Ca lâm sàng: Điều trị hóa chất tân bổ trợ ung thư vú giai đoạn sớm tại Trung tâm Y học hạt nhân và Ung bướu – Bệnh viện Bạch Mai

Ngày đăng: 20/01/2026 Lượt xem 613

Ca lâm sàng:

Điều trị hóa chất tân bổ trợ ung thư vú giai đoạn sớm tại Trung tâm Y học hạt nhân và Ung bướu – Bệnh viện Bạch Mai

GS. TS. Mai Trọng Khoa, PGS. TS. Phạm Cẩm Phương, Ths. Lê Văn Long, BSNT. Vũ Mạnh Cường  

Trung tâm Y học hạt nhân và Ung bướu - Bệnh viện Bạch Mai

Trường Đại học Y Dược - Đại học Quốc Gia Hà Nội

Ung thư vú là bệnh ung thư phổ biến nhất ở phụ nữ tại nhiều quốc gia trên thế giới và là nguyên nhân gây tử vong hàng đầu trong số các nguyên nhân gây tử vong do ung thư ở nữ giới [1]. Theo số liệu từ GLOBOCAN 2022, ung thư vú hiện là loại ung thư phổ biến nhất toàn cầu với khoảng 2,3 triệu trường hợp mắc mới mỗi năm (chiếm 11,6% tổng số ca ung thư) và gây ra hơn 670.000 ca tử vong (tương đương 6,9% tổng tử vong do ung thư). Tại Việt Nam, ung thư vú đứng đầu về số ca mắc mới với 24.563 trường hợp (13,6%), và là nguyên nhân tử vong do ung thư đứng thứ tư với 10.008 ca tử vong (8,3%) trong năm 2022 [2].

Việc điều trị ung thư vú hiện nay là sự phối hợp giữa các phương pháp điều trị tại chỗ - tại vùng (phẫu thuật, xạ trị) và các phương pháp toàn thân (hóa trị, nội tiết, miễn dịch). Với quan điểm ung thư vú là một bệnh lý toàn thân ngay từ giai đoạn sớm,các phương pháp điều trị hệ thống ngày càng đóng vai trò quan trọng. Hóa trị tân bổ trợ (Neoadjuvant Chemotherapy - NAC) thường được sử dụng cho bệnh nhân ung thư vú không chỉ ở giai đoạn tiến triển tại chỗ mà còn ở bệnh nhân giai đoạn đầu, đặc biệt là những bệnh nhân có tiên lượng xấu với khối u ba âm tính và HER2 dương tính. Điều trị hóa chất kết hợp kháng thể đơn dòng kháng HER2 là tiêu chuẩn vàng cho bệnh nhân có thụ thể HER2 dương tính, đặc biệt trastuzumab là thuốc điều trị đầu tay. Vai trò của trastuzumab trong điều trị tân bổ trợ ung thư vú đã được chứng minh giúp nâng cao đáng kể hiệu quả điều trị, tăng tỷ lệ đáp ứng toàn bộ, tăng tỷ lệ đáp ứng trên lâm sàng và tỷ lệ đáp ứng hoàn toàn trên mô bệnh học [3] [4] [5]. Đồng thời trastuzumab làm tăng đáng kể thời gian sống không bệnh lên 34%, giảm tỷ lệ tử vong 40% so với nhóm chứng không được điều trị bổ trợ với trastuzumab [6] [7]. Việc đánh giá đáp ứng lâm sàng và mô bệnh học sau điều trị tân bổ trợ là yếu tố tiên lượng quan trọng,hỗ trợ quyết định chiến lược điều trị tiếp theo.

Sau đây, chúng tôi xin trình bày một trường hợp lâm sàng bệnh nhân Ung thư vú giai đoạn sớm có thụ thể HER2 dương tính, được điều trị tân bổ trợ, đáp ứng tốt tại Trung tâm Y học hạt nhân và ung bướu - Bệnh viện Bạch Mai.

