Ca lâm sàng: Chẩn đoán, tư vấn di truyền và điều trị bệnh nhân mắc ung thư đại tràng có tính chất gia đình tại Trung tâm Y học hạt nhân và Ung bướu - Bệnh viện Bạch Mai

Ngày đăng: 26/11/2024 Lượt xem 1213
Ca lâm sàng: Chẩn đoán, tư vấn di truyền và điều trị  bệnh nhân mắc ung thư đại tràng có tính chất gia đình tại Trung tâm Y học hạt nhân và Ung bướu - Bệnh viện Bạch Mai

GS.TS.Mai Trọng Khoa1,2, PGS.TS.Phạm Cẩm Phương1,2,ThS.BS.Phạm Minh Lanh1,2,  SV.Nguyễn Thị Hồng Nhung,2
1Trung tâm Y học hạt nhân và Ung bướu - Bệnh viện Bạch Mai
2Trường Đại học Y dược - Đại học Quốc Gia Hà Nội

       Ung thư đại trực tràng là loại ung thư thường hay gặp, trong đó, yếu tố di truyền đóng vai trò quan trọng như nhóm bệnh đa polyp tuyến gia đình, hội chứng Gardner, hội chứng Lynch….
       Xét riêng hội chứng Lynch, đây là một rối loạn di truyền gen trội trên nhiễm sắc thể thường, với một trong những bất thường đã biết là đột biến gen làm suy yếu khả năng sửa chữa tình trạng không khớp DNA. Nghiên cứu cho thấy, hội chứng Lynch dẫn đến nguy cơ bị ung thư đại trực tràng từ 70 - 80% trong suốt cuộc đời. Thông qua xét nghiệm di truyền, chẩn đoán xác định hội chứng Lynch, giúp kiểm soát và điều trị hiệu quả bệnh ung thư trên người bệnh, đồng thời có kế hoạch theo dõi, phát hiện sớm đối với người thân trong gia đình. 
        Sau đây, chúng tôi trình bày một case lâm sàng ung thư đại tràng hai vị trí tại một bệnh nhân nữ có mẹ cũng có mắc ung thư đại tràng trước đó. 
I - Hành chính
1. Họ và tên: Phạm Thị Y.
2. Tuổi: 46 tuổi
3. Giới tính: Nữ
4. Địa chỉ: Nam Định
5. Nghề nghiệp: Tự do
II -  Chuyên môn
1. Lý do vào viện: đau bụng
2. Bệnh sử: 
Cách vào viện 2 tháng, người bệnh thấy đau bụng âm ỉ vùng hố chậu phải, đau không lan, liên tục cả ngày, không nôn, không sốt, đại tiện không phát hiện bất thường, không sụt cân. Người bệnh khám và điều trị tại địa phương phát hiện u đại tràng chuyển bệnh viện Bạch Mai. 
3. Tiền sử:
a. Tiền sử bản thân: 
• Chậm phát triển trí tuệ
• Viêm tuyến giáp tự miễn cách đây 7 năm 
• Phẫu thuật điều trị tắc ruột năm 2011 (chưa rõ nguyên nhân) 
• U xơ tử cung 
b. Tiền sử gia đình: 
• Mẹ mắc ung thư đại tràng được chẩn đoán và điều trị tại bệnh viện Bạch Mai 
4.        Khám bệnh
• Bệnh nhân tỉnh, tiếp xúc tốt
• Thể trạng gầy: BMI: 17,33 kg/m2 (cân nặng: 39kg ; chiều cao: 1,5m)
• Da, niêm mạc nhợt
• Tuyến giáp không to, hạch ngoại vi không sờ thấy
• Tim đều,  tiếng T1,T2 rõ
• Phổi: rì rào phế nang rõ, không rale
• Bụng mềm, đau bụng thỉnh thoảng quặn cơn, hội chứng bán tắc ruột (+)
• Các cơ quan khác chưa phát hiện bất thường.
5.        Cận lâm sàng
• Nội soi đại tràng toàn bộ: 
 
• Hình 1: Hình ảnh nội soi đại tràng cho thấy tại vị trí đại tràng sigma có khối sùi loét, chiếm gần hết chu vi lòng đại tràng, máy soi không đi tiếp được. 
• Chẩn đoán mô bệnh học trước mổ: ung thư biểu mô tuyến kém biệt hoá.
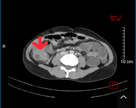
• Chụp cắt lớp vi tính: 
  
