CASE LÂM SÀNG “HIỆU QUẢ ĐIỀU TRỊ UNG THƯ PHỔI KHÔNG TẾ BÀO NHỎ GIAI ĐOẠN MUỘN BẰNG OSIMERTINIB TẠI BỆNH VIỆN BẠCH MAI’’

Ngày đăng: 19/01/2026 Lượt xem 255

CASE LÂM SÀNG

“HIỆU QUẢ ĐIỀU TRỊ UNG THƯ PHỔI KHÔNG TẾ BÀO NHỎ GIAI ĐOẠN MUỘN BẰNG OSIMERTINIB TẠI BỆNH VIỆN BẠCH MAI’’

GS. TS. Mai Trọng Khoa, PGS. TS Phạm Cẩm Phương, PGS. TS. Phạm Văn Thái, ThS. Hoàng Công Tùng,
BSNT. Nguyễn Thanh Nguyệt

Trung tâm Y học hạt nhân và Ung bướu - Bệnh viện Bạch Mai

Trường Đại học Y Dược - Đại học Quốc Gia Hà Nội

Họ và tên: N.V.C       Tuổi: 42          Giới tính: Nam

Lý do khám bệnh: Ho máu

Chẩn đoán: Ung thư phổi trái cT3N3M1 (di căn thượng thận, gan, não)

Tiền sử: Hút thuốc lá > 20 bao.năm

Bệnh sử: Cách vào viện 1 tháng, bệnh nhân xuất hiện ho khan, có lúc đờm dính máu, không khó thở, không đau ngực, không gầy sút cân, đi khám phát hiện u phổi trái, siêu âm có hạch cổ trái, cyto hạch cổ (+) :ung thư biểu mô di căn, chưa điều trị gì chuyển Trung Tâm Y học hạt nhân và Ung bướu - Bệnh viện Bạch Mai điều trị.


Khám lâm sàng:

Bệnh nhân tỉnh, tiếp xúc tốt, PS 0

Không đau đầu, không co giật, không yếu liệt

Ho khan nhiều, thi thoảng có dính ít máu đỏ thẫm

Phổi không rale, thông khí 2 bên đều

Nhịp tim đều, T1,2 rõ

Mạch: 80 lần/phút; Huyết áp: 130/80mmHg

Bụng mềm, không chướng

Gan, lách không to

Cận lâm sàng:

-         Xét nghiệm máu:

+ Công thức máu: Bạch cầu=5.7G/L, Hồng cầu= 4.97T/L, Tiểu cầu= 322G/L (Trong giới hạn bình thường)

+ Sinh hóa máu: AST/ALT= 42/44U/L, creatinine= 87mmol/L (Trong giới hạn bình thường)

CEA: 14.63 ng/L (bình thường <4.3ng/mL) – tăng cao

Cyfra 21-1: 7.14 (bình thường <3.3) - tăng cao

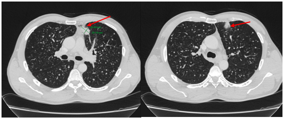
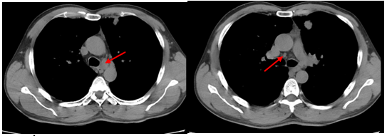
-         Chụp cắt lớp vi tính lồng ngực: phim trước điều trị

Hình 1. Trên phim chụp CT lồng ngực ở cửa sổ nhu mô: thùy trên phổi trái có khối đặc tròn bờ tua gai, kích thước: 29 x20mm, kính mờ và dày kẽ xung quanh, lân cận có nốt bán đặc kích thước 29 x 17mm, ngấm thuốc không đồng nhất sau tiêm, nghi ngờ có phần xâm lấn trung thất trước. Nhu mô thùy còn lại và nhu mô phổi phải lan tỏa các nốt đặc tròn to nhỏ không đều, đường kính: 2-8mm.

Hình 2. Cửa sổ trung thất: Vài hạch trung thất cạnh khí, hạch lớn nhất kích thước 14x7mm

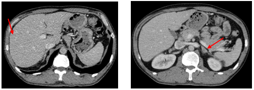
-         CT ổ bụng:

Hình 3. Trên phim chụp CT ổ bụng: Nhu mô gan sát bao gan phân thùy S5 có nốt giảm tỷ trọng trước tiêm, ngấm thuốc kém sau tiêm, đường kính 10mm – Theo dõi tổn thương thứ phát. Dày tuyến thượng thận trái.

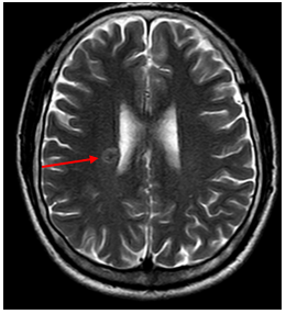
-         MRI sọ não:

Hình 4. Trên phim chụp MRI sọ não: Rải rác trong nhu mô trên và dưới lều có các nốt ngấm thuốc, lớn nhất vị trí cạnh não thất bên bên phải đường kính ~11mm – Theo dõi tổn thương thứ phát

-         Hóa mô miễn dịch hạch thượng đòn trái: Ung thư biểu mô tuyến nguồn gốc phổi

-         Xét nghiệm gen: EGFR (+) (del exon 19)

Chẩn đoán: Ung thư phổi trái cT3N3M1 (di căn thượng thận, gan, não).

Mô bệnh học: Ung thư biểu mô tuyến nguồn gốc phổi, EGFR (+) (del exon 19)

Điều trị cụ thể:  bệnh nhân được chỉ định điều trị với thuốc điều trị đích thế hệ thứ 3: Osimertinib 80mg/ngày.