Họ và tên: TRAN THI NH.                       Giới: Nữ                         Tuổi: 66

Ngày vào viện: 10/12/2024

Lý do vào viện: sờ thấy khối ở vú phải

Bệnh sử: Cách vào viện 1 tháng, bệnh nhân tự sờ thấy khối u bên vú phải, không đau, không sưng, không nóng đỏ. Bệnh nhân không sốt, không đau đầu, không đau xương, không gầy sút cân, đại tiểu tiện bình thường. Bệnh nhân đi khám được siêu âm, chụp Xquang tuyến vú hai bên cho kết quả hình ảnh nghi ngờ, sinh thiết tổn thương vú phải với kết quả giải phẫu bệnh là Ung thư biểu mô, xâm nhập, NST, độ II. Bệnh nhân được chuyển Trung tâm Y học hạt nhân và Ung bướu, Bệnh viện Bạch Mai điều trị.

Tiền sử: 

- Bản thân:

+ Nội khoa: Viêm gan B điều trị ổn định

+ Ngoại khoa: Chưa ghi nhận bệnh lý liên quan

+ Sản khoa: Mãn kinh năm 53 tuổi

- Gia đình: Chưa ghi nhận bệnh lý liên quan

Khám lâm sàng:

Bệnh nhân tỉnh

Toàn trạng PS 0

Huyết động ổn

Da niêm mạc hồng

Không sốt

Hạch ngoại vi không sờ thấy

Vú phải: cân đối, không loét vú, không nóng đỏ, nhu mô vị trí 12 giờ - 13 giờ, ngay dưới núm có 1 khối kích thước 1x2cm, ranh giới không rõ, mật độ chắc, không di động, ấn đau.

Vú trái: cân đối, không sờ thấy khối

Tim đều, T1 T2 rõ

Phổi thông khí tốt, không rales

Bụng mềm, không chướng

Các cơ quan khác chưa phát hiện bất thường

Cận lâm sàng:

- Công thức máu: RBC 4,3T/L;Hb: 133 g/l; WBC 5,98 G/L; PLT: 329 G/L (trong giới hạn bình thường)

- Sinh hóa máu: Creatinin: 63μmol/l; AST 26 U/L; ALT: 20 U/L (trong giới hạn bình thường)

- Chất chỉ điểm khối u (Tumor marker): CEA: 2,91 ng/mL, CA 15-3:14,7UI/ml (trong giới hạn bình thường)

- Xquang tuyến vú: Vú phải vị trí 1/4 trên ngoài có hình ảnh đám tăng đậm độ bất xứng khu trú, bên trong có nốt vôi hóa đa hình rõ (BIRADS4). Hiện không thấy bất thường tuyến vú trái trên Xquang (BIRADS 1)


Hình 1:
 Hình Xquang tuyến vú: Vú phải vị trí 1/4 trên ngoài có hình ảnh đám tăng đậm độ bất xứng khu trú, bên trong có nốt vôi hóa đa hình rõ (vòng tròn màu cam).
- Siêu âm tuyến vú: Hình ảnh các nốt giảm âm 1/4 trên ngoài vú phải, lớn nhất kích thước 8x12,9mm, bờ thùy múi, có xu hướng lan theo ống tuyến kèm theo có thành phần nang bên trong.


Hình 2: Hình ảnh siêu âm tuyến vú: Hình ảnh nốt giảm âm 1/4 trên ngoài vú phải (BIRADS 4) (mũi tên màu đỏ).
- Siêu âm tim: kích thước và chức năng tâm thu thất trái trong giới hạn bình thường.

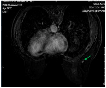
- Cộng hưởng từ tuyến vú có tiêm tương phản: Hình ảnh đám ngấm thuốc trung tâm vú phải, không tạo thành khối, dài 43mm, vùng tổn thương 15x15mm, trung tâm tổn thương dưới núm vú 22mm, nhưng tổn thương ngấm thuốc tới tận núm vú, núm vú ngấm thuốc mạnh (BIRADS 6). Tổn thương chưa xâm lấn cơ thành ngực. Hạch trong nhu mô vú phải vị trí 8h, cách núm vú 6cm, kích thước 4x6mm,ngấm thuốc từ từ tăng dần. Không thấy bất thương vú trái (BIRADS 1).


Hình 3:
 Hình ảnh cộng hưởng từ tuyến vú có tiêm tương phản. Hình ảnh đám ngấm thuốc trung tâm vú phải đã lan tới núm vú (BIRADS 6) (mũi tên màu xanh dương).

