toả (WF7).
Sau khi có chẩn đoán xác định, bệnh nhân được chuyển tới Trung tâm Y học hạt nhân và Ung bướu bệnh viện Bạch Mai trong tình trạng:
Thăm khám lâm sàng:
- Sốt 38,50C.
- Thể trạng trung bình, cao 156 cm, nặng 57 kg.
- Ý thức chậm chạp (glasgow 14 điểm).
- Đau đầu, nôn.
- Đái ỉa không tự chủ (rối loạn cơ tròn).
- Yếu tay, chân : không tự đi lại được.
- Hạch ngoại vi không sờ thấy.
Xét nghiệm cận lâm sàng:
- Công thức máu, đông máu, chức năng gan thận trong giới hạn bình thường.
- Men LDH = 539 U/l (bình thường 240-480 U/l).
- HIV âm tính.
- Siêu âm ổ bụng, XQ tim phổi: bình thường (không thấy có hạch, u cục).
Dựa trên kết quả thăm khám lâm sàng, xét nghiệm cận lâm sàng, bệnh nhân được chẩn đoán xác định là: U lympho ác tính không Hodgkin tế bào B lớn lan tỏa biểu hiện nguyên phát tại não.
Điều trị:
Bệnh nhân đã được hội chẩn và đưa ra kế hoạch điều trị như sau:
- Xử trí cấp cứu ban đầu: bệnh nhân được dùng các thuốc chống phù não, kháng sinh, giảm đau và corticoid.
- Điều trị hoá chất 5 chu kỳ cách tuần, phác đồ:
- Methotrexate 3,5 gam/m2, truyền tĩnh mạch ngày 1,8,15,22,29.
- Leucovorin 10 mg tiêm tĩnh mạch mỗi 6 giờ x 12 liều, bắt đầu từ ngày 2,9,16,23,30.
- Vincristine 1,4 mg/ m2, truyền tĩnh mạch ngày 1,8,15,22,29.
- Procarbazine 100mg/m2/ ngày, uống ngày 1-7,15-21,29-36.
- Methotrexate 12 mg tiêm tuỷ sống ngày 1,8,15,22,29.
Sau điều trị hoá chất bệnh nhân được hội chẩn xạ trị gia tốc toàn não với liều 2 Gy/ngày x 20 ngày (tổng liều 40 Gy).
Kết thúc liệu trình điều trị hóa chất và xạ trị toàn não 1 tháng, tình trạng bệnh nhân được cải thiện rõ rệt: còn đau đầu nhẹ, không liệt vận động, đái ỉa tự chủ, trí nhớ được phục hồi, các sinh hoạt gần như bình thường. Chụp MRI sọ não cho thấy tổn thương nhỏ lại nhiều, thuỳ trán trái còn khối tổn thương khích thước 2,2 x 1,6 cm, khối ngấm thuốc mạnh sau tiêm thuốc đối quang từ.
Hình 2. Hình ảnh MRI sọ não sau điều trị hóa chất và xạ trị gia tốc toàn não: U não thùy trán trái kích thước 2,2x1,6 cm (mũi tên)
Bệnh nhân tiếp tục được hội chẩn xạ phẫu bằng dao gamma quay vào u não còn lại với liều 14Gy.
Đánh giá kết quả sau điều trị xạ phẫu:
- Về lâm sàng: sau 3 tháng điều trị bệnh nhân không còn đau đầu, không liệt vận động, các sinh hoạt trở lại bình thường.
- Về hình ảnh MRI sọ não:

Hình 3. Tổn thương u não so sánh trước và sau điều trị trên hình ảnh MRI sọ não.
Hiện tại bệnh nhân đã trở lại cuộc sống, sinh hoạt bình thường và tiếp tục được theo dõi định kỳ.
II.MỘT SỐ NÉT VỀ U LYMPHO BIỂU HIỆN TẠI NÃO
Trước 1970, lymphoma biểu hiện tại não chiếm dưới 1% các u não. Hiện nay tỷ lệ mắc bệnh càng tăng dần, phần lớn bệnh liên quan tới tình trạng suy giảm miễn dịch trong AIDS và sử dụng các thuốc ức chế miễn dịch trong trường hợp ghép tạng, điều trị hoá chất ung thư, một số hội chứng suy giảm miễn dịch bẩm sinh.
