Case lâm sàng: Điều trị Sarcoma cơ vân vùng tiểu khung hiếm gặp ở người lớn tại Trung tâm Y học hạt nhân và Ung bướu, Bệnh viện Bạch Mai.

Ngày đăng: 08/05/2025 Lượt xem 1801
Case lâm sàng: Điều trị Sarcoma cơ vân vùng tiểu khung hiếm gặp ở người lớn tại Trung tâm Y học hạt nhân và Ung bướu, Bệnh viện Bạch Mai.

GS.TS. Mai Trọng Khoa, PGS.TS. Phạm Cẩm Phương, ThS.BSNT. Phạm Minh Lanh, BSNT Nguyễn Ngọc Ánh
Trung tâm Y học hạt nhân và Ung bướu, Bệnh viện Bạch Mai

Sarcoma cơ vân (Rhabdomyosarcoma-RMS) là một khối u ác tính có nguồn gốc từ các tế bào trung mô nguyên thủy, có thể xuất hiện ở bất kì cơ quan nào trong cơ thể.1  Đây là loại sarcoma mô mềm (Soft Tissue Sarcoma) phổ biến nhất và hay gặp ở trẻ em, thường được chẩn đoán trước 10 tuổi. Ở Mỹ, tỷ lệ mắc bệnh cao nhất ở những người trẻ tuổi dưới 20 tuổi, với tỷ lệ mắc bệnh là 4,4 ca/ 1 triệu người.2 Bệnh rất hiếm gặp ở người trưởng thành, chỉ chiếm < 1% trong tất cả các loại u ác tính.
Theo tổ chức y tế thế giới (WHO), phân loại mô bệnh học dưới type sarcoma cơ vân bao gồm:
- Thể phôi (Embryonal Rhabdomyosarcoma/ ERMS)
- Thể hốc (Alveolar Rhabdomyosarcoma/ ARMS)
- Thể tế bào đa hình (Pleomorphic Rhabdomyosarcoma/ PRMS)
- Thể tế bào thoi (Spindle cell/sclerosing Rhabdomyosarcoma / SC-RMS)

Sarcoma thể phôi (ERMS) và thể hốc (ARMS) là những loại sarcoma mô mềm gần như chỉ gặp ở trẻ em. Do thiếu dữ liệu nhóm người lớn, việc phân loại và điều trị sarcoma cơ vân ở người lớn thường dựa trên các phác đồ nhi khoa đã sửa đổi. Tuy nhiên, tiên lượng ở người lớn kém hơn khi so sánh với trẻ em, với tỷ lệ sống sót sau 5 năm nói chung là dưới 30%. Việc nhận biết chẩn đoán chính xác và phân nhóm mô học của bệnh có tầm quan trọng sống còn trong quá trình điều trị căn bệnh này. Việc điều trị bệnh ở người lớn phần lớn đòi hỏi một phương pháp tiếp cận đa phương thức bao gồm phẫu thuật, xạ trị và hóa trị.3

