Điều trị u sọ hầu bằng kỹ thuật xạ trị gia tốc và dao gamma quay tại Trung tâm Y học hạt nhân và ung bướu - Bệnh viện Bạch Mai

Ngày đăng: 26/04/2012 Lượt xem 9486

Điều trị u sọ hầu bằng kỹ thuật xạ trị gia tốc và dao gamma quay tại Trung tâm Y học hạt nhân và ung bướu - Bệnh viện Bạch Mai

PGS.TS. Mai Trọng Khoa, ThS. Vương Ngọc Dương

Trung tâm Y học hạt nhân & Ung bướu, bệnh viện Bạch Mai

Ca lâm sàng 1: 

Bệnh nhân nhi 5 tuổi, vào viện vì đau đầu, mất thị lưc

  • Bệnh nhân có tiền sử bị đau đầu, nôn, nhìn mờ và mất thị lực.Bệnh nhân đi khám tại một bệnh viện ngoại khoa và được chẩn đoán là u sọ hầu chèn ép não thất III, giãn não thất nặng.
  • Sau đó bệnh nhân được chuyển đến Trung tâm Y học hạt nhân và Ung bướu - Bệnh viện Bạch Mai.

Khám khi vào viện

  • Bệnh nhân có thể trạng trung bình, nhưng yếu, phải ăn qua sonde
  • Đi lại, vận động được, không bị liệt thần kinh khu trú, thị lực rất kém
  • Mạch huyết áp ổn định, không đái nhạt.
  • Các xét nghiệm: Công thức máu, xét nghiệm sinh hóa đều trong giới hạn bình thường.
  • Chức năng tuyến giáp: FT3,FT4,TSH trong giới hạn bình thường.
  • Bệnh nhân đã được dẫn lưu não thất ổ bụng, không phẫu thuật lấy u được do kích thước quá lớn (kích thước khối u: 4x5 cm ).
  • Gia đình Bệnh nhân lúc đầu từ chối điều trị do bệnh nhân nặng, thể trạng yếu. Sau khi được trao đổi, phân tích các thông tin liên quan đến tình trạng bệnh tật của bệnh nhân, gia đình bệnh nhân đã quyết tâm điều trị.

Bệnh nhân đã được thông qua Hội đồng hội chẩn tại Trung tâm Y học hạt nhân và ung bướu-Bệnh viện Bạch Mai. Phương án điều trị được đưa ra là xạ trị bằng máy gia tốc vào não.

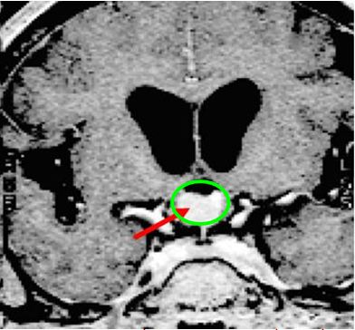
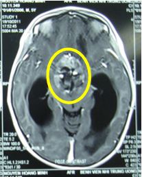
Trước điều trị: Hình ảnh chụp cộng hưởng từ (MRI) sọ não: là u sọ hầu (Vùng tổn thương trong vòng màu vàng; Vùng dãn não thất trong vòng màu xanh nhạt)


  • Kế hoạch xạ trị: xạ trị gia tốc với liều 27Gy/15 buổi; Phân liều: 1,8Gy/ngày, trong 3 tuần.

Kết quả khám lại sau khi kết thúc đợt xạ trị lần thứ 1:

  • Sau 3 tuần: Tình trạng bệnh nhân ổn định, hết đau đầu và hết nôn. Tinh thần thoải mái, chơi nghịch tốt. Tuy nhiên thị lực cải thiện chưa nhiều.
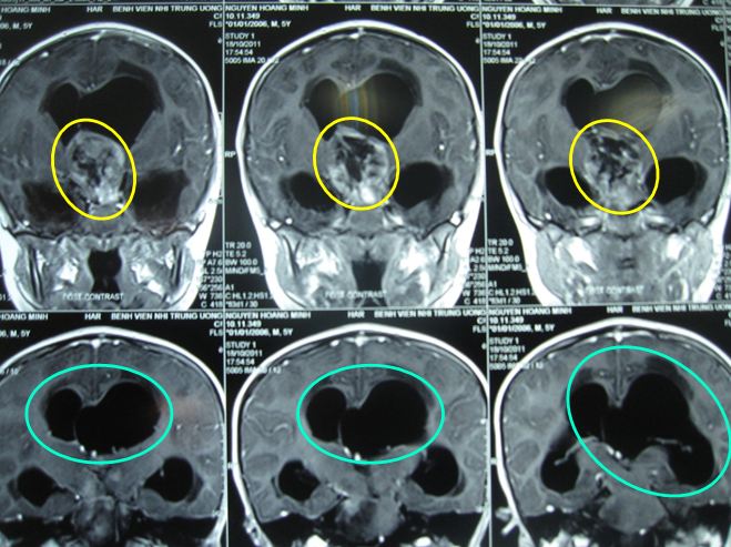
Sau xạ trị gia tốc 3 tuần (đợt 1): Hình ảnh chụp cộng hưởng từ (MRI) sọ não:kích thước u thu nhỏ lại rất nhiều (trong vòng màu vàng)

