CASE LÂM SÀNG: VAI TRÒ CỦA PET/CT TRONG ĐÁNH GIÁ GIAI ĐOẠN TRƯỚC ĐIỀU TRỊ Ở BỆNH NHÂN UNG THƯ PHỔI TẠI TRUNG TÂM YHHN VÀ UNG BƯỚU BỆNH VIỆN BẠCH MAI

Ngày đăng: 20/01/2026 Lượt xem 273

CASE LÂM SÀNG:

VAI TRÒ CỦA PET/CT TRONG ĐÁNH GIÁ GIAI ĐOẠN TRƯỚC ĐIỀU TRỊ Ở BỆNH NHÂN UNG THƯ PHỔI TẠI TRUNG TÂM YHHN VÀ UNG BƯỚU BỆNH VIỆN BẠCH MAI

GS. TS. Mai Trọng Khoa, PGS. TS. Phạm Cẩm Phương, BS. Lê Viết Nam, BSNT. Mai Thị Chung.

Trung tâm Y học hạt nhân và Ung bướu, Bệnh viện Bạch Mai

Theo thống kê của GLOBOCAN 2022 trên toàn thế giới ước tính có khoảng 19,9 triệu ca ung thư mới và 9,7 triệu ca tử vong. Tại Việt Nam, cụ thể năm 2022, tỷ lệ mắc ung thư phổi xếp thứ 2 so với các bệnh ung thư với số liệu lần lượt 170,007 ca. Ung thư phổi không tế bào nhỏ (UTPKTBN) là loại ung thư phổi thường gặp nhất, chiếm khoảng 80% tổng số ung thư phổi. Ở nước ta hiện nay, rất nhiều bệnh nhân ung thư phổi được chẩn đoán khi đã ở giai đoạn muộn.

Hiện nay y học đã có nhiều tiến bộ trong chẩn đoán và điều trị ung thư phổi, đặc biệt là sự phát triển của các kĩ thuật và các xét nghiệm y học hiện đại như các xét nghiệm phát hiện đột biến gen, các kĩ thuật chẩn đoán hình ảnh: SPECT, SPECT/CT, PET/CT, … giúp cho việc chẩn đoán và đánh giá giai đoạn trước điều trị chính xác hơn. Từ đó tạo điều kiện cho việc lựa chọn các phương pháp điều trị và tiên lượng một cách hiệu quả hơn cho người bệnh.

Trong sự phát triển mạnh mẽ của kĩ thuật chẩn đoán hình ảnh không thể không nhắc tới PET/CT. PET/CT là sự kết hợp giữa PET và CT trên cùng một hệ thống mà trên đó thông tin về hình ảnh giải phẫu trùng khớp với thông tin về chức năng của người bệnh. Điều đó có nghĩa là hình ảnh PET/CT cho ta biết chính xác về vị trí giải phẫu và đặc điểm tổn thương với các hình ảnh biến đổi về mặt chuyển hóa ở giai đoạn rất sớm trong cơ thể bệnh nhân.

Chụp cắt lớp vi tính (CT) đóng vai trò quan trọng trong bước đầu xác định giai đoạn bệnh ung thư phổi, giúp cung cấp các hình ảnh chi tiết về hình thái học nhưng kém trong việc phân biệt các tổn thương lành và ác tính của hạch và các cơ quan khác thương hay bắt gặp di căn như: tuyến thượng thận,xương, gan, … Nhưng PET/CT sử dụng FDG-18 có thể phát hiện hạch trung thất và các di căn ngoài lồng ngực với tỉ lệ cao, giúp tăng độ chính xác và độ đặc hiệu trong chẩn đoán giai đoạn ung thư phổi.

Dưới đây là trường hợp lâm sàng thể hiện vai trò và giá trị của việc sử dụng kĩ thuật PET/CT trong đánh giá giai đoạn trước điều trị tại Tại Trung tâm Y học hạt nhân và Ung bướu – Bệnh viện Bạch Mai.

Họ và tên:    Nguyễn Quang H.                    Giới:  Nam              Tuổi: 67

Lí do vào viện: khó thở

Bệnh sử:

Cách vào viện 3 tháng, bệnh nhân mệt mỏi nhiều, khó thở tăng khi vận động, gầy sút 4kg/ 2 tháng, bệnh nhân không sốt, đi khám tại Bệnh viện đa khoa tỉnh Hòa Bình, chụp X-quang ngực thẳng phát hiện u phổi trái

Chuyển Trung tâm Y học hạt nhân và Ung bưới, Bệnh viện Bạch Mai tiếp tục điều trị

Tiền sử:

  • Hen phế quản: 3 năm, đang điều trị Salmeterol + Fluticasone Propionate 
  • Nhịp nhanh: đang điều trị Ivabradine 
  • Hút thuốc nhiều năm

 Khám vào viện:

-         Bệnh nhân tỉnh

-         PS1 (bệnh nhân có triệu chứng nhưng vẫn đi lại được)

-         Thể trạng trung bình: chiều cao 168cm, cân nặng 63kg, chỉ số khối cơ thể (BMI):22.3 (kg/cm2)

