Case lâm sàng: Ứng dụng trí tuệ nhân tạo (Artificial intelligence – AI) trong chẩn đoán và điều trị sớm Ung thư phổi tại Trung tâm Y học hạt nhân và Ung bướu, Bệnh viện Bạch Mai

Ngày đăng: 17/01/2026 Lượt xem 528

Case lâm sàng: Ứng dụng trí tuệ nhân tạo (Artificial intelligence – AI) trong chẩn đoán và điều trị sớm Ung thư phổi tại Trung tâm Y học hạt nhân và Ung bướu, Bệnh viện Bạch Mai

GS. TS. Mai Trọng Khoa, PGS. TS. Phạm Cẩm Phương, BSNT. Nguyễn Ngọc Ánh

Trung tâm Y học hạt nhân và Ung bướu, Bệnh viện Bạch Mai

Theo GLOBOCAN 2022, ung thư phổi đứng đầu về số ca mới mắc (2.480.301 ca mới mắc chiểm 12.4%) và dẫn đầu số ca tử vong (1.817.172 ca tử vong chiếm 18.7%) trên toàn thế giới.  Tại Việt Nam tỷ lệ mắc ung thư phổi xếp thứ ba 13,5% lệ tử vong xếp thứ hai 18,8%.

Một trong những thách thức lớn nhất của việc chẩn đoán và điều trị ung thư phổi đó là phần lớn bệnh nhân được phát hiện ở giai đoạn muộn. Tỷ lệ sống sót sau 5 năm của ung thư phổi giai đoạn đầu có thể tăng lên 20%–30% thông qua phẫu thuật triệt căn, nhưng khoảng 85% bệnh nhân ung thư phổi được chẩn đoán ở giai đoạn tiến triển. Chính vì vậy,trong những năm gần đây, với sự tiến bộ trong sàng lọc ung thư phổi và LDCT (Low-dose Computed Tomograpgy – CT ngực liều thấp) đã làm tăng tỷ lệ phát hiện các nốt phổi nhỏ. Tuy nhiên, các nốt ác tính thường không có biểu hiện cụ thể trong LDCT. Việc phân biệt ung thư phổi (như ung thư biểu mô tuyến xâm lấn tối thiểu hoặc ung thư biểu mô tuyến xâm lấn tối thiểu) với tăng sản tuyến không điển hình và các nốt lành tính khác là một thách thức [. Do đó, sàng lọc dựa trên trí tuệ nhân tạo (AI - Artificial intelligence) đóng vai trò hỗ trợ trong việc sàng lọc tổn thương ác tính. Việc ứng dụng AI cho phép phân tích cụm đa tham số để giúp các bác sĩ sàng lọc ung thư phổi giai đoạn đầu, giảm sai sót và được những đột phá trong việc phát hiện, chẩn đoán và điều trị ung thư phổi.

Sau đây, chúng tôi xin trình 1 ca bệnh ứng dụng trí tuệ nhân tạo (AI) trong chẩn đoán và điều trị sớm ung thư phổi tại Trung tâm Y học hạt nhân và Ung bướu – Bệnh viện Bạch Mai.

Bệnh nhân: N.T.T          Giới: Nam, 69 tuổi

Lí do vào viện: Đau thắt lưng phải

Bệnh sử

Đợt này, bệnh nhân xuất hiện cơn đau quặn thận phải, được chẩn đoán là sỏi thận phải, đã được tán sỏi thận qua da tại khoa Phẫu thuật Tiết niệu. Sau đó, bệnh nhân tình cờ chụp CT ngực phát hiện hiện u thùy trên phổi trái chuyển Trung tâm Y học hạt nhân & Ung bướu, bệnh viện Bạch Mai đánh giá và điều trị tiếp.

Tình trạng lúc vào viện:

-         Bệnh nhân tỉnh, tiếp xúc tốt

-         PS=0

-         Thể trạng trung bình, chiều cao: cm, cân nặng:kg.

-         Da niêm mạc hồng, không phù, không xuất huyết dưới da.

-         Hạch ngoại vi không sờ thấy

-         Phổi rì rào phế nang 2 bên rõ, không rale.

-         Bụng mềm, không chướng.

-         Gan lách không sờ thấy.

-         Nhịp tim đều, T1, T2 rõ, không có tiếng tim bệnh lí.

Tiền sử:

- Bản thân: Tăng huyết áp đang điều trị amlodipin 5 mg/ngày. Tai biến mạch máu não năm 2022 không để lại di chứng, Hút thuốc lá 20 bao-năm

- Gia đình: Chưa phát hiện bất thường

Cận lâm sàng (trước mổ)

- Công thức máu: Hồng cầu 4.4 T/L, Hb 134 g/L, Bạch cầu 6.5 G/L và Tiểu cầu 226  G/L.

- Sinh hóa: Ure 5 mmol/L, Creatinin 81  mol/l

- Tổng phân tích nước tiểu: trong giới hạn bình thường

- Điện giải đồ: trong giới hạn bình thường

- Đông máu: trong giới hạn bình thường

- HbsAg (-), HCV (-), HIV(-)

- CEA: 5.88 ng/mL, Cyfra21-1: 3.74 ng/mL (Tăng)

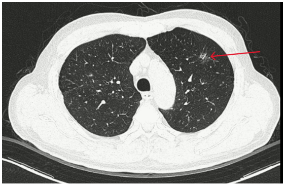
- Chụp CT ngực: Hình ảnh đám tổn thương kính mờ có bờ tua gai thùy trên phổi trái

Hình 1 : Thùy trên phổi trái có đám tổn thương kính mờ, bờ tua gai kích thước 10x13mm.