Bệnh nhân tiếp tục được hội chẩn thông qua Hội đồng hội chẩn tại Trung tâm Y học hạt nhân và ung bướu – Bệnh viện Bạch Mai và được quyết định: Tiếp tục xạ trị và tăng liều xạ trị bằng máy gia tốc với liều 40-45Gy, tùy theo tình trạng sức khỏe của bệnh nhân. Sau đó tùy theo diễn biến và đáp ứng điều trị sẽ xét xạ phẫu tiếp bằng dao gamma quay.

Kết quả khám lại sau khi kết thúc đợt xạ trị gia tốc lần thứ 2:

Sau xạ trị gia tốc với tổng liều 41,4Gy / 23 buổi, kết quả cho thấy:

  • Tình trạng lâm sàng chung của bệnh nhân ổn định hơn rõ rệt, ăn ngủ sinh hoạt tốt hơn lên nhiều.
  • Xét nghiệm: Công thức máu, xét nghiệm sinh hóa vẫn trong giới hạn bình thường
  • Kích thước khối u thu nhỏ lại rõ rệt: chỉ còn 1,5x1,8cm.

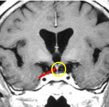
Sau xạ trị gia tốc đợt 2: Hình ảnh chụp cộng hưởng từ (MRI) sọ não: 

Kích thước u thu nhỏ lại rõ rệt (trong vòng màu vàng)


Trước điều trị: Đau đầu, U kích thước lớn: 4x5cm

Sau xạ trị: Lâm sàng tốt lên nhiều, u bé lại rõ rệt: 1,5x1,8cm

Hiện tại bệnh nhân đang được tiếp tục theo dõi theo định kỳ. Tùy theo diễn biến và tiến triển sẽ có các biện pháp điều trị thích hợp cho bệnh nhân.

Ca lâm sàng 2:

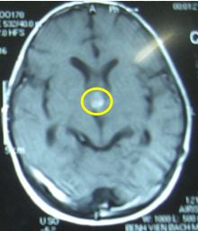
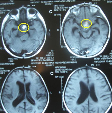
 Bệnh nhân Nguyễn V. G., nam, 59 tuổi. Bệnh nhân vào viện vì đau đầu, đái nhiều và mệt mỏi, khám tại Trung tâm Y học hạt nhân và Ung bướu - Bệnh viện Bạch Mai và được chẩn đoán: U sọ hầu. Bệnh nhân được chỉ định điều trị xạ phẫu bằng dao gamma quay, liều 12Gy. Sau điều trị 18 tháng bệnh nhân về mặt lâm sàng cải thiện nhiều. Khối u tan biến hoàn toàn.

       

 Hình ảnh MRI sọ não. Trước điều trị (hình bên trái): khối u sọ hầu (vòng tròn xanh). Sau điều trị 18 tháng (hình bên phải): khối u tan hết.

 Một số thông tin về U sọ hầu

U sọ hầu là u nội sọ, ngoài trục, phát triển chậm, được mô tả đầu tiên bởi Zenker năm 1857. Mott và Barrett (1899) cho rằng u sọ hầu phát triển từ tuyến yên – hầu họng hoặc túi Rathke, nhưng đến năm 1932 Cushing mới giới thiệu thuật ngữ: u sọ hầu (craniopharyngioma).

Về sinh lý bệnh học của u sọ hầu thì các tác giả cho rằng u có nguồn gốc phát triển từ các biểu mô còn sót lại của khe Rathke dọc theo vùng hầu họng đến vùng yên bướm, não thất ba.

U sọ hầu được chia làm 2 loại:

+ U men răng: thường có biểu hiện dạng nang, kèm theo phần đặc trong nang chứa dịch và có nhiều màu sắc khác nhau. Phần đặc gồm những keratin ướt, vôi hóa loạn dưỡng, những bè cơ khối dị bào và những biểu mô trụ hoặc vảy, hiện tượng xơ hóa và viêm rải rác là kết quả của sự bám dính của tổ chức đặc đến những cấu trúc lân cận, loại này thường có vôi hóa và hay gặp ở trẻ em.

+ Loại u nhú: Bao gồm thành phần đặc, hoặc có cả đặc và dịch, thành phần đặc chiếm ưu thế, thường không có vôi hóa, mô học có các tế bào vảy, u hay gặp ở vùng trên yên và ở người lớn

Về lâm sàng:

Bệnh nhân thường có đau đầu kèm theo nôn hoặc buồn nôn, giảm thị lực do u chèn vào dây giao thoa thị giác. Bệnh thường có các biểu hiện của rối loạn bài tiết hormon như phát triển dậy thì muộn, hoặc dậy thì sớm, suy các hormon gây đái nhiều... Một số bệnh nhân có các triệu chứng khác như mệt mỏi hay bị nhiễm trùng và khả năng chịu lạnh kém...

