GS. TS. Mai Trọng Khoa, TS. BS. Phạm Cẩm Phương,
BSNT. Nguyễn Đức Luân, BSNT. Bùi Quang Lộc.
Trung tâm Y học hạt nhân và Ung bướu – Bệnh viện Bạch Mai
Bệnh cảnh: Bệnh nhân Lê Mạnh H., nam, 59 tuổi.
Vào Bệnh viện Bạch mai ngày 06/09/2013 vì lý do: nuốt vướng, nuốt đau
Bệnh nhân có tiền sử khỏe mạnh. Cách ngày vào viện 3 tháng bệnh nhân xuất hiện nuốt vướng, nuốt đau, ăn ngủ tốt, không gầy sút cân. Bệnh nhân đến khám tại một Bệnh viện của Hà nội. Bệnh nhân được chẩn đoán U nang vùng đáy lưỡi nên đã được phẫu thuật lấy u.
Tuy nhiên, trong quá trình phẫu thuật khối u gây chảy máu nhiều, nên không phẫu thuật được.
Bệnh nhân được nội soi tai mũi họng và sinh thiết khối u vùng đáy lưỡi. Kết quả mô bệnh học là: Ung thư biểu mô vảy không sừng hóa, xâm nhập mô liên kết.
Bệnh nhân được chuyển đến Bệnh viện Bạch Mai.
Khám lúc vào viện:
+ Bệnh nhân còn nuốt vướng, nuốt khó; ăn được cơm cháo
+ Bệnh nhân tỉnh, thể trạng béo, cao 163cm, nặng 72kg
+ Mạch 78 l/phút, huyết áp 110/70mmHg
+ Da hồng, niêm mạc hồng
+ Hạch ngoại biên không sờ thấy
+ Tim đều; T1 T2 rõ; không tiếng thổi bệnh lí
+ Bụng mềm không chướng, gan lách không sờ thấy, không thấy u cục.
+ Phổi 2 bên rì rào phế nang rõ, không rales
+ Các bộ phận khác chưa có gì đặc biệt
* Xét nghiệm công thức máu: trong giới hạn bình thường với Hồng cầu: 5,26 T/L; Hb 159 g/l; Bạch cầu: 9,32 G/L; Bạch cầu trung tính: 4,77G/l. Tiểu cầu: 299 G/l
* Xét nghiệm sinh hoá máu: trong giới hạn bình thường với: Ure: 4,2 mmol/l; Creatinine 84 µmol/l. Đường máu lúc đói: 5,8 mmol/l. AST: 27U/l; ALT: 39 U/l
* Xét nghiệm các chất chỉ điểm khối u trong máu:
+ PSA toàn phần: 0,09 ng/ml
+ PSA tự do: 0,24 ng/ml
+ CEA: 2,15 ng/ml
* Xét nghiệm đông máu cơ bản: Tỷ lệ Prothrombin: 123%
* Xét nghiệm virus: HIV (-); HBsAg (-)
Nội soi tai mũi họng thấy:
Họng: vùng đáy lưỡi có khối u kích thước 2x2cm, giới hạn rõ, u nằm trên mặt trước thanh thiệt, chưa xâm lấn vào thanh quản. Thanh quản: hai dây thanh nhẵn, di động bình thường
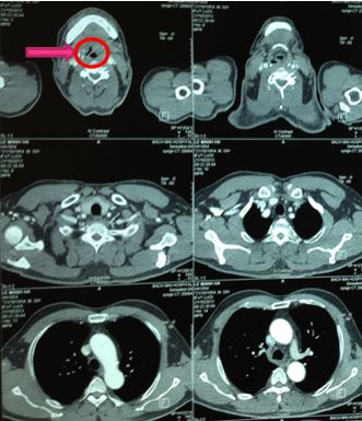
Chụp cắt lớp vi tính 64 dãy vùng hầu họng:
+ Khối sùi vị trí đáy lưỡi thanh thiệt kích thước 32x24mm, bờ không đều, ranh giới không rõ, tỷ trọng mô mềm, ngấm thuốc mạnh sau tiêm (46-83HU), khối dính một phần vào sụn nắp thanh môn, lồi vào lòng thanh quản gây hẹp lòng thanh quản, vị trí hẹp nhất 4mm, chưa phát triển xâm lấn vào xoang lê hai bên.
