Case lâm sàng: Chẩn đoán bệnh nhân đồng mắc ung thư phổi và ung thư đại tràng tại Trung tâm Y học hạt nhân và Ung bướu, bệnh viện Bạch Mai

Ngày đăng: 09/07/2025 Lượt xem 1112
Case lâm sàng: Chẩn đoán bệnh nhân đồng mắc ung thư phổi và ung thư đại tràng tại Trung tâm Y học hạt nhân và Ung bướu, bệnh viện Bạch Mai  
GS. TS Mai Trọng Khoa, BSNT Cao Văn Trung,  PGS. TS Phạm Cẩm Phương, 
Ths. Lê Văn Long, 
Trung tâm Y học hạt nhân và Ung bướu, Bệnh viện Bạch Mai

Ung thư phổi và ung thư trực tràng là 2 bệnh ung thư thường gặp, trong một số trường hợp bệnh nhân có thể đồng mắc cả 2 loại ung thư. Tỉ lệ đồng mắc ung thư phổi và ung thư đại tràng là rất thấp, chỉ khoảng 0,6%1 và thường được chẩn tình cờ2. Để chẩn đoán bệnh nhân mắc nhiều khối u ác tính nguyên phát cần đạt các tiêu chí sau: (1) mỗi khối u đều là ác tính, (2) hai khối u có mô bệnh học khác nhau, (3) cần loại trừ khối u do di căn3. Hiện tại chưa có các hướng dẫn điều trị cho những bệnh nhân mắc 2 bệnh ung thư này, tuy nhiên ung thư phổi được coi là yếu tố tiên lượng xấu và là nguyên nhân gây tử vong ở nhưng bệnh nhân này4. Sau đây chúng tôi xin trình bày 1 ca bệnh được chẩn đoán đồng thời cả 2 bệnh ung thư đại tràng và ung thư phổi tại Trung tâm Y học hạt nhân và ung bướu – bệnh viện Bạch Mai:

Họ và tên: B.H.R; Giới: Nam; Tuổi: 70
Lý do vào viện: Ho kéo dài
Tiền sử: Đái tháo đường typ 2 đang điều trị thuốc theo chuyên khoa nội tiết.
Bệnh sử: Bệnh nhân xuất hiện ho kéo dài nhiều ngày nay đi khám chụp cắt lớp vi tính lồng ngực tình cờ phát hiện khối u phổi trái, nội soi đại tràng tầm soát tình cờ phát hiện u đại tràng nên được chuyển đến Bệnh viện Bạch Mai để khám, chẩn đoán và điều trị.
Tình trạng lúc vào viện:
Bệnh nhân tỉnh, G 15 điểm
Toàn trạng: ECOG 1 (*)
Chiều cao: 150cm; cân nặng: 58kg
Ho khan mức độ ít
Không có triệu chứng của các cơ quan khác
(* Chú thích: chỉ số ECOG đánh giá triệu chứng lâm sàng và khả năng hoạt động của bệnh nhân, mức 0 điểm tương ứng với không có triệu chứng và hoạt động bình thường, mức 4 điểm tương ứng với có nhiều triệu chứng và nằm toàn bộ thời gian).

Xét nghiệm cận lâm sàng:
- Nội soi đại tràng: Đại tràng xuống có loét đáy sau phủ giả mạc trắng kích thước khoảng 1cm.
 
Hình 1: Hình ảnh vết loét đại tràng xuống (mũi tên đỏ) trước sinh thiết (bên trái) và sau sinh thiết (bên phải).

- Giải phẫu bệnh: u đại tràng, mô bệnh học là: Ung thư biểu mô tuyến kém biệt hóa.

- Chụp cắt lớp vi tính lồng ngực: Hình ảnh khối nhu mô thùy trên phổi trái kích thước 38x38x59 mm, bờ tua gai co kéo gây giãn các nhánh phế quản lân cân, ngấm thuốc mạnh không đều sau tiêm, xâm lấn trung thất. Hạch trung thất dưới carina, dọc quai động mạch chủ và rốn phổi trái, hạch lớn nhất kích thước 14x11 mm.
  
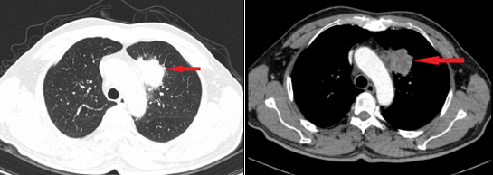
Hình 2: Hình ảnh cắt lớp vi tính lồng ngực lúc mới: khối thùy trên phổi trái xâm lấn trung thất (mũi tên đỏ).
  
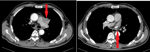
Hình 3: Hình ảnh cắt lớp vi tính lồng ngực lúc mới chẩn đoán: hình ảnh hạch trung thất cạnh quai động mạch chủ (hình bên trái), hạch rốn phổi trái (hình bên phải).

- Bệnh nhân được sinh thiết xuyên thành ngực khối u phổi dưới hướng dẫn chụp cắt lớp vi tính, kết quả mô bệnh học: ung thư biểu mô tuyến.
Kết quả nhuộn hóa mô miễn dịch:

Dấu ấn

CK7

CK20

TTF1

CDX2

NapsinA

CD56

Kết quả

+

+

+

+

+

-


Kết luận: Ung thư biểu mô tuyến của phổi.

- Chụp cắt lớp vi tính ổ bụng: chưa phát hiện tổn thương dày thành đại – trực tràng, hạch ổ bụng bất thường; chưa phát hiện tổn thương thứ phát.

- Chụp cộng hưởng từ sọ não: chưa phát hiện tổn thương thứ phát

- Siêu âm hạch vùng cổ: không phát hiện hạch bất thường.

- Xét nghiệm chất chỉ điểm u:

Chất chỉ điểm

CEA

(ng/ml)

CA 19-9

(U/ml)

Cyfra 21-1

(ng/ml)

Chỉ số

187

47.2

5.97

Mức bình thường

<4.3

<27

<3.3


=> Chất chỉ điểm u của ung thư đại tràng và ung thư phổi tăng cao

- Các xét nghiệm khác trong giới hạn bình thường.
Chẩn đoán xác định: Ung thư biểu mô tuyến phổi cT4N2 – Ung thư biểu mô tuyến đại tràng cTxN0
Hướng điều trị: Bệnh nhân có chỉ định điều trị cả 2 bệnh ung thư: hóa xạ trị với ung thư phổi và phẫu thuật có hoặc không điều trị bổ trợ với ung thư đại tràng tùy giai đoạn bệnh. Tuy nhiên cần điều trị ưu tiên bệnh lý có tính chất ác tính hơn là ung thư phổi.

Tài liệu tham khảo:
1. Evans HS, Moller H, Robinson D, Lewis CM, Bell CM, Hodgson SV. The risk of subsequent primary cancers after colorectal cancer in southeast England. Gut. May 2002;50(5):647-52. doi:10.1136/gut.50.5.647
2. Kurishima K, Miyazaki K, Watanabe H, et al. Lung cancer patients with synchronous colon cancer. Mol Clin Oncol. Jan 2018;8(1):137-140. doi:10.3892/mco.2017.1471
3. Zhai C, Cai Y, Lou F, et al. Multiple Primary Malignant Tumors - A Clinical Analysis of 15,321 Patients with Malignancies at a Single Center in China. J Cancer. 2018;9(16):2795-2801. doi:10.7150/jca.25482
4. Alghanmi HA. Successful Treatment of Synchronous Double Lung Primary Malignancies and Colon Cancer. Cureus. Feb 2022;14(2):e22552. doi:10.7759/cureus.22552

Tin liên quan