Về chẩn đoán:

Bệnh nhân cần được khám lâm sàng bao gồm cả khám chuyên khoa mắt, sinh hóa, nội tiết và chụp CT, MRI... để đánh giá mức độ bệnh.

Về điều trị

  • Phẫu thuật là lựa chọn ban đầu cho điều trị
  • U ở vị trí nền sọ và dưới đồi nên phẫu thuật mở nhiều khi cũng rất khó khăn và không phải lúc nào cũng thực hiện được
  • Xạ trị từ ngoài sau phẫu thuật không hết làm giúp tăng tỉ lệ kiểm soát tại chỗ và tang thời gian sống thêm
  • Dù phẫu thuật lấy hết u thì khả năng tái phát vẫn khá lớn (khoảng 17-20%)

Các biến chứng xạ trị khi ĐT u sọ hầu

  • Gồm biến chứng cấp và mạn tính. Cấp tính: có thể ảnh hưởng đến thị lực, giãn não thất khoảng 10-15%. Mạn tính: ảnh hưởng nội tiết, thị lực, rối loạn hành vi…
  • Suy tuyến yên là biến chứng muộn hay gặp sau xạ trị (20-60% sau xạ trị 5-10 năm), Hỏng giao thoa thị giác khoảng 3%, Xạ trị kinh điển, trường chiếu rộng thì ảnh hưởng nhiều đến các cấu trúc thần kinh khác.

Các kỹ thuật xạ trị mới

  • Xạ trị định vị, xạ phẫu dao gamma quay
  • Xạ trị điều biến liều (Intensity-modulated radiotherapy: IMRT)

Xạ phẫu bằng dao gamma (gamma knife) được sử dụng để điều trị u não, trong đó có u sọ hầu. Xạ phẫu bằng dao gamma cho u sọ hầu ngày càng được lựa chọn nhiều vì đây là phương pháp đơn giản, ít xâm nhập an toàn cho người bệnh, phương pháp này được xem như là sự lựa chọn cho các trường hợp điều trị bổ trợ cho tổn thương còn sót sau phẫu thuật hay tái phát sau phẫu thuật mở hoặc bệnh nhân không thể phẫu thuật hay bệnh nhân từ chối phẫu thuật mở.

Nguyên lý của xạ phẫu bằng dao gamma là sự hội tụ chính xác của nhiều chùm tia bức xạ vào tổn thương.

Tháng 7 năm 2007 hệ thống xạ phẫu bằng dao gamma quay (rotating gamma knife) do Hoa Kỳ sản xuất lần đầu được ứng dụng tại Trung tâm Y học hạt nhân và ung bướu Bệnh viện Bạch Mai. Đến nay hệ thống này đã điều trị cho hàng ngàn bệnh nhân có bệnh lý sọ não, trong đó có u sọ hầu. Hệ thống này có ưu điểm hơn dao gamma cổ điển là thay cho mũ cố định nặng nề của dao gamma cổ điển là hệ thống collimator quay đầu bệnh nhân, hệ thống định vị tự động có độ chính xác cao, có kết nối với hệ thống CT, MRI mô phỏng đã giúp cho việc điều trị thuận tiện, chính xác và an toàn.

Sơ đồ khối u nhỏ vùng R nơi khối u xuất phát giữa dây thần kinh thị và ổ TB vảy, khối u có thể tồn tại và phát triển ở vị trí này, (R-site) là vị trí khó, có thể điều trị hiệu quả bằng hệ thống xạ phẫu dùng dao gamma quay

 Trong các yếu tố tiên lượng như tuổi, kích thước khối u còn có đặc điểm khi lập kế hoạch điều trị là vị trí nguồn gốc xuất phát của u sọ hầu dọc từ ổ tế bào vảy đến sàn não thất III, việc không lấy bỏ được, hoặc không thể lấy hết tế bào là nguyên nhân chính gây tái phát. Việc phẫu thuật cố lấy bỏ tối đa có thể gây nguy cơ suy thần kinh nội tiết và thị lực, do vậy việc điều trị u sọ hầu bằng xạ phẫu dao gamma quay có thể thay cho phẫu thật mở lấy bỏ khối u và giảm tỉ lệ suy thần kinh nội tiết cho nhiều trường hợp đạt kết quả tốt và an toàn.

Xạ phẫu bằng dao gamma quay hiện đang được coi là một phương pháp hiệu quả trong việc kiểm soát khối u, giảm thiểu được tối đa các tác dụng phụ và biến chứng sau điều trị, an toàn và góp phần nâng cao được chất lượng cuộc sống cho các bệnh nhân bị u sọ hầu, đặc biệt cho các trường hợp bệnh nhân sau mổ mở còn sót lại hoặc tái phát, cũng như các phương pháp điều trị khác không thực hiện được.

Tin liên quan