-  Đáp ứng lâm sàng: Người bệnh tỉnh, không còn ho, không ho má, hoạt động bình thường.

-  Đáp ứng khách quan:

+ Chất chỉ định khối u giảm.

+ Tổn thương u nguyên phát tại phổi và u thứ phát phổi 2 bên, não giảm nhiều, không còn tổn thương gan và thượng thận.

Bệnh đáp ứng tốt với thuốc điều trị đích, cụ thể là đáp ứng 1 phần theo tiêu chuẩn RECIST 1.1.

ĐÁNH GIÁ ĐÁP ỨNG ĐIỀU TRỊ SAU 3 THÁNG, 6 THÁNG

-         Lâm sàng: Trước điều trị Bệnh nhân ho khan, có lúc dính máu đỏ thẫm -> Sau điều trị 3 tháng Bệnh nhân hết ho, không ho máu.

-         Chất chỉ điểm khối u:


Nhận xét: chất chỉ điểm khối u giảm dần qua các tháng điều trị, hiện tại nằm trong giới hạn bình thường. Chỉ sau 1 tháng điều trị thuốc đích chất chỉ điểm khối u giảm về gần bình thường từ ngưỡng tăng cao trước điều trị.

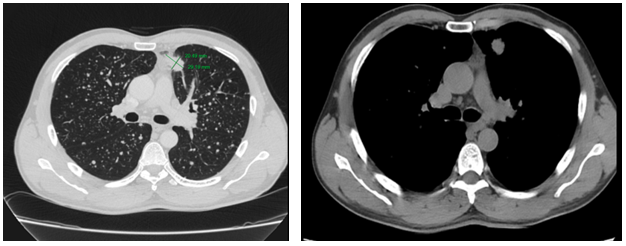
-         Cắt lớp vi tính lồng ngực:

Sau 3 tháng điều trị đích:


U nguyên phát và u thứ phát ở cả 2 phổi đều giảm kích thước rất nhiều, không thấy hạch trung thất.

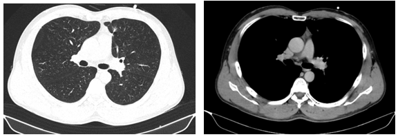
Sau 6 tháng điều trị:

 

U nguyên phát chỉ còn kích thước rất nhỏ, u thứ phát 2 bên phổi đã mất hết.


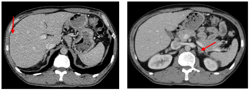
Trên phim chụp cắt lớp vi tính ổ bụng:

Trước điều trị:

Sau 3 tháng điều trị: Tổn thương gan và thượng thận đã biến mất.

Hiện tại trong quá trình theo dõi gan và thượng thận 2 bên vẫn chưa xuất hiện tổn thương mới.

Cộng hưởng từ sọ não:

  

Sau 6 tháng điều trị: Nhu mô não vùng trên và dưới lều tiểu não: hình dạng và cấu trúc bình thường, tín hiệu đồng nhất, ranh giới chất trắng và chất xám rõ. Không thấy tổn thương khu trú hoặc lan tỏa.

Lời bàn:

Trước khi chưa có sự phát triển của sinh học phân tử, điều trị Ung thư phổi giai đoạn muộn, đặc biệt có di căn não thường gặp nhiều khó khăn, chỉ dựa trên hóa chất, xạ phẫu thì kết quả còn chưa được như mong đợi, thời gian sống ngắn. Khi sinh học phân tử phát triển mạnh mẽ,các loại thuốc đích ra đời, đặc biệt gần đây thuốc miễn dịch ra đời, điều trị ung thư phổi giai đoạn tiến xa có đột biến gen EGFR đã có nhiều hy vọng sống hơn cho bệnh, thời gian sống tăng thêm so với hóa chất. Điều này đã được minh chứng qua nhiều nghiên cứu như FLAURA, FLOWER…. TạiViệt Nam, Osimertinib đã được sử dụng từ khi được Bộ Y Tế phê duyệt chỉ định và lưu hành từ năm 2018. Thực tế kết quả điều trị bằng Osimertinib bước 1 có đem lại tỷ lệ đáp ứng, thời gian sống bệnh không tiến triển và sống còn toàn bộ hơn vượt trội hơn so với các phương pháp khác.

TÀI LIỆUTHAM KHẢO:

[1] Lương Ngọc Khuê, Mai Trọng Khoa (2020), "Hướng dẫnchẩn đoán và điều trị một số bệnh ung bướu", Nhà xuất bản Y học.

[2] “Global cancer statistics 2022: GLOBOCAN estimates of incidence and mortalityworldwide for 36 cancers in 185 countries”.

[3] Ramalingam SS, Vansteenkiste J, Planchard D, et al. Overall Survival withOsimertinib in Untreated, EGFR-Mutated Advanced NSCLC. The New England journalof medicine. Jan 2 2020; 382(1):41-50. doi:10.1056/NEJMoa1913662.

[4] Lorenzi M, Ferro A, Cecere F vet al. (2022), First-Line Osimertinib in Patientswith EGFR Mutant Advanced Non-Small Cell Lung Cancer: Outcome and Safety in theReal World: FLOWER Study, Oncologist, 27(2), 87-e115.

[5] Jänne P, Planchard D, Cheng et al. (2023), Osimertinib with/withoutplatinum-based chemotherapy as first-line treatment in patients with EGFRmadvanced NSCLC (FLAURA2), 2023 World Conference on Lung Cancer, AbstractPL03(13), Presented September 11.

                                                

 


Tin liên quan