Lập kế hoạch xạ trị ung thư vòm họng trên PET/CT mô phỏng

Ngày đăng: 16/12/2012 Lượt xem 9899
Xạ trị là phương pháp điều trị cơ bản đối với ung thư vòm họng. Xạ trị triệt căn đơn thuần hoặc kết hợp hóa chất với bệnh giai đoạn sớm. Xạ trị triệu chứng giảm nhẹ cho các bệnh nhân giai đoạn muộn.

Mai Trọng Khoa, Trần Hải Bình và CS

                             Trung tâm Y học hạt nhân và Ung bướu-Bệnh viện Bạch Mai

Ung thư vòm họng (UTVH) là bệnh lý ác tính thường gặp nhất trong số các ung thư vùng đầu mặt cổ. Tỷ lệ mắc khác nhau giữa các vùng địa lý. Bệnh gặp phổ biến nhất ở miền nam Trung quốc, Hồng Kông với tỷ lệ từ 20 - 30 /100.000 dân, tiếp theo đến các nước các nước vùng bắc Phi, vùng Caribe và Đông Nam Á, trong đó có Việt Nam cũng là nước có tỷ lệ mắc ung thư vòm họng cao. Theo Ung thư Hà Nội năm 2002, UTVH đứng hàng thứ 5 ở nam giới, với tỷ lệ 7,4/100.000 dân; đứng hàng thứ 8 ở nữ với lệ 4,7/100.000 dân.

Triệu chứng hay gặp là nổi hạch cổ (thường là hạch góc hàm, hạch to, rắn, chắc, không đau), ngạt mũi, chảy máu mũi, ù 1 bên tai, ...

Chẩn đoán bệnh bao gồm: nội soi vòm mũi họng, sinh thiết u vòm, chọc tế bào hạch cổ, sinh thiết hạch, chụp CT, MRI vòm họng, xạ hình xương, ... và đặc biệt là chụp PET/CT (chỉ 1 lần chụp PET/CT toàn thân xác định được tổn thương vòm, hạch di căn và biết được di căn xa đến các cơ quan khác hay không, giúp đánh giá chính xác giai đoạn bệnh)

Xạ trị là phương pháp điều trị cơ bản đối với ung thư vòm họng. Xạ trị triệt căn đơn thuần hoặc kết hợp hóa chất với bệnh giai đoạn sớm. Xạ trị triệu chứng giảm nhẹ cho các bệnh nhân giai đoạn muộn.

Ở nước ta đang có một số loại máy xạ trị: máy Cobalt-60 và máy xạ trị gia tốc (LINAC). Máy xạ trị gia tốc có ưu điểm hơn là có hai loại bức xạ là photon và electron với nhiều mức năng lượng khác nhau cho phép điều trị các tổn thương có độ nông sâu khác nhau.

Để bệnh nhân được xạ trị cần qua các bước sau: chụp mô phỏng (CT mô phỏng hoặc PET/CT mô phỏng), lập kế hoạch xạ trị trên phần mềm, kiểm tra chất lượng kế hoạch xạ trên phantom, nếu kế hoạch đạt tiêu chuẩn chuyển sang máy xạ trị gia tốc và tiến hành chiếu tia xạ cho bệnh nhân.

a)Chụp mô phỏng:

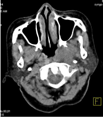
Mô phỏng tốt nhất trên PET/CT với hệ thống laser định vị 3 chiều. Vì PET/CT ghi hình dựa trên sự tập trung cao thuốc phóng xạ FDG vào các tế bào ung thư, cho hình ảnh chuyển hóa của khối u, sớm, chính xác hơn hình ảnh giải phẫu của CT đơn thuần (hình 1), xác định được mức độ xâm lấn của u cũng như phát hiện những di căn hạch kể cả với kích thước nhỏ ở mức độ phân tử, mức độ tế bào từ đó cho phép xác định thể tích xạ trị cũng như việc lập kế hoạch xạ trị được triệt để nhất (hình 2). Khi chụp mô phỏng: bệnh nhân trong tư thế nằm ngửa, cổ ưỡn sao cho đường thẳng giữa cằm - xương chũm vuông góc với mặt bàn; đầu bệnh nhân được giữ cố định bằng mặt nạ, tổng hợp từ loại chất dẻo đặc biệt.

