Nhân một trường hợp u bạch huyết dạng nang sau phúc mạc được điều trị thành công tại Bệnh viện Bạch Mai

Ngày đăng: 19/12/2011 Lượt xem 9291

U bạch huyết (Lymphangiome) là dị tật của hệ thống bạch huyết, có thể gặp ở mọi lứa tuổi và mọi vị trí của cơ thể. Trong đó 90% xảy ra ở trẻ em dưới 2 tuổi và hay gặp ở vùng đầu, cổ. U bạch huyết có thể bị từ khi còn bé (bẩm sinh) hoặc mắc phải (sau chấn thương...).

U bạch huyết được phân loại thành ba loại: u bạch huyết dạng mao mạch, dạng hang và dạng nang. Trong đó, u bạch huyết dạng nang: thường có kích thước lớn, chứa đầy chất dịch giàu protein, màu vàng chanh. Điều trị u bạch huyết dạng nang hiện nay được thực hiện bằng cách tiêm xơ với dung dịch sulfat tetradecyl, doxycycline, hoặc cồn. U bạch huyết dạng nang có thể được điều trị bằng phẫu thuật cắt bỏ tổn thương nhưng rất khó để loại bỏ hoàn toàn tổn thương vì khó đánh giá được rìa khối u nên dễ tái phát.

Sau đây chúng tôi trình bày một bệnh nhân có tổn thương u bạch huyết dạng nang tại ổ bụng.

Bệnh cảnh: Bệnh nhân Nguyễn Thị D., nữ 53 tuổi, Nhập viện vào Trung tâm Y học hạt nhân và Ung bướu-Bệnh viện Bạch Mai ngày 22 tháng 9 năm 2011 vì lý do đau tức vùng mạng sườn trái. 5 ngày trước khi vào viện, bệnh nhân xuất hiện đau vùng mạng sườn trái, đau âm ỉ, tăng dần, kèm theo đái rắt, không sốt. Bệnh nhân thấy đau vùng mạng sườn trái ngày càng tăng mặc dù đã được dùng một số loại thuốc giảm đau.

Bệnh nhân có tiền sử: Cao huyết áp, đái tháo đường, viêm loét dạ dày. Bệnh nhân đang dùng Plendil plus 5/47,5mg ngày uống 1 viên và Diamicron MR 30mg uống ngày 2 viên

Khám lúc vào viện chúng tôi thấy: Bệnh nhân thể trạng béo, chiều cao: 162cm; cân nặng 60kg. Da niêm mạc bình thường. Bụng mềm, không có phản ứng thành bụng, gan lách không sờ thấy, ấn điểm niệu quản trái bệnh nhân đau. Chạm thận và bập bềnh thận 2 bên âm tính. Các dấu hiệu khác không có gì đặc biệt.

+ Xét nghiệm công thức máu ngày 22/09/2011:

Hồng cầu:4,93 T/l; Hb: 144g/l ; HCT: 0,419l/l. Bạch cầu: 7,84G/l;

BC trung tính: 59,7% (4,67G/l); Tiểu cầu: 359G/l

+ Xét nghiệm sinh hóa máu:

Ure: 4,4mmol/l. Glucose: 6,7mmol/l; Creatinin: 56 micromol/l; Acid uric: 232 micromol/l; Calci: 2,49mmol/l; Bilirubin toàn phần: 9,6micromol/l; Bilirubin trực tiếp: 1,5 micromol/l; Bilirubin gián tiếp: 8,10 micromol/l

ASAT: 29U/l; ALAT: 36U/l; LDH: 159U/l; Cholestrerol toàn phần: 5,59mmol/l

Triglyceride: 1,40mmol/l; HDL-C: 1.07mmol/l; LDL-C: 3,38mmol/l; Natri: 144mmol/l; Kali: 3,3mmol/l; Clo : 102mmol/l ; Beta HCG: 0,7mU/l; Alfa FP: 1,79ng/ml;

CEA: 1,55ng/ml; CA19-9: 26,48U/ml; CA15-3: 9,15 U/ml; CA 125: 8,05U/ml; CA 72-4: 0,439U/ml; Cyfra 21-1:0,909ng/ml

+ Xét nghiệm đông máu: Tỷ lệ Prothrombin: 89,1%

+ Nhóm máu: B

+ Xét nghiệm vi sinh: Hbs Ag (-), HIV (-)

+ Xét nghiệm nước tiểu:

Leu : 25cells/ul; Protein : 1,5g/l; SG: 1,010; Glucose normal; PH =7; Nit (-); Ket (-); UBG normal; Ery (-); Bil (-)

+ Siêu âm ổ bụng: ngày 22 tháng 9 năm 2011: thận phải kích thước bình thường, nhu mô dày và đều bình thường. Đài bể thận giãn nhẹ, không có sỏi, niệu quản đoạn đầu 6mm

Thận trái kích thước bình thường, nhu mô dày và đều bình thường. Đài bể thận giãn đường kính 10mm, không có sỏi, niệu quản không giãn.

