1. Một số thông tin về ung thư phổi:
Ung thư phổi là một trong những loại bệnh ung thư phổ biến nhất và cũng là nguyên nhân gây tử vong hàng đầu do ung thư ở Việt Nam cũng như trên toàn thế giới. Ước tính, hàng năm trên toàn cầu số người mới mắc ung thư là 10,9 triệu thì riêng ung thư phổi là 1,35 triệu; số tử vong do ung thư hàng năm là 6,7 triệu thì ung thư phổi đã chiếm khoảng 1,18 triệu.Ung thư phổi là nguyên nhân hàng đầu gây tử vong ở cả hai giới, tỷ lệ sống sau 5 năm chỉ khoảng 15% . Với tỷ lệ mắc bệnh và tỷ lệ tử vong cao, ung thư phổi thực sự là vấn đề sức khoẻ nghiêm trọng của hầu hết các quốc gia trên thế giới.
a, Về nguyên nhân:Có nhiều nguyên nhân gây ung thư phổi nhưng có tới 90% ung thư phổi là do hút thuốc lá, trong đó phải kể đến việc hút thuốc lá thụ động ở phụ nữ và trẻ em ngày càng nghiêm trọng. Hút thuốc lá vừa là yếu tố khơi mào vừa là yếu tố thúc đẩy quá trình sinh bệnh ung thư này. Bệnh thưòng tiến triển âm thầm, triệu chứng mơ hồ, do vậy bệnh thường phát hiện ở giai đoạn muộn, điều trị khó khăn, tiên lượng xấu.
b, Về chẩn đoán: Chẩn đoán ung thư phổi thường phải dựa vào các dấu hiệu lâm sàng, chụp X quang phổi, CT ngực, nội soi phế quản sinh thiết hoặc sinh thiết xuyên thành dưới hướng dẫn của CT làm mô bệnh học để quyết định chẩn đoán....
Trong những năm gần đây, người tađã áp dụng kỹ thuật chụp hình phổi với máy PET (PET: Positron Emisson Tomography-Chụp cắt lớp pơhats bức xạ positron) với sự kết máy chụp cắt lớp vi tính (CT Scanner), nên đã cho chúng ta đồng thời hình ảnh cấu trúc giải phẫu của CT và hình ảnh chuyển hoá ở mức độ phân tử với độ nhạy và độ chính xác cao hơn nhiều so với CT đơn thuần. PET/CT cho phép phát hiện sớm ung thư, chẩn đoán giai đoạn bệnh chính xác, xác định tổn thương tái phát, di căn và tiên lượng, đánh giá đáp ứng với điều trị, đặc biệt gần đây ứng dụng mô phỏng lập kế hoạch xạ trị.
c, Về điều trị: Các phương pháp điều trị ung thư phổi bao gồm phẫu thuật, xạ trị, hóa trị và miễn dịch. Điều trị ung thư phổi theo nguyên tắc đa mô thức tùy theo giai đoạn bệnh, thể giải phẫu bệnh lý và từng bệnh nhân cụ thể.
Đối với ung thư phổi giai đoạn sớm, bệnh có thể kiểm soát được bằng phẫu thuật và phối hợp với các phương pháp bổ trợ. Nhưng thực tế là đa số ung thư phổi phát hiện ở giai đoạn muộn, tiên lượng xấu, điều trị phức tạp, khó khăn đòi hỏi điều trị phải phối hợp đa phương pháp. Cụ thể:
- GĐ I-IIIA: PT +/- Tia xạ +/- Hoá chất bổ trợ
- GĐ IIIB, IIIA không mổ:Phối hợp hoá xạ+/- Điều trị đích (Bevacuzumab, Erlotinib, Gefitinib; Cetuximab).
- GĐ IV: Hoá chất, xạ trị triệu chứng, điều trị đích
2. Xạ trị cấp cứu đối với ung thư phổi:
Trong thực hành điều trị, thường xuyên gặp các tình huống cấp cứu mà nếu không xử trí kịp thời có thể dẫn đến de dọa tính mạng bệnh nhân, mất cơ hội sống sót cho người bệnh.
Đối với ung thư phổi, các tình huống cấp cứu thường gặp là:
- U chèn ép khí phế quản gây khó thở
- Chảy máu sét đánh tại khối u
- Tràn dịch màng phổi
- Tràn khí màng phổi
- Tắc mạch phổi
Đứng trước những tình huống cấp cứu nêutrên đòi hỏi người thầy thuốc phải hết sức khẩn trương, xử lý đúng đắn và kịp thời. Đối với trường hợp khối u chèn ép làm bít tắc khí phế quản gây khó thở, phải cân nhắc ngay các phương pháp can thiệp sau:
- Đặt Stent: tuy nhiên kỹ thuật này khá đắt tiền, nhiều vị trí khó thực hiện
- Đốt bằng sóng cao tần, laser
- Xạ trị ngoài cấp chống chèn ép
- Xạ trị áp sát
3. Ca lâm sàng ung thư phổi được xạ trị cấp cứu
Sau đây, chúng tôi xin trình bày một bệnh nhân ung thư phổi đã được xạ trị cấp cứu tại Trung tâm Y học hạt nhân và Ung bướu-Bệnh viện Bạch Mai.