Hình 4: Hình ảnh cộng hưởng từ tuyến vú có tiêm tương phản. Hình ảnh Hạch trong nhu mô vú phải vị trí 8h (BIRADS 3) (mũi tên màu xanh lá).

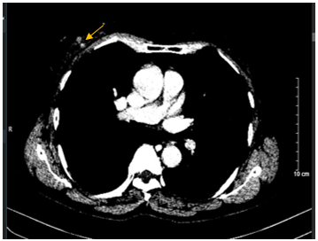
- Cắt lớp vi tính lồng ngực: Không phát hiện tổn thương tổn thương phổi bất thường. Vú phải có nốt ngấm thuốc vị trí 12 giờ-13 giờ, kích thước 10x12mm.


Hình 5: Hình ảnh cắt lớp vi tính lồng ngực: Hình ảnh vú phải có nốt ngấm thuốc vị trí 12 giờ -13 giờ, kích thước 10x12mm (mũi tên màu vàng).

- Cắt lớp vi tính ổ bụng: Không phát hiện tổn thương bất thường.

- Cộng hưởng từ sọ não: Không phát hiện tổn thương bất thường.

- Sinh thiết vú phải dưới hướng dẫn của siêu âm cho kết quả:

Giải phẫu bệnh: Ung thư biểu mô, xâm nhập, NST, độ II

Hóa mô miễn dịch: Hình ảnh mô bệnh học và hóa mô miễn dịch phù hợp với Ung thư biểu mô, xâm nhập, NST độ II, phân típ phân tử HER2 dương tính, ER âm tính, PR âm tính, Ki67 dương tính 30%.

Chẩn đoán xác định: Ung thư vú phải 1/4 trên ngoài cT1N1Mgiai đoạn IIA/ Viêm gan B.

Mô bệnh học: Ung thư biểu mô, xâm nhập, NST, độ II, HER2 dương tính, ER âm tính, PR âm tính, Ki67 dương tính 30%.

Bệnh nhân được hội chẩn hội đồng đa chuyên khoa (Multidisciplinary Team – MDT) với sự tham gia của các bác sĩ chuyên ngành Ung bướu, phẫu thuật tuyến vú, chẩn đoán hình ảnh, phẫu thuật tạo hình thẩm mỹ và giải phẫu bệnh. Kết luận bệnh nhân có chỉ định điều trị hóa chất tân bổ trợ phác đồ TCH 6 chu kỳ, sau đó đánh giá lại xét phẫu thuật.

Phác đồ TCH                              chu kì 21 ngày:

    Docetaxel 75 mg/m2, truyền tĩnh mạch ngày 1

    Carboplatin AUC 6, truyền tĩnh mạch ngày 1

    Trastuzumab 8mg/kg, truyền tĩnh mạch ngày 1, chu kì 1, truyền trong 90 phút. Các chu kì sau 6mg/kg, truyền tĩnh mạch ngày 1, truyền trong 30 phút.   

Bệnh nhân hoàn thành 6 chu kỳ hóa chất thuận lợi, gặp một số tác dụng phụ như rụng tóc kèm mệt mỏi và buồn nôn sau truyền, các triệu chứng mệt mỏi và buồn nôn này giảm dần sau 3-4 ngày. Chúng tôi theo dõi kết quả xét nghiệm máu ở mỗi đợt điều trị, các chỉ số hồng cầu, bạch cầu, tiểu cầu đều trong giới hạn bình thường.

Đánh giá sau 6 chu kỳ hóa chất tân bổ trợ

- Về lâm sàng: bệnh nhân không đau ngực, không khó thở, khối u ngực giảm kích thước.

- Chất chỉ điểm khối u (Tumor marker): CEA: 3,69 ng/mL, CA 15-3: 14,2 UI/ml (các chỉ số tăng so với trước điều trị, tuy nhiên nằm trong giới hạn bình thường).

- Siêu âm tuyến vú: Nhu mô vú phải vị trí 9h cách núm vú 3cm đám giảm âm, kích thước 7,5x3cm (BIRADS 3).

