Ca lâm sàng: Chẩn đoán một bệnh nhân mắc hai loại ung thư: Ung thư phổi không tế bào nhỏ và ung thư tá tràng tại Trung tâm Y học hạt nhân và Ung bướu – bệnh viện Bạch Mai

Ngày đăng: 09/05/2024 Lượt xem 1011
Ca lâm sàng: 
Chẩn đoán một bệnh nhân mắc hai loại ung thư: Ung thư phổi không tế bào nhỏ và ung thư tá tràng tại Trung tâm Y học hạt nhân và Ung bướu – bệnh viện Bạch Mai
GS.TS. Mai Trọng Khoa, PGS.TS. Phạm Cẩm Phương, 
BSNT. Nguyễn Văn Tấn
Trung tâm Y học hạt nhân và Ung bướu- Bệnh viện Bạch Mai

Ung thư phổi là loại ung thư phổ biến và là nguyên nhân gây tử vong do ung thư thường gặp nhất. Theo thống kê của tổ chức nghiên cứu ung thư quốc tế IARC (Globocan 2020), ước tính có khoảng 2,21 triệu người mắc mới (chiếm 11.4%) và 1,79 triệu người tử vong do ung thư phổi (chiếm 18%). Mặc dù đã có nhiều tiến bộ trong chẩn đoán và điều trị nhưng tỷ lệ sống thêm 5 năm với bệnh nhân ung thư phổi chỉ chiếm 4 - 17% tùy theo giai đoạn và sự khác biệt khu vực. Tại Việt Nam, tỷ lệ tử vong hàng năm do ung thư phổi là 20.710 ca chiếm 19,2% số ca tử vong do ung thư nói chung. Ung thư phổi được chia làm hai nhóm nhính gồm ung thư phổi không tế bào nhỏ (UTPKTBN) (85%) và ung thư phổi tế bào nhỏ (15%). Trong nhóm UTPKTBN, khoảng 84% được chẩn đoán ở giai đoạn tiến xa, di căn.

Các khối u ác tính của ruột non rất hiếm và có tỷ lệ mắc toàn cầu là dưới 1 trên 100.000dân. Ung thư ruột non (bao gồm cả ung thư tá tràng) chỉ chiếm 2% tổng số ca ung thư đường tiêu hóa ở Hoa Kỳ. Vị trí chính của ung thư ruột non là hồi tràng, nhưng ung thư cũng được tìm thấy ở tá tràng và hỗng tràng. Mặc dù ung thư ruột non thường phát sinh ở tá tràng nhưng ung thư tá tràng chỉ chiếm <0,5% các trường hợp ung thư đường tiêu hóa.