Họ tên bệnh nhân: Bệnh nhân: nam, 59 tuổi
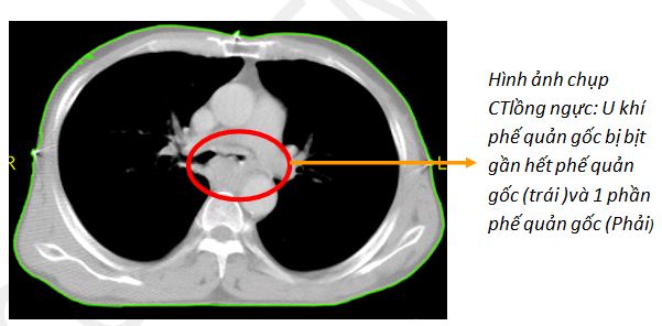
Tiền sử: 2 tháng trước: ho, khó thở . Bệnh nhân được chuyến đến khoa Hô hấp BV Bạch Mai và được chẩn đoán là ung thư khí phế quản . Xếp loại giai đoạn: T4NoMo.
Chẩn đoán mô bệnh học là: Carcinome vảy .
Bệnh nhân không có chỉ định đặt Stent (vị trí chạc 3).
Do tiên lượng nặng, nên gia đình xin cho bệnh nhân về.
Sau đó, do tình trạng bệnh nặng lên, nên gia đình đưa vào khoa cấp cứu bệnh viện Bạch Mai, trong tình trạng rất khó thở.
Tại đây, tình trạng bệnh nhân:
- Khó thở nhiều
- Vật vã, ngồi thở, không nằm được
- SpO2 dao động 80 - 85%
Bệnh nhân đã được xử trí nội khoa: Thở O2 3-5 l/phút, Corticoid, chống viêm, thuốc giãn phế quản, kháng sinh.
Sau đó bệnh nhân được chuyển đến Trung tâm Y học hạt nhân và Ung bướu bệnh viện Bạch Mai.Sau 2 ngày, tình trạng bệnh cải thiện ít, vẫn khó thở, chỉ nằm được khoảng 10 phút.Bệnh nhân đã được hội chẩn xét đặt stent khí phế quản nhưng khó có thể tiến hành do khối u ở vị trí chạc 3 khí phế quản.
Trước tình trạng bệnh nhân ngày một nặng lên và xấu đi, và có nguy cơ khối u chèn ép vào đường thở gây nguy hiểm đến tính mạng.Nên chúng tôi đã giải thích cho gia đình bệnh nhân: là không còn chỉ định phẫu thuật. Chỉ có thể xạ trị cấp cứu.Đây là phương pháp duy nhất tại thời điểm này.Nếu chậm trễ bệnh nhân chắc chắn tử vong. Tuy nhiên nếu tiến hành xạ trị cấp cứu có thể đem lại cơ hội sống sót cho bệnh nhân nhưng cũng có thể tử vong trong hoặc sau quá trình xạ trị.
Sau khi được sự đồng ý của gia đình, chúng tôi đã tiến hành:
- Chụp CT mô phỏng cấp cứu, sau đó lập kế hoạch xạ trị ngay .
- Liều xạ trị với máy gia tốc tuyến tính: 3 Gy/ngày x 10 ngày, mức E 15 MV
- Ngày hôm sau: Tiến hành hóa trị đồng thời với Cisplatin - Docetaxel.
|
| Hình ảnh lập kế hoạch xạ trị cấp u phổi chèn ép khí phế quản bằng máy gia tốc |
|
| Biểu đồ liều - thể tích (DVH): Liều tại u đạt gần 100%, trong khi cơ quan lành như tủy sống, phổi lành vẫn ở giới hạn thấp, an toàn. |
Kết quả :
Bệnh nhân đỡ khó thở ngay sau khi xạ trị 1 buổi, không phải thở O2
Sau 10 buổi, tự đi lại tốt, sinh hoạt gần như bình thường

|
| Hình ảnh bệnh nhân sau điều trị: hết khó thở, bệnh nhân tự đi lại sinh hoạt bình thường |
Kinh nghiệm rút ra từ trường hợp xạ trị cấp cứu cho bệnh nhân ung thư phổi:
- Cần phải giải thích kỹ cho người nhà bệnh nhân: tình trạng bệnh, mức độ nguy kịch của bệnh nhân, cũng như các phương án điều trị và các rủi ro có thể xảy ra. Để từ đó có sự đồng thuận cao giữa thầy thuốc, bệnh nhân và người nhà bệnh nhân.
- Xử trí xạ trị cấp cứu phải tiến hành khẩn trương như một cấp cứu nội khoa.
- Cần mở rộng xạ cấp trong các bệnh ung thư khác, như: U lympho, ung thư dạ dày di căn rốn gan tắc mật không đặt được stent, U đầu tụy không mổ được, ung thư phổi chảy máu...Để tăng cơ hội cứu chữa và sống sót cho người bệnh.
PGS.TS. Mai Trọng Khoa, ThS. Vũ Hữu Khiêm - Trung Tâm Y học hạt nhân và Ung bướu, Bệnh viện Bạch Mai