 


Hình ảnh CT mô phỏng khó xác định được vị trí khối u    


Hình ảnh PET/CT mô phỏng thấy rõ khối u vòm

Hình 1: Hình CT và PET/CT mô phỏng ung thư vòm.


 


Trên lâm sàng và CT không phát hiện được hạch cổ. Nên kế hoạch điều trị là: xạ trị đơn thuần, với tổng liều vào u vòm là 70 Gy, vào vùng cổ 2 bên 50 Gy.


Trên PET/CT phát hiện hạch di căn vùng cổ trái, nên đã thay đổi giai đoạn bệnh, và làm thay đổi kế hoạch điều trị: xạ trị kết hợp hóa chất, tổng liều vào u vòm: 70Gy, liều vào hạch vùng cổ trái: 70Gy, dự phòng vùng cổ phải: 50Gy.

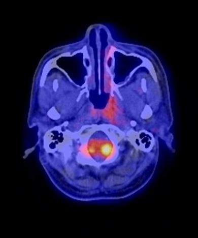
Hình 2: Hình ảnh PET/CT phát hiện thêm được hạch cổ phải, CT bỏ sót không thấy

Do PET/CT có độ nhạy và độ đặc hiệu cao hơn nhiều so với CT (khoảng 30% hạch cổ di căn mà lâm sàng và CT bỏ sót), nên đã làm thay đổi giai đoạn bệnh và từ đó làm thay đổi thái độ điều trị cho người bệnh.

b)Lập kế hoạch xạ trị:

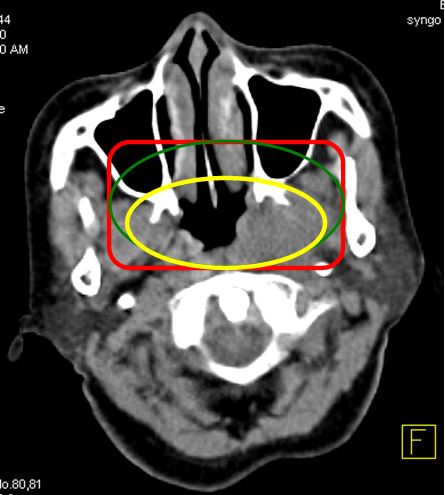
* Sau khi chụp, toàn bộ hình ảnh mô phỏng sẽ được chuyển sang hệ máy tính lập kế hoạch điều trị -TPS qua cổng DICOM. Các bác sỹ xạ trị xác định các thể tích xạ trị: GTV (thể tích khối u thô) trên hình CT mô phỏng, CTV (thể tích bia lâm sàng) và PTV (thể tích lập kế hoạch xạ trị). Trên hình PET/CT mô phỏng sẽ xác định được BTV (thể tích khối u sinh học) và các cơ quan cần bảo vệ (hình 3).

2


Trên hình CT mô phỏng xác định được:

-         GTV (màu vàng)

-         CTV (màu xanh lá cây)

-         PTV (màu đỏ)



Trên hình PET/CT mô phỏng xác định được:

-         BTV (màu vàng)

-         CTV (màu xanh lá cây)

-         PTV (màu đỏ)


Hình 3: Các thể tích xạ trị được vẽ trên hình CT và PET/CT mô phỏng.

- GTV: là các tổn thương U và hạch di căn được xác định trên lâm sàng và chẩn đoán hình ảnh CT, MRI.

- BTV: các tổn thương u và hạch di căn xác định được trên hình PET/CT mô phỏng (tăng hấp thu FDG với giá trị SUV > 2,5)

Lưu ý: BTV trên PET/CT chỉ thay thế GTV. Còn các thể tích khác vẫn phải tuân theo bệnh học.

