Điều trị bệnh nhân mắc Ung thư tuyến giáp thể nang di căn phổi

Ngày đăng: 06/08/2024 Lượt xem 2366
Case lâm sàng: Điều trị bệnh nhân mắc  Ung thư tuyến giáp thể nang di căn phổi
GS.TS. Mai Trọng Khoa, PGS.TS. Phạm Cẩm Phương, TS. Phạm Văn Thái, 
BSNT. Nguyễn Văn Tấn

Ung thư tuyến giáp (UTTG) là loại ung thư phổ biến nhất trong các ung thư của hệ thống tuyến nội tiết. Tỷ lệ mắc ung thư tuyến giáp có xu hướng ngày càng gia tăng. Theo GLOBOCAN 2020, UTTG đứng hàng thứ 10 về số ca ung thư mắc mới và đứng hàng thứ 22 số ca tử vong trong các loại ung thư ở nước ta. Điều trị phối hợp đa mô thức được thực hiện với phẫu thuật là phương pháp đầu tiên, tiếp theo là điều trị hormon tuyến giáp cho nhóm nguy cơ tái phát thấp hoặc điều trị iod phóng xạ I-131 cho nhóm nguy cơ cao kết hợp sử dụng hormon tuyến giáp. 
Ung thư tuyến giáp được phân loại là biệt hóa hoặc không biệt hóa. Các bệnh ung thư thể  biệt hóa bao gồm ung thư biểu mô tuyến giáp dạng nhú và dạng nang, và các loại không phân biệt bao gồm ung thư tuyến giáp thể tủy và ung thư anaplastic. Ung thư tuyến giáp thể nhú chiếm hầu hết các loại. Ung thư tuyến giáp dạng nang là loại phổ biến thứ hai, chiếm 10 đến 15% tổng số ca ung thư tuyến giáp. 
Dưới đây, chúng tôi xin giới thiệu ca lâm sàng là một bệnh nhân mắc ung thư biểu mô tuyến giáp thể nang có di căn phổi.
Bệnh nhân: V.V.H, nam, 56 tuổi
Lý do vào viện: khó thở
Tiền sử: 
- Bản thân: đã được phẫu thuật cắt gần toàn bộ tuyến giáp cách đây > 30 năm, không rõ kết quả giải phẫu bệnh.
- Gia đình: không ai mắc bệnh liên quan
Bệnh sử: Tháng 6 năm 2022, bệnh nhân xuất hiện ho, mệt mỏi, khó thở nhẹ. Bệnh nhân đi khám, phát hiện u phổi trái, sinh thiết khối u xuyên thành ngực có kết quả mô bệnh học là: Ung thư biểu mô tuyến giáp thể nang, bệnh nhân được phẫu thuật cắt phần còn lại tuyến giáp tại bệnh viện K, chuyển Bệnh viện Trung Ương Quân đội 108 xét điều trị I-131. 
Khám lúc vào viện: 
• Bệnh nhân tỉnh, tiếp xúc tốt.
• Thể trạng trung bình (chiều cao 167 cm, cân nặng: 60 kg)
• Da, niêm mạc hồng.
• Sẹo mổ cũ vị trí nếp lằn cổ kích thước khoảng 10 cm, không co kéo
• Hạch ngoại vi không sờ thấy 
• Tim nhịp đều 80 chu kỳ/phút, huyết áp 120/80 mmHg.
• Phổi hai bên rì rào phế nang rõ, không rale
• Bụng mềm, gan lách không sờ thấy
• Khám các cơ quan khác không có gì đặc biệt
Các xét nghiệm cận lâm sàng:
• Công thức máu: trong giới hạn bình thường 
Hồng cầu: 5,62 T/l; Bạch cầu: 7,5 G/l; Tiểu cầu: 235 G/l
• Xét nghiệm sinh hóa máu: Chức năng gan, thận trong giới hạn bình thường:
         Ure: 5,07 mmol/l; Creatinin: 109 µmol/l; GOT: 22,5 U/l; GPT: 26,6 U/l
         TSH: 47,6 µU/ml
• Xét nghiệm chất chỉ điểm khối u trong máu tăng: Tg: 98,45 ng/mL (tăng); Anti-Tg: 49,3 UI/mL
• Đông máu cơ bản: bình thường
• Xét nghiệm vi sinh: HbsAg (-), HIV (-)
• Siêu âm tuyến giáp:  tuyến giáp đã phẫu thuật, vài hạch cổ nhóm III-IV bên phải (kích thước lớn nhất 7x3 mm tăng âm đồng nhất, ranh giới rõ, không rõ rốn hạch, không tăng sinh mạch, không có vi vôi hóa.
• Siêu âm ổ bụng: không phát hiện gì bất thường

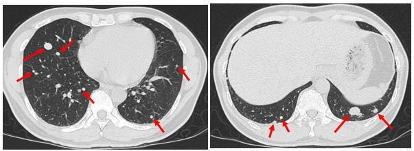
Hình ảnh Cắt lớp vi tính lồng ngực trước điều trị (6/2022): 
  



Hình 1: Nhu mô hai phổi có nhiều nốt mờ, bờ đều ranh giới rõ, nốt lớn đường kính 14mm, một số nốt có vôi hóa bên trong (mũi tên đỏ).


