Điều trị ung thư phổi giai đoạn cuối, di căn hạch thượng đòn, di căn gan, xương ở bệnh nhân cao tuổi

Ngày đăng: 14/02/2014 Lượt xem 58830

Điều trị ung thư phổi giai đoạn cuối, di căn hạch thượng đòn, di căn gan, xương ở bệnh nhân cao tuổi

GS. TS. Mai Trọng Khoa, ThS Trần Ngọc Hải

Trung tâm Y học hạt nhân và Ung bướu - Bệnh viện Bạch Mai

Ca lâm sàng

Bệnh nhân: Nam 76 tuổi, vào viện vì ho nhiều và đau ngực.

Diễn biến bệnh: hơn 1 tháng nay, có biểu hiện: Ho khan liên tục nhiều ngày kèm theo tức ngực, khó thở nhẹ, không sốt, đau xương nhiều vị trí ( cột sống, bả vai…). Ăn kém, gày sút cân (4 kg/ 1 tháng).

Tiền sử: Hút thuốc lá nhiều năm trên 20 năm liên tục. Cao huyết áp trên 5 năm điều trị thường xuyên.

Khám bệnh: Thể trạng gày, da niêm mạc bình thường. Có hạch thượng đòn phải, kích thước 1,5 cm chắc. Phổi thông khí tôt, khó thở nhẹ , nhịp tim đều

 

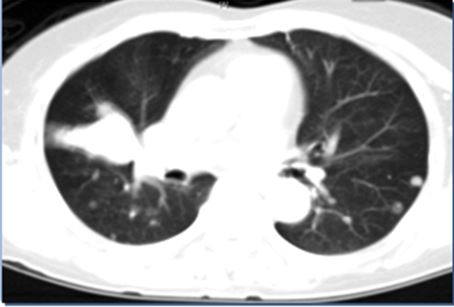
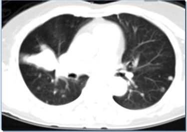
Hình ảnh CT: Trước điều trị : Hình ảnh u phân thùy giữa phổi phải. Kích thước 3 x 4 cm. Có nhiều nốt di căn ở cả hai bên phổi

 

Hình ảnh Xạ hình xương: Tổn thương xương đa ổ, phá hủy nhiều vị trí ở cột sống, xương sườn, xương cánh chậu.

Sinh thiết hạch thượng đòn: Ung thư biểu mô tuyến của phổi (NSCLC: Non small cell lung cancer – Ung thư phổi không tế bào nhỏ),

Xét nghiệm đột biến gen (EGFR):  Đột biến tại exon 21 và 19.

Chẩn đoán: Ung thư phổi không tế bào nhỏ. T3N3M1. Giai đoạn IV, di căn hạch thượng đòn, di căn gan, xương,

Lựa chọn phương pháp điều trị:

Đây là bệnh nhân cao tuổi (76 tuổi), có bệnh lý kèm theo (cao huyết áp), thể trạng kém: cao 160 cm, nặng 45 kg, gầy sút trên 4 kg trong 1 tháng.

Điều trị cụ thể:

Nâng cao thể trạng, điều trị triệu chứng:

+ Thuốc chống hủy xương: Zomecta 4 mg mỗi 3 tuần

+ Điều trị cao huyết áp: Nifedipin 20mg mỗi ngày

Điều trị hóa chất:

+ Phác đồ Docetaxel đơn chất ( Liều 80mg mỗi 3 tuần). Sau 3 đợt truyền hóa chất, bệnh nhân bị ỉa chảy, hạ bạch cầu độ II.

Do đó bệnh nhân đã được chuyển hướng điều trị với: Erlotinib 150 mg/ngày. Sau 2 tuần điều trị đã có đáp ứng tốt về lâm sàng.

Kết quả sau 10 tháng điều trị:

Bệnh nhân tăng cân, ăn uống ngon miệng, đỡ đau xương, cải thiện chất lượng cuộc sống...

Trong quá trình điều trị xuất hiện rát sẩn vùng mặt, bệnh nhân đã được điều trị cách ngày và sử dụng corticoid...