- Cộng hưởng từ tuyến vú có tiêm tương phản:


Hình 6. Hình ảnh cộng hưởng từ tuyến vú có tiêm tương phản: Hiện không thấy tổn thương nghi ngờ ác tính trên phim cộng hưởng từ tuyến vú hay bên/ Sau điều trị có đáp ứng hoàn toàn.

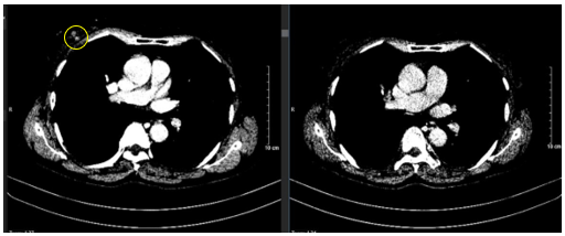
- Cắt lớp vi tính lồng ngực: Không phát hiện tổn thương bất thường. Không còn Nốt ngấm thuốc trước điều trị.


Hình 7:
 Hình ảnh so sánh phim chụp cắt lớp vi tính lồng ngực trước điều trị (bên trái) và sau điều trị tân bổ trợ 6 chu kỳ (bên phải). Nốt ngấm thuốc ngực phải trước điều trị (hình tròn màu vàng) đã biến mất hoàn toàn.

- Cắt lớp vi tính ổ bụng: Không phát hiện tổn thương bất thường.

- Siêu âm tim: kích thước và chức năng tâm thu thất trái trong giới hạn bình thường.

- Điện tim: nhịp xoang, trục trung gian, tần số 67 lần/phút

- Cộng hưởng từ sọ não: Không phát hiện tổn thương bất thường.

Nhận xét: Sau điều trị 6 đợt hóa chất tân bổ trợ phác đồ TCH, bệnh nhân lâm sàng ổn định, đáp ứng trên phim cộng hưởng từ vú có tiêm tương phản và trên phim cắt lớp vi tính lồng ngực. Đánh giá đáp ứng hoàn toàn theo tiêu chuẩn RECIST 1.1.

Sau khi hội chẩn hội đồng chuyên môn vú, bệnh nhân được tiến hành phẫu thuật cắt bỏ tuyến vú phải cải biên (Patey). Trong phẫu thuật đánh giá khối u vị trí ở 12 giờ-13 giờ, trên siêu âm kích thước nhỏ hơn rất nhiều so với trước hóa trị, khối u chưa xâm lấn cơ thành ngực. Tiến hành cắt toàn bộ tuyến vú phải và vét hạch nách thành khối.

Giải phẫu bệnh sau phẫu thuật: Mô vú viêm mạn tính, không có u, 8/8 hạch viêm mạn tính.


Hình 8: Hình ảnh mô vú sau phẫu thuật cắt bỏ tuyến vú phải cải biên (Patey)

Như vậy ở bệnh nhân này, sau điều trị tân bổ trợ 6 chu kỳ TCH, đã đạt đáp ứng hoàn toàn trên mô bệnh học (pCR),không còn tế bào ung thư xâm nhập tại vú và hạch tương ứng với ypT0, ypN0. Bệnh nhân sẽ tiếp tục điều trị duy trì Trastuzumab đủ 01 năm, theo dõi sát chức năng tim mạch và đánh giá lại định kỳ.

Bàn luận:

Ở bệnh nhân ung thư vú giai đoạn sớm có biểu hiện HER2 dương tính, liệu pháp sinh học phối hợp hóa trị được xem là trụ cột và điều trị chuẩn trong cả giai đoạn tân bổ trợ và bổ trợ, nhờ cải thiện rõ rệt tỷ lệ sống không bệnh (DFS), sống toàn bộ (OS) và đáp ứng hoàn toàn mô bệnh học (pCR). Đáp ứng hoàn toàn về mô bệnh học với hóa chất tân bổ trợ là một yếu tố tiên lượng độc lập, cải thiện sống còn và ổn định cho người bệnh. 