- CTV: bao gồm các tổ chức xung quanh có nguy cơ cao bị tế bào ung thư xâm lấn

3 CTV gồm CTV liều cao CTV70, CTV nguy cơ cao CTV60, CTV dự phòng CTV50.

- Xác định các cơ quan cần bảo vệ với liều giới hạn dưới mức cho phép.

+ Giới hạn của tuỷ sống là 45 Gy

+ Thân não (54) Gy

+ Dây thị 50-55 Gy, giao thoa thị giác 54 Gy

+ Khớp thái dương hàm 70 Gy,

+ Liều trung bình tuyến mang tai 26 Gy, thực quản là 60 Gy.

+ Có thể xác định thêm các cơ quan khác như khoang miệng, thanh quản hạ họng... để tối ưu hóa liều vào tổn thương và giảm liều ở các cơ quan này

Mục tiêu

Xác định thể tích

Liều chỉ định

GTV hoặc BTV

CTV1 = khối u vùng vòm nguyên phát và hạch cổ di căn + ít nhất 5 mm đường biên, trừ vùng gần cơ quan nguy cấp như thân não, tuỷ sống, dây thị có thể gần hơn

PTV1 (70 Gy) = 5 mm theo tất cả các hướng từ CTV1, trừ vùng gần cơ quan nguy cấp và rào cản tự nhiên. Đây là sai số hệ thống và sai lệch trong quá trình đặt bệnh nhân.

Vùng nguy cơ cao

CTV2 = các tổ chức lân cận bao gồm toàn bộ vùng vòm, phần dưới xoang bướm, clivus, thành sau họng, khoang cạnh họng, 1/3 sau xoang hàm, ½ sau hốc mũi và nhóm hạch có nguy cơ cao: hạch sau họng 2 bên, hạch nhóm II, III, và Va (CTV2 đương nhiên gồm CTV1)

PTV2 (60 Gy*) = 5 mm theo tất cả các hướng từ CTV2 trừ nơi gần các cơ quan quan trọng như thân não khoảng cách có thể gần hơn.

*PTV2 bao gồm cả PTV1 theo tất cả các hướng

Vùng nguy cơ thấp

CTV3, bao gồm hạch cảnh thấp và hạch thượng đòn

PTV3 (50 Gy) có thể thực hiện bằng 2 trường chiếu trước sau riêng biệt, hoặc cũng có thể áp dụng kỹ thuật IMRT


* Xác định số trường chiếu, góc chiếu, số lượng các trường chiếu chia nhỏ (segments), năng lượng chùm tia 6 MV hay 15 MV. Số lượng các trường chiếu tuỳ thuộc từng trường hợp cụ thể và kỹ thuật xạ trị lựa chọn. Có thế lập kế hoạch xạ trị 3D hoặc xạ trị điều biến liều - IMRT (Intensity Modulated Radiation Therapy) - tập trung liều bức xạ cao nhất vào tổn thương (khối u, hạch...) và thấp nhất vào tổ chức lành xung quanh (cơ quan cần bảo vệ), giảm biến chứng xạ trị. Xạ trị điều biến liều trên hình PET/CT mô phỏng hiện nay là kỹ thuật tiên tiến nhất, mang lại hiệu quả điều trị cao và giảm biến chứng xạ trị tối đa cho người bệnh.

      * Tổng liều -Phân liều

- Cho cả 3 D và IMRT. Theo các mức 50Gy cho CTV3; 60Gy cho CTV2; 70Gy cho CTV1; 2Gy/phân liều, 5buổi/tuần, trong 7 tuần.

- Phân liều SIB cho IMRT theo RTOG 0615 (Radiation Therapy Oncology Group 0615): CTV70 = 2.12/70 Gy, CTV56-59.4 = 1.8/56–59.4Gy, CTV54 1.64/54 Gy 33 phân liều, 5buổi/tuần, trong 6,5 tuần. Hoặc 65Gy cho CTV1, 60Gy CTV2, 54Gy CTV3 /30phân liều, 5 buổi/tuần, trong 6 tuần.

c) Kiểm tra kế hoạch xạ trị trên phantom: sai số cho phép <3%.

d) Tiến hành xạ trị với máy xạ trị gia tốc.


