Case lâm sàng: Điều trị bệnh nhân ung thư biểu mô tế bào gan tại Trung tâm Y học hạt nhân và Ung bướu – bệnh viện Bạch Mai

Ngày đăng: 09/08/2024 Lượt xem 1349
Case lâm sàng: Điều trị bệnh nhân ung thư biểu mô tế bào gan 
tại Trung tâm Y học hạt nhân và Ung bướu – bệnh viện Bạch Mai
GS.TS. Mai Trọng Khoa, BSNT. Đào Thị Nguyên Lê, PGS.TS. Phạm Cẩm Phương, TS. Phạm Văn Thái.
Trung tâm Y học hạt nhân và Ung bướu- Bệnh viện Bạch Mai
Ung thư biểu mô tế bào gan là một loại ung thư phổ biến trên toàn thế giới và là một trong các nguyên nhân hàng đầu gây tử vong liên quan đến ung thư. 1 Mặc dù bệnh ở giai đoạn đầu có thể được chữa khỏi bằng phẫu thuật, ghép gan hoặc đốt sóng cao tần, tuy nhiên hầu hết bệnh nhân đến viện khi đã ở giai đoạn không thể phẫu thuật được và có tiên lượng xấu.
Thuốc ức chế multikinase đường uống sorafenib, lần đầu tiên được Cơ quan Quản lý Thực phẩm và Dược phẩm Hoa Kỳ (FDA) cấp phép vào năm 2007, đã cải thiện đáng kể thời gian sống thêm toàn bộ (Overall survival - OS) so với giả dược, với thời gian sống thêm trung bình là 10,7 tháng.2 Đến năm 2018 lenvatinib đã được phê duyệt là điều trị bước 1 ở những bệnh nhân ung thư biểu mô tế bào gan không thể phẫu thuật được dựa trên nghiên cứu REFLECT cho thấy lenvatinib có OS không thua kém so với sorafenib.3
Thử nghiêm lâm sàng ngẫu nhiên pha 3 IMbrave150 cho thấy atezolizumab-bevacizumab cải thiện OS và PFS (progression-free survival – thời gian sống thêm bệnh không tiến triển) so với sorafenib.4 Atezolizumab-bevacizumab đã nhận được sự chấp thuận của FDA vào năm 2020 và hiện được coi là điều trị tiêu chuẩn bước một đối với HCC không thể phẫu thuật. Atezolizumab là một kháng thể đơn dòng liên kết với PD-L1(programmed cell death 1 ligand 1) và ngăn chặn sự tương tác giữa PD-L1 và các thụ thể của nó. Bevacizumab là một kháng thể đơn dòng tác động lên yếu tố tăng trưởng nội mô mạch máu (VEGF) để ức chế sự hình thành mạch và sự phát triển của khối u.
Sau đây là ca lâm sàng bệnh nhân Ung thư biểu mô tế bào gan được chẩn đoán và điều trị hiệu quả với sự kết hợp atezolizumab-bevacizumab tại Trung tâm Y học hạt nhân và Ung bướu-Bệnh viện Bạch Mai.
Bệnh nhân: Nữ, 60 tuổi
Lý do vào viện: đau hạ sườn phải
Tiền sử:
- Bản thân: Viêm gan B (10 năm) điều trị nội khoa không thường xuyên, không uống rượu - Gia đình: không ai mắc bệnh ác tính
Bệnh sử: Trước ngày vào viện 2 tháng, đau tức hạ sườn phải, không sốt. Gần đây mệt mỏi, ăn kém, gày sút 3 kg/2 tháng, ho khan,  khám bệnh viện địa phương, siêu âm có u gan → Bệnh viện Bạch Mai Khám vào viện:
• Bệnh nhân tỉnh, tiếp xúc tốt.
• Thể trạng trung bình (chiều cao 160cm, cân nặng: 53 kg), chỉ số toàn trạng: PS: 1
• Da, niêm mạc hồng, không xuất huyết dưới da
• Hạch ngoại vi không sờ thấy
• Tim nhịp đều 80 chu kỳ/phút, huyết áp 130/80 mmHg.
• Phổi rì rào phế nang rõ, không có rale
• Bụng mềm, không chướng, gan lách không sờ thấy
Các xét nghiệm cận lâm sàng:
• Huyết học:Hồng cầu 4,38 T/l, Bạch cầu: 6,36 G/l, Tiểu cầu: 258 G/l(trong giới hạn bình thường)
• Hóa sinh máu: GOT: 38 U/L, GPT: 37 U/L, Bilirubin toàn phần 15,2 µmol/l, Albumin 38,0 g/L (trong giới hạn bình thường)
• Đông máu: PT(s): 11,4s, PT (%): 84,1%, INR: 1,08 (trong giới hạn bình thường).
• Chất chỉ điểm khối u (Tumor marker): AFP toàn phần: 13105 ng/ml (tăng rất cao)
• Vi sinh: HbsAg (+), anti HCV (-), HIV (-), Định lượng virut HBV DNA: 10^8 copy/ml  (bệnh nhân mắc viêm gan B, không đồng nhiễm viêm gan C và HIV)
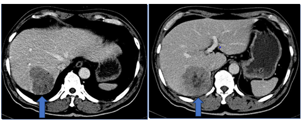
• Hình ảnh Cắt lớp vi tính ổ bụng
  