Tử cung to, có nhiều khối giảm âm to nhỏ không đều ranh giới khối không rõ nên không đo được kích thước

Kết luận siêu âm: hai thận ứ nước nhẹ, theo dõi u tử cung

+ Bệnh nhân được khám phụ khoa: không thấy dấu hiệu bất thường và được xét nghiệm tế bào học cổ tử cung kết quả cho thấy bình thường

+ Bệnh nhân được tiến hành chụp cộng hưởng từ tiểu khung để đánh giá. Kết quả cộng hưởng từ tiểu khung chụp ngày 22 tháng 9 năm 2011: không có dấu hiệu bất thường

+ Ngày 23 tháng 9 năm 2011 tiến hành chụp CT ổ bụng: Tổn thương tỷ trọng tổ chức dạng hạch thâm nhiễm quanh tĩnh mạch chủ bụng từ ngang mức đoạn tách của tĩnh mạch thận đến trên chỗ chia của tĩnh mạch đùi, bờ không đều, ranh giới không rõ, kích thước khoảng  65x70mm, ngấm thuốc sau tiêm.

Niệu quản trái: đoạn 1/3 trên giãn 10mm, 2/3 dưới không giãn, thuốc lưu thông bình thường xuống bàng quang, không có sỏi.

Kết luận: Hạch lớn quanh tĩnh mạch chủ dưới, giãn bể thận-niệu quản trái đoạn 1/3 trên

+ Siêu âm tim ngày 26 tháng 9 năm 2011:  Thành thất trái dày, buồng thất trái không giãn, chức năng tâm thu thất trái trong giới hạn bình thường

Kết quả chụp PET/CT ngày 27 tháng 9 năm 2011:

  • - Hạch rốn phổi phải đường kính 1,1cm tăng hấp thu F-18 FDG, max SUV 3,48 nghĩ đến hạch viêm
  • - Hạ phân thùy II-III gan trái có nang nhỏ đường kính 0,9cm, trong nhu mô không thấy có tổ chức tăng hấp thu F-18 FDG bất thường
  • - Sỏi đài giữa thận phải đường kính 0,3cm

Sỏi niệu quản trái đoạn 1/3 trên đường kính 0,3cm, giãn niệu quản trái

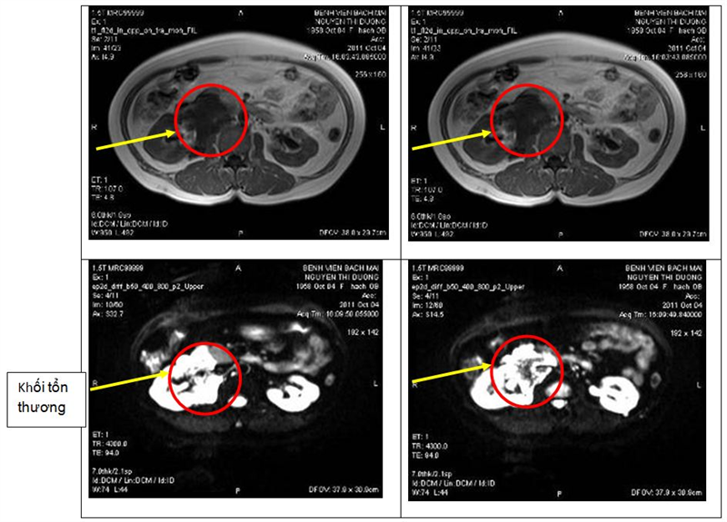
  • - Khối tổn thương xuất phát từ dưới đầu tụy kéo dài sát bờ trong thận phải ngang mức D12, kích thước 6x7x8cm và không tăng hấp thu F18-FDG
  • - Không có dịch tự do trong ổ bụng

+ Xét nghệm nước tiểu kiểm tra lại ngày 29-9-2011:

Leu (-); Protein (-); SG: 1,016; Glucose normal; PH =7; Nit (-); Ket (-); UBG (-); Ery 25 cells/ul; Bil (-)

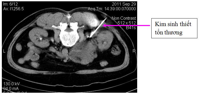
Ngày 29 tháng 9 sinh thiết u sau phúc mạc dưới hướng dẫn của chụp cắt lớp vi tính, cắt 4 mảnh làm sinh thiết

Bệnh nhân và gia đình bệnh nhân rất hoang mang lo lắng. Bệnh nhân đã được hội chẩn với bác sỹ chuyên khoa ngoại để xem xét khả năng phẫu thuật cắt u hoặc sinh thiết u. Ý kiến của các phẫu thuật viên: vì tổn thương trên hình ảnh cắt lớp vi tính rất rộng, ngay sát các mạch máu lớn nên phẫu thuật lấy hết tổn thương rất khó, nên tiến hành sinh thiết tổn thương

+ Chúng tôi quyết định sẽ sinh thiết tổn thương dưới hướng dẫn của chụp cắt lớp vi tính lần 2

Trước khi quyết định sinh thiết, các chuyên gia chẩn đoán hình ảnh đã xem xét lại và quyết định chụp cộng hưởng từ ổ bụng để đánh giá lại. Bệnh nhân được chụp cộng hưởng từ ngày 6/10/2011. Kết quả: Hình ảnh khối lớn có tính chất dịch ôm quanh rốn thận phải và ôm quanh tĩnh mạch chủ dưới kích thước khoảng 10cm, nghĩ tới u bạch mạch lành tính

+ Đến ngày 10/10 bệnh nhân sốt cao, nhiệt độ: 390, đau rát họng, ho khan

Họng viêm, nề đỏ

Phổi 2 bên rì rào phế nang rõ, không rales.

