Điều trị bệnh nhân ung thư phổi di căn não giai đoạn muộn tại Trung tâm Y học hạt nhân và Ung bướu - Bệnh viện Bạch Mai

Ngày đăng: 15/11/2024 Lượt xem 1366
CASE LÂM SÀNG
Điều trị bệnh nhân ung thư phổi di căn não giai đoạn muộn tại Trung tâm Y học hạt nhân và Ung bướu - Bệnh viện Bạch Mai

PGS.TS. Phạm Cẩm Phương1,2, GS.TS. Mai Trọng Khoa1,2, Sinh viên Nguyễn Thị Hải Anh,2 
1Trung tâm Y học hạt nhân và Ung bướu – Bệnh viện Bạch Mai
2Trường Đại học Y dược Đại học Quốc Gia Hà Nội

Ung thư phổi là một trong 3 loại ung thư thường gặp nhất và là nguyên nhân gây tử vong hàng đầu do ung thư ở phạm vi toàn cầu. Theo GLOBOCAN 2022, tại Việt Nam, ung thư phổi đứng hàng thứ nhì chỉ sau ung thư gan với tỷ lệ mắc chuẩn theo tuổi ở cả hai giới là 25,2. Bệnh thường gặp ở nam giới, với tỷ lệ mắc chuẩn theo tuổi là 41,1 ở nam và 12,2 ở nữ giới, ước tính mỗi năm có khoảng 22.000 trường hợp mới mắc (16.000 nam và 6.000 nữ) và tử vong khoảng gần 19.600 bệnh nhân.
Ung thư phổi được chia thành hai loại chính: ung thư phổi tế bào nhỏ (small cell lung cancer) - chiếm khoảng 10 - 15%, thường rất ác tính và ít đáp ứng điều trị và Ung thư phổi không tế bào nhỏ (non small cell lung cancer): chiếm khoảng 85%, thường đáp ứng điều trị tốt.
Sau đây, chúng tôi báo cáo trường hợp lâm sàng bệnh nhân phát hiện bệnh ung thư phổi không tế bào nhỏ di căn não đáp ứng điều trị 6 năm tại trung tâm Y học hạt nhân và Ung bướu -  Bệnh viện Bạch Mai

CASE LÂM SÀNG
Hành chính
Họ và tên: Nguyễn V.  T.
Tuổi: 49
Giới tính: Nam
Nghề nghiệp: Chế biến thực phẩm (tiếp xúc nhiều muội than)
Chuyên môn
Lý do vào viện: Khó thở, ho khạc ra máu.
Tiền sử: Gia đình không có tiền sử liên quan. 
Bệnh sử: Năm 2019, khởi phát bệnh nhân biểu hiện mệt mỏi, đau tức ngực, khó thở, ho khạc ra máu, kèm yếu liệt tay trái, chân trái, không gầy sút cân, đi khám tại Trung tâm Y học hạt nhân và Ung bướu - Bệnh viện Bạch Mai, chẩn đoán ung thư phổi di căn não.
Khám thời điểm lâm sàng vào viện
Khám lâm sàng: 
Bệnh nhân tỉnh, da niêm mạc hồng
Mạch 82 nhịp /phút, huyết áp 120/80 mmHg
Hạch ngoại biên không sờ thấy
Glasgow 15 điểm, Liệt 1/2 người trái, cơ lực 3/5
Cận lâm sàng:
Xét nghiệm: Công thức máu, đông máu, hóa sinh máu, tổng phân tích nước tiểu: trong giới hạn bình thường
Các chất chỉ điểm ung thư (marker ung thư): 
CEA 24,25 ng/ml, tăng nhẹ (Bình thường 0-5 ng/ml)
Cyfra 21-1: 18,5ng/ml, tăng nhẹ (Bình thường < 3,3 ng/ml)

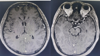
Chụp Cộng hưởng từ sọ não (4/4/2019):

 
 

Hình 1:  Hình ảnh chụp MRI sọ não: Nhiều nốt ngấm thuốc mạnh rải rác ở nhu mô não trên và dưới lều, theo dõi tổn thương thứ phát (mũi tên đỏ).
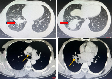
Cắt lớp vi tính lồng ngực (5/4/2019): 
   
   
Hình 3:  Hình ảnh khối u thuỳ dưới Phổi phải, kích thước 70×75 mm (mũi tên đỏ) nhiều tổn thương thứ phát 2 phổi, hạch trung thất và rốn phổi phải (mũi tên vàng)
Bệnh nhân được sinh thiết xuyên thành khối u phổi, mô bệnh học: Ung thư biểu mô tế bào tuyến
Xét nghiệm đột biến gen: Đột biến gen EGFR:  E746-A750 del trên exon 19
Chụp PET/CT (18/4/2019): Hình ảnh u phế quản gốc phải tăng hấp thu FDG mạnh, gây xẹp một phần thuỳ dưới phổi Phải kích thước 70 ×75mm, xâm lấn màng phổi phải. Hình ảnh nhiều hạch trung thất, hạch rốn phổi, hạch cổ phải, nhiều nốt mờ nhu mô 2 phổi, khối gan phải, tổn thương xương và não đa ổ tăng hấp thu FDG (dạng tổn thương thứ phát). Không thấy hình ảnh tăng hấp thu chuyển hóa F18FDG bất thường tại các vị trí khác trên cơ thể