+ Hạch to vùng cổ hai bên dọc bó mạch cảnh, khối hạch lớn nhất bên phải 20x12mm, bên trái 26x17mm, hạch ngấm thuốc mạnh sau tiêm
Kết luận: Hình ảnh khối u sùi vị trí hố đáy lưỡi thanh thiệt, hạch to vùng cổ hai bên.
Hình 2. Hình ảnh khối u trên hình ảnh cắt lớp vi tính 64 dãy vùng hầu họng
Bệnh nhân được chụp PET/CT với hai mục đích: đánh giá mức độ xâm lấn, di căn của khối u và dùng hình ảnh PET/CT để mô phỏng lập kế hoạch xạ trị
Trên hình ảnh PET/CT:
- Vùng đáy lưỡi có khối lớn kéo dài đến thanh quản kích thước: 2,4x3,6x2,9cm, tăng hấp thu F18- FDG max SUV=8,28.
- Hạch góc hàm trái kích thước: 1,9cm, tăng hấp thu F18- FDG max SUV=6,89. Hạch góc hàm phải kích thước: 1,8cm, max SUV=5,28. Hạch cảnh giữa phải kích thước: 1,3cm, max SUV=4,42.


Hình 3. Hình ảnh khối u vùng đáy lưỡi di căn hạch cổ hai bên trên hình ảnh PET/CT
Tóm tắt bệnh án:
Bệnh nhân (BN) nam, 59 tuổi. Vào viện vì nuốt vướng, nuốt khó
Bệnh diễn biến 3 tháng nay: BN xuất hiện nuốt vướng, nuốt khó tăng dần, không đau
Trên hình ảnh cắt lớp vi tính vùng hầu họng, PET/CT thấy:
- Vùng đáy lưỡi có khối lớn kéo dài đến thanh quản kích thước: 2,4x3,6x2,9cm tăng hấp thu F18- FDG max SUV=8,28.
- Hạch góc hàm trái kích thước: 1,9cm tăng hấp thu F18-FDG max SUV=6,89. Hạch góc hàm phải kích thước: 1,8cm; max SUV=5,28. Hạch cảnh giữa phải kích thước: 1,3cm max SUV=4,42.
Mô bệnh học: Ung thư biểu mô tế bào vảy; típ không sừng hóa
Bệnh nhân được chẩn đoán: Ung thư đáy lưỡi di căn hạch cổ 2 bên: T2 N2 M0
Bệnh nhân được hội chẩn và đưa ra hướng điều trị hóa trị+ xạ trị + kết hợp Cetuximab (ERBITUX). Bệnh nhân được lập kế hoạch xạ trị điều biến liều, với liều lượng xạ trị 70 Gy vào u và hạch cổ hai bên.
Sau khi xạ trị được 40 Gy và điều trị hoá trị 2 đợt+ 1 đợt Erbitux (sau truyền 1 đợt Erbitux tuần 1, bệnh nhân mệt nên từ chối điều trị Erbitux): bệnh nhân đau rát họng, ăn kém, rụng tóc, đau mỏi xương khớp.
Nội soi tai mũi họng sau xạ trị gia tốc với liều 40 Gy:
Hình 4. Hình ảnh nội soi tai mũi họng sau điều trị xạt rị 40Gy + Hoá trị 2 đợt.
Khối u sùi đáy lưỡi trái đã thu nhỏ kích thước hơn trước. Thanh quản: dây thanh 2 bên nhẵn, di động bình thường.
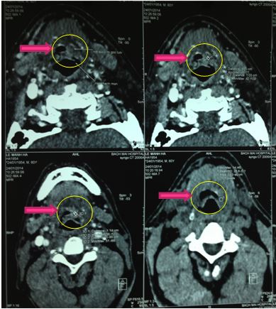
Chụp cắt lớp vi tính 64 dãy cổ - ngực sau xạ trị 40 Gy:
Hình 5. Hình ảnh chụp cắt lớp vi tính vùng cổ sau điều trị xạ trị 40Gy và 2 đợt hoá trị
+ Vị trí gốc lưỡi bên trái nắp thanh môn có nốt kích thước 16x13x12mm; ngấm thuốc mạnh sau tiêm, thâm nhiễm nhẹ vào bờ trái nắp thanh môn gây dày nhẹ nắp thanh môn. Không thấy hạch to vùng cổ và hạch to trung thất.