+ Xét nghiệm công thức máu ngày 10.10.2011: Hồng cầu:4,70 T/l; Hb: 138g/l

HCT: 0,389l/l. Bạch cầu: 5,57G/l; BC trung tính: 69,8% (3,89G/l); Tiểu cầu: 289G/l.

+ Xét nghiệm sinh hóa máu ngày 10/10: CRP: 1,0; Procalcitonin: 0,101

Bệnh nhân được dùng kháng sinh: Inbionet cefozim 1gx 2 lọ/ngày

Sau 2 ngày bệnh nhân hết sốt

Tiếp tục được dùng kháng sinh trong 10 ngày.

Ngày 20 tháng 10 năm 2011: tiến hành sinh thiết u lần 2 vào tổn thương sau phúc mạc lấy ra được 300ml dịch vàng chanh

Đặt stent dẫn lưu vào khối u, và bơm Betadin 10% vào khối u, lưu ống dẫn lưu.

Trong và sau thủ thuật bệnh nhân ổn định.

Sau 24 giờ tiến hành chụp CT ổ bụng đánh giá thấy hình ảnh dẫn lưu đặt đúng vị trí khối tổn thương u, có hình ảnh khí trong khối tổn thương.

Bệnh nhân được tiến hành rút ống dẫn lưu sau 24 giờ: trong 24 giờ qua sonde dẫn lưu lượng dịch ra thêm 20ml dịch vàng chanh

+ Kết quả xét nghiệm dịch hút được: soi tìm BK: âm tính

Cấy nấm : âm tính

PCR lao : âm tính

+ Nuôi cấy định dạng vi khuẩn: âm tính

+ Xét nghiệm sinh hóa dịch: Protein: 52,2g/l. Phản ứng Rivalta (+)

Bệnh nhân tiếp tục được theo dõi và điều trị cao huyết áp, đái tháo đường

Sau 1 tháng bệnh nhân được khám và kiểm tra lại: Qua thăm khám lâm sàng: bệnh nhân có thể trạng chung khá hơn trước, thỉnh thoảng còn đau nhẹ vùng mạng sườn trái, không sốt.

+ Xét nghiệm công thức máu ngày 24.11.2011:

Hồng cầu:4,45 T/l; Hb: 131g/l; HCT: 0,387l/l. Bạch cầu: 6,59G/l; BC trung tính: 48,1% (3,17G/l); Tiểu cầu: 368G/l

+ Xét nghiệm sinh hóa máu ngày 24 tháng 11 năm 2011:

Ure: 5,3mmol/l. Glucose: 6,7mmol/l; Creatinin: 45 micromol/l; Bilirubin toàn phần: 5,4micromol/l; Bilirubin trực tiếp: 2,2micromol/l; ASAT: 22U/l; ALAT: 31U/l; Cholestrerol toàn phần: 4,33mmol/l; Triglyceride: 0,98mmol/l; Natri: 134mmol/l; Kali: 3,7mmol/l; Clo : 100mmol/l

Bệnh nhân được chụp lại phim cắt lớp vi tính 64 dãy ổ bụng để đánh giá tình trạng bệnh cho thấy tổn thương u đã tan hết, không thấy hình ảnh khí và dịch trong nang, còn tồn tại vỏ nang. Không thấy rõ hình ảnh sỏi thận 2 bên, niệu quản 2 bên không giãn. Nang thận trái đường kính 1cm

Siêu âm ổ bụng: Sỏi thận phải ở nhóm đài giữa, kích thước 6mm, niệu quản giãn. Sỏi thận trái ở nhóm đài giữa, đường kính 9mm, đài bể thận trái giãn nhẹ, niệu quản không giãn.

Bệnh nhân sẽ tiếp tục được điều trị cao huyết áp, đái tháo đường định kỳ và tiếp tục theo dõi về tình trạng u bạch huyết định kỳ 3 tháng/lần trong năm đầu và 6 tháng /lần trong những năm tiếp theo. Hy vọng bệnh nhân sẽ ổn định bệnh lâu dài.

PGS. TS. Mai Trọng Khoa, Ths. Phạm Cẩm Phương, PGS. TS. Nguyễn Minh Thông, Ths. Ngô Lê Lâm

Trung tâm Y học hạt nhân và Ung bướu Bệnh viện Bạch Ma

Tin liên quan