Sau đây, chúng tôi xin trình bày một trường hợp lâm sàng bệnh nhân được điều trị sarcoma cơ vân thể phôi (ERMS) vùng tiểu khung di căn phổi, gan, não ở người trưởng thành tại Trung tâm Y học hạt nhân và Ung bướu - Bệnh viện Bạch Mai.
Bệnh nhân Đ.V.M,                             Giới: nam, 20 tuổi
Lí do vào viện: Đau hông lưng
Bệnh sử
Cách vào viện 10 ngày, bệnh nhân đau hông lưng âm ỉ lan xuống xương chậu 2 bên, kèm đau bẹn bên trái, đau đầu bên trái, không đau ngực, không gầy sút cân, đại tiểu tiện bình thường. Bệnh nhân đau tăng lên, dùng giảm đau không đỡ. → Đi khám tại Bệnh viện Bạch Mai.
Bệnh nhân được chụp CT ổ bụng phát hiện có khối vùng tiểu khung lệch trái gây chèn ép giãn đài bể thận niệu quản trái kèm các hạch vùng tiểu khung, các khối ở gan, các nốt ở 2 bên phổi, nên bệnh nhân được chỉ định đặt sonde JJ niệu quản 2 bên tại Khoa Phẫu thuật Tiết niệu Bệnh viện Bạch Mai. 
Sau đó, bệnh nhân được chuyển sang Trung tâm Y học hạt nhân & Ung bướu để tiếp tục theo dõi và điều trị.
Tình trạng lúc vào viện: 
Bệnh nhân tỉnh, tiếp xúc tốt
PS=1
Đau vùng hông lưng, đau bẹn trái, đau đầu bên trái, tiểu máu đầu bãi.
Bụng mềm, không chướng, vết mổ khô, ấn tức hạ vị.
Gan lách không sờ thấy.
Nhịp tim đều, T1, T2 rõ, không có tiếng tim bệnh lí.
Phổi rì rào phế nang rõ, không rale.
Thể trạng trung bình, chiều cao: 172 cm, cân nặng: 56 kg.
Da niêm mạc hồng, không phù, không xuất huyết dưới da.
Hạch ngoại vi không sờ thấy, nhiệt độ: 37 độ C.
Tiền sử:
- Bản thân: Chưa phát hiện bất thường
- Gia đình: + Ông nội bị ung thư thực quản
                   + Ông ngoại bị ung thư trực tràng
Xét nghiệm cận lâm sàng
- Công thức máu: Hồng cầu 4.06 T/L, Hb 121 g/L (Giảm nhẹ), Bạch cầu 8.53 G/L và Tiểu cầu 326 G/L.
- Sinh hóa: Ure 5.2 mmol/L, Creatinin 100 μmol/l, acid uric: 345 μmol/l, Calci toàn phần 2.45 mmol/l
- Tổng phân tích nước tiểu: ERY 200 cells/uL (tăng), LEU 125 cell/ul (tăng)
- Điện giải đồ: trong giới hạn bình thường
- Đông máu: PT 67%, PT-INR 1.24, Fibrinogen 4.96 g/l
- Các chất chỉ điểm khối u: CEA: 0.77 ng/ml; CA 19-9: 39 U/mL (tăng); NSE: 38.9 ng/mL(tăng); PSA:1.01 ng/mL; Pro-GRP: 32.08 pg/mL
- β2 microglobulin: 2.32 (tăng)
- Nội soi dạ dày, đại tràng: không thấy bất thường
- Siêu âm hạch vùng cổ: không thấy bất thường
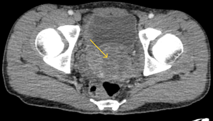
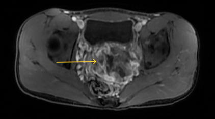
- Chụp MRI ổ bụng có tiêm thuốc đối quang từ: Có hình ảnh khối vùng tiểu khung kích thước 64x99mm, tăng tín hiệu trên T2W, hạn chế khuếch tán, ngấm thuốc sau tiêm, phần trung tâm hóa dịch không ngấm thuốc sau tiêm, tổn thương xâm lấn niệu quản trái đoạn 1/2 dưới gây giãn niệu quản phía trên. 

 
Hình 1: Hình ảnh MRI ổ bụng có khối ở vùng tiểu khung, tăng tín hiệu trên T2W (mũi tên vàng)

- Chụp CT ổ bụng không tiêm thuốc: Tiểu khung lệch trái có khối tỷ trọng tổ chức ~30HU kích thước mm 74x43x43mm, xung quanh có vài hạch kích thước lớn nhất 18x12mm. Gan kích thước bình thường, bờ đều. Nhu mô hạ phân thùy trước, sau và gan tái có các khối giảm tỷ trọng kích thước lần lượt 62x48mm, 40x34mm, 27x23mm, bờ đều rõ.


 
Hình 2: Hình ảnh chụp CT ổ bụng có khối vùng tiểu khung lệch trái chèn ép gây giãn đài bê thận - niệu quản trái (mũi tên vàng)


 
Hình 3: Hình ảnh chụp CT ổ bụng có các khối giảm tỷ trọng ở nhu mô gan 2 bên, bờ đều rõ (mũi tên vàng)

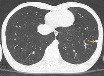
- CLVT lồng ngực không tiêm thuốc cản quang: Phổi phải: thùy giữa có nốt đặc nhỏ đường kính khoảng 2mm, bờ đều. Phổi trái: phân thùy lưỡi, thùy dưới có nốt đặc đường kính lần lượt là ~ 2mm và 6mm, bờ đều. 

 
Hình 4: Hình ảnh chụp CT lồng ngực nốt đặc ở thùy dưới phổi trái (mũi tên vàng)

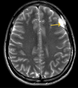
- Chụp MRI sọ não sau tiêm thuốc đối quang từ: Nằm ngoài trục vùng trán trái có nốt tăng tín hiệu trên T2W, giảm tín hiệu trên T1W, không hạn chế khuếch tán trên DWI/ADC kích thước 20x9mm, sau tiêm ngấm thuốc không đồng nhất, có dấu hiệu đuôi màng cứng, xâm lấn xương trán trái lân cận.

 
Hình 5: Hình ảnh MRI sọ não nốt tăng tín hiệu trên T2W, giảm tín hiệu trên T1W, xâm lấn xương trán trái (mũi tên vàng)

- Chụp MRI cột sống cổ: Hình ảnh phù tủy xương thân đốt sống C4, C6, C7, D1, D2, D3, gai ngang D1 bên phải và gai sau D2.

 
Hình 6: Hình ảnh MRI cột sống cổ có phù tủy xương thân đốt sống (mũi tên vàng)

- Bệnh nhân được tiến hành sinh thiết u gan: Chẩn đoán mô bệnh học và hóa mô miễn dịch phù hợp với sarcoma cơ vân thể phôi.