Hình 2: Hình ảnh chụp cắt lớp vi tính ổ bụng cho thấy tại vị trí đại tràng lên, đại tràng sigma thành dày không đều quanh chu vi, dày nhất ~ 22mm, trên đoạn dài lần lượt 41mm và 55mm, không rõ cấu trúc lớp, gây hẹp lòng ruột, ngấm thuốc mạnh sau tiêm, kèm thâm nhiễm vài hạch xung quanh, hạch ngấm thuốc sau tiêm, lớn nhất kích thước 8x9mm (>4 hạch) 
 6. Chẩn đoán  
Ung thư biểu mô tuyến kém biệt hoá đại tràng phải, đại tràng sigma, giai đoạn cT2N2M0/ Chậm phát triển trí tuệ / Viêm tuyến giáp 
7. Điều trị
Bệnh nhân đã được hội chẩn và được phẫu thuật cắt đại tràng phải - cắt đoạn đại tràng sigma - vét hạch (ngày 06/09/2024)
- Mô bệnh học sau mổ: 
• Đoạn đại tràng phải: ung thư biểu mô tuyến biệt hoá vừa xâm nhập mạch máu, xâm lấn tới thanh mạc. 41/41 hạch viêm mạn tính (pT3N0) 
• Đoạn đại tràng sigma: hình ảnh mô bệnh học và hoá mô miễn dịch phù hợp với ung thư biểu mô kém biệt hoá, xâm lấn lớp cơ. Các hạch viêm mạn tính. Diện cắt 2 đầu không còn u (pT2N0R0). 
- Kết quả xét nghiệm đột biến gen 
• Không phát hiện đột biến gen trên codon 600 tại exon 15 của gen BRAF
• Phát hiện đột biến gen trên codon 12, 13 tại exon 2 của gen KRAS 
-    Xét nghiệm hóa mô miễn dịch: có mất biểu hiện protein gen MMR (dMMR), kiểu hình MLH1/PMS2
8. Chẩn đoán xác định:
Ung thư biểu mô tuyến biệt hoá vừa đại tràng phải giai đoạn pT3N0M0 - Ung thư biểu mô kém biệt hoá đại tràng sigma giai đoạn pT2N0M0 / Theo dõi hội chứng Lynch / Chậm phát triển trí tuệ / Viêm tuyến giáp
9. Lời bàn: 
Bệnh nhân sau đó được hội chẩn xem xét điều trị hóa chất bổ trợ và tư vấn di truyền về chẩn đoán hội chứng Lynch và tư vấn sàng lọc ung thư cho các thành viên trong gia đình.
Như chúng ta đều biết: Khi có sự bất ổn vi vệ tinh (MSI: Microsatellite instability), do thiếu hụt hệ thống sửa chữa DNA MisMatch (MisMatch repair: MMR), là bất thường về phân tử được quan sát thấy ở các khối u liên quan đến hội chứng Lynch (LS). 
Hội chứng Lynch là một rối loạn di truyền liên quan đến việc tăng nguy cơ mắc ung thư, thường xảy ra ở độ tuổi còn trẻ, đặc biệt là ung thư đại trực tràng.  Các nghiên cứu cho thấy Hội chứng Lynch là do đột biến trội trên nhiễm sắc thể thường ở các gen sửa chữa MLH1, MSH2, MSH6 hoặc PMS2 cũng như gen EPCAM làm bất hoạt MSH2. Ngoài ung thư đại trực tràng, những người mắc hội chứng Lynch còn có nguy cơ mắc một số loại ung thư khác cao hơn, bao gồm ung thư nội mạc tử cung, ung thư buồng trứng và ung thư dạ dày.

Các bệnh nhân dương tính với hội chứng Lynch, nghĩa là họ thừa hưởng đột biến gen MMR từ cha mẹ. Sau đó, các chuyên gia tư vấn di truyền sẽ làm việc với bệnh nhân để giúp giải thích ý nghĩa của tình trạng hội chứng Lynch và hướng dẫn người bệnh các bước tiếp theo.
Nếu bạn có tiền sử gia đình có người thân trong gia đình (như cha mẹ hoặc anh chị em ruột) hoặc có nhiều người thân trong gia đình mắc ung thư đại tràng hoặc polyp, thì bạn cũng có nguy cơ mắc ung thư cao hơn.
Mặc dù có tỷ lệ mắc cao, nhưng ung thư đại tràng là một trong những loại ung thư dễ phòng ngừa nhất và điều trị đơn giản, hiệu quả nhất nếu được phát hiện sớm. Đó là lý do tại sao việc biết tiền sử bệnh lý cá nhân và gia đình lại có một ý nghĩa và vai trò rất quan  trọng. 

Tin liên quan