Chẩn đoán xác định: Ung thư biểu mô tuyến phổi phải, di căn não, T4N3M1c, giai đoạn IVB
Quá trình điều trị: 
Tháng 4/2019, bệnh nhân được điều trị đích Osimertinib 80mg/ ngày, xạ phẫu Gamma quay khối u di căn não. 
Sau điều trị bệnh nhân hồi phục chức năng vận động – hết yếu ½ người trái, bệnh nhân dung nạp thuốc tốt
Chụp cắt lớp vi tính lồng ngực 1/10/2019 (sau điều trị)
  
Hình 4:Hình ảnh khối u thùy dưới phổi Phải giảm kích thước đáng kể sau điều trị (mũi tên)
Chụp cộng hưởng từ sọ não 1/10/2019 (sau điều trị)


 
                                       Hình 5: Các tổn thương não thứ phát biến mất sau xạ phẫu Gamma Knife.
Tháng 5/2020 bệnh tiến triển di căn xương, nên bệnh nhân được điều trị thuốc chống hủy xương  kết hợp với thuốc điều trị đích Osimertinib 80mg/ ngày. 
Từ tháng 11/2021 bệnh tiếp tục tiến triển nên có chỉ định điều trị  thuốc Giotrif 40mg / ngày
Tháng 11/2022 bệnh tiến triển di căn Phổi nên tiếp tục được điều trị hóa chất phác đồ  PC trong 13 chu kì. Sau đó được điều trị thuốc miễn dịch và hóa chất: Pembrolizumab + Pemetrexed + Carboplastin 6 chu kì. Bệnh nhân được được điều trị duy trì với Pemetrexed 500mg + Carboplastin, bệnh nhân dung nạp thuốc tốt.
Kết quả xét nghiệm của bệnh nhân sau các đợt điều trị 
Chụp cắt lớp vi tính lồng ngực ngày  7/2021
  
Hình 6: Hình ảnh khối u thùy dưới phổi Phải kích thước 70×87mm (mũi tên )
Chụp cắt lớp vi tính lồng ngực (5/10/2022)

  
                              Hình 7: Khối u thùy dưới phổi Phải kích thước 75×78 mm, hoại tử trung tâm (mũi tên)
Cắt lớp vi tính lồng ngực (25/5/2023)
  
Hình 8: Khối u thùy dưới phổi Phải , kích thước giảm xuống còn 55×33mm, hoại tử trung tâm (mũi tên)
Chụp cắt lớp vi tính lồng ngực (23/8/2023)

  

Hình ảnh 9: Khối u thùy dưới phổi Phải, kích thước tiếp tục giảm xuống còn 38×39mm (mũi tên)
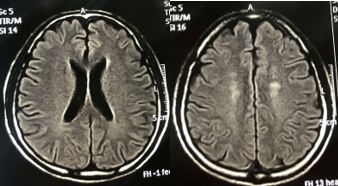
Chụp cộng hưởng từ sọ não sau điều trị ngày 22/6/2020
  
Hình 11: Không thấy tổn thương thứ phát do di căn
Chụp cộng hưởng từ sọ não sau điều trị ngày 26/10/2021
  
Hình 12: Không thấy tổn thương thứ phát do di căn.
Kết quả điều trị: 
Sau các đợt điều trị, hiện tại tình trạng bệnh nhân ổn định, không đau ngực khó thở, không yếu liệt, các chỉ số được duy trì trong giới hạn bình thuờng. Bệnh nhân dung nạp thuốc tốt. Các chỉ số marker ung thư được duy trì trong giới hạn. Bệnh nhân tiếp tục điều trị theo phác đồ.

LỜI BÀN
Đây là một trường hợp ung thư phổi được phát hiện bệnh ở giai đoạn muộn đã di căn não (giai đoạn IVb), tiến triển sau nhiều phác đồ điều trị hóa chất, điều trị đích, điều trị miễn dịch kết hợp với xạ phẫu dao gamma quay khối u tổn thương ở não. Bệnh nhân đã có kết quả điều trị tốt, mặc dù đã ở gai đoạn muộn với thời gian sống thêm hiện tại lên đến 6 năm. 

Mặc dù cho đến nay ung thư phổi vẫn là một trong số bệnh ung thư phổ biến hàng đầu trong các loại bệnh ung thư, có tỷ lệ mắc cũng như tỷ lệ tử vong khá cao tuy nhiên với sự phát triển của các thuốc mới cùng các phương pháp điều trị kỹ thuật mới, chúng ta có thể giúp bệnh nhân có thể kéo dài cuộc sống với chất lượng cuộc sống tốt hơn so với trước đây.

Tin liên quan