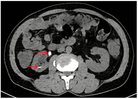
- Chụp CT bụng: Hình ảnh giãn đài bể thận và niệu quản phải do sỏi niệu quản đoạn 1/3 trên. Sỏi đài dưới thận phải.

Hình 2: Thận phải: Hình dạng và kích thước bình thường, nhu mô có nang 32mm. Đài bể thận giãn đường kính trước sau 15mm, đài dưới có sỏi kích thước 5mm. Niệu quản đoạn 1/3 trên giãn đường kính 9mm, có sỏi kích thước 7x13mm.

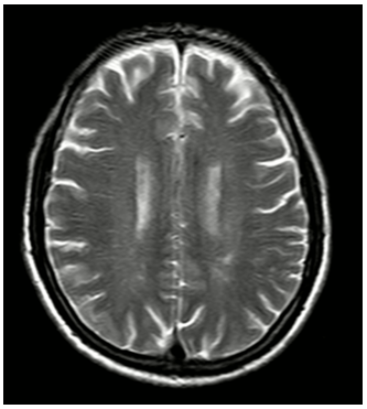
MRI sọ não:


Hình 3: MRI sọ não chưa phát hiện tổn thương thứ phát

PET/CT:


Hình 4: Hình ảnh vài đám tổn thương dạng kính mờ bờ tua gai ở thùy trên phổi trái, lớn nhất kích thước 17x17mm, tăng nhẹ hấp thu FDG (SUVmax: 2.4) – Theo dõi do viêm.

Hình 5: Hình ảnh đài – bể thận phải giãn độ II, còn sonde JJ niệu quản – bàng quang, nang thận phải đường kính 35mm

Chẩn đoán sơ bộ: Theo dõi ung thư thùy trên phổi trái cT1N0M0

Xử trí: Tổn thương phổi trên CT được sử dụng AI để phân tích, xác suất nốt kính mở ờ thùy trên phổi trái là tổn thương ác tính khoảng 97%. Bệnh nhân được hội chẩn hội đồng có chỉ định phẫu thuật. Bệnh nhân được phẫu thuật nội soi cắt một thùy phổi kèm nạo vét hạch.

Cận lâm sàng (sau mổ)

- Giải phẫu bệnh sau mổ (u phổi): Ung thư biểu mô tuyến kết hợp viêm lao. Hạch nhóm 5: Tổ chức xơ mỡ lành tính. Hạch nhóm 6: Hạch viêm mạn tính. Hạch nhóm 10: Hạch viêm lao.

- Xét nghiệm gene: Không phát hiện đột biến EGFR, ALK

Chẩn đoán xác địnhUng thư biểu mô tuyến thùy trên phổi trái, pT1aN0M0, đã phẫu thuật, giai đoạn IA/ Lao phổi/Tăng huyết áp/ Tai biến mạch máu não cũ

Hướng xử trí tiếp:  Theo dõi định kì + Điều trị lao phổi.

Lời bàn:

- Kết quả phân tích tổng hợp cho thấy độ nhạy kết hợp của hệ thống chẩn đoán với  AI trong chẩn đoán ung thư phổi là 0,87 [95%CI (0,82, 0,90)], độ đặc hiệu là 0,87 [95% CI (0,82, 0,91)], tỷ lệ chẩn đoán bỏ sót là 13%, tỷ lệ chẩn đoán sai là 12%, tỷ lệ khả năng dương tính là 6,5 [95%CI (4,6, 9,3)], tỷ lệ khả năng âm tính là 0,15 [95% CI (0,11, 0,21)], tỷ lệ chẩn đoán là 43 [95% CI và tổng diện tích dưới đường cong đặc tính hoạt động của đối tượng kết hợp (SROC) là 0,93 [95% CI (0,91, 0,95)]. Do đó, trong thực hành lâm sàng, trí tuệ nhân tạo AI có thể cải thiện hiệu quả độ nhạy chẩn đoán ung thư phổi giai đoạn đầu, hỗ trợ bác sĩ sàng lọc ung thư phổi giai đoạn đầu hiệu quả và nhanh chóng hơn, trở thành công cụ hỗ trợ chẩn đoán lâm sàng ung thư phổi, xứng đáng được thúc đẩy ứng dụng lâm sàng.

- Đối với bệnh nhân ung thư phổi không tế nhỏ giai đoạn IA, phương pháp điều trị nền tảng là phẫu thuật [4]. Sau đó, theo dõi định kì tối thiểu mỗi 6 tháng trong vòng 2 năm bao gồm thăm khám lâm sàng, hỏi bệnh sử, xét nghiệm máu và chụp CT có tiêm thuốc cản quang.

- Tỷ lệ sống sót sau 5 năm của ung thư phổi là 70% ở giai đoạn I và dưới 5% ở giai đoạn IV. Do đó, việc chẩn đoán sớm ung thư phổi là rất quan trọng.



Tin liên quan