PGS.TS. Mai Trọng Khoa, Bs. Nguyễn Xuân Thanh
Trung tâm Y học hạt nhân & Ung bướu, Bệnh viện Bạch Mai
Sau đây chúng tôi xin trình bày một trong nhiều trường hợp phì đại tuyến vú ở nam giới được chẩn đoán và điều trị tại Trung tâm Y học hạt nhân và Ung bướu Bệnh viện Bạch Mai:
Bệnh nhân: Nguyễn Văn H., nam 46 tuổi.
Lý do vào viện: sờ thấy khối u nhỏ ở dưới núm vú bên trái
Bệnh sử: Khoảng một năm nay bệnh nhân thấy xuất hiện khối u nhỏ dưới quầng vú trái, sờ không đau, không sưng nóng, không co kéo da vùng núm vú trái, không có hiện tượng tụt núm vú trái. Bệnh nhân không sốt, không đau ngực, không khó thở. Bệnh nhân đã khám và điều trị theo đơn thuốc của một phòng khám tư nhân nhưng không đỡ. Gần đây, bệnh nhân nhận thấy khối ở vú trái to lên nhiều hơn gây cảm giác phiền phức và lo lắng. Bệnh nhân đã được liên hệ qua trang web của Trung tâm y học hạt nhân và Ung bướu Bệnh viện Bạch Mai để đến khám và điều trị bệnh.
Lâm sàng:
- Triệu chứng cơ năng: khối u dưới quầng vú trái, mềm, ấn không đau.
- Triệu chứng toàn thân: không đau ngực, không khó thở, không sốt, không sút cân…
- Khám thực thể:
+ Khối u dưới quầng vú trái kích thước 5x6cm, không co kéo núm vú, không loét hay chảy dịch núm vú.
+ Vú phải không thấy khối bất thường.
+ Không sờ thấy hạch vùng cổ, hạch thượng đòn, hạch nách…
Cận lâm sàng:
- Công thức máu: bình thường
- Sinh hóa máu: các chỉ số về chức năng gan thận, đông máu trong giới hạn bình thường.
+ Nồng độ nội tiết tố nam giới: chưa thấy bất thường.
+ Các chất chỉ điểm khối u: trong giới hạn bình thường.
Chẩn đoán hình ảnh:
- Chụp mammography tuyến vú trái
Mammography tuyến vú trái: hình ảnh khối mật độ mềm dưới quầng vú trái, hình đuôi gai, nốt tuyến lan tỏa dưới núm vú, không có đám vi canxi.
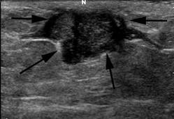
- Siêu âm tuyến vú:

Siêu âm tuyến vú trái: Hình ảnh tổ chức giảm âm dưới quầng vú trái, kích thước 5x5,4cm
Kết quả tế bào học: mô tuyến vú lành tính
Các xét nghiệm khác:
- XQ phổi: hiện tại chưa thấy dấu hiệu bất thường.
- Siêu âm bụng: hiện tại chưa thấy dấu hiệu bất thường .
- Chụp CT bụng: chưa phát hiện thấy hình ảnh bất thường.
Chẩn đoán xác định: Phì đại lành tính tuyến vú
Nguyên nhân: do tăng sản bất thường tại mô tuyến vú trái.
Hướng điều trị: Chỉ định phẫu thuật (điều trị nội khoa không được đặt ra do bệnh xuất hiện trên 1 năm nên điều trị nội khoa sẽ không hiệu quả, người bệnh là nam giới, trẻ bị ảnh hưởng về tâm lý khi mang trên mình khối vú trái đã lâu).
Điều trị cụ thể:
- Rạch da theo đường quầng vú trái, bóc tách tổ chức tuyến vú phì đại.
Hình ảnh phẫu thuật bóc tách khối phì đại tuyến vú nam