+ Phối phải: Dày tổ chức kẽ dưới màng phổi phía sau vùng đáy phổi, không thấy tổn thương dạng nốt hoặc dạng khối. Khối thấy giãn phế quản, phế nang.
+ Phổi trái: nhu mô phổi thùy dưới vị trí dưới màng phổi có vài nốt tăng tỷ trọng nhỏ dạng tổn thương tổ chức kẽ, nốt lớn nhất đường kính 4mm kèm theo dày tổ chức kẽ dưới màng phổi phía sau vùng đáy phổi, không thấy giãn phế quản, phế nang.
+ Dày khu trú màng phổi vùng đáy phổi hai bên.
+ Kết luận: Hình ảnh nốt gốc lưỡi bên trái kích thước giảm so với phim chụp trước, thâm nhiễm nhẹ nắp thanh môn bên trái, tổn thương nốt tổ chức kẽ sát màng phổi thùy dưới phổi hai bên.
Trong quá trình xạ trị: bệnh nhân có những đợt đau rát họng, viêm đỏ da vùng cổ, ăn kém. Bệnh nhân đã được sử dụng kháng sinh, nuôi dưỡng, nâng cao thể trạng, tăng cường miễn dịch, xông họng…
+ Tháng 12 năm 2013, bệnh nhân được chup PET/CT lần 2 sau khi kết thúc xạ trị và 4 đợt hoá trị. Trên hình ảnh PET/CT cho thấy: vùng đáy lưỡi có khối tăng hấp thu F-18 FDG, kích thước 3,9x4,3x3,0cm, theo dõi tổn thương viêm sau xạ trị. Không thấy hạch cổ tăng hấp thu F-18 FDG bất thường.


Hình 6. Hình ảnh PET/CT sau xạ trị 70Gy và 4 đợt hoá trị
Bệnh nhân tiếp tục được điều trị hoá trị và được khuyến cáo nên điều trị phối hợp hoá trị và Erbitux. Bệnh nhân tiếp tục được điều trị hóa chất phác đồ PC mỗi 3 tuần+Erbitux hàng tuần
Hiện tại khám lâm sàng:
+ Bệnh nhân khoẻ, ăn ngủ tốt, không đau họng, không nuốt nghẹn, không sốt, có nổi mụn trên da vùng mặt (tác dụng phụ khi truyền Erbitux).
- Bệnh nhân tỉnh, thể trạng trung bình, chiều cao: 163, cân nặng: 72kg
- Da niêm mạc hồng
- Hạch cổ hai bên không sờ thấy
- Phổi hai bên rì rào phế nang rõ, không rales
+ Xét nghiệm cận lâm sàng sau xạ trị 70Gy và 6 đợt hoá trị
+ Kết quả chụp cắt lớp vi tính 64 dãy vùng hầu họng:

Hình 8. Hình ảnh chụp cắp lớp vi tính vùng cổ sau điều trị xạ trị + Hoá trị 6 đợt:
Nốt sùi đáy lưỡi kích thước 12x10 mm, ngấm thuốc mạnh không đều sau tiêm, một phần dính vào nắp thanh môn bên trái.
+ Kết quả nội soi tai mũi họng: Không thấy khối u vùng đáy lưỡi
Hình 9. Hình ảnh nội soi tai mũi họng sau điều trị xạ trị + Hoá trị 6 đợt:
+ Siêu âm vùng cổ: không thấy hạch cổ hai bên
+ Nội soi khí phế quản: không thấy u vùng đáy lưỡi, thanh quản, khí quản và phế quản
Hình 10. Hình ảnh nội soi phế quản sau điều trị Xạ trị + Hoá trị 6 đợt
+ Xét nghiệm công thức máu:
Hồng cầu: 4,9 T/L; Hb 120 g/l; Bạch cầu: 4,01G/L; Bạch cầu trung tính: 2,2G/l. Tiểu cầu: 229 G/l
+ Xét nghiệm sinh hoá máu:
Ure: 3,9 mmol/l; Creatinine 83 µmol/l
AST: 28U/l; ALT: 32 U/l
CEA: 1,36 ng/ml
Hiện nay bệnh nhân đang tiếp tục được điều trị hoá trị kết hợp Erbitux.
Chúng tôi hy vọng rằng bệnh nhân sẽ đạt được ổn định bệnh lâu dài.