Trên đây là ca lâm sàng bệnh nhân nữ ung thư vú giai đoạn sớm cT1N1M0, mang phân típ sinh học HER2 dương tính; thụ thể nội tiết ER, PR âm tính và Ki-67 cao, thuộc nhóm nguy cơ cao. Sau khi được điều trị tân bổ trợ 6 chu kỳ phác đồ TCH, bệnh nhân đáp ứng hoàn toàn về mặt mô bệnh. Việc lựa chọn phác đồ TCH (docetaxel – carboplatin – trastuzumab) là phù hợp với đặc điểm sinh học khối u, đồng thời đảm bảo hiệu quả điều trị mà vẫn kiểm soát được độc tính, đặc biệt hạn chế tác dụng tim mạch của nhóm hóa chất có Anthracyclin ở bệnh nhân lớn tuổi.

Ca lâm sàng trên khẳng định vai trò quan trọng của hóa trị tân bổ trợ kết hợp trastuzumab trong ung thư vú HER2 dương tính giai đoạn sớm, cả về mặt lâm sàng lẫn tiên lượng học. Hóa trị tân bổ trợ không chỉ giúp cải thiện khả năng bảo tồn vú, mà còn tạo điều kiện đánh giá sự nhạy cảm của phương pháp điều trị toàn thân với ung thư vú, đây là cơ sở để cân nhắc các phương pháp điều trị tiếp theo được cá thể hóa cho người bệnh [8] [9].

Kết quả này không chỉ khẳng định hiệu quả của phác đồ điều trị mà còn cho thấy vai trò quan trọng của hội chẩn đa chuyên khoa (MDT) trong cá thể hóa điều trị, giúp lựa chọn chiến lược tối ưu cho từng người bệnh.

Tài liệu tham khảo:

[1] Sung H, Ferlay J, Siegel RL, et al. Global CancerStatistics 2020: GLOBOCAN Estimates of Incidence and Mortality Worldwide for 36Cancers in 185 Countries. CA Cancer J Clin. 2021;71(3):209-249.doi:10.3322/caac.21660

[2] International Agency for Research onCancer. GLOBOCAN 2022 – Viet Nam Fact Sheet. Lyon, France: IARC/WHO.Available from: https://gco.iarc.who.int/today

[3] MichaelUntch, Mahdi Rezai, Sibylle Loibl, et al (2010). Neoadjuvanttreatment with trastuzumab in HER2-positive breast cancer: results from the GeparQuanttro study. Journal of Clinical Oncology, 28(12), 2024-2031.

[4] Michael Untch, Peter A Fasching, Gottfried E Konecny, et al (2011). Pathologic complete response afterneoadjuvant chemotherapy plus trastuzumab predicts favorable survival in humanepidermal growth factor receptor 2 – overexpressing breast cancer: results fromthe TECHNO trial of the AGO and GBG study groups. Journal of ClinicalOncology, 29 (25), 3351-3357.

[5] Hikmat Abdel-Razeq, Salwa S Saadeh,Mahmoud Abu-Nasser, et al (2018).Four cycles of adriamycin and cyclophosphamide followed by four cycles ofdocetaxel (NSABP-B27) with concomitant trastuzumab as neoadjuvant therapy forhigh-risk, early-stage, HER2-positive breast cancer patients. OncoTargetsand therapy, 11,2091.

[6] Trần Văn Thuấn, Phùng Thị Huyền, Đào Văn Tú và cộng sự (2014). Kết quả bước đầu phác đồ hóa chất bổ trợ ACTH trong ung thư vú giai đoạn sớm. Tạp chí ung thư học Việt Nam, 2, 556-561.

[7] Phùng Thị Huyền (2016). Đánh giá kết quả hóa trị ổ trợ kết hợp trastuzumab trên bệnh nhân ung thư vú giai đoạn II-III. Luận án Tiến sỹ Y học, Trường Đại học Y Hà Nội.

[8] C. Caballero và M. Piccart (2020), Importantconsiderations prior to elimiation of breast cancer surgery after neoadjuvantsystemic therapy: Listening to what our patients want, Ann Oncol, 31(8),tr. 1083-1084.

[9]. J. Heil, H. M. Kuerer, A. Pfob và các cộng sự.(2020), Eliminating the breast cancer surgery paradigm after neoadjuvantsystemic therapy: current evidence and future challenges, Ann Oncol,31(1), tr. 61-71.


Tin liên quan