Đánh giá kết quả điều trị 1000 bệnh nhân u não và bệnh lý sọ não bằng phương pháp xạ phẫu dao Gamma quay tại Trung tâm Y học hạt nhân và ung bướu bệnh viện Bạch Mai (Phần III)

Ngày đăng: 13/09/2010 Lượt xem 4512
Mai Trọng Khoa, Trần Đình Hà, Lê Chính Đại, Nguyễn Quang Hùng, Vương Ngọc Dương,
Vũ Hữu Khiêm, Phạm Văn Thái, Trần Ngọc Hải, Phạm Cẩm Phương,
Ngô Trường Sơn, Đoàn Xuân Trường, Ngô Thùy Trang và cộng sự

Trung tâm Y học hạt nhân và Ung bướu, Bệnh viện Bạch Mai, Hà Nội

Bệnh nhân Đinh T , V, 52 tuổi, vào viện vì đau đầu nhiều, nôn, tê yếu nửa người trái, chẩn đoán u màng não nền sọ chèn ép thân não, dây thị giác. Bệnh nhân được xạ phẫu Gamma Knife liều 18 Gy. Trước điều trị: u màng não nền sọ to, kích thước 3,9 x 4,1 x 4,9 cm, u chèn ép thân não gây yếu tê nửa người trái, đau đầu nhiều, không có khả năng điều trị bằng phương pháp khác.



Sau xạ phẫu bằng dao gamma 24 tháng, u tan gần hết, bệnh nhân hết các triệu chứng đau đầu, tê, yếu nửa người trái; đi lại vận động bình thường.
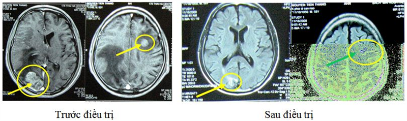
3. Tổn thương não do ung thư di căn
Bệnh nhân Nguyễn Văn Th, nam, 50 tuổi,
Chấn đoán: Ung thư phổi di căn não
Chỉ định: RGK liều 18Gy


Hình ảnh trước và sau điều trị 6 tháng. Trước điều trị: tổn thương não 2 ổ kích thước 3x4cm, 1x2 cm, phù não rộng. Bệnh nhân đau đầu nhiều. Sau điều trị 6 tháng: tổn thương gần như không còn, hết phù não.

Bệnh nhân Nguyễn Thị Hồng L, nữ, 54 tuổi
Chẩn đoán: NH Lymphoma đã điều trị hóa chất 6 đợt, xạ gia tốc 60Gy
Chỉ định: RGK liều 14 Gy

 
Trước điều trị, bệnh nhân đau đầu nhiều, kích thước u: 2x3 cm, bệnh nhân đã được điều trị hóa chất 6 đợt, xạ gia tốc 60Gy. Sau xạ phẫu RGK liều 14 Gy, lâm sàng cải thiện, giảm đau đầu, tổn thương gần như biến mất.

TÀI LIỆU THAM KHẢO

1. Buatti JM, Friedman WA, Bova FJ, et al: Treatment selection factors for stereotactic radiosurgery of intracranial metastases, Int J Radiat Oncol Biol Phys 32:1161-1166, 1995

2. Costas G, Hadjipanayis, M,D,, Douglas Kondziolka, M,D,, M,Sc,, John C, Flickinger, M,D,, L, Dade Lunsford, M,D: The Role of Stereotactic Radiosurgery for Low-Grade Astrocytomas, Neurosurg Focus, 2003;14(5)

3. E,A, Eisenhauera,*, P, Therasseb, J, Bogaertsc, L,H, Schwartzd, D, Sargente, R, Fordf, J, Danceyg, S, Arbuckh, S, Gwytheri, M, Mooneyg, L, Rubinsteing, L, Shankarg, L, Doddg, R, Kaplanj, D, Lacombec, J, Verweijk , New response evaluation criteria in solid tumor

4. Flickinger JC, Kondziolka D, Lunsford LD: Dose and diameter relationships for facial, trigeminal, and acoustic neuropathies following acoustic neuroma radiosurgery, Radiother Oncol 41:215 219, 1996

5. Flickinger JC, Lunsford LD, Kondziolka D: Dose prescription and dose-volume effects in radiosurgery, Neurosurg Clin N Am 3:51 59, 1992

6. Flickinger JC, Nelson PB, Martinez AJ, et al: Radiotherapy of nonfunctional adenomas of the pituitary gland, Results with long-term follow-up, Cancer 63:2409 2414, 1989

7. Flickinger JC: An integrated logistic formula for prediction of complications from radiosurgery, Int J Radiat Oncol Biol Phys 17:879 885, 1989

8. Foote KD, Friedman WA, Buatti JM, et al: Linear accelerator radiosurgery in brain tumor management, Neurosurg Clin N Am 10:203 242, 1999

9. Leksell L: The stereotaxic method and radiosurgery of the brain, Acta Chir Scand 102:316 319, 1951

10. Phan Sỹ An, Mai Trọng Khoa, Trần Đình Hà (2007): Dao gamma một công cụ xạ phẫu sọ não tiên tiến, Tạp chí y học lâm sàng,  Bệnh viện Bạch Mai.

MỘT SỐ HÌNH ẢNH MINH HỌA

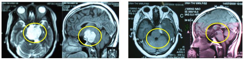
1. U tuyến yên

Bệnh nhân Trần Bích D, nữ 33 tuổi, vào viện vì đau đầu, nhìn mờ
Chụp MRI sọ não chẩn đoán u tuyến yên, chèn ép dây giao thoa thị giác,
Chỉ định xạ phẫu RGK, liều 14Gy



2. U màng não
Bệnh nhân Nguyễn Đ, T, nam, 32 tuổi
Chẩn đoán: U màng não
Chỉ định: xạ phẫu bằng RGK, liều 20 Gy


Tin liên quan