Lymphoma biểu hiện tại não có hai loại: lymphoma biểu hiện nguyên phát tại não (chiếm 70-90%); lymphoma biểu hiện thứ phát tại não (chiếm 10-30%). Lymphoma biểu hiện nguyên phát và thứ phát tại não có đặc điểm về hình ảnh học giống nhau. Tuy nhiên lymphoma biểu hiện tại màng não thường là lymphoma thứ phát, ít gặp lymphoma nguyên phát tại màng não. Lymphoma nguyên phát tại não khối u có thể xuất phát từ bất kỳ phần nào của bán cầu đại não, tiểu não, thân não: khoảng 60% u ở bán cầu đại não, 75-85% biểu hiện với đặc điểm có 1 khối u lớn, 50% các trường hợp bệnh nhân có nhiều u trong não.
2.1. Đặc điểm lâm sàng
Biểu hiện lâm sàng phụ thuộc vào vị trí và kích thước khối u. Bệnh nhân có thể có các biểu hiện sau:
- Hội chứng tăng áp lực nội sọ: đau đầu, nôn, buồn nôn.
- Liệt vận động: liệt nửa người, liệt tủy, liệt dây thần kinh sọ não.
- Rối loạn ý thức, rối loạn trí nhớ.
- Rối loạn cơ tròn: đái ỉa không tự chủ.
- Động kinh.
- Giảm thị lực.
2.2. Cận lâm sàng
- Chụp cộng hưởng từ sọ não: được lựa chọn vì đây là phương pháp có độ nhạy cao và mang lại nhiều thông tin. Đặc điểm tổn thương trên MRI sọ não: u có ranh giới không rõ ràng, có thể ở bất cứ vị trí nào trong nhu mô não. U có tính chất ngấm thuốc đối quang từ mạnh, có phù não quanh u. Tuy nhiên MRI có độ nhạy cao nhưng lại không đặc hiệu cho lymphoma não. MRI sọ não có thể gợi ý để chẩn đoán lymphoma.
- Chụp cắt lớp vi tính sọ não: có độ nhạy và độ đặc hiệu thấp.
- Chụp PET, PET/CT, PET/MRI: rất có giá trị trong chẩn đoán lymphoma, biểu hiện tổn thương là hình ảnh tăng hấp thu dược chất phóng xạ.
- Mô bệnh học và hoá mô miễn dịch: là tiêu chuẩn vàng cho chẩn đoán xác định bệnh và loại tế bào trên mảnh sinh thiết định vị khối u.
2.3. Phương pháp điều trị
a.Điều trị nội khoa:
+ Corticoid:
+ Hóa chất toàn thân:
- Methotrexat là tác nhân mang lại hiệu quả tốt nhất, có thể dùng đơn độc hoặc phối hợp với các thuốc khác như vincristin, procarbazine, cytarabine, rituximab (nếu CD20+)
- Tiêm methotrexat nội tủy sống
b.Xạ trị:
- Thường tiến hành sau điều trị hóa chất sẽ làm giảm độc tính cho thần kinh trung ương hơn khi dùng xạ trị trước, hóa chất sau. Tuy nhiên nếu tình trạng bệnh nhân không cho phép sử dụng hóa chất trước thì nên lựa chọn xạ trị ngay.
- Phương pháp: xạ trị toàn não phân liều 1,8-2gy/ngày, tổng liều 22Gy-44 Gy tùy trường hợp cụ thể.
- Xạ phẫu: khi cần nâng liều tại u, tùy thuộc tình trạng bệnh nhân cụ thể.
c.Phẫu thuật:
- Chỉ định để sinh thiết u.
- Không đặt mục tiêu để lấy u tối đa.
d.Điều trị khác:
- Chống phù não: manitol, corticoid….
- Thuốc chống động kinh.
- Thuốc điều trị triệu chứng, truyền dịch, chống tiêu khối u…