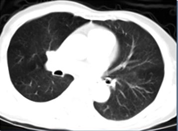
          Hình ảnh CT ngực trước và sau điều trị

                                      Trước điều trị                                 Sau 10 tháng

      

Trước điều trị: Hình ảnh u phân thùy giữa phổi phải. Kích thước 3 x 4 cm. Có nhiều nốt di căn ở cả hai bên phổi.

Sau điều trị: Đáp ứng gần hoàn toàn, u nhỏ đi nhiều và số lượng các ổ di căn hai bên phổi giảm nhiều.

Một vài lời bàn về ca lâm sàng:

Qua ca bệnh trên chúng tôi xin có một vài nhận xét về điều trị ung thư phổi không tế bào nhỏ (NSCLC) giai đoạn tiến triển ở 3 khía cạnh:

  1. 1.Tình trạng đột biến
  2. 2.Phác đồ hóa chất chuẩn phù hợp mô bệnh học
  3. 3.Điều trị NSCLC ở người cao tuổi

Ung thư phổi: 40% bệnh nhân khi đến khám bệnh ở giai đoạn IV (gia đoạn muộn). Số bệnh nhân chết tương đương với ung thư tuyến tiền liệt, ung thư tụy, ung thư vú và ung thư đại tràng cộng lại. Tỷ lệ sống sau 5 năm: 15,7 % cho tất cả các giai đoạn; 3.7% cho bệnh nhân giai đoạn di căn xa.

Đánh giá giai đoạn cho ung thư phổi: Bằng hình ảnh: Chụp XQ ngực, CT, PET/CT…

Chẩn đoán xác định bằng sinh thiết làm giải phẫu mô bệnh học, những thông tin về những bất thường phân tử cũng cần được đánh giá đầy đủ.

Bệnh ung thư phổi không tế bào nhỏ tiến triển là bệnh đã di căn được xếp giai đoạn IV. Khi điều trị chúng ta cần xem xét các yếu tố sau: Toàn trạng, tuổi, chức năng các cơ quan, tình trạng dinh dưỡng, mô bệnh học, các biến đổi về phân tử, tình trạng u, mức độ di căn hach và di căn xa (T,N,M).

Lấy đủ khối lượng mô để chẩn đoán phân loại mô bệnh học và tình trạng đột biến phân tử. Thông tin về đột biến EGFR (yếu tố phát triển biểu bì) là rất quan trọng trong việc đưa ra quyết định điều trị. Nhiều nghiên cứu đã chỉ ra việc điều trị đích, sử dụng phân tử nhỏ (Erlotinib, Gefitinib) cho ung thư phổi không tế bào nhỏ ở giai đoạn tiến triển có đột biến EGFR là cần thiết.

Điều trị ung thư phổi không tế bào nhỏ khi không đột biến EFGR thì chúng ta phải căn cứ vào chẩn đoán mô bệnh học: Thể tế bào vảy (squamous), không tế bào vảy (nonsquamous) hay thể hỗn hợp (mixed). Phác đồ hóa chất chuẩn đối với Nonsquamous NSCLC không đột biến EGFR: Nên sử dụng Pemetrexed hoặc taxane trong phác đồ bộ đôi cơ bản. Bevacizumab (ức chế tăng sinh mạch) cũng nên được cân nhắc lựa chọn sử dụng cho bệnh nhân. Đối với thể Squamous NSCLC không đột biến EGFR nên sử dụng Taxane hoặc gemcitabine trong phác đồ bộ đôi cơ bản.

Điều trị ung thư phổi không tế bào nhỏ giai đoạn tiến triển ở người cao tuổi cần căn cứ vào nhiều yếu tố để quyết định điều trị: Thể trạng, bệnh kết hợp, tình trạng bệnh…Xác định bệnh nhân “cao tuổi” còn là một mốc thay đổi tùy thuộc vào: Mỗi quốc gia, tuổi thọ trung bình và điều kiện kinh tế xã hội…Khi điều trị cần xác định mục tiêu chính trong điều trị cho bệnh nhân là sự an toàn, những lựa chọn điều trị cho bệnh nhân cao tuổi phải thay đổi linh hoạt cho phù hợp với tình trạng sức khỏe và bệnh lý đi kèm

Tin liên quan