PGS. TS. Mai Trọng Khoa, ThS. BS Phạm Văn Thái
Trung tâm Y học hạt nhân và Ung bướu-Bệnh viện Bạch Mai
Bệnh nhân: Đ.T, nam, 70 tuổi
Nghề nghiệp: Cán bộ hưu trí
Lý do vào viện: đau đầu + yếu 1/2 người phải.
Bệnh sử: Bệnh nhân có tiền sử hút thuốc lá 1 bao/ngày trong trên 40 năm.
Hai ngày trước khi vào viện, bệnh nhân đột ngột xuất hiện đau đầu, yếu ½ người phải, kèm theo buồn nôn, nôn, ý thức chậm chạp, giảm trí nhớ. Bệnh nhân không đau ngực, không ho, không khó thở. Ở nhà, bệnh nhân đã điều trị bằng thuốc giảm đau, chống nôn nhưng bệnh không giảm → vào viện
Khám
- Ý thức lơ mơ, Glasgow 13 điểm
- Thể trạng trung bình: cao 165cm, nặng 62 kg
- Hạch ngoại vi không sờ thấy
- Liệt ½ người phải
- Các cơ quan bộ phận khác chưa có gì đặc biệt
Bệnh nhân được chỉ định các xét nghiệm:
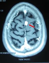
- Chụp CT sọ não: Hình ảnh khối u vùng đỉnh trái, kích thước 2×2 cm, có phù não rộng xung quanh
- Chụp X quang phổi thẳng: Không rõ tổn thương
- Chụp CT lồng ngực: Hình ảnh khối u thùy trên phổi phải kích thước 2×3 cm
- Các xét nghiệm khác: siêu âm ổ bụng, công thức máu, sinh hóa máu, các chất chỉ điểm khối u đều trong giới hạn bình thường.

Hình 1: Hình ảnh u thùy trên phổi phải, kích thước 2×3 cm
với điều trị nội khoa: chống phù não (Manitol 20%, solumedrol 40mg),
+ Bệnh nhân được chỉ định chụp cộng hưởng từ sọ não, PET/CT, đồng thời
giảm đau (efferalgan codein)
+ Kết quả chụp cộng hưởng từ sọ não: Khối u não vùng đỉnh trái, kích thước 1,7×2,3cm, có phù não xung quanh.


Hình 3: Hình ảnh PET/CT có u thùy trên phổi phải kích thước 2 × 3cm, tăng hấp thu dược chất phóng xạ FDG, max SUV = 5,3
Bệnh nhân được tiến hành sinh thiết khối u xuyên thành ngực dưới hướng dẫn của chụp cắt lớp vi tính. Kết quả mô bệnh học là ung thư biểu mô tuyến.
Chẩn đoán xác định: Ung thư phổi phải giai đoạn T2NoM1
Điều trị:
Xạ phẫu dao gamma quay tổn thương di căn não, liều 18 Gy. Kết hợp điều trị hóa chất toàn than phác đồ Paclitaxel + Carboplatin, 6 chu kỳ, chu kỳ 21 ngày
Kết quả điều trị sau 2 tháng
- Ý thức tỉnh táo bình thường, trí nhớ trở lại như bình thường
- Không còn đau đầu, không nôn
- Đi lại sinh hoạt như bình thường, không có liệt vận động
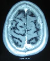
- Thực thể: khối u não di căn biến mất trên phim chụp cộng hưởng từ, u phổi nhỏ lại trên phim chụp cắt lớp vi tính.
Như vậy có thể thấy rằng: Mặc dù ung thư phổi là một bệnh rất ác tính, nếu thêm di căn vào não thì thời gian sống thêm thường rất ngắn. Tỷ lệ tử vong cho nhóm đối tượng này khá cao. Nhưng nếu chẩn đoán dung kịp thời và phối hợp nhiều phương pháp và kỹ thuật hiện đại, chúng ta hoàn toàn có thể khống chế, thậm chí làm mất khối u, kết quả điều trị bệnh nhân sẽ tốt hơn, kéo dài hơn và chất lượng cuộc sống được nâng lên.
Tuy nhiên cần lưu ý là đối với các khối u não di căn,thì chúng ta có thể làm mất nhanh bằng phương pháp xạ phẫu dao gamma quay. Nhưng để làm mất khối u ác tính tại phổi phải cần nhiều thời gian hơn và phải phối hợp với nhiều phương pháp với nhau.