-         Da niêm mạc hồng, không phù, không xuất huyết dưới da

-         Hạch ngoại biên: không sờ thấy

-         Tim mạch: nhịp tim đều, rõ, không có tiếng tim bệnh lý

-         Hô hấp: phổi thông khí rõ, không phát hiện tiếng rale bất thường

-         Tiêu hóa: bụng mềm, gan lách không sờ thấy

-         Thần kinh: không đau đầu, không yếu liệt

-         Các cơ quan bộ phận khác chưa phát hiện bất thường

Cận lâm sàng:

-         Công thức máu, sinh hóa máu, đông máu cơ bản trong giới hạn bình thường

-         Chất chỉ điểm u:

+ CEA: 4.8 ng/L (bình thường <5.0ng/mL)

+ Cyfra 21-1: 2.34 (bình thường <2.37)

Chẩn đoán hình ảnh:

-         Siêu âm vùng cổ: Không phát hiện hạch bất thường vùng cổ

-         Chụp cắt lớp vi tính (CT) ngực:

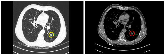
Hình 1: Hình ảnh nốt đặc thùy dưới phổi trái kích thước 10x14mm trên của sổ nhu mô (vòng tròn màu vàng) và cửa sổ trung thất (vòng tròn màu đỏ)

 

Hình 2: Hình ảnh hạch trung thất ở cửa sổ chủ phổi (vòng trong màu đỏ), kích thước 8x11mm, mất cấu trúc rốn hạch          

Chụp cắt lớp vi tính(CT) ổ bụng: không phát hiện bất thường

Chụp cộng hưởng từ (MRI) sọ não: không phát hiện bất thường

Sinh thiết u phổi và nhuộm hóa mô miễn dịch: Ung thư biểu mô tuyến tại phổi.

EGFR (-), ALK (-), PDL-1: 3%

Đo chức năng hô hấp: các thông số trong giới hạn bình thường

Nội soi dạ dày – đại trực tràng: không phát hiện bất thường


Hình 3: Hình ảnh chụp PET ở mặt phẳng coronal (bên trái) và sagittal (bên phải) thấy hình ảnh tổn thương ở phổi trái, xương ức, xương cánh chậu phải, tăng chuyển hóa FDG.


Hình 4: Hình ảnh tổn thương u phổi thùy dưới phổi trái kích thước 10x15mm trên CT (vòng tròn màu vàng) và PET/CT (vòng tròn màu đỏ) tăng chuyển hóa FDG (SUVmax: 9,8)


Hình 5: Hình ảnh hạch trung thất ở cửa sổ chủ phổi đường kính 7mm trên CT (vòng tròn màu vàng) và PET/CT (vòng tròn màu đỏ) tăng chuyển hóa FDG (SUVmax: 2,69)


Hình 6: Hình ảnh CT cấu trúc bình thường (bên trái) và hình ảnh tăng hoạt tính phóng xạ ở xương ức trên PET/CT (vòng tròn màu đỏ) (SUVmax: 18,1)


Hình 7: Hình ảnh CT cấu trúc bình thường (bên trái) và hình ảnh tăng hoạt tính phóng xạ ở xương chậu phải trên PET/CT (vòng tròn màu đỏ) (SUVmax:7,84)

Chẩn đoán:

Ung thư biểu mô tuyến phổi trái, cT1N2M1,di căn xương, giai đoạn IV, EGFR (-), ALK (-) /Hen phế quản/ Rối loạn nhịp nhanh

Hướng điều trị: Liệu pháp toàn thân

Lời bàn:

-         Như vậy đây là trường hợp bệnh nhân ung thư phổi với mô bệnh học: ung thư biểu mô tuyến, với kích thước tổn thương nguyên phát nhỏ, trên hình ảnh CT ngực thấy hình ảnh hạch trung thất ở cửa sổ chủ phổi và không phát hiện các tổn thương nghi ngờ thứ phát tại các cơ quan khác.

-         Sau khi chụp PET/CT để đánh giá giai đoạn trước điều trị phát hiện tổn thương thứ phát tại xương ức và xương chậu phải, dù trên hình ảnh CT không phát hiện sự biến đổi về mặt cấu trúc tương ứng với vị trí các xương này. Về mặt lý thuyết sự biến đổi về mặt chức năng thường xảy ra trước khi có sự biến đổi về mặt cấu trúc với thời gian khoảng 6 tháng.

-         Việc ghi hình PET/CT giúp phát hiện và định vị chính xác vị trí tổn thương di căn từ đó giúp xác định chính xác giai đoạn bệnh. Đối với trường hợp bệnh nhân trên nếu chỉ dựa trên kết quả chụp chiếu CT đơn thuần sẽ bỏ sót các tổn thương thứ phát ở xương. Việc chụp PET/CT giúp phát hiện các tổn thương di căn tại vị trí xương ức và xương chậu dẫn tới sự thay đổi về hướng điều trị, cu thể trên bệnh nhân này không còn chỉ định phẫu thuật hay xạ trị triệt căn nữa và sẽ tiến hành điều trị toàn thân và chăm sóc giảm nhẹ.

-         Việc xác định một cách chính xác giai đoạn bênh không chỉ có ý nghĩa trong việc lựa chọn phương pháp điều trị mà còn giúp cho việc đưa tiên lượng cho bệnh nhân chính xác hơn.


Tin liên quan