Xạ hình tuyến giáp với I-131 (liều 2 mCi):
 
Hình 2: Hình ảnh tăng hoạt tính phóng xạ khu trú tại vùng cổ và di căn lan tỏa hai phổi (mũi tên đỏ)
 Ung thư tuyến giáp thể nang, di căn hai phổi TxNoM1, giai đoạn IV
Bệnh nhân được hội chẩn hội đồng chuyên môn: Điều trị I-131 lần 1 liều 150 mCi.
Xạ hình toàn thân với I-131 sau điều trị I-131 lần 1: 
 
Hình 3: Hình ảnh tăng hoạt tính phóng xạ tại vùng cổ và di căn lan tỏa hai phổi
Sau điều trị I-131, bệnh nhân được uống duy trì liên tục hormon giáp Levothyrox 100 µg/ngày uống 1 viên buổi sáng trước ăn 1h.
THEO DÕI KIỂM TRA SAU ĐIỀU TRỊ SAU 6 THÁNG:
Lâm sàng: ổn định, hết khó thở.
Sinh hoá máu: FT4 < 3,2 pmol/L; TSH: 47,6 µU/mL, Tg: 0,1 ng/mL, Anti-Tg: 147 UI/mL (tăng)
Xạ hình toàn thân với I-131 liều 5 mCi (01/2023):
 
Hình 4: Không thấy hình ảnh tăng hoạt tính phóng xạ tại vùng cổ và di căn xa
Bệnh nhân được hội chẩn hội đồng chuyên môn: Điều trị I-131 lần 2 liều 150 mCi
Xạ hình toàn thân với I-131 sau điều trị I-131 lần 2: 
 
Hình 5: Không thấy tăng hoạt tính phóng xạ tại vùng cổ. Tổn thương di căn rải rác 2 phổi.
ĐÁNH GIÁ KẾT QUẢ SAU ĐIỀU TRỊ I-131 LẦN 2:
Lâm sàng: ổn định
Công thức máu: trong giới hạn bình thường
Sinh hóa máu:  FT4: 5,38 pmol/L; TSH: 73,53 µU/mL; Tg < 0,14 ng/mL Anti-Tg: 288,53 UI/mL (tăng)
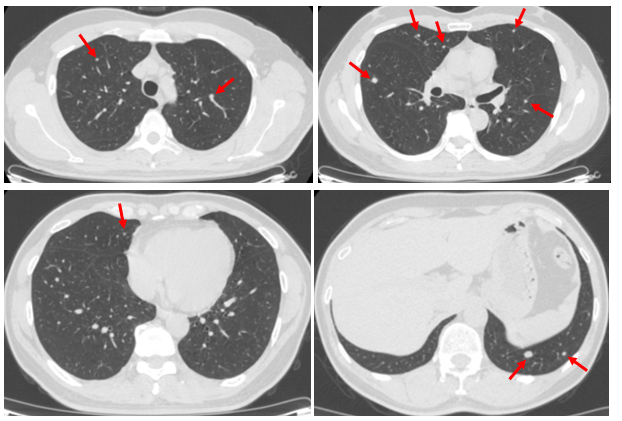
Hình ảnh Cắt lớp vi tính lồng ngực (04/2023): 
    
Hình 6: Hình ảnh nhiều nốt mờ rải rác ở nhu mô 2 phổi, nốt lớn nhất có đường kính 9 mm (mũi tên đỏ). Số lượng tổn thương giảm so với CT 6/2022.
Xạ hình toàn thân với I-131 liều 5 mCi (10/2023):
 
Hình 7: Không thấy hình ảnh tăng hoạt tính phóng xạ tại vùng cổ và di căn xa
Bệnh nhân được hội chẩn hội đồng chuyên môn: Điều trị I-131 lần 2 liều 150 mCi
Xạ hình toàn thân với I-131 sau điều trị I-131 lần 3: 
 
Hình 8: Không thấy tăng hoạt tính phóng xạ tại vùng cổ. Tổn thương di căn rải rác 2 phổi.

Tóm lại, đây là trường hợp một bệnh nhân nam, 56 tuổi, chẩn đoán: Ung thư tuyến giáp thể nang, di căn phổi, giai đoạn IV. 
Sau điều trị phẫu thuật cắt bỏ toàn bộ tuyến giáp và điều trị I-131 ba lần, tổng liều 450 mCi, bệnh đáp ứng một phần.
Bệnh nhân tiếp tục được theo dõi và điều trị tiếp khi cần.


Tin liên quan