Case lâm sàng: Điều trị đích bệnh nhân ung thư biểu mô tế bào gan không còn chỉ định phẫu thuật tại trung tâm Y học hạt nhân và Ung bướu, Bệnh viện Bạch Mai.

Ngày đăng: 11/10/2024 Lượt xem 2512
Case lâm sàng: Điều trị đích bệnh nhân ung thư biểu mô tế bào gan không còn chỉ định phẫu thuật tại trung tâm Y học hạt nhân và Ung bướu, Bệnh viện Bạch Mai
GS.TS. Mai Trọng Khoa, BSNT. Nguyễn Văn Tấn, BSNT. Đỗ Thị Thu Trang, PGS.TS. Phạm Cẩm Phương, TS. Phạm Văn Thái, ThS.BS. Nguyễn Duy Anh, ThS.BS. Nguyễn Xuân Thanh, 
  Trung tâm Y học hạt nhân và Ung bướu - Bệnh viện Bạch Mai

Ung thư gan nguyên phát hay ung thư biểu mô tế bào gan (UTBMTBG) là khối u xuất phát từ tế bào nhu mô gan. Theo GLOBOCAN 2022, tại Việt Nam, ung thư gan đứng thứ 2 về tỷ lệ mắc mới và đứng đầu về tỷ lệ tử vong, ước tính mỗi năm có 24.502 ca mắc mới và 23.333 ca tử vong. Nguyên nhân của UTBMTBG liên quan với viêm gan virus B, C, xơ gan do rượu, nhiễm độc tố aflatoxin, …
Hiện nay, việc điều trị UTBMTBG là điều trị đa mô thức, có sự phối hợp chặt chẽ của các chuyên ngành nội, ngoại, ung thư, chẩn đoán hình ảnh can thiệp... Trong đó, bao gồm các phương pháp như phẫu thuật (cắt phần gan mang u, ghép gan…), điều trị khối u tại chỗ (đốt sóng cao tần - RFA, MW, tiêm cồn…), điều trị tại vùng (tắc mạch hóa chất TACE…), điều trị toàn thân (hóa trị, thuốc điều trị đích phân tử nhỏ- TKIs, liệu pháp miễn dịch), xạ trị (xạ trị chiếu ngoài, xạ trị trong chọn lọc với hạt vi cầu phóng xạ-SIRT, xạ trị ion nặng…). Tùy giai đoạn bệnh và tình trạng bệnh nhân mà lựa chọn phương pháp thích hợp.
Sau đây, chúng tôi xin giới thiệu một trường hợp lâm sàng bệnh nhân ung thư biểu mô tế bào gan đã quá chỉ định phẫu thuật đã được điều trị bằng thuốc đích, tại Trung tâm Y học hạt nhân và Ung bướu – Bệnh viện Bạch Mai.
Họ và tên: N. M. T. Giới: Nam       Tuổi: 47
Lý do vào viện: Đau bụng hạ sườn phải
Ngày vào viện: Tháng 5 năm 2023
Bệnh sử: Trước vào viện khoảng 5 ngày xuất hiện đau bụng hạ sườn phải từng cơn, đau tăng dần và đau cả khi nghỉ ngơi, vào Trung tâm Y học hạt nhân và Ung bướu, Bệnh viện Bạch Mai khám và điều trị
Tiền sử: khỏe mạnh
Khám lúc vào viện:
Bệnh nhân tỉnh
Thể trạng PS-0
Không vàng da vàng mắt
Tuần hoàn bàng hệ (-), sao mạch trên da (-)
Nhịp tim đều, tần số 82 chu kì/phút, huyết áp 120/80 mmHg
Phổi rì rào phế nang 2 bên rõ, không rale
Bụng mềm, không chướng, gan-lách không sờ thấy
Các cơ quan bộ phận khác chưa phát hiện bất thường
Xét nghiệm cận lâm sàng:
- Công thức máu: trong giới hạn bình thường:
- Đông máu: PT-INR: 0,9; PT%: 92% (trong giới hạn bình thường)
- Hóa sinh máu: Albumin: 41,8 g/mL; Bilirubin tp: 9,6µmol/mL (trong giới hạn bình thường); GOT/GPT: 64/71 U/L (tăng nhẹ)
- Chất chỉ điểm khối u (Tumor marker): AFP: 382,4ng/ml (tăng cao)
- Vi sinh: HBsAg: (+), Anti-HCV (-), HIV: (-)
- Đo tải lượng virus viêm gan B: HBV-DNA: 3,5x104 copies/ml
- Nội soi thực quản- dạ dày: Viêm dạ dày
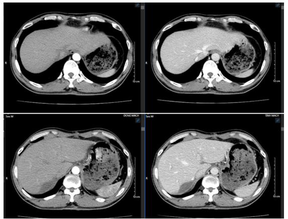
- Cắt lớp vi tính ổ bụng:  
    
Hình 1: U gan phân thùy sau thể thâm nhiễm kích thước 58x80x77 mm tính chất ngấm thuốc dạng HCC (ung thư biểu mô tế bào gan) (mũi tên đỏ), khối xâm lấn gây huyết khối tĩnh mạch cửa nhánh phân thùy sau.
  