Chẩn đoán xác định: Sarcoma cơ vân thể phôi vùng tiểu khung di căn phổi, não, gan
Xử trí: Bệnh nhân được hội chẩn hội đồng chuyên môn, có chỉ định điều trị liệu pháp toàn thân
Cụ thể: Phác đồ hóa chất AI (Doxorubicin, Ifosfamide, Mesna) 

Đánh giá đáp ứng điều trị (sau 3 chu kì)
Lâm sàng: Bệnh nhân ổn định, đỡ đau hông lưng, hết đau bẹn trái, không đau đầu, đại tiểu tiện bình thường. Da niêm mạc hồng, tim đều, phổi không rale. Tạm thời chưa phát hiện các triệu chứng liên quan đến tác dụng phụ của thuốc.
Các chất chỉ điểm khối u: các kết quả trong giới hạn bình thường.
Theo dõi đáp ứng trên chẩn đoán hình ảnh:

CT ổ bụng:


  

CT lồng ngực:
   


Kết quả: Theo RECIST 1.1, sau điều trị, bệnh đáp ứng một phần, dung nạp tốt, không xảy ra tác dụng phụ ảnh hưởng tới điều trị.

Lời bàn:
- Hiện nay, phương pháp điều trị hàng đầu đối với sarcoma cơ vân là điều trị đa mô thức kết hợp hóa trị, phẫu thuật và/hoặc xạ trị. Việc lựa chọn phương pháp điệu trị sẽ tùy thuộc vào giai đoạn cũng như thể trạng của từng bệnh nhân.
- Phẫu thuật là lựa chọn điều trị chuẩn cho tất cả bệnh nhân sarcoma mô mềm khi khối u còn khu trú.
- Những trường hợp tái phát di căn xa, di căn phổi có thể phẫu thuật không kèm theo di căn ngoài phổi được ưu tiên lựa chọn chỉ định phẫu thuật như là điều trị chuẩn nếu có thể đảm bảo tính triệt để của phẫu thuật cho tất cả các tổn thương 4.
- Đối với bệnh nhân sarcoma cơ vân di căn đa cơ quan, phẫu thuật không còn là chỉ định ưu tiên với bệnh nhân này, hoá trị nền tảng anthracycline là lựa chọn chuẩn cho bước 1.  Khi đó, phác đồ đa hoá chất với anthracycline + ifosfamide là lựa chọn được ưu tiên, đặc biệt với những dưới týp nhạy cảm với ifosfamide và người bệnh có chỉ số toàn trạng tốt 4.
- Theo nghiên cứu thử nghiệm phase III có đối chứng ngẫu nhiên với 455 bệnh nhân sarcoma mô mềm tiến triển tại chỗ, không có khả năng phẫu thuật hoặc di căn, so sánh hiệu quả của doxorubicin đơn độc và doxorubicin với ifosfamide cho thấy thời gian sống không tiến triển trung bình cao hơn đáng kể ở nhóm doxorubicin và ifosfamide (7,4 tháng, 95% CI 6,6–8,3) so với nhóm doxorubicin (4,6 tháng, 95% CI 2,9–5,6; HR 0,74, 95,5% CI 0,60–0,90, p = 0,003)5.

Tài liệu tham khảo:
1. Kaseb H, Kuhn J, Gasalberti DP, Babiker HM. Rhabdomyosarcoma. In: StatPearls. StatPearls Publishing; 2024. Accessed January 5, 2025. http://www.ncbi.nlm.nih.gov/books/NBK507721/
2. Amer KM, Thomson JE, Congiusta D, et al. Epidemiology, Incidence, and Survival of Rhabdomyosarcoma Subtypes: SEER and ICES Database Analysis. J Orthop Res Off Publ Orthop Res Soc. 2019;37(10):2226-2230. doi:10.1002/jor.24387
3. Chen J, Liu X, Lan J, et al. Rhabdomyosarcoma in Adults: Case Series and Literature Review. Int J Womens Health. 2022;14:405-414. doi:10.2147/IJWH.S352143
4. Gronchi A, Miah AB, Tos APD, et al. Soft tissue and visceral sarcomas: ESMO–EURACAN–GENTURIS Clinical Practice Guidelines for diagnosis, treatment and follow-up☆. Ann Oncol. 2021;32(11):1348-1365. doi:10.1016/j.annonc.2021.07.006
5. Judson I, Verweij J, Gelderblom H, et al. Doxorubicin alone versus intensified doxorubicin plus ifosfamide for first-line treatment of advanced or metastatic soft-tissue sarcoma: a randomised controlled phase 3 trial. Lancet Oncol. 2014;15(4):415-423. doi:10.1016/S1470-2045(14)70063-4

Tin liên quan