Tại Trung tâm Y học hạt nhân và Ung bướu Bệnh viện Bạch Mai lần đầu tiên tại Việt Nam ứng dụng chụp PET/CT mô phỏng và lập kế hoạch xạ trị cho các bệnh nhân ung thư các loại trong đó có ung thư vòm họng từ năm 2009. Đến nay có hàng trăm bệnh nhân được điều trị thành công với kỹ thuật này. Hiện tại chúng tôi đã có được phần mềm lập kế hoạch xạ trị 3D và IMRT trên hình ảnh CT mô phỏng và PET/CT mô phỏng bằng tiếng Việt, tạo thuận lợi cho các nhà xạ trị lập kế hoạch tốt hơn (hình 4 - 10)

 
 
Hình 4: Xác định BTV (u và hạch cổ) trên hình PET/CT mô phỏng bằng phần mềm tiếng Việt.

 
Hình 5: Đặt các trường chiếu, các segments trong kế hoạch xạ trị 3D

 
Hình 6: Đặt các trường chiếu, segments và tính liều trong kế hoạch xạ trị IMRT.


Kiểm tra bản đồ đồng liều


Kiểm tra liều trên hình ảnh 3D


 

Kiểm tra liều trên DVH: liều vào GTV, CTV, các cơ quan cần bảo vệ. So sánh giữa kế hoạch 3D và IMRT: đường liền nét là đường đồng liều của kế hoạch IMRT, đường đứt nét là đường đồng liều của kế hoạch xạ trị 3D. Nhận thấy rõ là trong kế hoạch IMRT, đường liều vào GTV và CTV tốt hơn kế hoạch 3D, liều vào các cơ quan cần bảo vệ đều thấp hơn hẳn so với kế hoạch 3D.

Hình 7: Đặt các trường chiếu, tính liều, kiểm tra trên bản đồ đồng liều, hình 3D và DVH.



Trước điều trị: khối u vòm lớn tăng hấp thu FDG mạnh.





Sau điều trị: u tan hết, không thấy tổ chức tăng hấp thu FDG vùng vòm.

Hình 8: Bệnh nhân Trịnh Thị Thúy L., nữ, 44 tuổi, vào viện vì đau đầu, chảy máu mũi, được chẩn đoán là K vòm T2N1M0, UTBM không biệt hóa. Được điều trị: PET/CT mô phỏng lập kế hoạch xạ trị IMRT (7 trường chiếu, 43 segments). Sau điều trị hết đau đầu và chảy máu mũi.



Trước điều trị: khối u thành vòm trái tăng hấp thu FDG mạnh: max SUV=14,3.


Sau điều trị: u tan hết, còn viêm nhẹ thành vòm sau xạ trị, max SUV=2,1.


Hình 9: Bệnh nhân Trương M. D., 52 tuổi, vào viện vì ngạt mũi trái, chảy máu mũi, được chẩn đoán là K vòm T2N1M0, UTBM không biệt hóa. Được điều trị: PET/CT mô phỏng lập kế hoạch xạ trị IMRT (7 trường chiếu, 49 segments). Sau điều trị bệnh khỏi hoàn toàn.

 

Hình 10: Bệnh nhân Đỗ V.Th., nam, 51 tuổi. Vào viện vì xì máu mũi, được chẩn đoán là K vòm T2N0M0, UTBM không biệt hóa. Được điều trị: PET/CT mô phỏng lập kế hoạch xạ trị IMRT (7 trường chiếu, 35 segments). Sau điều trị bệnh khỏi hoàn toàn. (2 hình ở trên: hình PET/CT và MIP của bệnh nhân sau điều trị không phát hiện tổn thương nào; 2 hình ở dưới: hình PET/CT và MIP của bệnh nhân trước điều trị thấy khối u thành vòm phải tăng hấp thu FDG mạnh).

Tin liên quan