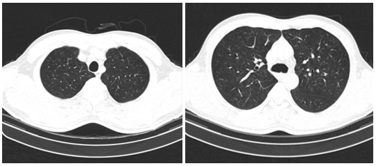
Hình 2: Hình ảnh cắt lớp vi tính lồng ngực chưa phát hiện tổn thương nghi ngờ thứ phát
Nhận xét: Đây là một trường hợp bệnh nhân vào viện vì đau hạ sườn phải đi khám phát hiện u gan, trên hình ảnh Cắt lớp vi tính ổ bụng, u gan có tính chất điển hình của UTBMTBG + AFP tăng cao hơn mức bình thường (nhưng < 400 ng/ml) + có nhiễm viêm gan B. Theo hướng dẫn chẩn đoán và điều trị ung thư biểu mô tế bào gan của Bộ Y tế năm 2020, trường hợp này đáp ứng một trong ba tiêu chuẩn chẩn đoán xác định.  
Chẩn đoán xác định: Ung thư biểu mô tế bào gan giai đoạn BCLC C/ Xơ gan Child Pugh A – Viêm gan B
Điều trị: Bệnh nhân được hội chẩn hội đồng chuyên môn: chỉ định điều trị liệu pháp toàn thân kết hợp với điều trị viêm gan B
Cụ thể:
- Lenvatinib 4mg x 3 viên/ngày
- Tenofovir 300mg/ngày
ĐÁNH GIÁ KẾT QUẢ SAU ĐIỀU TRỊ
Lâm sàng: bệnh nhân ổn định, không đau bụng
Công thức máu: trong giới hạn bình thường
Sinh hóa máu: 

Chỉ số

Trước điều trị

Sau 1 tháng

Sau 3 tháng

Giá trị bình thường

AFP

(ng/ml)

382,4

78,3

10,2

< 7

GOT

(U/L)

64

35

29

< 50

GPT

(U/L)

71

34

28

< 50

Bilirubin toàn phần (µmol/l)

9,6

8,5

5,2

5 - 21


Đánh giá về hình ảnh: 
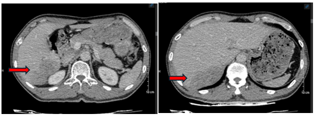
Hình ảnh Cắt lớp vi tính ổ bụng sau điều trị 01 tháng:
  
Hình 3: Nhu mô phân thùy sau gan phải sát bao gan có khối kích thước 54x67 mm, giảm tỉ trọng trước tiêm, sau tiêm ngấm thuốc kém hơn nhu mô gan lân cận, không thấy tăng sinh mạch (mũi tên đỏ)
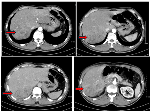
Hình ảnh Cộng hưởng ổ bụng sau điều trị 03 tháng:
 
Hình 4: Hình ảnh khối u gan phải hiện không thấy tăng sinh mạch
Nhận xét: Sau 3 tháng điều trị, kích thước khối u gan giảm đáng kể, không còn huyết khối tĩnh mạch cửa, chỉ số AFP giảm đáng kể (từ 382,4 ng/ml xuống còn 10,2 ng/ml) sau 3 tháng điều trị.
Điều trị tiếp theo: Bệnh nhân được hội chẩn hội đồng chuyên môn được chỉ định phẫu thuật.
Cụ thể: 
- Bệnh nhân được phẫu thuật cắt gan phân thùy sau chứa u 
- Tiếp tục duy trì Lenvatinib 4mg x 3 viên/ngày
- Duy trì thuốc kháng virus Tenofovir 300mg/ngày
- Cắt lớp vi tính lồng ngực:
Sau điều trị 12 tháng:
 
Hình 5: Hình ảnh ổ tụ dịch gan phải dưới diện cắt gan/ Đã cắt phân thùy sau gan phải, không thấy khối khu trú
Như vậy: Bệnh nhân trên đây là 1 trường hợp Ung thư biểu mô tế bào gan giai đoạn BCLC C đã được điều trị bằng Lenvatinib- một thuốc điều trị đích phân tử nhỏ (TKIs), đem lại đáp ứng rất tốt thể hiện ở trên hình ảnh có thể thấy khối u giảm kích thước, không còn huyết khối tĩnh mạch cửa cũng như chỉ số AFP giảm mạnh, từ giai đoạn không thể phẫu thuật chuyển về giai đoạn có thể phẫu thuật, bệnh nhân được phẫu thuật cắt gan phân thùy sau chứa u, hiện tại bệnh ổn định, bệnh nhân được theo dõi định kì.

Tin liên quan