Điều trị thành công khối u não di căn từ ung thư phổi - Tại Trung tâm Y học hạt nhân và ung bướu-Bệnh viện Bạch Mai

Ngày đăng: 19/12/2012 Lượt xem 9792

Một trường hợp bệnh nhân điều trị thành công tại Trung tâm Y học hạt nhân & Ung bướu, bệnh viện Bạch Mai. Bệnh nhân có khối u phổi thùy dưới phổi phải (ung thư biểu mô tuyến) và u não vùng đỉnh trái (di căn não): T4NoM1. Bệnh nhân đã được chụp PET/CT, hội chẩn và điều trị kết hợp: xạ phẫu bằng dao gamma quay (khối u di căn não), hóa chất toàn thân và điều trị đích. Sau điều trị 6 tháng đạt kết quả tốt.


PGS. TS. Mai Trọng Khoa, ThS. Phạm Văn Thái

Trung tâm Y học hạt nhân & Ung bướu, bệnh viện Bạch Mai
 

CA LÂM SÀNG

Họ và tên bệnh nhân: Trần T. Đ., nữ 68 tuổi

Nghề nghiệp: Cán bộ hưu trí. Hiện ở Hà Nội

Vào viện ngày: 8/12/2011

Lí do vào viện: Yếu chân phải

Bệnh sử:

Trước ngày vào viện hơn 1 tháng, xuất hiện yếu nhẹ chân phải, không đau đầu, không nôn, không ho, không đau ngực nên được chuyển đến bệnh viện Bạch Mai để khám chuyên khoa xương khớp, thần kinh. Bệnh nhân đã được chụp CT sọ não, MRI sọ não, CT lồng ngực. Kết quả cho thấy có hình ảnh u phổi thùy dưới phổi phải và u não vùng đỉnh trái. Sau đó, bệnh nhân đã được chọc hút 1 lần và lấy ra được 500ml dịch màng phổi.

Chụp CT sọ não (9/12): Có u não ở vùng đỉnh trái, kích thước khoảng 1,8 cm, có phù não xung quanh khối u.


 Hình 1: Hình ảnh chụp CT sọ não có u não ở vùng đỉnh trái, kích thước khoảng 1,8 cm, có phù não xung quanh khối u

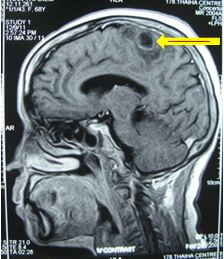
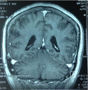
Chụp MRI sọ não (12/12/2011):


Hình 2: Hình ảnh chụp MRI sọ não có khối u não vùng đỉnh trái, 20×19mm, ngấm thuốc quanh u

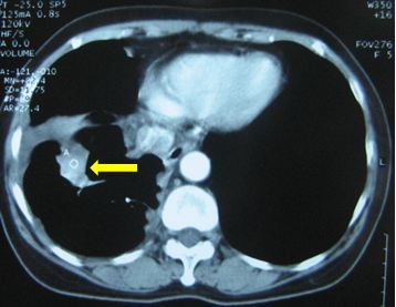
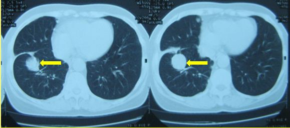
CT lồng ngực (12/12/011)

   


 Hình 3: Hình ảnh chụp CT lồng ngực - u thùy dưới phổi phải: 28× 25mm, kèm theo nốt mờ nhỏ xung quanh

Nội soi phế quản (16/12/011)

-         Không có khối u sùi lòng phế quản

-         Cấy nấm: âm tính

-         Cấy vi khuẩn: âm tính

-         AFB: âm tính

Sinh thiết xuyên thành ngực (21/12/011): Làm xét nghiệm mô bệnh học + hóa mô miễndịch, cho kết quả là: ung thư biểu mô tuyến

Chỉ điểm khối u (15/12/011)

CEA: 311 ng/ml (bình thường: <5)

CA19-9: 145,8 U/ml (bình thường: <27)

CA 15-3: 63,27 U/ml(bình thường: <25)

Cyfra 21-1: 6,07 ng/ml (bình thường <3,3)

αFP: 2,62 ng/ml

CA 125: 31 U/ml

CA724: 0,991 U/ml

Các xét nghiệm khác

-         X quang tuyến vú 2 bên: bình thường

-         Siêu âm ổ bụng: Sỏi nhỏ thận trái (4mm), thận phải (6mm)

-         Điện tim: bình thường

-         Công thức máu: bình thường

-         Sinh hóa máu: chức năng gan, thận bình thường

-         HBsAg âm tính

Tiền sử

-         Bản thân: không mắc bệnh gì đặc biệt

-         Gia đình: bố đẻ mất vì ung thư tuyến tiền liệt

Khám hiện tại

-         Tỉnh, tiếp xúc tốt

-         Cao 159cm, nặng 55 kg

-         Hạch ngoại vi: không sờ thấy

-         Yếu nhẹ ½ người phải

-         Phổi: rì rào phế nang rõ, không có ran

-         Các cơ quan bộ phận khác không có gì đặc biệt

Chụp PET/CT:


Hình 4: Hình ảnh PET/CT có khối u thùy dưới phổi phải 2,6 × 2,8 cm, Max SUV= 5,32