Hình 1: Nhu mô gan hạ phân thùy V có khối kích thước 48x51mm tính chất của HCC (ung thư biểu mô tế bào gan) (mũi tên xanh). Tĩnh mạch cửa không thấy huyết khối.
• Hình ảnh Cắt lớp vi tính lồng ngực:
  
Hình 2: Nốt mờ rải rác hai bên phổi, kích thước từ 0,5 x 1 cm (mũi tên xanh), Tràn dịch màng phổi phải
• Nội soi dạ dày: Viêm thực quản trào ngược độ A
• Các xét nghiệm thăm dò khác: điện tâm đồ, siêu âm tim, siêu âm vùng cổ không phát hiện bất thường.
Chẩn đoán xác định: Ung thư biểu mô tế bào gan (HCC) gan giai đoạn BCLC C, (Child-Pugh A)/ Viêm gan B mạn tính 
Điều trị: Bệnh nhân được hội chẩn hội đồng chuyển môn và đưa ra phác đồ điều trị sau: 
Điều trị thuốc miễn dịch + đích :  + Atezolizumab: 1200mg truyền tĩnh mạch ngày 1  + Bevacizumab: 15mg/kg truyền tĩnh mạch ngày 1, chu kỳ 21 ngày  Thuốc kháng virut: Entercavir  0,5mg, 1 viên/ngày, xa bữa ăn 2h

ĐÁNH GIÁ KẾT QUẢ SAU ĐIỀU TRỊ:

Trước  điều trị

Sau 3 tháng (6 chu kỳ)

Lâm sàng

Đau hạ sườn phải

Đỡ đau

Tăng cân

53 kg

55 Kg

AFP (ng/ml)

13.105

4.326

HBV-DNA

10^8

10


Kết quả trên cho thấy nồng độ AFP trước điều trị tăng rất cao (13105 ng/ml) nhưng sau khi điều trị 3 tháng đã giảm còn 4326 ng/ml (giới hạn bình thường là < 7 ng/ml). Các chỉ số về chức năng gan (GOT, GPT, Bilirubin toàn phần) từ khi vào viện và sau điều trị vẫn duy trì ở trong giới hạn bình thường.
Đánh giá về hình ảnh:
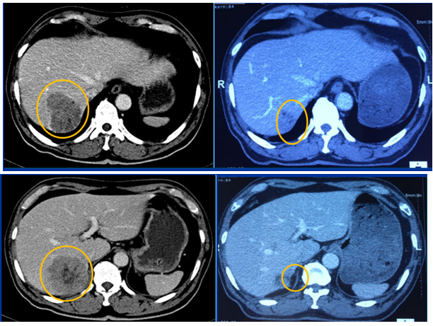
Hình ảnh cắt lớp vi tính ổ bụng sau 3 tháng:
    
Hình 3: Bên trái: trước điều trị u gan hạ phân thùy V kích thước 48x51mm. Bên phải: sau điều trị 3 tháng u gan giảm kích thước 22x25mm
Hình ảnh chụp cắt lớp vi tính ổ bụng sau 3 tháng:
  
Hình 4: Bên trái: trước điều trị: nốt mờ rải rác 2 bên phổi, kích thước từ 5-10mm. Bên phải: sau điều trị 3 tháng các nốt mờ hai phổi giảm kích thước 3-5mm
Trong quá trình điều trị bệnh nhân xuất hiện tăng huyết áp: 170/100 mgHg (độ 2) là một tác dụng phụ thường gặp khi điều trị phác đồ này. Bệnh nhân được xử trí: Amlor 5mg x 1 viên/ngày, uống hàng ngày và làm thêm xét nghiệm + Chức năng thận: bình thường + Điện tim đồ: bình thường + Siêu âm tim: chức năng tim bình thường - Sau xử trí: Huyết áp về ngưỡng 135/85 mgHg và bệnh nhân tiếp tục duy trì thuốc huyết áp Như vậy: Bệnh nhân trên đây là 1 trường hợp Ung thư biểu mô tế bào gan giai đoạn BCLC C đã được điều trị phác đồ phổi hợp atezolizumab và bevacizumab được coi là điều trị bước 1 tiêu chuẩn, ưu tiên trong các khuyến cáo mới nhất, và đã đem lại kết quả đáp ứng tốt u giảm kích thước đáng kể. 

Tài liệu tham khảo
1. Sung H, Ferlay J, Siegel RL, et al. Global Cancer Statistics 2020: GLOBOCAN Estimates of Incidence and Mortality Worldwide for 36 Cancers in 185 Countries. CA Cancer J Clin. 2021;71(3):209-249. doi:10.3322/caac.21660
2. Sorafenib in Advanced Hepatocellular Carcinoma | NEJM. Accessed January 29, 2024. https://www.nejm.org/doi/full/10.1056/NEJMoa0708857
3. Kudo M, Finn RS, Qin S, et al. Lenvatinib versus sorafenib in first-line treatment of patients with unresectable hepatocellular carcinoma: a randomised phase 3 non-inferiority trial. The Lancet. 2018;391(10126):1163-1173. doi:10.1016/S0140-6736(18)30207-1
4. Finn RS, Qin S, Ikeda M, et al. Atezolizumab plus Bevacizumab in Unresectable Hepatocellular Carcinoma. New England Journal of Medicine. 2020;382(20):1894-1905. doi:10.1056/NEJMoa1915745

Tin liên quan