Bệnh nhân: N.V.C 
Giới: nam 
Tuổi: 71
Ngày vào viện: 19/07/2023
Lý do vào viện: đau hạ sườn phải
Tiền sử: 
- Bản thân: Mổ sỏi túi mật từ 2009
                   Tai biến mạch máu não cách 5 năm di chứng yếu ½ người phải
                   Tăng huyết áp điều trị thường xuyên Amlodipine 5 mg/ngày 
- Gia đình: không ai mắc bệnh ác tính
Bệnh sử: Cách vào viện 2 tuần bệnh nhân xuất hiện đau âm ỉ hạ sườn phải, không nôn, không sốt, vàng da kèm gầy sút cân 4 kg/1 tháng khám tại bệnh viện tỉnh, được siêu âm ổ bụng phát hiện có tổn thương gan đa ổ, sau đó bệnh nhân được chuyển đến Trung tâm Y học hạt nhân và Ung bướu, Bệnh viện Bạch Mai khám và điều trị tiếp.
Khám vào viện: 
• Bệnh nhân tỉnh, tiếp xúc tốt.
• Thể trạng trung bình (chiều cao 150 cm, cân nặng: 52 kg), chỉ số toàn trạng: PS: 1
• Da, củng mạc mắt vàng, không xuất huyết dưới da
• Tim nhịp đều 80 chu kỳ/phút, huyết áp 120/80 mmHg.
• Phổi rì rào phế nang rõ, không rale
• Bụng mềm, không chướng
• Liệt ½ người phải, cơ lực 4/5 
Các xét nghiệm cận lâm sàng:
• Huyết học: Hồng cầu 5,25 T/l, Bạch cầu: 6,36 G/l, Tiểu cầu: 254 G/l (trong giới hạn bình thường)
• Hóa sinh máu: GOT: 215 U/L, GPT: 74 U/L (tăng), Bilirubin toàn phần: 22,4 µmol/l (tăng), ure máu: 7,8, Creatinin: 63 (trong giới hạn bình thường)
• Đông máu: PT(s): 10,4s, PT (%): 82,3%, INR: 1,12 (trong giới hạn bình thường).
• Chất chỉ điểm khối u (Tumor marker): 
AFP toàn phần: 4,3 ng/ml (trong giới hạn bình thường)
CEA: 945,5 ng/ml (tăng rất cao)
CA 72-4: 3,12 U/ml (trong giới hạn bình thường
Cyfra 21-1: 289,8 ng/ml (tăng rất cao)
• Vi sinh: HbsAg (-), anti HCV (-), HIV (-). 
• Hình ảnh cắt lớp vi tính lồng ngực:
  
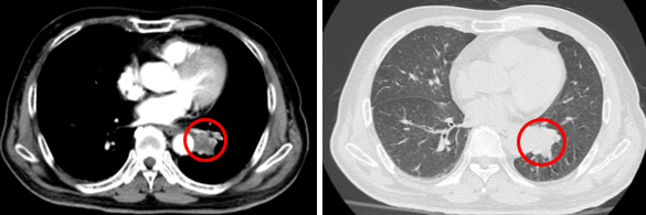
Hình 1: Hình ảnh chụp CT lồng ngực: Nhu mô thùy dưới phổi trái sát rốn phổi có nốt kích thước 24x26 mm bờ không đều, sau tiêm ngấm thuốc (vòng tròn đỏ), hình ảnh cắt cụt nhánh phế quản thùy dưới.
 
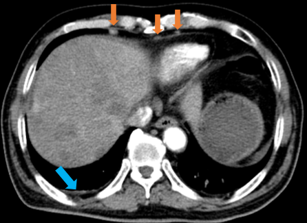
Hình 2: Ít dịch khoang màng phổi phải dày 5 mm (mũi tên xanh), Vài hạch góc tâm hoành hai bên, đường kính lớn nhất 10 mm (mũi tên cam)
 
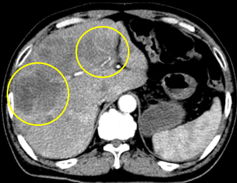
Hình 3: Hình ảnh chụp CT lồng ngực: Nhu mô gan có nhiều khối ngấm thuốc kém, khối lớn nhất kích thước 55x61 mm (vòng tròn vàng)

TTF1

Napsin A

p40

p63

CK20

+

+

-

-

-

Ghi chú: (+): Dương tính,    (-): âm tính


 Kết quả mô bệnh học và  hóa mô miễn dịch phù hợp với ung thư biểu mô tuyến của phổi
Xét nghiệm đột biến gen: EGFR (-)
• Nội soi dạ dày – tá tràng: có ổ loét tá tràng đường kính 2 cm, cách nhú tá bé 3 cm, bấm sinh thiết, giải phẫu bệnh là  ung thư biểu mô kém biệt hóa.
Các xét nghiệm thăm dò khác: điện tâm đồ, siêu âm tim, siêu âm vùng cổ không phát hiện bất thường.
Chẩn đoán xác định: Ung thư biểu mô tuyến của phổi trái, di căn gan, giai đoạn IV, cT1cN0M1/ Ung thư biểu mô kém biệt hóa của tá tràng/ Viêm gan C/ Tai biến mạch máu não cũ.
 

Tin liên quan