Hình 5: Hình ảnh PET/CT có tổn thương cung sau xương sườn số 5 bên trái, và khối u não vùng đỉnh trái

Phân tích đột biến EGFR

- Sử dụng kỹ thuật giải trình tự gen và scorpions ARMS

- Kết luận: Có đột biến gen EGFR ở exon 19 (đột biến mất đoạn)

Từ những kết quả thăm khám lâm sàng, xét nghiệm cận lâm sàng kể trên, bệnh nhân đã được đưa ra chẩn đoán xác định là: Ung thư phổi phải (ung thư biểu mô tuyến), T4NoM1 (di căn não)

Điều trị:

Bệnh nhân đã được hội chẩn và đưa ra kế hoạch điều trị như sau:

- Xạ phẫu dao gamma quay liều 24 Gy vào khối u não di căn vùng đỉnh trái

- Kết hợp điều trị hóa chất Hóa chất phác đồ DC (Docetaxel + Carboplatin) × 3 chu kỳ

- Điều trị đích: erlotinib (Taceva) 150 mg, uống hàng ngày.

Kết quả sau 6 tháng điều trị

Lâm sàng

Trước điều trị

Sau 6 tháng điều trị

-         Tỉnh, tiếp xúc tôt

-         Không ho

-         Không đau ngực

-         Yếu nhẹ ½ người phải

-         Tỉnh, tiếp xúc tôt

-         Không ho

-         Không đau ngực

-         Vận động bình thường

Cht chỉ điểm u sau 6 tháng điều trị: Hầu hết đều về gần giá trị bình thường

Chỉ điểm u

Trước điều trị

Sau 6 tháng điều trị

CEA (ng/ml)

311

26,2

CA19-9 (U/ml)

145,8

12,9

Cyfra 21-1 (ng/ml)

6,07

1,34

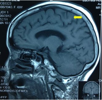
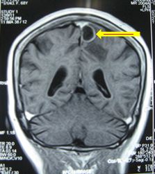
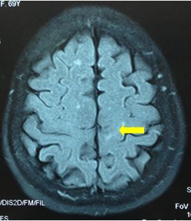
Chụp MRI sọ não: Sau xạ phẫu 6 tháng bằng dao gamma quay: khối u não tan biến hoàn toàn

Trước điều trị: u não 20×19mm

Sau điều trị 6 tháng: u tan hoàn toàn

Trước điều trị: u 20×19mm

Sau điều trị 6 tháng: u tan hoàn toàn

Trước điều trị: u 20×19mm

Sau điều trị 6 tháng: u tan hoàn toàn

Hình 6: Hình ảnh chụp MRI sọ não sau 6 tháng xạ phẫu bằng dao gamma quay: Khối u não di căn vùng đỉnh trái tan hoàn toàn

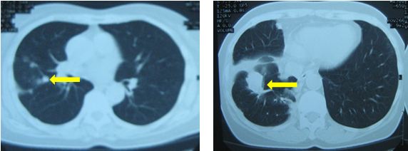
Chụp PET/CT toàn thân sau 6 tháng điều trị:

Trước điều trị : Khối u thùy dưới phổi phải 2,6 × 2,8 cm, Max SUV = 5,32

Sau điều trị 6 tháng: U tan gần hoàn toàn


Hình 7: Hình ảnh PET/CT toàn thân sau 6 tháng điều trị: Khối u phổi tan hoàn toàn

Trước điều trị: tổn thương thùy đỉnh trái 2 cm

Sau điều trị 6 tháng: tổn thương tan hoàn toàn


Hình 8: Hình ảnh PET/CT toàn thân sau 6 tháng điều trị: Khối u não vùng đỉnh trái tan hoàn toàn.

Trước điều trị: Tổn thương cung sau xương sườn số 5 bên trái

Sau điều trị 6 tháng: Tổn thương tan hoàn toàn

Hình 9: Hình ảnh chụp MRI sọ não sau 6 tháng xạ phẫu bằng dao gamma quay: Khối u não di căn vùng đỉnh trái tan hoàn toàn

Thay lời kết:

Kết quả điều trị thành công đối với bệnh nhân nữ, 68 tuổi bị ung thư phổi (ung thư biểu mô tuyến) có di căn vào não, di căn vào xương là một minh chứng cho thấy: Ung thư phổi là một bệnh lý rất ác tính trên một người có tuổi và đã có di căn vào não vào xương, nhưng nếu bệnh nhân được chẩn đoán đúng, phát hiện được chính xác khối u nguyên phát và các tổn thương di căn) để phân loại chính xác giai đoạn... và phối hợp nhiều phương pháp điều trị thì chúng ta vẫn làm lui được bệnh, bệnh nhân vẫn có cuộc sống bình thường, chất lượng cuộc sống tốt.

Việc phối hợp nhiều phương pháp điều trị thích hợp và chẩn đoán đúng là yếu tố quyết định cho sự thành công. Cụ thể đối với bệnh nhân này là: Trước hết phải giải quyết và làm mất khối u não bằng kỹ thuật xạ phẫu với dao gamma quay (Rotating Gamma Knife). Sau đó phải tiến hành điều trị toàn thân với việc truyền hóa chất với phác đồ thích hợp để tiêu diệt các tổn thương u tại phổi và di căn. Đồng thờì cần dùng thêm thuốc điều trị trúng đích do có đột biến gen EGFR dương tính.

Tin liên quan